Пн-пт: 09:00—20:00; сб: 10:00—16:00 по предварительной записи
whatsapp telegram vkontakte email

Ушиб легкого (Контузия легкого, Сотрясение легкого)

Ушиб лёгкого — это повреждение лёгочной ткани при сохранении целостности висцеральной плевры, возникающее из-за тупой травмы или сдавления грудной клетки. Симптомы включают боли в груди, одышку и, в некоторых случаях, кровохарканье. Диагноз ставится на основе анамнеза, осмотра, рентгенографии, компьютерной томографии грудной полости и бронхоскопии. Лечение проводится консервативно с использованием анальгетиков, антибиотиков, кортикостероидов, физиотерапии и лечебной физкультуры. При необходимости обеспечивается респираторная поддержка.

Общие сведения

Ушиб (контузия, сотрясение) лёгкого — это закрытое травматическое повреждение грудной клетки, чаще всего встречающееся у пострадавших в дорожно-транспортных происшествиях. По статистике, ушиб лёгкого наблюдается у 30-55% пациентов с торакальными травмами. Он часто сочетается с переломами рёбер и иногда — с разрывом лёгкого. При обширных повреждениях лёгочной паренхимы в 50-60% случаев развивается острый респираторный дистресс-синдром, угрожающий жизни. У 10-40% травматологических больных контузия лёгочной ткани заканчивается летальным исходом.

image

Причины ушиба лёгкого

Травматическое повреждение лёгких возникает из-за механического воздействия на грудную клетку. Контузия происходит при сильном ударе тупым предметом или взрывной волне в области груди. Ушиб может возникнуть как на стороне удара, так и в противоположном лёгком из-за противоудара. Чаще всего такие травмы происходят в автокатастрофах, особенно у водителей, которые ударяются грудью о рулевую колонку. Выраженное сотрясение лёгких, вплоть до размозжения тканей, может произойти при падении с высоты на спину или живот, а также при сдавлении грудной клетки тяжёлыми предметами.

Патогенез

Сильный удар в грудную клетку травмирует её костный каркас. Прогнувшиеся рёбра повреждают лёгкое, вызывая ушиб. Травмируется сосудистая сеть, и лёгочная паренхима пропитывается кровью. Тяжёлая травма может привести к отрыву бронхов. Из-за рефлекторного смыкания голосовой щели нарастает внутригрудное давление, что вызывает разрыв межальвеолярных перегородок. В результате образуются кисты, заполненные воздухом (пневмоцеле) и кровью (гематоцеле). От противоудара возникают аналогичные повреждения с другой стороны. Происходит смещение органов грудной полости и ушиб лёгких о контрлатеральную половину грудной клетки и позвоночник. Пропитанная кровью лёгочная ткань частично теряет эластичность, что нарушает газообмен и вызывает кислородное голодание.

Классификация

Характер травматического повреждения легких зависит от размеров предмета и силы удара. Ушиб легких может быть ограниченным или обширным в зависимости от площади травматической инфильтрации паренхимы. Распространенность и локализация ушиба имеют клиническое и прогностическое значение. Массивная контузия легочной паренхимы часто приводит к смерти на месте происшествия. Выделяют три степени тяжести патологического процесса:

  • Легкая степень. Ограниченный ушиб локализуется в периферических участках легкого, охватывая 1-2 сегмента. Дыхательная недостаточность отсутствует.
  • Средняя степень. Зона ушиба затрагивает несколько сегментов. Возможны отдельные фокусы размозжения паренхимы и повреждения сосудов среднего калибра. Наблюдается умеренная дыхательная недостаточность, насыщение крови кислородом 90-95%.
  • Тяжелая степень. Обширное поражение альвеолярной ткани с размозжением и повреждением прикорневых структур и магистральных сосудов. Развивается острая дыхательная недостаточность, содержание кислорода в периферической крови резко снижается.

Симптомы ушиба лёгкого

Клинические проявления незначительной контузии лёгких могут отсутствовать. Пациенты часто не обращают внимания на болевой синдром при ограниченном повреждении лёгкого, принимая его за ушиб грудной стенки или перелом ребра. Боль локализуется на стороне поражения и усиливается при глубоком вдохе, нажатии на грудную стенку, наклонах и движениях туловища. Интенсивность боли зависит от площади и глубины ушиба. Выраженная двусторонняя торакалгия возникает при обширной травматизации лёгочной ткани.

Кровохарканье (кашель с примесью крови в мокроте) указывает на среднетяжёлый или тяжёлый характер травмы. Оно может проявляться в течение первых суток после травмы, быть однократным или повторяться в течение 1-7 дней. Отсутствие кровохарканья не исключает контузию лёгких. Другими специфическими симптомами серьёзного повреждения респираторной системы являются признаки «шокового» лёгкого: прогрессирующая одышка, тахикардия, снижение артериального давления. Кожные покровы пациента становятся бледными, появляется цианоз. Косвенными признаками закрытой лёгочной травмы могут быть кровоподтёки в месте удара.

Осложнения

Гематома грудного отдела — это одно из наименее опасных последствий ушиба легкого. К серьезным осложнениям относятся: дыхательная недостаточность, пневмония, пневмоторакс, кровотечение, гемоторакс и кровопотеря.

Диагностика

Пострадавшего должен осмотреть травматолог или торакальный хирург. Врач уточняет обстоятельства травмы и проводит клинический осмотр. Для подтверждения диагноза используются следующие методы:

  • Физикальное исследование. Врач с помощью пальпации определяет усиление болевых ощущений при надавливании на спину или грудной отдел в месте поражения. При некоторых травмах можно прощупать локализацию перелома ребер. Аускультация легких позволяет услышать влажные хрипы в поврежденной зоне.
  • Лабораторные анализы. Для исключения внутреннего кровотечения выполняется клинический анализ крови. Исследование мокроты помогает выявить эритроциты, что указывает на легочное повреждение. Степень гипоксемии определяется анализом газового состава крови, а уровень насыщения кислородом показывает пульсоксиметрия.
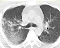
  • Лучевые исследования. Рентгенография позволяет выявить участки инфильтрации легочной ткани в месте ушиба через несколько дней после травмы. Она необходима при подозрении на перелом ребер, пневмо- и гемоторакс. Компьютерная томография (КТ) рекомендуется при более тяжелых патологиях, таких как разрыв легкого, пневмоцеле и ателектазы.
  • Бронхоскопия. Применяется по строгим показаниям для определения источника кровотечения при кровохарканье. Одновременно с эндоскопическим исследованием проводится лечебная санация бронхов.

© Artemida-psy — stock.adobe.com. Бронхоскопия

image

Лечение ушиба лёгкого

При отсутствии жалоб пациент с подозрением на ушиб легкого госпитализируется в отделение хирургии или травматологии на 1-2 суток под наблюдение. Пострадавшему с диагностированным травматическим повреждением дыхательной системы рекомендуется полный покой. Обычно назначается консервативное лечение. Основные принципы медикаментозной терапии:

  • Обезболивание. Применяются нестероидные противовоспалительные препараты. При выраженном болевом синдроме и переломах рёбер или позвоночника выполняются лечебные субплевральные блокады межрёберных нервов. При неосложнённом лёгком ушибе достаточно ограничить физическую активность и назначить анальгетики.
  • Купирование острой дыхательной недостаточности. Назначается оксигенотерапия через носовой катетер. Для улучшения газообмена используются кортикостероиды. Для стабилизации гемодинамики применяется инфузионно-трансфузионная терапия. При ухудшении дыхания пострадавший переводится на искусственную вентиляцию лёгких.
  • Профилактика пневмонии. Нарушение дренажной функции дыхательных путей требует санации. При первых признаках пневмонии назначаются антибиотики широкого спектра действия, обычно цефалоспорины.

Показанием для хирургического вмешательства являются отрывы крупных бронхов и повреждения магистральных сосудов. В восстановительном периоде применяются физиотерапевтические процедуры (магнитолазерная терапия, спелеолечение), массаж, лечебная физкультура и дыхательная гимнастика. Рекомендуются регулярные пешие прогулки и плавание.

Прогноз и профилактика

Пациент с локализованным ушибом легкого восстанавливается без осложнений в течение двух недель. Травма средней тяжести имеет благоприятный прогноз. Тяжелые последствия могут развиться при отсутствии адекватного лечения, у пожилых пациентов и при наличии сопутствующих заболеваний. Обширные глубокие ушибы, разрывы и размозжение легочной ткани могут привести к смерти пострадавшего.

Соблюдение мер личной безопасности помогает избежать ушибов. Своевременная медицинская помощь является профилактикой ранних и поздних осложнений травмы.

Медицинский эксперт проекта с 30-летним стажем в практической медицине. С 2006 по 2016 год — руководитель службы экспертизы качества медицинской помощи в СоГАЗ-мед. С 2018 года — научный консультант и медицинский эксперт проекта Cross.Expert.

Ушиб легкого – клинические симптомы и реабилитация

Ушиб легкого — это повреждение легочной ткани, возникающее из-за тупого удара или сдавливания грудной клетки. При этом целостность висцеральной плевры остается сохранной.

Причины

Основной причиной ушиба легкого является травма грудной клетки, вызванная ударом тупым предметом или взрывной волной. Патология возникает в месте удара и противоудара.

Чаще всего такие травмы происходят в результате ДТП. Водители могут ударяться грудью о рулевую колонку, что приводит к травме. Также возможно сотрясение легких и размозжение тканей из-за сжатия грудной клетки тяжелыми предметами или падения с высоты на спину или живот.

Степени тяжести

Сила механического воздействия и размеры поверхности травмирующего агента влияют на характер повреждения легких. Патология может быть обширной или локализованной в зависимости от площади пораженной области. Месторасположение и размер зоны ушиба важны для оценки клинической картины и прогноза.

Массивный ушиб легких может привести к смерти пострадавшего на месте происшествия.

В зависимости от тяжести патологического процесса выделяют следующие степени:

  1. Легкая. Повреждение легкого ограничено поверхностными тканями, занимает не более двух легочных сегментов. Дыхательной недостаточности нет.
  2. Средняя. Ушиб охватывает несколько сегментов легочной ткани, присутствуют зоны размозжения паренхимы и сосудистые повреждения. Умеренная дыхательная недостаточность, кровь насыщается кислородом на 90% и выше.
  3. Тяжелая. Обширное поражение альвеолярной ткани, размозжение и повреждение прикорневых структур. Сниженное содержание кислорода в периферической крови.

© SOPONE — stock.adobe.com

image

Симптомы

Ушиб легкого трудно распознать в первые часы после травмы. Поэтому медицинские работники часто ошибаются в диагнозе, принимая симптомы за забой грудной клетки или перелом ребер, что приводит к неправильному лечению.

Клинические симптомы контузии легкого:

  • Увеличение дыхательных нарушений (одышки).
  • Отек и гематома в месте удара.
  • Влажные хрипы.
  • Цианоз.
  • Увеличение частоты сердечных сокращений в покое.
  • Кровохарканье, которое проявляется при тяжелом или среднетяжелом течении (в течение первых суток после травмы).
  • Снижение артериального давления.
  • Поверхностное дыхание и болезненные ощущения при глубоком вдохе.

Скопление крови в мягких тканях приводит к увеличению объема грудной клетки. При тяжелой степени патологии может произойти полная остановка дыхания, что требует немедленных реанимационных мероприятий.

Первая помощь

Симптомы ушиба легкого проявляются спустя некоторое время после травмы, что затрудняет оказание своевременной помощи. Комплекс неотложных действий при ушибе легкого схож с доврачебной помощью при других травмах:

  • Холодный компресс (15 минут). Он помогает уменьшить отечность и облегчить боль, сужая кровеносные сосуды и предотвращая образование гематом.
  • Иммобилизация. Пострадавшему необходимо обеспечить полный покой и избегать любых движений.
  • Медикаменты. Не следует использовать обезболивающие или противовоспалительные средства, так как они могут затруднить правильную диагностику.

Лечение

При подозрении на ушиб легкого необходимо немедленно госпитализировать пациента в хирургическое или травматологическое отделение на несколько суток. Консервативное лечение включает:

  • Обезболивание с использованием нестероидных противовоспалительных средств.
  • Купирование острой дыхательной недостаточности с помощью оксигенотерапии, инфузионно-трансфузионной терапии и кортикостероидов. В тяжелых случаях пациент переводится на искусственную вентиляцию легких.
  • Профилактику пневмонии. При нарушении дренажной функции дыхательных путей проводится санация. Рекомендуется назначение антибиотиков.

Хирургическое вмешательство требуется при отрывах крупных бронхов или повреждении сосудов.

В период восстановления назначаются лечебная физкультура, массаж и физиотерапия.

Ушиб легкого: как диагностировать травму, в чем ее опасность?

Методы диагностики ушиба легкого

Ушиб легкого — одна из самых опасных закрытых травм. Хотя это повреждение поддается лечению, оно может привести к серьезным осложнениям и даже летальному исходу, так как легкие — жизненно важный орган, необходимый для насыщения организма кислородом.

Ушибом называют повреждение мягких тканей без их перфорации. При ушибе легочных тканей возникают кровоизлияния, повреждаются бронхи и сосуды, но плевра остается целой. В некоторых случаях в легких могут образовываться полости, заполненные кровью или воздухом.

Ушиб легкого возникает в результате удара, сдавливания или сотрясения органа. Чаще всего пациенты с таким диагнозом поступают в клинику после дорожно-транспортных происшествий. Риск ушиба легкого особенно высок у водителей из-за удара грудиной о руль. Травма может также возникнуть из-за резких ударов в грудную клетку или при падении.

Что может выступать причиной ушиба легких

Основные причины ушиба легкого

Ушибы легких чаще всего возникают из-за травм грудной клетки, вызванных следующими ситуациями:

  • ушиб легких при ДТП;
  • ушиб легкого при падении с высоты;
  • производственные травмы из-за неосторожного обращения с техникой.

Кроме ушиба легких, у пациентов часто диагностируют переломы грудной кости, ребер и травмы сердечной мышцы.

Как определить ушиб легкого?

Контузия легкого — опасное состояние

Заподозрить это серьезное повреждение сразу после происшествия сложно. Симптомы часто проявляются спустя время после инцидента.

С течением времени на фоне ушиба легкого у пациента могут развиваться следующие симптомы:

  1. Увеличение одышки, даже в покое.
  2. Появление гематомы в месте удара по грудной клетке.
  3. Влажные хрипы при дыхании.
  4. Быстрое развитие цианоза (посинение кожи).
  5. Явная тахикардия.
  6. Кровяные вкрапления в отхаркиваемой слизи.
  7. Ярко выраженный болевой синдром, особенно при глубоком вдохе.
  8. В редких случаях возможна остановка дыхания.

Если у пострадавшего наблюдается несколько из этих признаков, необходима срочная диагностика органов грудной клетки для определения характера травмы и степени повреждения легких.

Важно! Диагностику ушиба легкого, симптомы и лечение которого могут варьироваться в зависимости от характера травмы, должен проводить врач с использованием необходимых методов.

Помощь экстренного характера при подозрении на легочный ушиб

Пострадавшему с травмой грудной клетки необходима неотложная помощь. Это поможет минимизировать негативные последствия, предотвратить осложнения и облегчить симптомы.

Для начала на область травмы следует наложить холодный компресс. Это может быть пакет со льдом или бутылка с охлажденной водой. Компрессы накладываются несколько раз в течение суток, продолжительность процедуры — 5-10 минут.

Методика первой помощи при ушибе легкого.

Длительное воздействие холода на грудную клетку нежелательно, так как это может привести к обморожению кожи или простудным заболеваниям. Поэтому нельзя оставлять холодный компресс на грудине на длительное время.

Кроме того, пострадавшему нужно обеспечить покой и ограничить движения, чтобы избежать дальнейших повреждений органов грудной клетки. Оптимальное положение — полусидячее в течение первых часов после травмы.

Важно! Не применяйте фармакологические препараты до консультации со специалистом, так как это может усугубить дыхательные проблемы пациента.

Диагностирование легочных ушибов

Точный диагноз при травме грудной клетки может установить только медицинский специалист. Для повышения точности диагностики применяются следующие методы:

Методика Описание
Внешний осмотр пациента При наличии кровоизлияния в области травмы специалист может предположить ушиб легких.
Аускультация Прослушивание легких с помощью фонендоскопа или стетоскопа. В редких случаях специалист может приложить ухо к грудной клетке. Аускультация позволяет выявить хрипы, характерные для ушиба легких. Хрипы могут быть мелкопузырчатыми, возникающими в мелких бронхах, или среднепузырчатыми, слышимыми из средних бронхов.
УЗИ Ультразвуковое исследование показывает информативные результаты. На экране прибора в пораженной области отображается эхопозитивный участок.
Рентгенологическое исследование Рентгенография выявляет затемнения в поврежденных тканях и позволяет судить о наличии гематом в легких. Ушиб может привести к кистозным образованиям, заполненным воздухом. Рентгенологические признаки травмы могут проявляться не сразу, поэтому рекомендуется компьютерная томография, которая дает более детализированное изображение повреждений.
Анализ газов крови Этот анализ позволяет обнаружить понижение уровня кислорода в крови, что часто наблюдается при легочных ушибах.
Фибробронхоскопия Исследование с использованием бронхоскопа — полой трубки с источником света, вводимой в бронхи. Это позволяет детально осмотреть слизистые, выявить отечность, воспалительные процессы, скопления крови и гиперемию.

Только сочетание аппаратной диагностики и лабораторных исследований дает полное представление о состоянии легких при ушибах. Видео в этой статье ознакомит пациентов с опасностью ушибов тканей легкого.

Смотреть видео

Методики терапии легочных ушибов

При травмах легкого пациенту показан прием болеутоляющих средств.

Инструкция по лечению легочного ушиба зависит от степени тяжести повреждения и наличия сопутствующих травм. Основная цель терапии — предотвратить легочное кровотечение и пневмонию. Если пневмония все же развивается, лечение направлено на устранение воспалительного процесса в легких.

Внимание! При легких травмах терапия обычно заключается в обеспечении абсолютного покоя пациента и применении обезболивающих препаратов.

Болезненность в области грудной клетки может сохраняться в течение 2-5 дней. Слабость травмированного легкого в этот период приводит к затруднению вдоха и экспираторной одышке.

При сильном легочном ушибе часто назначают противовоспалительные препараты, а также антибактериальную терапию для предотвращения воспаления легких, которое может быть опасным для жизни. Пневмония, развившаяся вследствие ушиба, может привести к летальному исходу.

Для этой цели часто используют антибиотик широкого спектра действия Цефтриаксон. В некоторых случаях для удаления излишков слизи применяется санационная бронхоскопия, при которой мокрота эвакуируется из бронхов с помощью видеоаппаратуры.

Через несколько дней после травмы специалист может назначить физиотерапевтические процедуры, которые улучшают состояние пациента, снижают воспаление и способствуют рассасыванию гематом.

В первые сутки после повреждения нежелательно применять тепло, так как высокая температура может увеличить отечность и спровоцировать воспалительные процессы.

Дыхательные упражнения являются важной частью восстановления. Для предотвращения осложнений и укрепления поврежденного легкого необходимо выполнять специализированные дыхательные упражнения после исчезновения симптомов и завершения основного лечения.

Последствия легочного ушиба

Если травма не была вовремя выявлена, ее последствия могут быть серьезными. Наиболее частым осложнением ушиба легкого является посттравматическое воспаление легких. Эта пневмония представляет собой опасный процесс, который нельзя игнорировать, так как существует высокая вероятность летального исхода.

Внимание! Последствия ушиба легких могут быть необратимыми, поэтому важно обратиться за медицинской помощью как можно скорее. Только врач, проведя обследование и установив причину травмы, сможет назначить правильное лечение.

Основной задачей медиков при ушибе легких является предотвращение острого повреждения, которое может возникнуть в течение полутора часов после травмы.

Также возможным последствием ушиба является развитие системного воспалительного процесса и резкое снижение уровня кислорода в крови.

Осложнения

Ушиб легкого может привести не только к воспалительным процессам, но и к плевропульмональному шоку, который без экстренной помощи неизбежно приводит к смерти пациента. Скопление воздуха в легком оказывает давление на магистральные сосуды, что нарушает работу сердца и вызывает интенсивное раздражение нервных окончаний грудной клетки.

Своевременное обращение к врачу позволяет избежать осложнений. Если пострадавший получает помощь вовремя, он обычно полностью выздоравливает, и его уровень жизни остается прежним.

Важно! Легкий ушиб легкого лечится в течение 5-7 дней, а тяжелые формы требуют 1-2 месяцев. Реабилитация занимает от 2 недель и более.

Бездействие может иметь серьезные и необратимые последствия.

Литература:

  1. Wunderlich, «Geschichte der Medicin» (Штуттгардт, 1958).
  2. Скориченко, «Доисторическая M.» (СПб., 1996); его же, «Гигиена в доисторические времена» (СПб., 1996).
  3. Wunderlich, «Geschichte der Medicin» (Штуттгарт, 1958).
  4. Красиота и медицина — Ушиб легкого.
  5. Кросс. Эксперт — Ушиб легкого.
  6. У пульмонолога — Ушиб легкого.
  7. Puccinotti, «Storia della medicina» (Ливорно, 1954—1959).
  8. Мирский, «Хирургия от древности до современности. Очерки истории.» (Москва, Наука, 2000, 798 с.).
Ссылка на основную публикацию
Похожее