Пн-пт: 09:00—20:00; сб: 10:00—16:00 по предварительной записи
whatsapp telegram vkontakte email

Исследование полей зрения

Как делается

Диагностику может назначить офтальмолог или невролог. Если будут выявлены нарушения границ зрения, специалист может направить пациента на консультацию к другому врачу и назначить дополнительные методы диагностики:

  • тонометрию,
  • биомикроскопию и офтальмоскопию,
  • КТ,
  • МРТ.

Компьютерная периметрия не требует специальной подготовки. На точность исследования границ полей зрения влияют следующие факторы:

  • симптомы раздражения органа зрения вблизи крупных сосудов,
  • значительное снижение остроты зрения,
  • помехи от неправильно подобранной оправы очков,
  • опущение верхнего века,
  • особенности внешности: глубоко посаженные глаза, высокая переносица, нависшие брови.

Пациенту дают джойстик и садят напротив специального аппарата. Его взгляд фиксируется на одной световой точке. В хаотичном порядке и с разной скоростью вокруг точки зажигаются огоньки. Пациент должен отмечать вновь появившиеся огни и нажимать кнопку на джойстике.

Манипуляция выполняется поочередно на каждом глазу и длится не более 20 минут. Она безболезненная, не вызывает осложнений и не требует реабилитации.

Принцип работы устройства

Действие офтальмологического периметра основано на том, что зрение человека имеет определенные границы. Эти границы можно определить, когда нервные рецепторы сетчатки улавливают отражение световых лучей от появившегося объекта. Если человек не замечает движущийся предмет, это указывает на наличие слепых пятен в области сетчатки. Для определения размера слепых зон важен угол движения объекта.

Получив такую информацию с помощью ручного или автоматического периметра, офтальмолог может провести дополнительные исследования. Наличие слепых зон обычно свидетельствует о патологиях сетчатки. Дальнейшая диагностика может выявить следующие проблемы:

  • Отслоение сетчатки;
  • Кровоизлияние;
  • Механические повреждения;
  • Истончение сетчатки;
  • Недостаточное кровоснабжение в области сетчатки;
  • Атрофия кровеносных сосудов.

Аппаратное исследование с помощью периметра позволяет своевременно выявить нарушения и принять меры для устранения патологии.

Что нужно знать о периметрии

Поле зрения — это пространство, которое человек воспринимает при фиксированном взгляде и неподвижной голове. Смотря на определенный объект, человек также видит окружающие предметы, что называется периферическим зрением. Оно менее четкое, чем центральное.

Периметрия — это офтальмологическое исследование, позволяющее изучить границы полей зрения, проецируя их на сферическую поверхность. Существует два типа периметрии: кинетическая, использующая движущийся объект, и статическая, при которой изменяется освещение объекта в одной позиции.

Это исследование помогает анализировать изменения поля зрения и локализовать патологические процессы в сетчатке, зрительном нерве, зрительных путях и центрах головного мозга. Чаще всего выявляются сужения полей зрения и выпадения участков (скотома).

Показания к периметрии:

  • патологии сетчатки (разрывы, отслойки, дистрофия, кровоизлияния, ожоги, опухоли);
  • диагностика патологий макулы, включая токсические поражения;
  • выявление пигментного ретинита;
  • болезни зрительного нерва (неврит, травмы);
  • диагностика патологий зрительного пути и корковых центров при новообразованиях, травмах, инсульте, нарушениях питания;
  • опухоль головного мозга;
  • гипертоническая болезнь;
  • черепно-мозговые травмы;
  • признаки нарушения мозгового кровообращения;
  • подтверждение глаукомы и отслеживание динамики процесса;
  • проверка жалоб пациента;
  • профилактическое обследование.

Периметрия противопоказана при алкогольном или наркотическом опьянении, а также при психических заболеваниях. Процедура не вызывает осложнений.

Факторы, которые могут исказить результаты периметрии:

  • нависшие брови;
  • глубокая посадка глазных яблок;
  • опущение века;
  • высота переносицы;
  • воздействие раздражителя на крупные сосуды около диска зрительного нерва;
  • низкая острота зрения;
  • некачественная коррекция;
  • оправа очков.

Ложные дефекты поля зрения могут возникать из-за особенностей строения лица и ширины зрачка. Для исключения ложных дефектов проводят повторное тестирование в той же программе. Чтобы результаты наблюдений были достоверными, необходимо соблюдать одинаковые условия проведения периметрии (размер объектов, освещение, время и цвета).

image

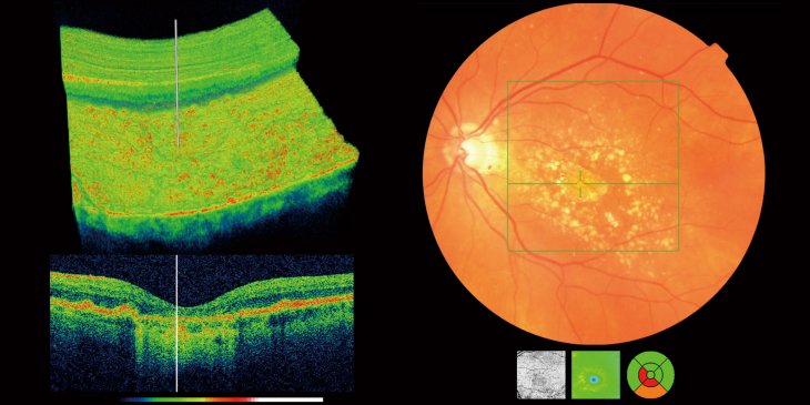
Расшифровка результатов ОКТ

Врач расшифровывает результаты когерентной томографии органов зрения, что включает три этапа:

  • Изучение морфологии — анализируются форма и профиль среза, оценивается четкость контуров.
  • Количественный анализ — фиксируются изменения тканей, рассматриваются не только факты истончения или уплотнения, но и степень этих изменений.
  • Изучение рефлективности — оценивается степень отражения сигнала от тканей.

Процесс трактовки результатов оптической томографии связан с цветовыми кодами, которые помогают определить состояние тканей.

Цветовые коды делятся на два основных типа:

  • Теплые. Теплые цвета указывают на участки с тонкой тканью. Например, черные и синие оттенки сигнализируют об опасном истончении.
  • Холодные. Холодные цвета указывают на утолщение тканей. Участки, окрашенные в желтоватые или красноватые тона, показывают области с максимальной толщиной.

Современные технологии позволяют создавать трехмерные изображения. Томографы последнего поколения легко выводят 3D-модель обследуемой области, что помогает составить полное заключение о состоянии здоровья зрительного аппарата пациента.

image

Лечение дальнозоркости

При лечении дальнозоркости применяются три основные группы терапевтических мер: консервативные методы, лазерная терапия и хирургическое вмешательство.

Консервативные методы включают коррекцию с помощью очков и контактных линз. Очки назначаются детям до 7 лет при плюсовом значении +3 диоптрии и выше. Эффективность терапии зависит от постоянного ношения очков. Если к 7 годам отсутствуют показания, можно считать, что достигнут положительный эффект. При астенопии необходимо постоянно носить очки со специализированными собирательными линзами.

Контактные линзы являются альтернативой очкам. Они удобнее в использовании и эффективно исправляют дальнозоркость и косоглазие, обеспечивая более четкое изображение. Ортокератологические линзы для дальнозоркости корректируют гиперметропию до +3 диоптрий и не вызывают типичных побочных эффектов, таких как аллергия. Они также обеспечивают кислородное насыщение роговицы и более гигиеничны.

Физиотерапевтические процедуры, такие как массаж, лазеротерапия и магнитная терапия, положительно влияют на лечение дальнозоркости в сочетании с коррекционными методами.

Биологически активные добавки и витаминные комплексы, подобранные специалистом, также могут улучшить состояние пациента.

Для снижения напряжения глазных мышц можно использовать специальные перфорационные очки во время просмотра телевизора.

Хирургические методы лечения гиперметропии применяются при тяжелых формах заболевания. Наиболее распространена замена хрусталика на интраокулярную линзу с индивидуально подобранными диоптриями.

Хирургическое вмешательство разнообразно и зависит от показаний и особенностей заболевания. Включает такие операции, как гиперфагия и кератопластика.

Лазерная терапия эффективно корректирует патологию роговицы, являющуюся одной из основных причин заболевания. Операции с использованием лазера выполняются быстро и не требуют длительного восстановления; пациент может быть выписан сразу после процедуры. Лазерный луч иссекает ткани, изменяя фокус преломления.

Важно учитывать послеоперационные риски, характерные для любого вмешательства, и необходимость повторных процедур. Лазерное лечение не подходит для пациентов старшей возрастной группы с ослабленными глазными мышцами.

При высокой форме дальнозоркости требуется подготовка, включая склеропластику и коллагенопластику, для формирования корсета склеры с использованием донорской ткани. Это необходимо для приостановки развития заболевания перед лазерной терапией.

Также требуется подготовка для лазерного лечения дальнозоркости, осложненной дистрофией глаза, с проведением лазеркоагуляции для прикрепления сетчатки к тканям глазного дна.

При высокой форме гиперметропии, включая возрастную, применяется радикальный метод замены хрусталика на линзу.

Анизометропия у детей

Анизометропия часто встречается у детей. Если не начать лечение вовремя, заболевание может прогрессировать и привести к амблиопии рефракционного типа.

При разнице в показателях от двух диоптрий назначается коррекция, которая включает постоянное ношение очков. В детском возрасте разница в линзах от 2 до 5 диоптрий преодолевается легче. Адаптация к очкам у младших детей проходит быстрее.

Однако ребенку потребуется время для привыкания к очкам с разными стеклами. Коррекция вводится постепенно, увеличивая диоптрическую разницу в линзах каждые четыре месяца.

Современные методы лечения позволяют эффективно справляться с анизометропией. Часто очки заменяют контактными линзами, что возможно даже для детей в возрасте одного года.

Миопическая анизометропия может сопровождаться нарушением бинокулярного зрения и амблиопией. В таких случаях врач применяет ортоптику и плеоптику для улучшения зрительных функций и нормализации фиксации. Эти методы являются наиболее эффективными для коррекции несимметрической близорукости.

В некоторых случаях для решения проблем со зрением у детей требуется хирургическое вмешательство. При легкой или средней стадии заболевания есть шанс на полное восстановление зрительной функции. Если заболевание запущено и сопровождается осложнениями, возможно лишь частичное восстановление.

Лазерная коррекция также успешно применяется для лечения анизометропии у детей. Процедура занимает около двух недель, и госпитализация не требуется. Этот метод считается наиболее безболезненным и гуманным.

image

Статическая периметрия глаза

Клиент фиксирует подбородок в статическом положении, чтобы смотреть в указанную специалистом точку без напряжения. Глаза проверяются поочередно: на один глаз накладывается повязка. Специалист постепенно приближает предметы к точке взгляда клиента со скоростью 2 сантиметра в секунду. Как только клиент замечает предмет, он сообщает об этом врачу. Офтальмолог делает отметки на специальной карте, определяющей точность периферийного зрения в зависимости от расстояния.

Внутренние границы выявляются с помощью предметов диаметром до 1 мм, а наружные границы — с предметами диаметром 3 мм. Передвижение для определения наружных границ осуществляется по различным меридианам.

Лечение анизометропии

Основным способом лечения является хирургическое вмешательство. Оно применяется, когда коррекция не дала результатов или заболевание находится в запущенной стадии. Лазерная коррекция зрения проводится только по рекомендации специалиста.

Важно учитывать противопоказания и ограничения. Лазерная коррекция невозможна при заболеваниях роговицы. Во время операции с помощью специального оборудования выравнивается зрение. После вмешательства необходимо избегать нагрузки на глаза, сотрясений и травм, чтобы не допустить прогрессирования болезни.

Перед началом лечения анизометропии рекомендуется получить консультацию специалиста и сдать анализы.

Следование рекомендациям врачей в послеоперационный период существенно увеличивает шансы на выздоровление.

Виды электроретинографии

Существует несколько видов электроретинографии. Первый тип — ритмическая, или мелькающая. Эта процедура определяет и графически отображает потенциалы сетчатки глаза. Во время неё происходит мелькание света с различной скоростью и частотой. Локальная электроретинография используется для диагностики заболеваний в определенной области сетчатки, сопровождаясь стимуляцией этого участка. Общая электроретинография определяет общий биоэлектрический потенциал сетчатки, проводя процедуру с использованием вспышки, которая освещает всю сетчатку для выявления потенциала. Паттерн электроретинография отслеживает активность третьего уровня сетчатки, используя свет среднего уровня яркости.

Современные методы электроретинографии позволяют выявлять заболевания сетчатки, отслеживать их развитие и динамику лечения. Также это исследование помогает опровергнуть наличие определенных патологий глаза и проводить дифференциальную диагностику.

Компьютерный рефрактометр

Метод основан на автоматическом анализе отражений от глазного дна. Как и при ручной рефрактометрии, световая мишень проецируется на глазное дно, после чего прибор анализирует отражения и определяет искажения. Результаты не зависят от субъективного восприятия врача или пациента. Эта методика проще в освоении и более точна.

Современные авторефрактометры могут измерять дополнительные параметры и учитывать различные нарушения, такие как асимметрия лица или маленький диаметр зрачка. Это позволяет значительно снизить погрешность компьютерного рефрактометра.

Виды периметрии

Согласно методике выполнения, выделяют следующие виды исследования:

Статическая периметрия

Статическая периметрия позволяет диагностировать:

  • порог чувствительности органов зрения к изображениям;
  • нарушения функции зрительного нерва;
  • причины потери периферического зрения;
  • травмы мозга;
  • ранние патологии сетчатки;
  • скотомы.

Измерение поля зрения при статической периметрии проводится с использованием неподвижного тест-объекта и компьютерного оборудования. После исследования данные группируются по обследованным участкам поля зрения.

Этапы процедуры:

1. Пациент садится на стул.

2. Голову нужно держать неподвижно.

3. Перед глазами появляется слабо очерченное пятно.

4. Увеличивается контрастность тест-объекта, пока пациент его не увидит.

5. Пятно перемещается по границам визуального поля.

Статическая периметрия выявляет дефекты в поле зрения, но не позволяет определить чувствительность к свету и цветам. Для контроля результатов офтальмолог может назначить кампиметрию или компьютерную периметрию.

image

Компьютерная периметрия

Периметрия выполняется с помощью компьютерного периметра. Программа сохраняет промежуточные данные, что позволяет анализировать эффективность лечения и прогрессирование патологии. Этот метод диагностики дает более точные результаты по сравнению с другими видами периметрии.

Этапы исследования:

1. Пациент садится за стол с компьютерной программой.

2. На мониторе появляется тест-объект.

3. Пациенту нужно сосредоточить взгляд на фигурах.

4. На экране появляются несколько хаотичных стимулов.

5. При фиксации взгляда на одном из объектов пациент нажимает кнопку.

Для получения достоверных результатов процедуру необходимо проводить несколько раз. Иногда используются различные тест-объекты по цвету или контрастности. Побочных эффектов после манипуляции нет, поэтому нет ограничений на количество диагностик. Однако при компьютерной периметрии важно соблюдать длительность процедуры, так как утомление глаз может ухудшить результаты исследования.

image

Кинетическая периметрия

Кинетическая периметрия глаза позволяет обследовать пациентов с интеллектуальным отставанием и теми, кто испытывает трудности с компьютерными процедурами. В исследовании используются тест-объекты с разной контрастностью.

Этапы процедуры:

1. Пациент садится на стул.

2. В поле зрения вводят тест-объект одного размера и яркости.

3. Пятно начинает перемещаться по горизонтальной или вертикальной оси.

4. Пациент сигнализирует, когда сосредоточит взгляд на тест-объекте.

5. Меняется яркость или размер пятна, и процедура повторяется.

Для достоверных результатов манипуляцию проводят с разных сторон поля зрения.

Процедура показана в следующих случаях:

  • невозможность проведения статической периметрии;
  • трудности с концентрацией взгляда на одной точке;
  • интеллектуальные нарушения;
  • нейроофтальмологические патологии;
  • заболевания, влияющие на периферическое зрение.

При кинетической периметрии объект может перемещаться как плавно, так и динамично. Для диагностики используются тест-объекты различной яркости и цвета.

Пороговая периметрия

Пороговая периметрия показана при прогрессирующей глаукоме и позволяет диагностировать последствия хронической глаукомы.

Этапы диагностики:

1. Пациент садится в удобное кресло.

2. В поле зрения появляются четыре тест-объекта, расположенные в центре четырех квадрантов.

3. Изменяется контрастность пятен на 1-2 или 4 дБ.

4. Для получения объективных данных анализируются точки с разницей в 1 шаг.

Недостатком пороговой периметрии является длительность исследования — от 10 до 20 минут. Для оценки эффективности лечения необходимо повторное исследование после курса терапии. Дополнительно проводится периметрия со стимулами, контрастность которых увеличена на 2 дБ.

Для чего делают

Компьютерная диагностика позволяет определить локализацию оптического нарушения и точно выявить характер заболевания на ранней стадии. Она помогает обнаружить сужение или полное исчезновение участков поля зрения.

Благодаря высокой чувствительности компьютерного метода, можно выявить незначительные нарушения центрального пространства, которые невозможно определить при визометрии. Поэтому периметрию назначают для раннего выявления заболеваний, что позволяет своевременно начать лечение.

Этот метод исследования способен выявлять не только офтальмологические, но и неврологические нарушения, такие как невриты, ишемия, травмы головного мозга и кровоизлияния.

Диагностирование дальнозоркости

Диагностика заболевания обычно не вызывает трудностей и часто осуществляется во время стандартного осмотра у офтальмолога, который проверяет качество зрения. Визуальный осмотр не требует коррекции и проводится с использованием плюсовых линз.

Для определения гиперметропии исследуются рефракции. Чтобы выявить скрытую форму заболевания у детей и подростков, диагностика проводится с помощью индуцированной циклоплегии и мидриаза.

Передне-задняя ось глаза измеряется с помощью УЗИ и эхобиометрических исследований. Сопутствующие заболевания выявляются с помощью периметрии, офтальмоскопии, биомикроскопии, тонометрии и других методов. Биометрические исследования глазного яблока также помогают диагностировать косоглазие.

Противопоказания

Категорически запрещено проводить исследование с пациентами, имеющими психические расстройства, расстройства поведения или задержки в развитии. Они могут испугаться или проявить агрессию, интерпретируя точки, видимые боковым зрением, по-своему.

Также нецелесообразно обследовать пациентов, находящихся под воздействием алкоголя, наркотиков, обезболивающих или успокаивающих препаратов.

Периметрию необходимо проводить раз в несколько месяцев при наличии заболеваний глаз и раз в полгода для работников, чья деятельность требует повышенного внимания.

Методика проведения

Процесс процедуры полностью автоматизирован. Медсестра усаживает пациента напротив рефрактометра. Пациент должен сфокусироваться на изображении, которое кажется удаленным. Вместо точечной отметки используется интересная картина, что позволяет пациенту длительное время смотреть вдаль и сохранять расслабленное состояние аккомодации глаза. Можно моргать, что особенно удобно для маленьких пациентов, которым сложно сосредоточиться.

Медсестра настраивает инфракрасный пучок на центр зрачка. Измерения проводятся автоматически и вручную. Каждый глаз обследуется отдельно. После процедуры пациент получает распечатку данных, которую должен передать лечащему врачу для расшифровки. Обычно специалист проводит дополнительные проверки с помощью инструментальных методов.

Что такое периметрия глаза?

Это исследование периферического зрения. Оно позволяет оценить зрительную функцию и определить, находится ли она в пределах нормы. При здоровом состоянии глаза должно охватываться определенное окружающее пространство.

Нарушения периметрии часто остаются незамеченными. Человек может воспринимать предметы в суженном диапазоне и не осознавать этого, что представляет серьезную опасность, так как патология может прогрессировать.

Оценка полей зрения обязательна. Для этого используется компьютерный метод на специальном оборудовании в виде полусферы. Пациент помещает голову внутрь, где на поле появляются светящиеся точки, вспыхивающие в разных местах.

Когда пациент видит такую точку, он нажимает на кнопку, не переводя взгляд с центра поля. По результатам исследования составляется цветная схема, показывающая недоступные для пациента части полей зрения, что указывает на отклонение от нормы.

Кинетический принцип обследования позволяет точно оценить состояние полей зрения.

Клинический госпиталь на Яузе, ул. Волочаевская, 15

Клинический госпиталь на Яузе — высокотехнологичный многопрофильный медицинский центр. В его составе поликлиника с врачами 30 специальностей, хирургическое отделение с тремя современными операционными, стационар, генетическая лаборатория, отделение клеточных технологий и биоинженерии, а также современный диагностический комплекс.

В клинике проводят МРТ, КТ, УЗИ, 3D и 4D УЗИ, рентген, дуплексное сканирование, гастроскопию, биопсию, ЭХОКГ, денситометрию, эндоскопические исследования и функциональную диагностику. В отделении ЭКО помогают зачать и выносить здорового ребенка, в центре аритмологии — лечат аритмию, а методом гемокоррекции — аутоиммунные и аллергические заболевания.

Отличительные черты недуга

Что такое гиперметропия или дальнозоркость у детей? Это нарушение зрения, возникающее из-за слабой преломляющей силы роговицы и хрусталика. Патология может быть связана с укороченным расстоянием между центром роговицы и желтым пятном сетчатки, то есть с короткой переднезадней осью глаза.

У новорожденных и детей до 7-8 лет гиперметропия встречается часто, поскольку глазное яблоко еще маленькое. Обычно это состояние проходит с возрастом. Если скрытая гиперметропия не исчезает самостоятельно, офтальмолог должен определить степень дальнозоркости и назначить лечение, включая корректирующие очки. При дальнозоркости изображение дальних объектов фокусируется не на сетчатке, а за ней.

К основным причинам гиперметропии 1 степени в раннем возрасте офтальмологи относят:

  • плоскую кривизну роговицы;
  • недостаточную преломляющую силу хрусталика;
  • короткую переднюю или заднюю ось глазного яблока;
  • отклонения в оптических характеристиках глаза;
  • повышенное внутриглазное давление;
  • наследственные факторы.

Дети не могут объяснить изменения в зрении, и не всегда удается выявить нарушения без явных признаков. Обычно первый визит к офтальмологу происходит в возрасте около года. С помощью специального оборудования можно определить гиперметропию обоих глаз и начать адекватное лечение на ранних стадиях.

Формы заболевания

В офтальмологии выделяют три категории дальнозоркости:

  1. Слабая — гиперметропия первой степени: нарушение от 0 до 2 диоптрий.
  2. Средняя — гиперметропия второй степени: нарушение от 2 до 5 диоптрий.
  3. Высокая — гиперметропия третьей степени: нарушение свыше 5 диоптрий.

При средней степени гиперметропии объекты на близком расстоянии выглядят размытыми, в то время как видимость вдали остается хорошей. Высокая степень характеризуется значительными нарушениями, при которых пациент плохо видит на любом расстоянии.

Средняя степень заболевания обычно наблюдается у новорожденных и определяется как 3 диоптрии, что связано с незрелостью глазного яблока. К 3 годам зрение, как правило, нормализуется и снижается до 1,5 диоптрий. В случае недостаточного формирования зрения может потребоваться коррекция.

В худшем случае возможны нарушения работы клеток зрительной коры головного мозга, что приводит к снижению остроты зрения, спазму аккомодации и развитию амблиопии у детей.

Периметрия глаза

Периметрия — инструментальный метод обследования в офтальмологии, который определяет границы поля зрения. Поле зрения — это часть окружающего пространства, видимая глазом при неподвижном взгляде.

Существует два основных типа периметрии: кинетическая и пороговая статическая автоматизированная. Тестирование помогает выявить закономерности потери зрения, указывающие на нарушения, такие как патологии сетчатки, зрительного нерва, глаукома, опухоли головного мозга и инсульт. Основная цель — контролировать потерю поля зрения.

Метод позволяет выявить различные патологические изменения в органах оптической системы. Показания для проведения периметрии включают:

Некоторые ситуации могут стать противопоказаниями для диагностики. К ним относятся агрессивное поведение пациента, алкогольное или наркотическое опьянение, а также умственная усталость, мешающая выполнению указаний врача.

Специальная подготовка для процедуры не требуется.

При назначении периметрии важно учитывать факторы, влияющие на результаты. К ним относятся:

  • глубокая посадка глазного яблока;
  • плохое зрительное восприятие;
  • высокая переносица;
  • птоз;
  • раздражение вблизи оптического нерва.

Диагностика проводится с использованием настольного, проекционного или компьютерного аппарата. Перед процедурой следует ознакомиться с особенностями каждого метода.

Виды периметрии:

  • статическая (пороговая и надпороговая);
  • компьютерная;
  • с помощью дуги;
  • кинетическая.

Компьютерная периметрия — безболезненная и не вызывает осложнений. Статическая диагностика также безопасна и не приводит к негативным последствиям.

После процедуры пациент может вернуться к обычной деятельности.

Диагностику проводит офтальмолог или квалифицированный специалист, знакомый с используемым оборудованием. Стоимость процедуры зависит от аппарата и региона, в среднем составляет 200–700 рублей.

Слепое пятно

Сетчатка почти полностью состоит из нервных рецепторов. Исключение составляет место прикрепления зрительного нерва, где образуется слепое пятно, известное как физиологическая скотома. Наличие одной скотомы определенного размера является нормальным состоянием сетчатки.

При патологических состояниях сетчатки и других глазных структур могут возникать дополнительные слепые пятна, а физиологическая скотома может увеличиваться в размерах.

Для выявления слепых пятен и определения их размеров используются настольные офтальмологические устройства — измерители периметра и измерители скотомы.

Показания к проведению кампиметрии

Показания для проведения кампиметрии включают:

  • раннюю диагностику глаукомы;
  • невриты зрительного нерва;
  • травмы головы и нарушения кровообращения мозга;
  • заболевания околоносовых пазух;
  • диагностику гипертонии и профилактические осмотры.

Факторы, которые могут помешать получению точных результатов диагностики:

  • птоз верхнего века;
  • нависание брови в исследуемой зоне;
  • аномально глубокая посадка глаз;
  • высокая переносица.

Врачи рекомендуют использовать компьютерный кампиметр или периметр для получения более точных данных. В остальных случаях противопоказаний к проведению диагностики нет. Однако у маленьких пациентов, которые не могут понять суть процедуры и ответить на вопросы, проведение кампиметрии может быть затруднительным.

Ссылка на основную публикацию
Похожее