Пн-пт: 09:00—20:00; сб: 10:00—16:00 по предварительной записи
whatsapp telegram vkontakte email

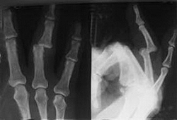
Вывихи кисти

Особая прочность запястно-пястных суставов делает смещения на этом уровне сравнительно редкими. Однако И. Матев (1971) справедливо отмечал, что такие вывихи встречаются чаще, чем принято считать. Это подтверждается увеличением числа публикаций о запястно-пястных вывихах, где у отдельных авторов количество наблюдений достигает 10 и более. В моих наблюдениях 27 запястно-пястных вывихов показали, что на каждые 14 вывихов костей запястья приходится один вывих пястных костей.

Наиболее частыми являются тыльные смещения, в то время как ладонные встречаются в 6-7 раз реже. Локтевые, тыльно-локтевые и ладонно-локтевые смещения чаще наблюдаются у II и IV пястных костей, тогда как лучевые смещения, вероятно, встречаются гораздо реже.

Механизмы вывихов пястных костей до конца не изучены. Экспериментальные попытки воспроизвести вывихи не увенчались успехом без предварительного рассечения ладонных и тыльных запястно-пястных связок [Shorbe Н., 1938; Waugh R., Yancey А., 1948 и др.]. Считается, что смещения возникают в результате прямой травмы, причем наиболее частые тыльные вывихи происходят при воздействии силы со стороны ладони. Однако более половины всех тыльных смещений происходит из-за насилия, приложенного к тылу кисти. Вывихи также могут возникать после падений на разогнутую, согнутую кисть или сжатую в кулак.

Смещения пястных костей могут быть различными. A. Giilgonen и Е. Vlasich (1970) отмечали, что вывихи V пястной кости встречаются чаще, поскольку ее краевое положение делает ее более уязвимой, хотя и в меньшей степени, чем I пястная. R. Waugh и A. Yancey, основываясь на 83 наблюдениях, выявили, что наиболее частыми изолированными вывихами были смещения IV пястной кости, а наиболее редкими — сочетанные смещения III-IV-V пястных костей. Тем не менее, смещения трех-четырех «локтевых» и всех пяти пястных костей встречаются не так уж редко.

Изолированные смещения V пястной кости и большинство «двухпястных» обычно не сопровождаются повреждением мягких тканей, тогда как множественные вывихи — трех и более пястных костей — часто связаны с ранениями. Это свидетельствует о значительных травмах, приводящих к вывихам.

Поскольку II-V пястные кости прочно связаны между собой и с дистальным рядом запястья, их смещения могут комбинироваться в 20-25 % случаев. Смещения пястных костей с дистальным рядом запястья практически не встречаются. Вывихи V пястной кости чаще всего являются изолированными, но при вывихе IV-V пястных костей нередко наблюдаются смещения крючковидной кости. Также отмечаются смещения трапециевидной или головчатой кости со II-III пястными костями. Возможны дивергирующие вывихи с одновременными смещениями пястных костей к тылу и ладонной стороне или в противоположные боковые направления. Это подчеркивает значимость как прямого, так и непрямого насилия при вывихах пястных костей.

Несмотря на яркие клинические проявления — четкие или сглаженные деформации на тыле при тыльных вывихах и западения на тыле при ладонных — установление истинного характера повреждений в 50-60 % случаев запаздывает.

Свежие вывихи пястных костей, особенно одно- и двухкостные, обычно устраняются закрыто без особых трудностей (посредством тяги с противотягой и отдавливания оснований смещенных костей). Однако иногда вправление затруднено из-за разрыва связок или захлестывания сухожилиями, что требует открытых вмешательств.

При множественных вывихах с значительными смещениями и сложных дивергирующих вывихах возможность закрытого вправления сомнительна, особенно при наличии сопутствующих переломов пястных костей, что требует открытых вправлений (рис. 72).

Ладонные вывихи чаще, чем тыльные, не удается вправить закрыто. Даже среди сравнительно легко устранимых вывихов V пястной кости ее ладонно-лучевые смещения обычно требуют оперативного вмешательства из-за препятствий со стороны крючковидной кости. Вывихи V пястной кости являются неустойчивыми, и для их удержания необходима иммобилизация с сгибанием проксимальной фаланги до 90° и легким разгибанием кисти с супинацией для снятия напряжения межкостных мышц и локтевого разгибателя [Berg Е., Murphy D., 1986]. Другие виды вывихов также могут быть нестабильными, что проявляется сразу после вправления или позже. Иммобилизация в течение 6 недель с фиксированными пальцами может привести к их тугоподвижности. Поэтому, помимо ретроградной стабилизации спицами запястно-пястных суставов при неустойчивых и невправимых вывихах, целесообразно производить аналогичную чрескожную стабилизацию спицами даже при вправленных устойчивых вывихах. Это позволяет начать раннюю мобилизацию пястно-фаланговых суставов, в которых чаще всего развивается тугоподвижность, и сократить период иммобилизации в гипсовой повязке [SgrabyG., Sabetta Т., 1968; Hazlett J., 1968; Sedel L, 1975].

Ранее высказывались мнения [Shorbe Н., 1938; Waugh R., Yancey A., 1948], что невправленные вывихи пястных костей не приводят к серьезным расстройствам, а открытые вправления застарелых вывихов лишь изменяют внешний вид кисти, не улучшая ее функцию. Однако это неверно.

При неустраненных вывихах пястных костей, особенно множественных, сохраняется не только деформация с чувствительным к нагрузкам костным выступом, но и значительное нарушение функции кисти с нестабильностью сустава. Это связано с укорочением кисти, мышечным дисбалансом, утратой мобильности дистальной поперечной пястной дуги и иногда нарушением целостности проксимальной поперечной запястной дуги, что приводит к «неуклюжести» кисти, слабости и нестабильности схватов, а также ограничению сгибания пальцев и их девиации.

Оперативное лечение не устраняет всех последствий длительно существовавшего смещения оснований пястных костей, но значительно улучшает состояние. При давности вывихов свыше 4-5 месяцев ограничиться только открытым вправлением невозможно, и требуется артродез с удалением неполноценного суставного хряща с концов основания пястных костей и костей запястья (рис. 73). При вывихах большой давности и значительном смещении пястных костей артродез возможен только при их укорочении. Всегда необходима ретроградная внутри- и чрескостная фиксация спицами запястно-пястных соединений.

Вывихи кисти

Вывихи костей кисти — это смещение суставных поверхностей костей кисти из-за травмы. Клинические проявления включают отек, деформацию и резкую боль в области повреждения. Движения кистью могут быть невозможны или сильно ограничены. Диагноз ставится на основе анамнеза, жалоб пациента, результатов осмотра и рентгенографии. Лечение включает закрытое или открытое вправление вывиха и наложение гипсовой повязки. В восстановительный период проводятся физиопроцедуры, массаж и лечебная физкультура.

Общие сведения

Вывихи костей кисти составляют 5% от общего числа вывихов. Их классифицируют на истинные, перилунарные, периладьевидно-лунарные, перитрехгранно-лунарные, чрезладьевидно-перилунарные, чрезладьевидно-чрезполулунные, а также вывихи пястных костей и фаланг пальцев. Особенности вывиха кисти зависят от анатомического строения сустава, положения кисти и направления сил, вызывающих травму.

Причины

Травма обычно возникает из-за падения с упором на кисть или прямого удара в область лучезапястного сустава. Чаще всего повреждение происходит в быту, реже — из-за спортивной или производственной травмы.

Патанатомия

В образовании лучезапястного сустава участвуют суставные поверхности лучевой и локтевой костей сверху, а снизу — восемь мелких костей запястья, расположенных в два ряда. Анатомические особенности сустава предрасполагают к вывихам полулунной и ладьевидной костей, находящихся в верхнем ряду запястья. Остальные кости запястья вывихиваются редко.

Виды вывихов кисти

Истинные вывихи кисти

Наблюдаются редко. При истинных вывихах кисти суставные поверхности верхнего ряда костей запястья смещаются относительно суставной поверхности лучевой кости. Чаще встречается полный тыльный вывих кисти, реже — полный ладонный. Полные вывихи кисти могут сочетаться с переломами лучевой кости и шиловидных отростков.

Перилунарные вывихи кисти

Вывихи кисти составляют около 90% всех вывихов. Они возникают при падении с упором на кисть или резком разгибании. При перилунарном вывихе кисти сохраняется контакт между полулунной и лучевой костью, в то время как остальные кости запястья смещаются к тылу и центру. Этот тип вывиха иногда сопровождается переломами трехгранной и ладьевидной костей, а также шиловидных отростков.

Периладьевидно-лунарные вывихи кисти

Полулунная и ладьевидная кости остаются на месте, в то время как остальные кости запястья смещаются к тылу и центру.

Перитрехгранно-лунарные вывихи кисти

Встречается крайне редко. Трехгранная и ладьевидная кости остаются на месте, в то время как остальные кости запястья смещаются к тылу и центру.

Чрезладьевидно-перилунарные вывихи кисти

Перелом ладьевидной кости всегда сопровождается вывихом. При этом полулунная кость и центральный фрагмент ладьевидной кости сохраняют свое положение. Остальные кости запястья, а также дистальный отломок ладьевидной кости смещаются к тылу.

Чрезладьевидно-чрезполулунные вывихи кисти

Перелом полулунной и ладьевидной костей сопровождается смещением дистальных отломков вместе с остальными костями запястья к тылу и центру, в то время как проксимальные (центральные) отломки остаются на месте.

Вывихи пястных костей

Пястные кости — короткие трубчатые кости, соединяющие запястье с пальцами. Они надежно удерживаются связками, поэтому вывихи случаются редко. Если пястные кости вывихиваются, это обычно сопровождается их переломами. Вправление пястных костей проводится под местной анестезией. Если консервативное вправление невозможно, применяются хирургические методы, а при нестабильности — фиксация спицами Киршнера.

Вывихи пальцев кисти

В межфаланговых суставах и в суставе между пястной костью и основной фалангой пальца возможны вывихи. Чаще всего наблюдается вывих первого пальца. Травма возникает при чрезмерном разгибании, реже — сгибании. Вывих сопровождается деформацией, отеком и резкой болью. Движения в травмированном суставе невозможны. Вправление вывиха осуществляется путем тяги за палец. Если вправление невозможно, это может быть связано с ущемлением мягких тканей, и в таком случае требуется оперативное вмешательство.

image

Симптомы вывихов кисти

Пациенты жалуются на резкую боль в области повреждения. Лучезапястный сустав и проксимальная часть кисти отечны и болезненны. Движения в суставе невозможны или сильно ограничены. При истинном вывихе кисти наблюдается пружинящее сопротивление при пассивных движениях.

Все тыльные вывихи сопровождаются выпячиванием на тыле кисти и сгибанием пальцев. При сдавлении срединного нерва отмечается нарушение чувствительности в зоне его иннервации. Окончательный диагноз устанавливается на основе рентгенограмм в двух проекциях, а в сомнительных случаях — в трех.

Лечение вывихов кисти

Пациенты должны незамедлительно обратиться в отделение травматологии и ортопедии или травмопункт. Вправление свежих вывихов выполняет врач-травматолог под наркозом, местной или проводниковой анестезией. Руку пациента сгибают в локтевом суставе под прямым углом, а ассистент удерживает конечность в нижней трети плеча. Травматолог тянет предплечье по оси, затем давит на область выбухания на тыльной поверхности кисти.

После вправления кисть сгибают под углом 40°. На пациента накладывают гипсовую лонгету от локтевого сустава до основания пальцев. Через две недели кисть переводят в нейтральное положение и фиксируют еще на две недели. Если после вправления сустав остается нестабильным, выполняется фиксация спицами Киршнера. При невозможности закрытого вправления и застарелых вывихах кисти устанавливают специальный дистракционный аппарат.

Сдавление срединного нерва требует срочного оперативного вмешательства. Послеоперационный срок фиксации при чрезладьевидно-перилунарных вывихах составляет 3-4 месяца, а при остальных вывихах кисти — 4-6 недель. Сразу после вправления вывиха пациенту рекомендуют двигать суставами пальцев. После снятия гипсовой лонгеты назначают физиотерапию, массаж и лечебную гимнастику для разработки лучезапястного сустава.

image

Вывих лучезапястного сустава причины, симптомы, методы лечения и профилактики

Дата публикации: 01.09.2018

Дата проверки статьи: 02.12.2019

Вывих лучезапястного сустава — это состояние, при котором суставные поверхности смещаются. Обычно такое повреждение возникает из-за падений или сильных ударов. Если вы вывихнули лучезапястный сустав и испытываете сильную боль, немедленно запишитесь на приём к травматологу.

Причины вывиха лучезапястного сустава

Лучезапястный сустав, благодаря своему строению, считается самым нестабильным в кисти. Поэтому он часто подвергается травмам, включая вывихи. Вывихи могут происходить из-за:

  • травм при занятиях контактными видами спорта;
  • ударов и падений на руку;
  • подъема тяжестей и других факторов.

Симптомы вывиха лучезапястного сустава

Вывих можно заподозрить при сильной боли в руке сразу после травмы. Боль может быть острой, пронизывающей или ноющей. Основной признак вывиха — неутихающие болезненные ощущения, которые не ослабевают даже через несколько часов.

Дополнительно пострадавшего могут беспокоить:

  • покраснение кожи в месте травмы, сменяющееся бледностью;
  • локальная отёчность мягких тканей;
  • заметная деформация, например, выпирающая головка кости, вышедшая из суставной сумки.

Методы диагностики

Симптомы вывиха могут напоминать признаки более серьезных повреждений, таких как перелом. Для точной диагностики врач ЦМРТ запишет жалобы, проведет осмотр и назначит рентген.

К какому врачу обратиться

После травмы руки не откладывайте визит к травматологу. Врач проведет диагностику и подберет лечение, которое поможет быстро устранить боль и последствия вывиха.

Как лечить вывих лучезапястного сустава

Врач ЦМРТ сначала подбирает обезболивающий препарат для снятия сильной боли. Затем он проводит вправление сустава под местной анестезией и накладывает гипсовую повязку. Чтобы избежать боли до заживления травмы, доктор назначает дополнительные обезболивающие.

Наиболее распространённые осложнения вывиха включают застойный отёк, деформацию руки, требующую хирургического вмешательства, и тугоподвижность сочленений в лучезапястном суставе. Эти проблемы могут снизить подвижность руки и вызвать постоянный дискомфорт. Поэтому важно не откладывать лечение вывиха.

Специфической профилактики вывихов не существует. Можно лишь снизить риск травм, проявляя осторожность во время активных движений и занятий спортом.

Отзывы пациентов

Точность диагностики и качественное обслуживание — главные приоритеты нашей работы. Мы ценим каждый отзыв наших пациентов.

Панина Валентина Викторовна
Актриса, заслуженная артистка РСФСР

Узнала о вас в интернете — нужно срочно сделать МРТ. После спектакля я пришла к вам. Мне очень понравились ваши сотрудники. Спасибо за внимание, доброжелательность и точность. Пусть у вас всё будет так же хорошо, как у меня сейчас, несмотря на все проблемы. Будьте!!! Нам на радость! Ваша Панина В.В.

Сергей Шнуров
Российский рок-музыкант, киноактёр, телеведущий и художник.

Ц. М. Р. Т. «Петроградский», спасибо! Огромное спасибо за профессиональное обслуживание в вашей клинике. Приятно и комфортно! Прекрасные люди, отличные условия.

Русанова

Хочу поблагодарить сотрудников за внимательное и доброжелательное отношение. Хорошо, что такая клиника есть.

Все очень грамотно, вежливое обслуживание. Буду рекомендовать эту клинику друзьям. Успехов!!!

Кузнецов В.А.

Очень отзывчивый администратор. Вежливая, культурная, добрая.

Храброва В.Е.

Выражаю благодарность администратору Кристине и Ринату Чубарову за внимательное и доброжелательное отношение при обследовании. Желаю, чтобы таких сотрудников было больше, это редкость в наши дни.

Выражаю огромную благодарность Екатерине Корневой за терпение, профессионализм, доброту и фантастическое отношение к пациентам. Большое спасибо за консультацию и обследование. Всё было вежливо, доступно и подробно объяснено.

Литература:

  1. Bangun H., Aulia F., Arianto A., Nainggolan M. Preparation of mucoadhesive gastroretentive drug delivery system of alginate beads containing turmeric extract and anti-gastric ulcer activity. Asian Journal of Pharmaceutical and Clinical Research. 2019; 12(1):316–320. DOI: 10.22159/ajpcr.2019.v12i1.29715.
  2. М.П. Киселева, З.С. Шпрах, Л.М. Борисова и др. Доклиническое изучение противоопухолевой активности производного N-гликозида индолокарбазола ЛХС-1208. Сообщение I // Российский биотерапевтический журнал. 2015. № 2. С. 71-77.
  3. Wise, «Review of the History of Medicine» (Л., 1967).
  4. Хирургия кистевого сустава.
  5. Дислокация костей запястья.
  6. Вывих лучезапястного сустава.
  7. З.С. Смирнова, Л.М. Борисова, М.П. Киселева и др. Противоопухолевая эффективность прототипа лекарственной формы соединения ЛХС-1208 для внутривенного введения // Российский биотерапевтический журнал. 2012. № 2. С. 49.
  8. Киржанова Е. А., Хуторянский В. В., Балабушевич Н. Г., Харенко А. В., Демина Н. Б. Методы анализа мукоадгезии: от фундаментальных исследований к практическому применению в разработке лекарственных форм. Разработка и регистрация лекарственных средств. 2014; 3(8): 66–80. DOI: 10.33380/2305-2066-2019-8-4-27-31.
  9. Moustafine R. I., Bukhovets A. V., Sitenkov A. Y., Kemenova V. A., Rombaut P., Van den Mooter G. Eudragit® E PO as a complementary material for designing oral drug delivery systems with controlled release properties: comparative evaluation of new interpolyelectrolyte complexes with countercharged Eudragit® L 100 copolymers. Molecular Pharmaceutics. 2013; 10(7): 2630–2641. DOI: 10.1021/mp4000635.
Ссылка на основную публикацию
Похожее