Пн-пт: 09:00—20:00; сб: 10:00—16:00 по предварительной записи
whatsapp telegram vkontakte email

Вывих коленного сустава (Вывих колена)

Внешний симптом.

Коленный сустав — один из крупных суставов скелетной системы человека. Он образован суставными поверхностями большеберцовой и бедренной костей, связками, надколенником и суставной капсулой. Вывих коленного сустава — это повреждение, чаще всего вызванное травмой, которое характеризуется смещением структур сустава и требует обязательного лечения.

image

Коротко об анатомии коленного сустава

Эффективное и доступное средство от боли в суставах существует…

Коленный сустав состоит из суставной поверхности большеберцовой кости, мыщелков бедра и надколенника (коленной чашечки), а также мениска. Он включает бедренно-большеберцовое и бедренно-надколенниковое сочленения, окружённые сухожилиями и мышцами бедра и голени.

Основная функция коленного сустава — распределение нагрузки при стоянии и ходьбе. Надколенник помогает сгибать квадрицепс бедра, передавая его силу на голень.

На фото представлено строение коленного сустава человека.

image

Как и почему появляется вывих колена

Вывих коленного сустава возникает при травме, когда суставные поверхности смещаются, нарушая целостность связок, мышечной ткани и суставной капсулы. Это приводит к полному или частичному выключению функции сустава, в зависимости от типа вывиха.

Выделяют несколько видов вывиха:

  1. Полный — коленный сустав смещается вперед или назад при ударе или ушибе, что приводит к потере контакта между суставными поверхностями костей.
  2. Неполный — сустав смещается внутрь или наружу, сохраняя частичный контакт между костными поверхностями.
  3. Закрытый и открытый — с сохранением или нарушением целостности кожи и суставной сумки.
  4. Осложненный — сопровождается разрывом мышц, переломом костей или разрывом мениска.
  5. Привычный — возникает неоднократно из-за растяжения связок.

В зависимости от причин вывих может быть:

  1. Травматическим — возникает при внешней травме, например, ударах в области колена или спортивных травмах. Часто страдает коленная чашечка и сочленение между бедренной костью и надколенником. При падении с высоты или в автодорожных авариях может произойти вывих голени из-за ее ротации при фиксированном бедре.
  2. Патологическим — появляется при артрозах, артритах, опухолях и других заболеваниях коленного сустава.
  3. Врожденным — возникает как аномалия внутриутробного развития.
  4. Устаревшим — результат своевременно не вылеченного первичного вывиха.

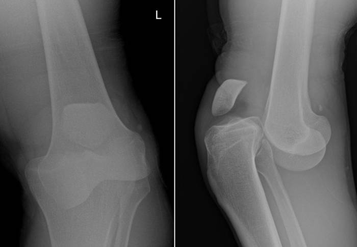
image

Вывих коленного сустава: симптомы и виды

Вывих характеризуется общими симптомами, не зависящими от локализации:

  1. Боль. При травме возникает резкая и интенсивная боль. Ее проявления зависят от тяжести повреждения, типа вывиха и времени оказания первой помощи. При движениях боль в колене усиливается.
  2. Вынужденная поза. Пациент принимает положение, в котором боль минимальна, и старается его не менять.
  3. Деформация суставной области. Внешний вид колена зависит от типа и тяжести вывиха.
  4. Дисфункция сустава — ограничение движений.
  5. Отек в области колена, вызванный кровоизлиянием в сустав или синовитом.

Вывих голени имеет свои симптомы. Повреждение боковой и крестообразной связки (при подвывихе страдает только крестообразная связка) приводит к смещению большеберцовой кости и обширному кровоизлиянию в суставную полость. Это может вызвать онемение голени и стопы, отсутствие пульса в сосудах стопы, а также бледность и синюшность кожи. В некоторых случаях развивается паралич голени, что требует немедленного вправления сустава, чтобы избежать необратимых изменений. Клинически вывих голени проявляется резкой болью и невозможностью движения. Конечность с травмой выпрямлена, колено деформировано. При переднем вывихе большеберцовая кость выступает вперед, при заднем — назад.

Вывих коленной чашечки может быть боковым, торсионным, полным или неполным (подвывихом). Чаще встречается боковой подвывих, возникающий при слабости связок колена и Х-образной деформации ног.

Симптомы вывиха коленной чашечки, если он не острый, проявляются «провалом» в суставе при сгибании ноги. Острая травма надколенника сопровождается болью, ограничением движений и отеком из-за гемартроза.

Как распознать вывих и не спутать с переломом, смотрите в данном видео:

https://youtube.com/watch?v=SDRrX-cJK6g

Привычный вывих возникает из-за частого выскакивания коленной чашечки из физиологичного русла. Он проявляется несильной болью и дискомфортом, со временем может привести к артрозу. Чаще всего страдают дети и молодые женщины. Первый эпизод может сопровождаться острой болью и невозможностью разогнуть ногу. В дальнейшем пациенты вправляют чашечку самостоятельно.

Причины привычного вывиха:

  • повышенная эластичность связок;
  • расположение надколенника выше нормального анатомического положения;
  • поврежденная и несращенная поддерживающая связка коленной чашечки;
  • уплощенные скользящие пути кости бедра.

Подвывих коленного сустава возникает из-за перерастяжения или разрыва связок надколенника, слабости бедренных мышц и анатомических аномалий. Это приводит к нестабильности коленной чашки даже при небольших травмах.

Симптомы: боль и хруст в колене при движении, ощущение нестабильности. Со временем подвывих может привести к артрозу и синовиту.

Врожденный вывих колена — редкая патология, развивающаяся у плода во втором триместре, чаще диагностируется у девочек. Лечение требует хирургического вмешательства.

Эта травма часто встречается у людей, занимающихся спортом. Выделяют три типа:

  1. Острый вывих.
  2. Застарелый вывих.
  3. Привычный вывих надколенника.

При остром вывихе наблюдается сильная боль, небольшой отек и ступенчатая деформация колена. Боль усиливается при попытках движения. Коленная чашечка смещена наружу, но может вернуться в физиологическое положение, что не исключает необходимости обращения к врачу.

image

Как диагностируется

Диагностика вывиха колена и его типа включает следующие этапы:

  1. Сбор анамнеза, визуальный осмотр и пальпация.
  2. Рентгенография для определения характера смещения и исключения повреждений костей, а также для дифференциальной диагностики вывиха и повреждения мениска.
  3. МРТ или компьютерная томография.
  4. Артериография — проводится при симптомах поражения сосудисто-нервного пучка для уточнения наличия травмы сосудов.
  5. УЗИ сустава и допплерография для анализа кровотока.
  6. Неврологическая проверка кожной чувствительности.
  7. Проверка наличия периферического пульса для оценки сосудистой проходимости.

Диагностику следует начинать как можно быстрее после появления первых признаков травмы коленного сустава, так как это влияет на выбор терапевтических мер и сроки восстановления.

Лечение вывиха колена

Начинать лечение вывихов необходимо немедленно. От оперативности первой помощи зависит функциональность сустава и его состояние.

Алгоритм первой помощи:

  1. Обеспечьте полный покой поврежденной ноге. Пациент не должен двигать ногой, чтобы избежать усугубления травмы.
  2. Обездвижьте колено. Для иммобилизации используйте шины, ортезы или туторы. Сустав должен оставаться неподвижным до профессионального вмешательства. Самостоятельное вправление колена может повредить сосуды и нервы в подколенной ямке.
  3. Прикладывайте холод к месту вывиха каждые 2 часа на 20 минут в первые 2-3 дня после травмы. Холод снижает отек и боль.
  4. Наложите давящую повязку для дополнительной фиксации сустава, снижения отека и боли. Используйте эластичный бинт или специальный бандаж на колено.
  5. При сильной боли дайте пациенту 1-2 таблетки анальгетиков (Диклофенак, Ибупрофен) или сделайте внутримышечную инъекцию.
  6. Поднимите ногу выше уровня тела, положив под нее валик из ткани или другую опору. Это уменьшает приток крови к месту повреждения и снижает количество жидкости в суставе.

Лечение в специализированных условиях включает три этапа:

  • вправление;
  • фиксация;
  • реабилитация.

Все этапы проводятся только специалистом. При необходимости выполняется пункция сустава для удаления синовиального экссудата или крови. Вправление и пункцию делают под общим или местным обезболиванием. В полость сустава вводят антисептики, гемостатики и противовоспалительные средства для предотвращения инфекции.

Разрыв связок коленного сустава является показанием для операции, выполняемой открытым доступом или артроскопией.

При застарелых вывихах в суставе образуется рубцовая ткань, а в области колена — мышечная контрактура, что делает консервативное лечение невозможным и требует операции. Вправленный коленный сустав фиксируется иммобилайзером или гипсовой повязкой на 3-5 недель.

Некоторые пациенты используют народные средства. Один из таких людей, Виктор Николаевич, поделился методом вправления колена в видео:

Как вправить колено, вправление колена, как вылечить. Лечение коленного сустава.Как вправить колено, вправление колена, как вылечить. Лечение коленного сустава.

Народные средства

После вправления коленного сустава, если пациент находится на домашнем лечении, можно использовать некоторые народные средства:

  1. Компрессы с отварами и настоями лекарственных трав.
  2. Молочный компресс: марлевую повязку, вымоченную в горячем молоке, приложите на пять минут к поврежденному колену.
  3. К суставу прикладывают кашицу из лука с сахаром в соотношении 1:10, накрывают повязкой и носят 5-6 часов.
  4. Чесночный компресс: из 2-3 головок чеснока и яблочного уксуса готовят кашицу, настаивают неделю в холодильнике и накладывают на область колена.

Пациентам с вывихом назначают препараты для восстановления связочного аппарата, обезболивающие и противовоспалительные средства.

Реабилитация и рекомендации

Реабилитация после лечения травмы коленного сустава направлена на восстановление его полноценной функции и включает:

  1. Массаж.
  2. Физиотерапию.
  3. Лечебную физкультуру (ЛФК).
  4. Правильное питание.
  5. Витаминные комплексы.
  6. Ношение бандажей и ортезов.

На этапе реабилитации часто применяется массаж. Подробную методику можно посмотреть на видео:

Виде урок по Массажу коленаВиде урок по Массажу колена

ЛФК эффективна при лечении привычного вывиха. Специально подобранный комплекс упражнений, выполняемый регулярно, помогает восстановить подвижность сустава и укрепить мышцы. Рекомендуется также ходьба для разработки и укрепления мышц вокруг сустава. В начале реабилитации на колено следует накладывать эластичную повязку.

Полное выздоровление пациента происходит через 3-4 месяца после лечения и реабилитации.

Прогноз лечения вывиха колена благоприятный при соблюдении следующих рекомендаций:

  1. Исключить тяжелые физические нагрузки и экстремальные виды спорта.
  2. Перед физической активностью использовать эластичную повязку или наколенник для фиксации сустава.
  3. При отеке в конце дня можно слегка массировать колено с использованием мазей, снимающих отек.
  4. Избегать длительного стояния на ногах.

При своевременном и грамотном лечении, реабилитации и соблюдении всех рекомендаций вывих коленного сустава пройдет без последствий и хронической боли, и колено восстановит свои функции.

О лечении повреждений коленного сустава рассказывает врач травматолог-ортопед, кандидат медицинских наук Юрий Константинович Глазков:

Лечение повреждений передней крестообразной связки коленного сустава.Лечение повреждений передней крестообразной связки коленного сустава.

Как забыть о болях в суставах?

Ортопед Валентин Дикуль утверждает, что существует действительно эффективное средство от боли в суставах.

Вывих коленного сустава (Вывих колена)

Вывих коленного сустава — это смещение суставных поверхностей костей, образующих коленный сустав. Существует два вида вывихов: смещение большеберцовой кости относительно бедренной и смещение надколенника относительно большеберцовой и бедренной костей. Патология проявляется резкой болью, отеком и деформацией в области повреждения. Движения в суставе невозможны. Лечение включает немедленное вправление и последующую иммобилизацию. При вывихах большеберцовой кости часто требуются восстановительные операции в дальнейшем.

Общие сведения

Вывих коленного сустава — это состояние, при котором суставные поверхности костей смещаются и теряют конгруэнтность. В травматологии и ортопедии различают два типа вывихов: вывих большеберцовой кости и вывих надколенника.

Вывих большеберцовой кости встречается крайне редко и обычно является следствием значительного травматического воздействия. Он может привести к серьезным последствиям, таким как нестабильность сустава и артроз. Вывих надколенника — более распространенная травма, прогноз при которой обычно благоприятен.

Причины

Вывихи коленного сустава бывают приобретенными (травматическими) и врожденными. Травматический вывих большеберцовой кости (ББК) может произойти из-за природных или производственных катастроф, автокатастроф, падений с высоты и других факторов. Часто наблюдаются сочетания с другими травмами, такими как переломы костей, черепно-мозговые травмы, повреждения грудной клетки и травмы мочеполовых органов. Вид вывиха ББК зависит от механизма травмы:

  • Передний вывих возникает при насильственном переразгибании коленного сустава с фиксированной голенью или при прямом воздействии на нижнюю часть бедра спереди или на верхнюю часть голени сзади.
  • Задний вывих формируется из-за сильного давления или толчка сзади на нижние отделы бедра или спереди на верхний отдел голени.
  • Наружный и внутренний вывихи развиваются при резком давлении на боковые поверхности бедра с фиксированными нижними отделами конечности или на боковые части голени при фиксированном бедре.

Приобретенный вывих надколенника обычно возникает из-за падения или бокового удара по колену, сочетания с другими травмами встречаются редко. Врожденные вывихи коленного сустава встречаются редко и связаны с неблагоприятными факторами на этапе эмбриогенеза.

Патогенез

Бедренная и большеберцовая кости соединяются, образуя коленный сустав, который имеет капсулу и укреплен мощными связками. Между суставными концами костей расположены эластичные прокладки — мениски. Значительное смещение суставных поверхностей возможно только при высокоэнергетических травмах, которые нарушают целостность многих элементов сустава. Поэтому вывихи коленного сустава часто сопровождаются разрывами связок, повреждениями менисков и переломами эпифизарной и метафизарной зон.

Надколенник находится спереди и представляет собой сесамовидную кость (окостеневшую часть сухожилия), не соединяющуюся с другими костями. Сверху он фиксируется сухожилиями четырехглавой мышцы бедра, а снизу — собственной связкой надколенника. При вывихе надколенник может смещаться вбок (внутрь или наружу), разворачиваться вокруг своей оси или вклиниваться в суставную щель между большеберцовой и бедренной костями. Основные структуры колена при этом часто остаются неповрежденными или повреждаются незначительно.

Симптомы

Передний вывих коленного сустава

Наиболее распространенным является вывих в области ББК. Он сопровождается разрывом крестообразных связок и задних отделов суставной сумки. Часто также наблюдаются разрывы боковых и срединных связок. Возможны сдавление или повреждение подколенных сосудов, а также малоберцового и большеберцового нервов. При повреждении сосудов голень становится бледной, холодной и синюшной, пульс ослаблен или не определяется. Повреждение нервов может привести к расстройствам чувствительности и параличам.

Пациент испытывает интенсивные боли в области поражения. Колено отечное и резко деформировано, при осмотре выявляются гематомы и кровоизлияния. Активные движения невозможны, при попытке пассивных движений ощущается пружинящее сопротивление. Опора на ногу невозможна. При полных вывихах нога находится в состоянии разгибания или незначительного сгибания, наблюдается укорочение конечности.

При неполных вывихах конечность находится в положении легкого сгибания, укорочение отсутствует. Коленный сустав значительно увеличен в переднезаднем направлении. На передней поверхности прощупываются бугристость и мыщелки большеберцовой кости, а на задней — мыщелки бедренной кости. Надколенник занимает косое положение и «ложится» на суставную поверхность ББК.

Задний вывих коленного сустава

Повреждение крестообразных связок часто сопровождается разрывом боковых и срединных связок. Возможен отрыв собственной связки надколенника в месте прикрепления к бугристости большеберцовой кости. Пациент испытывает сильные боли. В области повреждения наблюдаются значительный отек, синюшность, участки кровоизлияний и выраженная деформация. Движения в колене отсутствуют, опорная функция конечности утрачена.

При полном вывихе нога находится в положении разгибания и укорочена. При неполном вывихе нижняя конечность согнута, укорочение отсутствует. Мыщелки бедра выступают вперед, а суставная поверхность большеберцовой кости — сзади. Надколенник располагается косо на мыщелках бедра. Часто наблюдаются повреждения нервов и сосудов, что проявляется соответствующей симптоматикой.

Боковые вывихи коленного сустава

Внутренние и наружные вывихи колена встречаются редко и обычно являются неполными. Они сопровождаются разрывом боковой и срединной связок. Колено деформировано, отечное и резко болезненное. Невозможно опираться на ногу и выполнять движения. Нога находится в согнутом положении, стопа повернута. Надколенник смещается в сторону, противоположную вывиху, и занимает косо-поперечное положение.

Вывих надколенника

Повреждение сопровождается резкой болью. Коленный сустав отечен и слегка согнут. В передних отделах наблюдается деформация. Наиболее часто встречается наружный вывих надколенника, в то время как смещение кнутри и вклинение между другими костями происходят реже. Объем колена увеличен, обычно определяется гемартроз. Активные движения отсутствуют, пассивные сильно ограничены. При пальпации надколенник смещен, ощупывание области повреждения вызывает резкую боль.

Врожденные вывихи коленного сустава

Данная врожденная аномалия сустава проявляется при рождении или в раннем возрасте. Вывих надколенника чаще встречается у мальчиков и может сочетаться с недоразвитием надколенника и наружного мыщелка, а также с другими аномалиями коленного сустава. Основные симптомы включают шаткость походки, неустойчивость и быструю утомляемость конечности.

Врожденный вывих голени часто наблюдается с обеих сторон и сопровождается недоразвитием коленного и голеностопного суставов. Возможны гипоплазия или аплазия большеберцовой кости. Без хирургического вмешательства с возрастом патология усугубляется, а вывихи надколенника и большеберцовой кости могут привести к тяжелым артрозам.

Осложнения

Ранние осложнения вывиха надколенника встречаются редко. В отдаленные сроки могут возникать нестабильность и привычные вывихи. Смещение ББК обычно сопровождается серьезными повреждениями других структур. При таких вывихах колена всегда наблюдается разрыв связок, а также часто нарушается целостность сосудов и нервных стволов. После выздоровления существует риск формирования нестабильности сустава и раннего развития прогрессирующего гонартроза.

Диагностика

Диагностика проводится в приемном покое. Характер повреждения устанавливается на основе осмотра травматолога и дополнительных исследований. План обследования при вывихах коленного сустава включает:

  • Внешний осмотр. Выявление вывихов ББК не вызывает затруднений из-за заметного нарушения контуров сустава и отсутствия движений на фоне пружинящего сопротивления. Смещение надколенника также легко определяется визуально из-за деформации передней части колена.
  • Рентгенография коленного сустава. Это основной инструментальный метод исследования. На рентгенограммах определяют тип (передний, задний, боковые) и степень (полный, неполный) вывиха ББК, а также выявляют сопутствующие переломы. При вывихах надколенника уточняют вариант смещения (вбок, с разворотом, с вклинением).
  • Другие визуализационные методики. Эти методы являются вспомогательными и применяются для уточнения характера и тяжести повреждения мягких тканей, а также для выбора оптимальной тактики лечения. Для оценки состояния капсулы и связок могут назначаться МРТ и УЗИ коленного сустава.
  • Артроскопическое исследование. На этапе первичного обследования артроскопия не используется. Она может быть назначена после вправления, если консервативное лечение не дало результатов и требуется планирование оперативного вмешательства.

При подозрении на повреждение сосудов необходима консультация сосудистого хирурга. Если есть риск сдавления или разрыва нервов, требуется консультация нейрохирурга или невропатолога.

Лечение вывиха коленного сустава

Первая помощь

На этапе первой помощи ногу пострадавшего фиксируют шиной от стопы до тазобедренного сустава в текущем положении. Насильственное изменение положения конечности строго запрещено, так как это может усугубить травму. Пациенту дают обезболивающее, прикладывают холод к области колена для уменьшения отечности и организуют немедленную доставку в специализированное медицинское учреждение.

Лечение вывиха надколенника

Ведение больного обычно консервативное. Травматолог-ортопед вправляет надколенник под местной анестезией (у детей используется наркоз). При гемартрозе выполняется пункция коленного сустава. Затем накладывают гипсовую лонгету и проводят контрольную рентгенографию. Иммобилизацию продолжают 4-6 недель, назначают УВЧ и массаж.

В некоторых случаях, особенно при преждевременном прекращении иммобилизации, возможны рецидивы. Поэтому в последние годы активные методы лечения применяются не только при привычных вывихах, но и в профилактических целях. Хирургические методики включают:

  • Артроскопическую стабилизацию. Это малоинвазивное вмешательство, проводимое при наружных вывихах на раннем этапе лечения для профилактики рецидивов, подвывихов и нестабильности сустава. Включает чрескостный шов медиальной связки и латерорелиз (рассечение) латеральной связки.
  • Открытую фиксацию. Выполняется при привычных вывихах коленного сустава с использованием традиционного разреза. Предусматривает фиксацию надколенника путем подшивания мышечного лоскута, участка фасции четыреглавой мышцы или капсулы сустава.

В послеоперационном периоде проводят перевязки, назначают антибиотикотерапию и осуществляют реабилитационные мероприятия.

Лечение вывиха ББК

Процедура проводится в травматологическом отделении. Для предотвращения повреждения сосудов и нервов необходимо немедленное вправление. Манипуляция осуществляется под спинномозговой анестезией или общим наркозом. Затем выполняется пункция сустава, накладывается гипсовая повязка и проводится рентгенконтроль. Возможны следующие хирургические вмешательства:

  • При разрыве сосудов и нервов, осложняющем вывих коленного сустава, показано оперативное лечение. Это может включать шов нерва с участием нейрохирурга и шов или перевязку артерии с помощью сосудистого хирурга.
  • При значительных повреждениях сумочно-связочного аппарата вывих ББК может привести к нестабильности колена. В таких случаях многие специалисты предпочитают активную хирургическую тактику, включая открытое вправление и сшивание связок.

После вправления вывиха коленного сустава пациента направляют на УВЧ. Гипс сохраняется 4-6 недель, после чего разрешают ходьбу. В восстановительный период назначаются лечебная физкультура и массаж.

Лечение врожденных вывихов

Основным методом лечения являются хирургические операции. Выбор методики и возраст проведения вмешательства зависят от характера вывиха:

  • Вывихи надколенника. Операции проводят в детском или юношеском возрасте. Метод включает перемещение собственной связки с последующей фиксацией.
  • Вывихи голени. Хирургическую коррекцию рекомендуют после достижения 2 лет. Объем вмешательств варьируется в зависимости от особенностей патологии и может включать костную пластику, пластику связок и другие манипуляции.

Прогноз

Исход зависит от типа вывиха коленного сустава. После вывихов ББК рецидивы случаются редко. Возможны шаткость походки и ограничение движений. Часто наблюдается нестабильность сустава, что может привести к раннему развитию деформирующего артроза. Для полного восстановления трудоспособности многим пациентам необходимы реконструктивные операции на связках.

При травмах надколенника прогноз благоприятный, но у некоторых пациентов после выздоровления может возникнуть привычный вывих, требующий хирургического вмешательства. Полнота восстановления функций конечности при врожденных пороках зависит от тяжести аномалии и своевременности лечения.

Профилактика

Меры по предупреждению травматических вывихов колена включают соблюдение техники безопасности на производстве, следование правилам дорожного движения, а также предотвращение бытовых и спортивных травм. Профилактика врожденных вывихов не разработана.

Литература:

  1. Мирский, «Медицина России X—XX веков» (Москва, РОССПЭН, 2005, 632 с.).
  2. Daremberg, «Histoire des sciences médicales» (П., 1966).
  3. Patil H., Tiwari R. V., Repka M. A. Recent advancements in mucoadhesive floating drug delivery systems: A mini-review. Journal of Drug Delivery Science and Technology. 2016; 31: 65–71. DOI: 10.1016/j.jddst.2015.12.002.
  4. Клиника Опора — вывих коленного сустава.
  5. Красота и медицина — вывих коленного сустава.
  6. Ковнер, «Очерки истории M.»
  7. Мирский, «Хирургия от древности до современности. Очерки истории.» (Москва, Наука, 2000, 798 с.).
Ссылка на основную публикацию
Похожее