Пн-пт: 09:00—20:00; сб: 10:00—16:00 по предварительной записи
whatsapp telegram vkontakte email

Вывих предплечья

Вывих предплечья — это смещение суставных поверхностей локтевой, лучевой и плечевой костей. Он сопровождается резкой болью, деформацией и значительным отеком сустава, что делает движения невозможными. Диагноз ставится на основе осмотра и рентгенологических данных. При необходимости уточнения характера травмы могут быть выполнены МРТ или КТ. Лечение включает вправление вывиха и фиксацию сустава гипсовой повязкой на 2-3 недели. После снятия гипса проводится восстановительная терапия: физиолечение, массаж и лечебная физкультура (ЛФК).

Общие сведения

Вывих предплечья занимает второе место по частоте и составляет 18–27% от общего числа вывихов. У детей он встречается чаще и часто сопровождается переломами костей плеча и предплечья. Вывих может быть неполным (суставные поверхности частично соприкасаются) или полным (соприкосновение отсутствует). В более чем 90% случаев вывихиваются обе кости предплечья. Изолированные вывихи одной из костей встречаются редко.

Патанатомия

Локтевой сустав формируется суставными поверхностями плечевой, лучевой и локтевой костей. Он окружен тонкой суставной капсулой, укрепленной по бокам двумя прочными связками.

Классификация

В травматологии и ортопедии выделяют следующие виды вывихов обеих костей предплечья:

  • задние;
  • передние;
  • кнутри;
  • кнаружи;
  • расходящиеся.

Также возможны изолированные вывихи лучевой кости (кзади, кпереди, кнаружи) и изолированные вывихи локтевой кости.

Виды вывиха предплечья

Задний вывих

Задний вывих предплечья возникает из-за непрямой травмы, например, при падении на вытянутую руку с переразогнутым локтем. В этом случае капсула локтевого сустава разрывается, и нижняя часть плеча смещается вперед. Задний вывих может сопровождаться переломом мыщелков плечевой кости у взрослых или переломом надмыщелков плеча у детей.

Пациент с задним вывихом жалуется на резкую боль в области повреждения. Рука находится в вынужденном положении легкого сгибания. Сустав деформирован, увеличен в объеме, активные движения невозможны, а при попытке пассивных движений ощущается пружинящее сопротивление. При осмотре спереди предплечье выглядит укороченным, а локтевой отросток смещен вверх и назад. В области локтевого сгиба можно прощупать нижнюю часть плечевой кости.

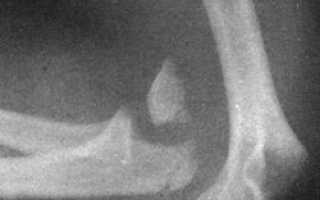
Передний вывих

Передний вывих предплечья встречается редко. Он возникает из-за прямого удара в область локтевого сустава при согнутой руке. Такие вывихи могут сопровождаться переломом локтевого отростка. Травма вызывает резкую боль. При осмотре наблюдается удлинение предплечья с пораженной стороны и западение в области локтевого отростка. Активные движения в локтевом суставе невозможны, а при попытке пассивных движений возникает пружинящее сопротивление. Ограничение функции сустава менее выражено, чем при задних вывихах предплечья.

image

Боковые вывихи

Наружный вывих предплечья наблюдается редко и может сочетаться с повреждением срединного или локтевого нерва, что приводит к потере чувствительности в зоне иннервации. Как и другие вывихи, он вызывает резкую боль, ограничивает активные движения в суставе и вызывает пружинящее сопротивление при попытке пассивных движений.

Наружный вывих предплечья возникает из-за прямого удара на локтевой сустав с внутренней стороны. Полный вывих встречается редко. Он сопровождается деформацией, отеком и смещением оси сустава наружу. Вывих предплечья внутрь также происходит в результате прямого удара, но в этом случае удар направлен снаружи внутрь. Пациенты жалуются на резкую боль, отек и деформацию локтевого сустава, а ось сустава смещена внутрь.

Лечение вывиха предплечья

Вправление предплечья проводят под общим или местным обезболиванием. Руку отводят и слегка разгибают в локтевом суставе. Хирург охватывает плечо пострадавшего в нижней трети двумя руками, располагая большие пальцы на локтевом отростке.

Помощник удерживает кисть. Производят тракцию по оси конечности, а хирург большими пальцами сдвигает локтевой отросток и головку лучевой кости вперед, одновременно оттягивая плечо назад, используя его как точку опоры. Если предплечье вправлено, появляются свободные пассивные движения.

Методика вправления заднего вывиха предплечья на согнутом локтевом суставе до угла 90° считается неправильной, так как может привести к перелому венечного отростка.

Конечность фиксируют задней гипсовой лонгетой от верхней трети плеча до головок пястных костей. Обязателен рентгенологический контроль. Срок иммобилизации составляет 5-10 дней. Затем назначают реабилитационное лечение: ЛФК, физиотерапию, водолечение. На ранних стадиях не рекомендуется массаж локтевого сустава, механотерапия и форсированные пассивные движения, так как они могут усилить оссификацию периартикулярных тканей.

Изолированные вывихи и подвывихи у детей

Такие вывихи встречаются редко, за исключением подвывиха головки лучевой кости у детей до 5 лет. Чаще всего пострадавшие — дети в возрасте от 1 до 3 лет. Повреждение происходит из-за резкого дерганья, потягивания за руку или попытки удержать ребенка во время падения. Ребенок испытывает умеренную боль в области сустава. Рука вытянута вдоль туловища, сгибание в суставе вызывает резкую боль. При пальпации отмечается болезненность локтевого и лучезапястного суставов, а также предплечья.

Рентгенологические исследования при этой травме имеют низкую информативность и проводятся только в сомнительных случаях. Для вправления головки врач аккуратно тянет за предплечье, сгибает руку в локтевом суставе и поворачивает ладонью вниз, одновременно надавливая на головку лучевой кости. В момент вправления может быть слышен характерный щелчок. Вправление подвывиха головки лучевой кости у детей проходит легко и практически безболезненно. Анестезия не требуется, так как она может вызвать больше неприятных ощущений, чем само вправление.

Литература 1. Атлас травматических вывихов/ М.И. Синило 2. Травматология и ортопедия/ под ред. Н.В. Корнилова 3. Травматология и ортопедия/ Ю.Г. Шапошников 4. Травматология/ Г.П. Котельников Код МКБ-10 S53.1 S53.0

Вывих предплечья — лечение в Москве

Вывих предплечья: причины, симптомы, диагностика, лечение

Медицинский эксперт статьи

Весь контент iLive проверяется медицинскими экспертами для обеспечения точности и соответствия фактам.

Мы строго отбираем источники информации, ссылаясь только на авторитетные сайты, академические исследовательские институты и, по возможности, проверенные медицинские исследования. Цифры в скобках ([1], [2] и т. д.) являются интерактивными ссылками на эти исследования.

Если вы считаете, что какой-либо из наших материалов неточен, устарел или вызывает сомнения, выделите его и нажмите Ctrl + Enter.

Код по МКБ-10

S53. Вывих, растяжение и повреждение капсульно-связочного аппарата локтевого сустава.

Эпидемиология вывиха предплечья

Вывихи предплечья составляют 18-27% всех вывихов.

Вывих обеих костей предплечья кзади

Код по МКБ-10

S53.1. Вывих в локтевом суставе неуточнённый.

Эпидемиология

Вывих обеих костей предплечья назад составляет около 90% всех вывихов в локтевом суставе. Он обычно возникает в результате непрямого механизма травмы — падения на вытянутую руку с переразгибанием в локтевом суставе.

Симптомы вывиха предплечья

Пострадавшего беспокоят боль и нарушение функций локтевого сустава, возникшие после травмы.

Классификация вывиха предплечья

В локтевом суставе возможен одновременный вывих обеих костей предплечья, а также изолированный вывих лучевой или локтевой кости. В зависимости от этого различают следующие виды вывихов предплечья:

  • Вывих обеих костей предплечья: кзади, кпереди, кнаружи, кнутри и расходящийся.
  • Вывих лучевой кости: кпереди, кзади, кнаружи.
  • Вывих локтевой кости.

Показания к госпитализации

Наиболее часто встречаются вывих обеих костей предплечья кзади и подвывих головки лучевой кости кпереди у детей. Эти случаи могут лечиться амбулаторно. Остальные виды вывихов встречаются реже и требуют общего обезболивания и других сложностей, поэтому пациентов следует направлять в дежурный стационар для получения помощи.

Диагностика вывиха предплечья

В анамнезе — травма. Сустав отёчен и деформирован. На задней поверхности, на расстоянии от плеча, под кожей выступает локтевой отросток. Нарушены треугольник и линия Гютера. Предплечье укорочено. Активные и пассивные движения в локтевом суставе отсутствуют, их попытка вызывает острую боль. Отмечается положительный симптом пружинящего сопротивления.

Лабораторные и инструментальные исследования

На рентгенограммах в двух проекциях видно разобщение сочленяющихся поверхностей плеча и предплечья.

Для уточнения диагноза необходимо проверить двигательную функцию и кожную чувствительность в зоне иннервации локтевого, лучевого и срединного нервов.

Приблизительный срок нетрудоспособности

Трудоспособность восстанавливается через 6-8 недель.

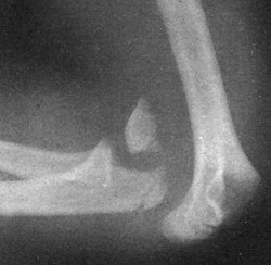
Острые вывихи предплечья

Вывихи предплечья в травматологической практике встречаются редко. По данным Josefsson, их частота составляет всего 6 на 100 тысяч случаев. Средний возраст пациентов — около 30 лет, при этом мужчины страдают в два раза чаще. Почти 40% вывихов связаны со спортивными травмами, около 10% происходят в результате ДТП.

Наиболее распространенной причиной вывиха является падение на вытянутую руку. Согласно O’Driscoll, при варусном воздействии первым разрывается наружный коллатеральный комплекс. Если же возникает вращающая сила, происходит разрыв суставной капсулы и вывих.

При падении на слегка согнутую руку последовательность разрыва стабилизаторов может быть иной: сначала разрывается медиальная локтевая коллатеральная связка (MUKL), затем суставная капсула, и предплечье вывихивается. В любом случае повреждается «кольцо стабильности».

image

Классификация

Вывихи делятся на:

  • Передние — встречаются крайне редко, в 1-2% случаев.
  • Задние.
  • Наружные.

Большинство вывихов являются задненаружными. Чистые наружные вывихи встречаются реже, а заднемедиальные — ещё реже.

Кроме направления смещения, выделяют:

  • Полные вывихи.
  • Подвывихи.

При подвывихах венечный отросток располагается напротив блока плечевой кости. Разрывы боковых стабилизаторов и капсулы менее обширные, что способствует более быстрому и полному восстановлению функции.

Morrey также выделяет дивергирующий (расходящийся) вывих предплечья, который относится к крайне редким повреждениям — известно всего о 10 таких случаях.

Отличие вывиха предплечья от вывиха голени

Вывих голени Вывих предплечья
Обычно разрываются обе крестообразные связки и один из коллатеральных связочных комплексов («углов»). Практически всегда разрываются медиальная и наружная коллатеральные связки.

Josefsson при оперативном лечении острых вывихов предплечья у 21 пациента обнаружил разрывы медиальных и латеральных коллатеральных связок у всех пострадавших.

По Morrey, кальцификация одной или обеих боковых связок является косвенным признаком их повреждений при острых вывихах.

Особенности острого вывиха

В травматологической практике перелом венечного отростка встречается редко. Однако при вывихах предплечья часто диагностируется перелом верхушки венечного отростка.

Этот перелом указывает на отрыв плечевой мышцы, что чаще происходит при задних вывихах предплечья.

Если при поступлении пациента на рентгенограмме в боковой проекции наблюдаются правильные суставные отношения при наличии такого перелома, можно с высокой вероятностью предположить спонтанно вправившийся задний вывих предплечья.

Еще одной особенностью этого перелома является образование гетеротопических оссификатов в области повреждения плечевой мышцы.

«Ужасная» триада

Plancher и Lucas описали «ужасную» триаду (terrible triad) при переднем вывихе предплечья:

  • Разрыв медиальной коллатеральной связки
  • Перелом головки лучевой кости
  • Перелом венечного отростка

Исследование вывихов

В последнее время артроскопия локтевого сустава стала широко применяться в клинической практике. Она используется не только для диагностики, но и для выполнения различных оперативных манипуляций.

При исследовании пациентов с травмой локтевого сустава важно тщательно оценить нейрососудистый статус конечности и выполнить рентгенограммы в стандартных проекциях.

Компьютерная томография (КТ) может быть необходима при сопутствующих переломах головки лучевой кости (встречается в 10% случаев вывиха предплечья), венечного и локтевого отростков, а также при отрывных переломах надмыщелков плеча.

Магнитно-резонансная томография (МРТ) требуется редко.

Следует учитывать возможность травмы сосудов (плечевой артерии) и нервов (срединного) при задних вывихах предплечья. Лечебная тактика при разрыве плечевой артерии остается предметом обсуждения. Grimer, Brooks, Rutherford и Kelly считают, что при наличии пульсации на лучевой артерии не требуется обнажения и ревизии сосудов. В то же время, Amsallem рекомендует перевязку артерии и восстановление плечевой вены с помощью венозного трансплантата.

Исследование проводимости срединного нерва обязательно при вывихах предплечья. Повреждения нерва, такие как ущемление, контузия или тракционное повреждение, описаны различными специалистами. Поэтому проверка болевой чувствительности на кисти должна быть частью обследования пациента с вывихом предплечья.

При остром вывихе предплечья важно обратить внимание на дистальный радиоульнарный сустав и межкостную мембрану, чтобы не упустить повреждение Essex-Lopresti.

Лечение острого вывиха предплечья

В лечении острого вывиха основным методом является атравматическое закрытое вправление. Его успех во многом зависит от качества анестезии. Обычно применяют внутрисуставное введение анестетика или проводниковую подмышечную анестезию. У молодых людей с развитой мускулатурой иногда требуется внутривенная анестезия.

Для вправления задних вывихов предплечья используется следующий прием: помощник удерживает руку в положении легкого сгибания, а хирурги располагают кисти на задней поверхности верхней трети предплечья. Перекрещенные пальцы, находящиеся на передней поверхности нижней трети плеча, смещают плечо назад, в то время как большие пальцы перемещают предплечье вперед.

Затруднения при репозиции чаще всего возникают из-за недостаточной анестезии, когда боль усиливает мышечный спазм и мешает вправлению. Необходимо избегать многократных попыток репозиции, чтобы не повредить сосуды, нервы и мягкие ткани, что может привести к развитию гетеротопических оссификатов и другим осложнениям.

Реабилитация после вывиха предплечья

Иммобилизация локтевого сустава обычно длится не менее трёх недель. Полноценные тренировки разрешаются не ранее чем через шесть недель после вправления вывиха.

Вывихи предплечья

Вывихи предплечья занимают второе место по частоте среди всех вывихов (18-27%).

  1. Вывихи обеих костей предплечья: кзади, кнутри, кнаружи, кпереди, расходящийся.
  2. Вывихи одной лучевой кости: кпереди, кзади, кнаружи.
  3. Вывихи одной локтевой кости.

Наиболее распространены задние вывихи обеих костей предплечья (до 90% всех вывихов локтевого сустава). Вывихи могут быть полными и неполными; при неполных сохраняется частичное соприкосновение суставных поверхностей.

Вывихи возникают как от прямой, так и от непрямой травмы. Под действием силы предплечье смещается в определенном направлении. Обе кости, связанные кольцевидной связкой и межкостной мембраной, обычно смещаются вместе; вывих одной кости встречается реже. Вывихи могут осложняться отрывом венечного отростка (чаще при задних вывихах), переломами локтевой и лучевой костей, мыщелков и отрывами надмыщелков плечевой кости.

Этот тип вывиха чаще всего происходит при падении на ладонь (непрямая травма) с разогнутой рукой в локтевом суставе. Резкое переразгибание приводит к упиранию локтевого отростка в локтевую ямку, разрыву передней части суставной сумки и смещению нижней части плеча вперед. Предплечье подтягивается кзади из-за сокращения трехглавой мышцы.

Боль в локтевом суставе, поддержка предплечья здоровой рукой. Область локтевого сустава деформирована, наблюдается припухлость и кровоизлияние. Предплечье находится в положении неполного фиксированного разгибания (120-140°) и слегка пронировано. Плечо кажется удлиненным, предплечье — укороченным. Ось предплечья смещена кнутри или кнаружи от оси плеча. Локтевой отросток выступает кзади; между разгибательной поверхностью нижнего отдела плеча и локтевым отростком видно дугообразное углубление. Головка лучевой кости выступает сзади и снаружи. Длина окружности на уровне локтевого сгиба и локтевого отростка на стороне вывиха увеличена. Верхушка локтевого отростка находится на 2-3 см выше мыщелков плеча. Активные и пассивные движения невозможны; при попытке движения определяется симптом пружинящего сопротивления.

Больному вводят 1 мл 1% раствора морфина. Вправление можно проводить под наркозом или местным обезболиванием. В сустав вводят 20 мл 2% или 30 мл 1% раствора новокаина. Больного укладывают на стол, плечо отводят до прямого угла. Хирург охватывает плечо над локтевым суставом, один палец на сместившемся локтевом отростке, другой — на головке лучевой кости. Помощник удерживает предплечье в нижней трети и кисть. Хирург и помощник плавно растягивают руку, сгибая ее в локтевом суставе. Хирург сдвигает локтевой отросток и головку лучевой кости. Обычно вывих вправляется легко, и больной может свободно двигать локтевым суставом. Рентгенологический контроль необходим до и после вправления.

После вправления локтевой сустав фиксируют гипсовой шиной под прямым углом, придавая предплечью положение супинации. Повязку накладывают на 5-10 дней в зависимости от повреждения связок и склонности к повторному вывихиванию. Со второго дня начинают лечебную гимнастику — движения в пальцах и плечевом суставе. После снятия гипса назначают движения в локтевом суставе, постепенно увеличивая силу и объем: сгибание, разгибание, пронацию и супинацию. Массаж и пассивные движения противопоказаны, так как в окружающих тканях могут развиваться оссифицирующие процессы, ограничивающие функцию локтевого сустава.

Встречаются редко. Ось предплечья смещена кнутри, степень смещения варьирует. Обычно вывих неполный и сопровождается тяжелым повреждением мягких тканей, сумки и связок. Локтевой сустав расширен в поперечном направлении, наружный мыщелок хорошо прощупывается.

Один помощник удерживает плечо, другой производит вытяжение по оси смещенного предплечья. При продолжающемся вытяжении хирург оказывает давление на боковые поверхности мыщелков плеча и верхнюю часть предплечья. При вправлении слышен щелчок. Предплечье переводят в сгибательное положение и фиксируют.

Встречаются редко, сопровождаются повреждением мягких тканей, сумки и связок. Ось предплечья отклонена кнаружи, внутренний мыщелок хорошо прощупывается. Локтевой сустав расширен в поперечном направлении. Вывихи могут быть полными и неполными, часто сопровождаются отрывом мыщелка.

Помощник удерживает плечо. Хирург одной рукой вытягивает предплечье, другой — давит на верхнюю часть предплечья книзу, кнаружи и кзади, затем супинирует предплечье и толкает верхнюю часть вокруг наружного мыщелка плеча. Предплечье сгибают в локтевом суставе до безопасного положения. В этом положении накладывают гипсовую лонгету.

Иногда сопровождается переломом локтевого отростка. Предплечье кажется удлиненным, под мыщелками плеча определяется уступообразное западение, мягкие ткани в локтевом сгибе сильно повреждены.

Помощники удерживают плечо. Хирург одной рукой тянет предплечье по оси, другой — давит на верхнюю часть вниз и назад, сгибая его в локтевом суставе. При вправлении слышен щелчок. Руку с предплечьем сгибают в локтевом суставе под углом 135°.

Встречается крайне редко.

Изолированный вывих встречается редко. Головка может сместиться кпереди, кзади и кнаружи, но чаще — кпереди. При этом может быть поврежден лучевой нерв. Вывих одной лучевой кости кпереди часто сопровождается переломом локтевой кости в верхней трети или отрывом наружного мыщелка плеча. При смещении головки кпереди движения в локтевом суставе возможны, но ограничены и болезненны.

В области локтевого сгиба на передненаружной поверхности прощупывается выступ, соответствующий головке лучевой кости. Головка перемещается при сгибании и разгибании, а также при пронации и супинации. При вывихе одной лучевой кости кзади рука находится в полусогнутом положении. Локтевой отросток не смещен и хорошо контурируется. Головка лучевой кости прощупывается сзади, кожа над ней натянута.

Один помощник удерживает плечо, другой производит вытяжение за выпрямленное предплечье, пронирует и приводит его в локтевом суставе. Хирург давит на головку лучевой кости назад, толкая ее до вправления. Предплечье супинируют и сгибают в локтевом суставе. В этом положении руку фиксируют гипсовой лонгетой. Вправление вывиха головки лучевой кости кнаружи и кзади производится аналогично, давление на головку осуществляется в противоположном направлении.

  1. Скориченко, «Доисторическая M.» (СПб., 1996); его же, «Гигиена в доисторические времена» (СПб., 1996).
  2. З.С. Смирнова, Л.М. Борисова, М.П. Киселева и др. Противоопухолевая эффективность прототипа лекарственной формы соединения ЛХС-1208 для внутривенного введения // Российский биотерапевтический журнал. 2012. № 2. С. 49.
  3. М.П. Киселева, З.С. Шпрах, Л.М. Борисова и др. Доклиническое изучение противоопухолевой активности производного N-гликозида индолокарбазола ЛХС-1208. Сообщение II // Российский биотерапевтический журнал. 2015. № 3. С. 41-47.
  4. КрасиотаМедицина.
  5. iLive.
  6. Сустав.Про.
  7. СтудФайл.
  8. Daremberg, «Histoire des sciences médicales» (П., 1966).
  9. Харенко Е. А., Ларионова Н. И., Демина Н. Б. Мукоадгезивные лекарственные формы. Химико-фармацевтический журнал. 2009; 43(4): 21–29. DOI: 10.30906/0023-1134-2009-43-4-21-29.
Ссылка на основную публикацию
Похожее