Вывихи в подтаранном суставе составляют около 1% всех травматических вывихов. В структуре вывихов костей стопы они занимают третье место после вывихов пальцев и вывихов в суставе Лисфранка. Небольшие функциональные требования к этому суставу, в сочетании с его высокой прочностью, делают его менее подверженным травматическим вывихам.
Патогенез (что происходит?) во время Подтаранных вывихов стопы:
В большинстве случаев механизм повреждений непрямой: это может быть подвертывание стопы внутрь или падение с высоты с упором на стопу при ее сгибании. При прямом механизме травмы повреждение подтаранного сустава часто проявляется как переломовывих. Анализ вывиха в подтаранном суставе показывает, что он возникает под воздействием значительной силы. Это приводит не только к смещению стопы относительно таранной кости, но и к ряду сопутствующих повреждений. Они, как и при травматическом вывихе плеча, осложняют течение заболевания и могут потребовать специального лечения. К таким повреждениям относятся разрывы кожи, множественные повреждения связок, а также травмы нервов и сосудов, вывихи и переломовывихи в соседних суставах.
Несвоевременная диагностика и недостаточное лечение после устранения вывиха в подтаранном суставе могут привести к серьезным нарушениям функции конечностей. Поэтому лечение пациентов с подтаранными вывихами стопы должно учитывать сопутствующие повреждения.
Симптомы Подтаранных вывихов стопы:
Клиническая картина вывихов подтаранного сустава зависит от характера смещения костей стопы. Смещение может происходить вперед, назад, наружу и внутрь, при этом чаще всего наблюдается внутреннее смещение. Вывих сопровождается сильными локальными болями. Пальпация, пассивные ротационные движения и незначительное сдавливание средней части стопы вызывают выраженную болезненность, особенно в области таранно-ладьевидного и таранно-пяточного суставов.
Клинические проявления вывихов также зависят от времени, прошедшего с момента травмы, и степени повреждения мягких тканей. Быстро развивающийся отек и кровоизлияния могут затруднить диагностику и привести к ишемии мягких тканей, а в некоторых случаях — к ишемической гангрене.
Диагностика Подтаранных вывихов стопы:
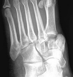
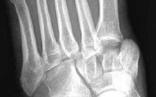
Диагноз устанавливают на основе рентгенограмм в профильной и фасной проекциях. Чтобы избежать ишемических осложнений, диагноз «подтаранный вывих стопы» требует от врача оказания неотложной травматологической помощи. Эта помощь должна учитывать конкретные варианты повреждений подтаранного сустава.
Лечение Подтаранных вывихов стопы:
Вправление подтаранных вывихов чаще всего выполняется закрытым способом. После вправления стопу фиксируют гипсовой повязкой типа «сапожок» с хорошо сформированными сводами и резиновым каблуком на уровне середины стопы. Средний срок фиксации составляет 6 недель, полная нагрузка на ногу разрешается через 8-9 недель.
После снятия гипсовой повязки назначают лечебную физкультуру, массаж и плавание в бассейне. В течение 6-8 месяцев рекомендуется носить ортопедические стельки-супинаторы.
Операция показана при неудачных попытках закрытого вправления, которые могут привести к дополнительной травматизации мягких тканей и хрящей суставных поверхностей, что в дальнейшем вызывает деформирующий артроз. Это подтверждает необходимость открытого вправления подтаранного вывиха стопы.
Также возможно вправление подтаранного вывиха с помощью аппарата Илизарова.
К каким докторам следует обращаться если у Вас Подтаранные вывихи стопы:
Вас беспокоит здоровье? Хотите узнать о подтаранных вывихах стопы, их причинах, симптомах, методах лечения и профилактики? Или вам нужен осмотр? Запишитесь на прием в клинику Eurolab! Наши врачи проведут осмотр, изучат симптомы и поставят диагноз. Также доступна услуга вызова врача на дом. Клиника работает круглосуточно.
Как обратиться в клинику:
Телефон в Киеве: (+38 044) 206-20-00 (многоканальный). Секретарь подберет удобное время для визита. Координаты и схема проезда указаны на сайте. Узнайте подробнее о наших услугах на персональной странице клиники.
Если у вас есть результаты предыдущих исследований, принесите их на консультацию. Если исследований не было, мы проведем необходимые анализы в нашей клинике или направим к коллегам.
Важно внимательно относиться к своему здоровью. Многие болезни не проявляются на ранних стадиях, и их лечение может оказаться слишком поздним. Каждое заболевание имеет свои симптомы, и их определение — первый шаг к диагностике. Рекомендуем проходить обследование у врача несколько раз в год, чтобы предотвратить серьезные заболевания и поддерживать здоровье.
Если у вас есть вопросы, воспользуйтесь разделом онлайн-консультаций. Возможно, вы найдете ответы и советы по уходу за собой. Для отзывов о клиниках и врачах посетите раздел «Вся медицина». Регистрируйтесь на медицинском портале Eurolab, чтобы получать последние новости и обновления на почту.
Другие заболевания из группы Травмы, отравления и некоторые другие последствия воздействия внешних причин:
| Аритмии и блокады сердца при кардиотропных отравлениях |
| Вдавленные переломы черепа |
| Внутри- и околосуставные переломы бедра и голени |
| Врожденная мышечная кривошея |
| Врожденные пороки развития скелета. Дисплазия |
| Вывих полулунной кости |
| Вывих полулунной кости и проксимальной половины ладьевидной кости (переломовывих де Кервена) |
| Вывих зуба |
| Вывих ладьевидной кости |
| Вывихи верхней конечности |
| Вывихи и подвывихи головки лучевой кости |
| Вывихи кисти |
| Вывихи костей стопы |
| Вывихи плеча |
| Вывихи позвонков |
| Вывихи предплечья |
| Вывихи пястных костей |
| Вывихи стопы в суставе Шопара |
| Вывихи фаланг пальцев стопы |
| Диафизарные переломы костей голени |
| Застарелые вывихи и подвывихи предплечья |
| Изолированный перелом диафиза локтевой кости |
| Искривление носовой перегородки |
| Клещевой паралич |
| Комбинированные повреждения |
| Костные формы кривошеи |
| Нарушения осанки |
| Нестабильность коленного сустава |
| Огнестрельные переломы с дефектами мягких тканей конечности |
| Огнестрельные повреждения костей и суставов |
| Огнестрельные повреждения таза |
| Огнестрельные ранения верхней конечности |
| Огнестрельные ранения нижней конечности |
| Огнестрельные ранения суставов |
| Огнестрельные раны |
| Ожоги от контакта с португальским корабликом и медузой |
| Осложненные переломы грудного и поясничного отделов позвоночника |
| Открытые повреждения диафиза голени |
| Открытые повреждения костей кисти и пальцев |
| Открытые повреждения локтевого сустава |
| Открытые повреждения стопы |
| Отморожения |
| Отравление аконитом |
| Отравление анилином |
| Отравление антигистаминными средствами |
| Отравление антимускариновыми средствами |
| Отравление ацетаминофеном |
| Отравление ацетоном |
| Отравление бензолом и толуолом |
| Отравление бледной поганкой |
| Отравление вехом ядовитым (цикута) |
| Отравление галогенированными углеводородами |
| Отравление гликолем |
| Отравление грибами |
| Отравление дихлорэтаном |
| Отравление дымом |
| Отравление железом |
| Отравление изопропиловым спиртом |
| Отравление инсектицидами |
| Отравление йодом |
| Отравление кадмием |
| Отравление кислотами |
| Отравление кокаином |
| Отравление красавкой, беленой, дурманом, крестовиком, мандрагорой |
| Отравление магнием |
| Отравление метанолом |
| Отравление метиловым спиртом |
| Отравление мышьяком |
| Отравление наркотиками индийской конопли |
| Отравление настойкой чемерицы |
| Отравление никотином |
| Отравление окисью углерода |
| Отравление паракватом |
| Отравление парами дыма концентрированных кислот и щелочей |
| Отравление продуктами перегонки нефти |
| Отравление противодепрессивными препаратами |
| Отравление салицилатами |
| Отравление свинцом |
| Отравление сероводородом |
| Отравление сероуглеродом |
| Отравление снотворными средствами (барбитуратами) |
| Отравление солями фтора |
| Отравление стимуляторами центральной нервной системы |
| Отравление стрихнином |
| Отравление табачным дымом |
| Отравление таллием |
| Отравление транквилизаторами |
| Отравление уксусной кислотой |
| Отравление фенолом |
| Отравление фенотиазинами |
| Отравление фосфором |
| Отравление хлорсодержащими инсектицидами |
| Отравление цианидом |
| Отравление этиленгликолем |
| Отравление эфирами этиленгликоля |
| Отравления антагонистами ионов кальция |
| Отравления барбитуратами |
| Отравления бета-адреноблокаторами |
| Отравления метгемоглобинобразователями |
| Отравления опиатами и наркотическими анальгетиками |
| Отравления ртутью |
| Отравления хинидиновыми препаратами |
| Патологические переломы |
| Перелом верхней челюсти |
| Перелом дистального отдела лучевой кости |
| Перелом зуба |
| Перелом костей носа |
| Перелом ладьевидной кости |
| Перелом лучевой кости в нижней трети с вывихом в дистальном луче-локтевом суставе (повреждение Галеацци) |
| Перелом нижней челюсти |
| Перелом основания черепа |
| Перелом проксимального отдела бедренной кости |
| Перелом свода черепа |
| Перелом челюстей |
| Перелом челюсти в области альвеолярного отростка |
| Перелом черепа |
| Переломовывихи в суставе Лисфранка |
| Переломовывихи таранной кости |
| Переломовывихи шейных позвонков |
| Переломы II-V пястных костей |
| Переломы бедра в области коленного сустава |
| Переломы бедренной кости |
| Переломы в вертельной области |
| Переломы венечного отростка локтевой кости |
| Переломы вертлужной впадины |
| Переломы головки и шейки лучевой кости |
| Переломы грудины |
| Переломы диафиза бедренной кости |
| Переломы диафиза плечевой кости |
| Переломы диафизов обеих костей предплечья |
| Переломы дистального конца плечевой кости |
| Переломы ключицы |
| Переломы костей голени |
| Переломы костей заднего отдела стопы |
| Переломы костей кисти |
| Переломы костей переднего отдела стопы |
| Переломы костей предплечья |
| Переломы костей среднего отдела стопы |
| Переломы костей стопы и пальцев |
| Переломы костей таза |
| Переломы костей у детей |
| Переломы локтевого отростка локтевой кости |
| Переломы лопатки |
| Переломы мыщелка плеча |
| Переломы надколенника |
| Переломы основания I пястной кости |
| Переломы плечевой кости |
| Переломы плюсневых костей |
| Переломы позвоночника |
| Переломы проксимального конца большеберцовой кости |
| Переломы проксимального конца плечевой кости |
| Переломы пяточной кости |
| Переломы ребер |
| Переломы таза с повреждением тазовых органов |
| Переломы таранной кости |
| Переломы фаланг пальцев кисти |
| Переломы фаланг пальцев стопы |
| Повреждение менисков коленного сустава |
| Повреждение периферических нервов |
| Повреждения связок кистевого сустава |
| Повреждения боковых связок, нестабильность локтевого сустава |
| Повреждения голеностопного сустава |
| Повреждения грудного и поясничного отделов позвоночника |
| Повреждения коленного сустава |
| Повреждения копчика |
| Повреждения крестца |
| Повреждения лопатки |
| Повреждения магистральных кровеносных сосудов |
| Повреждения периферических нервов |
| Повреждения пояса верхней конечности |
| Повреждения таза |
| Повреждения, обусловленные ядовитыми рыбами |
| Подвертельные переломы |
| Подвывихи позвонков |
| Поражение электрическим током |
| Привычный вывих в локтевом суставе |
| Разрыв вращательной «манжеты» плеча |
| Разрыв сухожилия длинной головки двуглавой мышцы |
| Разрывы боковых связок пястнофалангового и проксимального межфалангового суставов |
| Разрывы межпозвоночных дисков |
| Раны и ожоги от кораллов |
| Родовые повреждения |
| Сдавление головного мозга |
| Синдром длительного сдавления |
| Синдром Клиппеля-Фейля |
| Синовиты коленного сустава |
| Сотрясение головного мозга |
| Субарахноидальное кровоизлияние |
| Субдуральное кровоизлияние |
| Термические ожоги |
| Токсическая гепатопатия |
| Токсическая нефропатия |
| Токсическое поражение нервной системы |
| Травма глаза |
| Травма глазницы |
| Травма головы |
| Травма губы |
| Травма конъюнктивы |
| Травма носа |
| Травма слизистой оболочки рта |
| Травма уха |
| Травматическая болезнь |
| Травматический вывих головки бедренной кости |
| Травмы связок шейного отдела позвоночника |
| Укус змеи |
| Укус клеща |
| Укус клопов-хищнецов |
| Укус паука Черная вдова |
| Укус паука-отшельника |
| Укус скорпиона |
| Укус ядовитой ящерицы |
| Укусы перепончатокрылых насекомых |
| Утопление и состояние, близкое к утоплению |
| Ушиб локтевого сустава |
| Ушиб глазного яблока |
| Ушиб головного мозга |
| Ушиб зуба |
| Ушибы кистевого сустава |
| Ушибы суставов пальцев кисти |
| Химические отравления |
| Химический ожог |
| Черепно-мозговая травма |
| Шейные ребра |
| Экзотоксический шок и токсикогенный коллапс |
| Электротравма и электроожоги |
| Эпидуральное кровоизлияние |
| Эрозия (ссадина) роговицы |
Если вас интересуют другие виды заболеваний или есть вопросы, напишите нам, и мы постараемся помочь.
Вывих стопы
Вывихи стопы составляют около 2% от общего числа вывихов и почти всегда сопровождаются повреждением связок, а иногда и переломами костей стопы.
Стопа человека состоит из 26 костей, которые делятся на три отдела: предплюсну, плюсну и фаланги пальцев. Предплюсна включает 7 костей: таранную, пяточную, ладьевидную, кубовидную и три клиновидные (латеральную, промежуточную и медиальную).
В голеностопном суставе кости голени соединяются с таранной костью. Нижние концы костей голени (лодыжки) охватывают таранную кость, образуя вилку. Сустав укреплен капсулой и развитым связочным аппаратом. Дистально предплюсна соединяется с пятью трубчатыми костями плюсны. Суставы между предплюсной и плюсной малоподвижны. Плюсневые кости соединяются с фалангами пальцев.
Вывих в голеностопном суставе
Полный вывих стопы — редкая травма, всегда сопровождающаяся серьезными повреждениями связок и переломами лодыжек. Реже вывих стопы комбинируется с другими внутрисуставными переломами.
Стопа может вывихиваться наружу, внутрь, назад, вперед или вверх. Наружный вывих возникает при подворачивании стопы наружу и вбок, часто с переломом наружной лодыжки. Внутренний вывих происходит при подворачивании стопы кнутри и может сочетаться с переломом внутренней лодыжки.
Задний вывих обычно возникает из-за резкого сгибания стопы в сторону подошвы или удара по голени спереди. Передний вывих может произойти при сильном ударе сзади по голени или резком сгибании стопы в тыльную сторону. Вывих стопы кверху встречается крайне редко, чаще всего после падения с высоты.
Пациента с вывихом стопы беспокоит резкая боль в голеностопном суставе. При осмотре наблюдаются отек, синюшность, кровоподтеки и деформация в области сустава. Движения в суставе и опора на ногу невозможны.
Для уточнения диагноза и выявления сопутствующих повреждений выполняют рентгенографию в двух проекциях. Вывихи, сопровождающиеся повреждением костного и связочного аппарата, считаются тяжелыми. Нормальная функция сустава возможна только при точном восстановлении взаиморасположения отломков.
Успех вправления вывиха зависит от тщательного изучения особенностей травмы, адекватного обезболивания и правильности действий врача-травматолога. Вправление свежих вывихов может проводиться под общим наркозом, местным обезболиванием или проводниковой анестезией. При необходимости применяются мышечные релаксанты.
После вправления сустав фиксируют гипсовой лонгетой и делают контрольную рентгенограмму. Из-за отека мягких тканей сплошная повязка не накладывается сразу. Гипс укрепляют после спадания отека, обычно на пятые сутки.
Срок иммобилизации зависит от тяжести повреждений и составляет от 8 до 12 недель. После снятия повязки назначают лечебную гимнастику и физиопроцедуры: теплолечение, диадинамотерапию, лечебные ножные ванны и др.
Наступать на поврежденную ногу после вправления нельзя — даже жесткая гипсовая повязка не удержит кости на месте при нагрузке. Ранняя нагрузка может привести к повторному смещению, ограничению подвижности, постоянным болям и развитию посттравматического артроза.
Подтаранный вывих
Подтаранный вывих стопы встречается крайне редко. Он возникает при резком подворачивании стопы и сопровождается разрывом связок, сильной болью, отеком и деформацией. Для уточнения диагноза и исключения переломов проводят рентгенографию.
Выправление вывиха выполняется под наркозом или проводниковой анестезией. После процедуры накладывают гипсовую лонгету на 5-6 недель. Затем пациенту назначают физиопроцедуры и лечебную физкультуру, а также рекомендуют носить ортопедическую обувь в течение года после травмы.
Вывих костей предплюсны
Случается крайне редко и возникает из-за резкого поворота стопы. Симптомы включают боль, отек и деформацию стопы, а также возможные нарушения кровообращения в дистальных отделах.
Вправление проводят под наркозом или проводниковой анестезией. Затем накладывают гипсовую лонгету на 8 недель. После этого назначают физиопроцедуры и лечебную физкультуру. Рекомендуется в течение года носить супинаторы или ортопедическую обувь.
Вывих костей плюсны
Смещение костей плюсны встречается редко и может быть полным (смещены все кости) или неполным (смещены отдельные кости). Это состояние сопровождается резкой болью, отеком, укорочением и расширением стопы.
Вправление проводят под местной или общей анестезией. После этого накладывают гипсовую лонгету на срок до 8 недель. Затем рекомендуется лечебная гимнастика, физиотерапия и ношение супинатора или ортопедической обуви в течение года.
Вывихи фаланг пальцев
Встречаются редко, обычно после удара в область плюсны или пальцев. Сопровождаются болью, отеком и деформацией. Палец вправляют под местной анестезией, затем накладывают гипсовую лонгету на 2 недели. После этого назначают физиопроцедуры и лечебную физкультуру.
Литература:
- Мустафин Р. И., Протасова А. А., Буховец А. В., Семина И. И. Исследование интерполимерных сочетаний на основе (мет)акрилатов в качестве перспективных носителей в поликомплексных системах для гастроретентивной доставки. Фармация. 2014; 5: 3–5.
- Мирский, «Медицина России X—XX веков» (Москва, РОССПЭН, 2005, 632 с.).
- Frédault, «Histoire de la médecine» (П., 1970).
- Eurolab.
- Красота и медицина.
- Мустафин Р. И., Протасова А. А., Буховец А. В., Семина И. И. Исследование интерполимерных сочетаний на основе (мет)акрилатов в качестве перспективных носителей в поликомплексных системах для гастроретентивной доставки. Фармация. 2014; 5: 3–5.
- ОФС.1.2.1.1.0003.15 Спектрофотометрия в ультрафиолетовой и видимой областях // Государственная фармакопея, XIII изд.
- Moustafine R. I., Bobyleva V. L., Bukhovets A. V., Garipova V. R., Kabanova T. V., Kemenova V. A., Van den Mooter G. Structural transformations during swelling of polycomplex matrices based on countercharged (meth)acrylate copolymers (Eudragit® EPO/Eudragit® L 100-55). Journal of Pharmaceutical Sciences. 2011; 100:874–885. DOI:10.1002/jps.22320.
- М. П. Киселева, З. С. Шпрах, Л. М. Борисова и др. Доклиническое изучение противоопухолевой активности производного N-гликозида индолокарбазола ЛХС-1208. Сообщение I // Российский биотерапевтический журнал. 2015. № 2. С. 71-77.

