Напряжение мышц живота — это травма, затрагивающая внутреннюю структуру мышц. При этом диагнозе у пациента наблюдается разрыв или растяжение мышечных тканей, что обычно вызывает дискомфорт.
Растяжения мышц живота касаются волокон боковых, передних или задних мышц брюшины, которые расположены между верхним тазом и нижней частью туловища, ограниченной ребрами.
Степени растяжения брюшных мышц
Специалисты выделяют три степени растяжения мышц брюшной стенки:
- Умеренная степень — незначительные болевые ощущения проходят в течение нескольких дней.
- Средняя степень — симптомы исчезают в течение нескольких недель. Пациентам требуется медицинская помощь, а выздоровление наблюдается через 3-6 недель.
- Разрыв брюшной мышцы — сильная боль в левой или правой части живота. Растянутая мышца теряет способность сокращаться. Этот тип травмы возникает из-за чрезмерного давления на прямые мышцы живота и часто происходит в связке, соединяющей мышцы брюшной стенки. В некоторых случаях разрыв сопровождается смещением внутренних органов и требует срочного хирургического вмешательства. Лечение может занять в среднем 3 месяца.
Растяжение брюшных мышц: возможные причины
Специалисты выделяют несколько триггеров, повышающих риск растяжений живота. К ним относятся чрезмерное или неправильное растяжение мышечных волокон, слабость мышц, утомляемость и занятия спортом на морозе. Основные причины этой проблемы включают:
- Чрезмерно интенсивные физические нагрузки;
- Сильные крутильные движения туловища;
- Выполнение упражнений без предварительного разогрева;
- Поднятие тяжелых предметов;
- Неправильная техника выполнения упражнений;
- Недостаточно развитый мышечный корсет;
- Беременность.
Признаки повреждения
Симптомы, связанные с травмами мышц живота, могут указывать на другие проблемы со здоровьем. Окончательный диагноз может поставить только лечащий врач. К основным симптомам напряжения мышц живота относятся:
- болезненные ощущения в брюшной стенке;
- дискомфорт в тканях брюшной полости;
- боль при прикосновении, напряжении или сгибании мышц;
- мышечные судороги;
- синяки;
- припухлость на правой или левой стороне брюшной стенки, в зависимости от травмированной мышцы.
Боль в животе может быть следствием напряжения мышц.
Лечение травмы
Если одна из мышц живота растянута, лечение зависит от тяжести симптомов и степени травмы. Продолжительность терапии будет определяться уровнем мышечного тонуса брюшной стенки.
Ключевым моментом является полный отдых для мышц живота и отсутствие напряжения. В домашних условиях пациенту следует избегать поднятия тяжестей и резких движений, особенно в первые два дня после травмы.
При вывихах средней и тяжелой степени рекомендуется применять холодные компрессы. Процедуры должны длиться 15-20 минут с перерывами между сеансами.
Для холодного компресса можно использовать кубики льда, завернутые в целлофан и полотенце. Не наносите лед непосредственно на открытые участки тела.
Растяжение брюшных мышц: советы
Чтобы облегчить сильную боль, врач может назначить противовоспалительные и обезболивающие препараты в виде таблеток, инъекций или мазей. Это поможет улучшить самочувствие пациента. Для восстановления после травмы потребуется приложить усилия. При появлении острых болей из-за подъема тяжестей или занятий спортом не следует перегружать организм. Физические нагрузки нужно ограничить или полностью прекратить, в зависимости от серьезности травмы.
В период лечения и восстановления рекомендуется регулярно отдыхать, прикладывать холодные компрессы в течение 1-2 дней после травмы, продолжать прием обезболивающих и постепенно растягивать мышцы брюшной области по мере уменьшения боли.
Чтобы избежать таких травм, специалисты рекомендуют придерживаться определенных правил:
Профилактика растяжения мышц брюшины
Разминка перед тренировкой обязательна.
- Не перегружайте себя во время занятий.
- Не поднимайте тяжелые предметы резко.
- Прекратите тренировки при появлении усталости.
- Укрепляйте мышцы живота с помощью специальных упражнений.
- Выполнение ряда упражнений поможет укрепить пресс и предотвратить растяжения и разрывы в будущем.
Растянутый пресс может привести к серьезным травмам. Однако, если организм подготовлен и силен благодаря регулярным тренировкам, вероятность таких травм минимальна.
Поэтому важно заниматься спортом с раннего возраста. Не обязательно выполнять серьезные нагрузки; достаточно делать несколько простых упражнений дома.
Диастаз прямых мышц живота
Диастаз прямых мышц живота — это растяжение межмышечного апоневроза, который соединяет поверхностные пучки мускулатуры брюшного пресса. Он проявляется выпячиванием по срединной линии живота, болями в эпигастральной и околопупочной областях, диспепсией, метеоризмом, запорами и недержанием мочи при нагрузках. Диагностика включает пальпацию, эхографию брюшной стенки и рентгенографию полости живота. Лечение состоит в коррекции нагрузок и двигательной активности, соблюдении диеты, выполнении ЛФК, массаже, кинезиологическом тейпировании, а также эндоскопической и классической абдоминопластике.
Общие сведения
Растяжение сухожильного апоневроза прямых мышц живота наблюдается у 1% населения. Физиологический диастаз брюшной мускулатуры встречается у младенцев и у 66-100% беременных в третьем триместре. Стойкому расхождению мышц более подвержены женщины с субтильным телосложением, выносившие несколько детей, а также мужчины среднего и старшего возраста с абдоминальным ожирением. В последние годы, на фоне эпидемии ВИЧ, увеличивается количество случаев заболевания, связанного с вторичной дистрофией мышечных и соединительнотканных волокон.
Диастаз прямых мышц живота.
Причины диастаза
Длительное повышение внутрибрюшного давления и нарушение структуры волокон срединной сухожильной мембраны передней брюшной стенки способствуют возникновению заболевания. Специалисты в области пластической и абдоминальной хирургии выделяют несколько распространенных причин расхождения прямых мышц:
- Беременность. Рост матки вызывает значительное растяжение стенки живота и увеличение брюшного давления. Ситуацию усугубляет релаксин, который угнетает синтез коллагеновых волокон и стимулирует их распад, что делает соединительную ткань более эластичной. Мышечный диастаз выражен сильнее при многоплодии, многоводии, вынашивании крупного плода, а также после кесаревых сечений и при раннем начале физических тренировок после родов.
- Несостоятельность мышечно-сухожильных структур. Недоразвитие мускульных волокон стенки живота может привести к физиологическому расхождению пучков прямых мышц у новорожденных. Младенческий абдоминальный диастаз чаще наблюдается у недоношенных детей. У взрослых мужчин и женщин расширение белой линии из-за дистрофических изменений тканей встречается редко, но риск повышается при некоторых состояниях, например, до 3% пациентов с ВИЧ-инфекцией страдают диастазом.
Факторы риска
Факторы, способствующие расхождению брюшной мускулатуры, включают ожирение, быстрое похудение, значительные физические нагрузки, запоры и хронические заболевания органов дыхания с надсадным кашлем. Эти факторы особенно влияют на мужчин. В группу риска также входят пациенты с врожденной дисплазией соединительной ткани. Диастаз часто ассоциирован с наследственными коллагенопатиями, грыжами различной локализации, варикозной болезнью, миопией, сколиозом, плоскостопием с вальгусной деформацией, частыми подвывихами лодыжек и геморроем.
Патогенез
Пусковым моментом формирования диастаза прямых мышц живота является длительное растяжение брюшной стенки, вызванное ростом матки, избытком висцерального жира и нарушениями пищеварения у новорожденных, приводящими к метеоризму. Под воздействием этих нагрузок прямые мышцы расходятся, а белая линия, соединяющая их, растягивается.
Усугубляющим фактором становится ослабление межмышечного апоневроза из-за несостоятельности волокон при коллагенопатиях, разрыхления соединительной ткани под действием релаксина, незрелости сухожильно-мышечных структур у недоношенных детей или их дистрофии в терминальных стадиях различных заболеваний. В норме апоневротическая мембрана сокращается по мере укрепления соединительной ткани и мышц у младенцев, а также при уменьшении объема брюшной полости в послеродовом периоде и плавном похудении.
Расхождение прямых мышц у младенцев обычно исчезает к 6-12 месяцам, однако восстановление может затягиваться у ослабленных детей и не завершаться полностью при синдроме Дауна. У женщин после родов диастаз обычно закрывается самостоятельно в течение 2-12 месяцев.
Восстановление размеров межмышечного апоневроза может нарушаться при ранних интенсивных тренировках, так как сокращение прямых мышц пресса с повышением внутрибрюшного давления фиксирует белую линию в растянутом состоянии. Аналогичный эффект наблюдается при тяжелой физической работе и состояниях, когда брюшной пресс кратковременно сильно напрягается (например, при запоре или кашле). Сохранение диастаза при резком похудении связано с медленным сокращением сухожильных волокон, которые не успевают подтянуться за уменьшающимся животом.
Классификация
Систематизация абдоминального диастаза основывается на локализации растяжения и расстоянии между внутренними краями прямых мышц. Это помогает определить тактику ведения пациента и объем необходимого хирургического вмешательства. Пластические и абдоминальные хирурги выделяют следующие виды и степени растяжения белой линии:
- По локализации диастаза: различают надпупковый, подпупковый и смешанный варианты (с одновременным расхождением мышц выше и ниже пупка). Растяжение апоневроза в области эпигастрия чаще встречается у мужчин, в мезогастральной и гипогастральной областях — у женщин после родов.
- По выраженности диастаза: при I степени расстояние между краями прямых мышц составляет от 2 до 5 см, при II степени — от 5 до 7 см, при III степени — более 7 см. Чем больше растяжение, тем тяжелее клиническая симптоматика и сложнее операция.
Классификация, используемая в пластической хирургии, учитывает состояние как прямых, так и других групп мышц живота. Выделяют диастазы типа A — классический послеродовый, B — с расслаблением нижней части и боковых отделов живота, C — распространяющийся до реберных дуг и мечевидного отростка, D — сочетающийся с отсутствием талии.
Симптомы диастаза
Клиническая картина болезни зависит от степени растяжения сухожильного апоневроза. На начальном этапе единственным проявлением диастаза является косметический дефект — выпячивание живота по белой линии. При напряжении пресса можно увидеть «желобок», разделяющий края прямых мышц. Расхождение может сопровождаться дискомфортом и умеренной болезненностью в эпигастрии и околопупочной области во время физических нагрузок, а также болью в пояснице и затруднениями при ходьбе.
При прогрессировании заболевания возникают нарушения моторики кишечника (метеоризм, запоры) и тошнота. У 66% женщин с послеродовым растяжением апоневроза наблюдается дисфункция мышц диафрагмы таза, что проявляется недержанием мочи при кашле или чихании. При выраженном диастазе могут наблюдаться признаки атрофии мускулатуры живота и венозного застоя в сосудах нижних конечностей.
Осложнения
При значительном расхождении краев прямых мышц (7 см и более) у пациентов часто возникают грыжи пупочного кольца и белой линии живота. Это связано с дефектами апоневроза и выходом органов брюшной полости вместе с брюшиной под кожу. Частым осложнением является спланхноптоз — опущение внутренних органов из-за ослабления мускулатуры живота. Это проявляется хроническими запорами, тошнотой, тахикардией и головокружением. Дискоординация работы мышц приводит к чрезмерной нагрузке на позвоночник, что может вызвать постоянные боли в спине и нарушения осанки.
Диагностика
Постановка диагноза диастаза прямых мышц живота не вызывает затруднений благодаря характерной клинической картине. При тяжелой стадии заболевания диагностический поиск сосредоточен на выявлении осложнений и нарушений работы внутренних органов. План обследования включает следующие методы:
- Пальпация живота. Для определения диастаза используется тест: пациент ложится на спину, сгибает ноги в коленях и напрягает брюшной пресс. Врач пропальпирует выступающие валики по краям прямых мышц и оценит ширину расхождения. Этот метод менее эффективен у пациентов с избыточной массой тела из-за трудностей при пальпации.
- УЗИ брюшной стенки. Сонография — доступное неинвазивное исследование, позволяющее визуализировать растяжение и истончение белой линии, а также увеличение расстояния между прямыми мышцами. Ультразвук помогает выявить осложнения, такие как грыжи передней стенки живота и опущение брюшных органов.
- Рентгенография. Обзорная рентгенография органов брюшной полости позволяет оценить размеры и расположение внутренних органов. У 84% пациентов наблюдается гастроптоз различной степени выраженности. Этот метод также помогает дифференцировать диастаз от других патологий с похожей клинической картиной.
В стандартных лабораторных исследованиях (клинический анализ крови, мочи, копрограмма) при неосложненном расхождении прямых мышц отклонения от нормы не выявляются. Для комплексной оценки состояния внутренних органов пациентам с осложнениями могут быть рекомендованы КТ, МСКТ брюшной полости, измерение кислотности желудочного сока и УЗИ органов малого таза.
Дифференциальная диагностика
Дифференциальная диагностика диастаза включает врожденные аномалии соединительной ткани, грыжи белой линии и пупочного кольца, а также хронические заболевания пищеварительного тракта (гастриты, энтероколиты) и болезни мочеполовой системы. Кроме осмотра абдоминального и пластического хирурга, пациентам рекомендуются консультации гастроэнтеролога, уролога и гинеколога. Младенцам следует обратиться к неонатологу или педиатру.
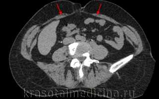
КТ ОБП. Расхождение прямых мышц живота (красные стрелки) у пожилой женщины.
Лечение диастаза мышц живота
Консервативная терапия
Тактика лечения пациента зависит от длительности апоневротического растяжения, его степени и типа. При диастазе, возникающем на фоне заболеваний желудочно-кишечного тракта, бронхолегочной системы и других, необходимо лечить основное заболевание. У младенцев применяется выжидательный подход: решение об оперативном укреплении брюшной стенки принимается после 6 месяцев при наличии сопутствующих грыж и после 12 месяцев при сохранении диастаза и выраженной симптоматике.
Период наблюдения за женщиной после родов составляет не менее года. Физиологическим считается растяжение апоневроза мышц живота до 2,0-2,5 см, сохраняющееся в течение первых 6-8 недель после родов. Женщинам с расхождением абдоминальных мышц рекомендуется носить бандаж в течение 2-4 месяцев после родов, избегать использования слингов, корректировать питание для нормализации дефекации и поддерживать живот при кашле и чихании. Вспомогательным методом может быть кинезиологическое тейпирование.
Консервативный подход с использованием специального комплекса ЛФК и массажа допустим при диастазе I степени. Пациенту рекомендуется соблюдать диету для поддержания нормальной массы тела, избегать поднятия тяжестей более 5-6 кг и упражнений в упоре и коленно-локтевой позиции, включая планку, отжимания, прогибы и скручивания.
Хирургическое лечение
Оперативное лечение диастаза проводится при расхождении мышц живота 2-3 степени и наличии пупочной грыжи. У женщин хирургическое вмешательство выполняется не ранее чем через год после родов, при отсутствии планов на новую беременность и хорошем состоянии брюшной мускулатуры. В зависимости от степени и характера растяжения, а также состояния окружающих тканей, применяются различные виды операций:
-
Эндоскопическая абдоминопластика. Во время вмешательства устанавливается сетчатый аллотрансплантат, сшиваются края прямых мышц и укрепляются потенциально слабые зоны апоневроза с помощью грыжевой сетки. Возможно одновременное проведение герниопластики. Преимуществом этого малоинвазивного метода является минимальный косметический дефект, однако он не подходит при необходимости иссечения избыточной ткани.
-
Пластика диастаза через разрез. Традиционное ушивание диастаза рекомендуется при наличии дряблых и растянутых участков кожи, которые планируется удалить. В ходе герниопластики накладываются узловые швы на влагалища прямых мышц, удаляется избыток апоневроза с сшиванием оставшихся краев, вшивается полипропиленовая сетка. При значительных отложениях подкожного жира проводится абдоминопластика.
Прогноз и профилактика
При диагностике и лечении диастаза на ранних стадиях большинство пациентов полностью выздоравливают без хирургического вмешательства. Прогноз заболевания благоприятный. В запущенных случаях могут возникнуть серьезные осложнения, такие как ущемление грыжи, требующие неотложной операции.
Для профилактики растяжения апоневроза рекомендуется регулярно выполнять упражнения для укрепления мышц живота, избегать подъема тяжестей, нормализовать работу кишечника, увеличивать потребление клетчатки и контролировать массу тела. Исследования показывают, что выполнение специального комплекса упражнений для мышц живота беременными на 35% снижает риск развития послеродового диастаза.
Литература:
- Guardia, «La Médecine à travers les âges».
- Мирский, «Медицина России X—XX веков» (Москва, РОССПЭН, 2005, 632 с.).
- Bangun H., Aulia F., Arianto A., Nainggolan M. Preparation of mucoadhesive gastroretentive drug delivery system of alginate beads containing turmeric extract and anti-gastric ulcer activity. Asian Journal of Pharmaceutical and Clinical Research. 2019; 12(1):316–320. DOI: 10.22159/ajpcr.2019.v12i1.29715.
- https://mdc51.ru/rastyazhenie-brjushnyh-myshc.html.
- https://www.KrasotaiMedicina.ru/diseases/zabolevanija_gastroenterologia/abdominal-separation.
- ОФС.1.2.1.2.0003.15 Тонкослойная хроматография // Государственная фармакопея, XIII изд.

