Пн-пт: 09:00—20:00; сб: 10:00—16:00 по предварительной записи
whatsapp telegram vkontakte email

Повреждения почек — опасные последствия зимних травм. Упали и ударились спиной – сделайте УЗИ

Мягкая зимняя погода последних лет способствует занятиям зимними видами спорта и прогулкам. Однако это также приводит к увеличению травм от падений. Чаще всего страдают почки, несмотря на их защиту со стороны ребер и мышц. Своевременное выявление проблем, которые могут вызвать серьезные осложнения, возможно с помощью УЗИ почек.

Повреждение почки

image

Причины

В мирное время чаще всего наблюдаются закрытые повреждения почки, возникающие из-за криминальных инцидентов (драк) или падений с высоты. Закрытая травма почки может быть вызвана ушибом, падением, сдавлением и другими факторами, которые приводят к повышению давления жидкости (мочи и крови) в почке или к её сдавлению между поперечными отростками позвонков и ребрами. Открытые травмы, возникающие из-за колотых и колото-резаных ран, встречаются реже. В условиях военных действий значительно увеличивается количество огнестрельных ранений почек.

Патанатомия

Тяжесть закрытой травмы почки зависит от места удара, направления и силы воздействия, а также от индивидуальных особенностей анатомии, таких как расположение почки относительно позвоночника и нижних ребер. Важными факторами являются степень развития мускулатуры, наполненность кишечника, количество паранефральной и подкожной жировой клетчатки, а также величина забрюшинного и внутрибрюшного давления. При наличии предшествующих заболеваний, таких как хронический пиелонефрит, аномалии развития, пионефроз и гидронефроз, целостность почки может быть нарушена даже при незначительных травмах. Повреждения могут варьироваться от мелких кровоизлияний до полного разрушения органа.

Особенно тяжелые травмы почек возникают при огнестрельных ранениях из-за обширного поражения, сложной конфигурации раневого канала и частого одновременного повреждения других органов. Тяжесть ножевых ран зависит от направления раневого канала и расположения раны относительно почечных сосудов.

Классификация

В травматологии и клинической урологии различают закрытые (подкожные, тупые) и открытые (проникающие) травмы почки. Закрытые повреждения делятся на:

  • Ушиб: в почечной паренхиме возникают множественные кровоизлияния, макроскопический разрыв субкапсулярной гематомы отсутствует.
  • Субкапсульный разрыв без повреждения чашечно-лоханочной системы: наблюдается крупная субкапсулярная гематома.
  • Разрыв ткани и фиброзной капсулы почки с повреждением чашечно-лоханочной системы.
  • Размозжение.
  • Отрыв мочеточника, полное или частичное повреждение сосудистой ножки.
  • Контузия.

Открытые травмы почки включают:

  • Резаные раны.
  • Колотые раны.
  • Осколочные ранения.
  • Пулевые ранения и др.

При постановке диагноза уточняют зону повреждения почки:

  • Повреждение сосудистой ножки.
  • Повреждение тела.
  • Повреждение нижнего сегмента.
  • Повреждение верхнего сегмента.

Также указывают характер травмы (сочетанная или изолированная) и наличие осложнений (осложненная или неосложненная).

Симптомы повреждения почки

Ведущими симптомами закрытой травмы почки являются боль и отек в поясничной области, а также микро- или макрогематурия. Боли могут быть острыми, тупыми или коликообразными и часто иррадиируют в паховую область. При тяжелых повреждениях наблюдаются вздутие живота, повышение температуры, тошнота, рвота и симптомы раздражения брюшины, что может имитировать тупую травму живота. Также могут проявляться дизурия, боли внизу живота и признаки внутреннего кровотечения.

Существует три степени тяжести закрытого повреждения почки. При легкой степени (ушибе) наблюдается незначительная кратковременная гематурия, умеренный болевой синдром и удовлетворительное общее состояние пациента. Признаки раздражения брюшины отсутствуют, околопочечная гематома не выявляется. При средней степени тяжести боли умеренные, с иррадиацией в половые органы, паховую область и нижнюю часть живота. Артериальное давление снижено, пульс учащен, под кожей в поясничной области видна гематома. Часто наблюдается дизурия, в некоторых случаях — анурия. Урогематома может вызывать симптомы раздражения брюшины. При тяжелых повреждениях развивается шок, боли становятся сильными, макрогематурия — профузной и длительной, нарастают признаки внутреннего кровотечения.

Симптомы открытого повреждения почки схожи с признаками закрытой травмы. Наблюдаются боль и гематурия, часто присутствует припухлость вокруг места повреждения. В области поясницы может быть огнестрельная, колотая или резаная рана. Наиболее достоверным признаком открытой травмы почки является истечение мочи из раневого канала, хотя этот симптом редко бывает явным в первые часы. Для выявления незначительных примесей мочи в кровянистом раневом отделяемом используют реактив Несслера.

Боль в области поясницы вызывает защитное напряжение мышц передней брюшной стенки. Раннее появление и выраженность этого симптома могут указывать на одновременное повреждение органов брюшной полости. Гематурия при открытых травмах почки возникает практически сразу, но ее выраженность не всегда соответствует тяжести повреждения. Встречаются как небольшие надрывы с профузной гематурией, так и тяжелые повреждения с незначительным количеством крови в моче.

Осложнения

При открытых повреждениях, чем ближе рана к почечной ножке, тем выше риск повреждения крупных сосудов и больше область инфаркта почки, что может привести к нагноению почечной ткани. Повреждение мочеточника и чашечно-лоханочной системы без операции вызывает мочевую инфильтрацию и флегмону забрюшинного пространства. Если также повреждена брюшная полость, развивается перитонит.

Диагностика

Диагноз устанавливает врач-уролог на основе клинических признаков, анализа мочи, а также данных МРТ, КТ, УЗИ, внутривенной урографии, нефросцинтиграфии и почечной ангиографии. Для оценки тяжести кровопотери контролируют уровень гемоглобина и гематокрита. При подозрении на сочетанную травму назначаются консультации травматолога, абдоминального хирурга и других специалистов.

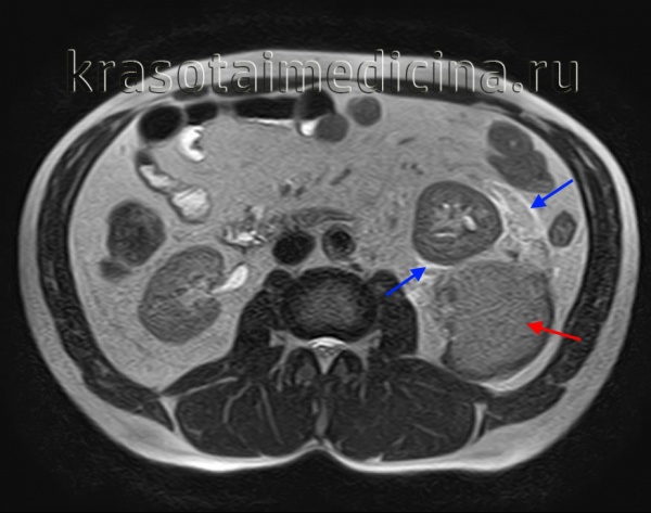
МРТ ОБП: повреждение левой почки, забрюшинная гематома (красная стрелка), отек перинефральной клетчатки (синяя стрелка).

image

Лечение повреждения почки

При закрытых травмах, не вызывающих гемодинамических нарушений, применяются консервативные методы. Открытые повреждения требуют хирургического вмешательства, если это не изолированные раны от холодного оружия, состояние пациента удовлетворительное, а гематурия незначительна и кратковременна. В таких случаях назначаются антибиотики, противовоспалительные и кровоостанавливающие препараты.

Абсолютные показания к хирургическому лечению при открытых и закрытых травмах почки включают нестабильную гемодинамику и пульсирующую, нарастающую гематому. Относительные показания — тяжелые повреждения, экстравазация больших объемов мочи, наличие крупного нежизнеспособного участка почки, сочетанные травмы, предшествующие заболевания почки и отсутствие эффекта от консервативной терапии. В зависимости от тяжести повреждения выполняются нефрэктомия, резекция или ушивание разрыва почки. В некоторых случаях возможно малоинвазивное вмешательство — эмболизация поврежденного сосуда через катетер, введенный в бедренную артерию.

Литература:

  1. М.П. Киселева, З.С. Шпрах, Л.М. Борисова и др. Доклиническое изучение противоопухолевой активности производного N-гликозида индолокарбазола ЛХС-1208. Сообщение II // Российский биотерапевтический журнал. 2015. № 3. С. 41-47.
  2. Мустафин Р. И., Буховец А. В., Протасова А. А., Шайхрамова Р. Н., Ситенков А. Ю., Семина И. И. Сравнительное исследование поликомплексных систем для гастроретентивной доставки метформина. Разработка и регистрация лекарственных средств. 2015; 1(10): 48–50.
  3. https://medcentr-diana-spb.ru/urologiya/povrezhdeniya-pochek-opasnyie-posledstviya-zimnih-travm-upali-i-udarilis-spinoy-sdelayte-uzi/.
  4. https://medintercom.ru/articles/ushib-pochki.
  5. https://www.KrasotaiMedicina.ru/diseases/traumatology/kidney-injury.
  6. З.С. Смирнова, Л.М. Борисова, М.П. Киселева и др. Доклиническое изучение противоопухолевой активности производного индолокарбазола ЛХС-1208 // Российский биотерапевтический журнал. 2014. № 1. С. 129.
Ссылка на основную публикацию
Похожее