Пн-пт: 09:00—20:00; сб: 10:00—16:00 по предварительной записи
whatsapp telegram vkontakte email

Инфильтрация легких: что это такое, при каких заболеваниях встречается

Лечение

Больного помещают в специализированное лечебное учреждение. Основным методом лечения является химиотерапия с использованием следующих препаратов:

  • Этамбул;
  • Пиразинамид;
  • Изониазид;
  • Рифампицин.

Для определения чувствительности микобактерий к антибиотикам проводят посев мокроты. Процедура включает выращивание микобактерий из образца мокроты пациента. После роста бактерии разделяют на группы и обрабатывают различными антибактериальными препаратами. Это позволяет выявить, какое лекарство эффективно против болезнетворных бактерий. Анализ сложный, и его результаты будут готовы через два-три месяца.

Интенсивная терапия может длиться несколько месяцев. Дополнительный курс включает иммуномодуляторы, кортикостероиды и антиоксиданты.

Микобактерии могут быть устойчивы к некоторым препаратам, поэтому в лечение обычно включают несколько видов лекарств. Для определения чувствительности к антибиотикам проводят специальное исследование мокроты, результаты которого также будут известны через два-три месяца.

Важно внести изменения в образ жизни. Питание должно быть полноценным, необходимо отказаться от вредных привычек. Правильно организованный курс терапии поможет справиться с симптомами в следующие сроки:

  • основные симптомы исчезнут через месяц;
  • токсическое выделение будет устранено через три-четыре месяца;
  • инфильтраты рассосутся через месяц.

Однако отсутствие симптомов не означает полного излечения. Микобактерии могут оставаться в организме. Для предотвращения их активности необходимо укреплять иммунитет, избегать стрессов и защищаться от инфекций. Полезны прогулки на свежем воздухе, особенно в хвойных лесах, поэтому противотуберкулезные диспансеры часто располагаются в лесной зоне. Врач может назначить повторный курс лечения в профилактических целях, некоторые препараты потребуется принимать снова.

В тяжелых случаях инфильтративный туберкулез лечат хирургически, с помощью операции, называемой коллапсотерапией. Этот метод применяют при обширном поражении легочной ткани и риске распространения заболевания на второе легкое.

Лечение народными средствами

Народные методы могут дополнять традиционную терапию, но не заменяют её. Туберкулез нельзя вылечить только народными средствами. Тем не менее, некоторые природные компоненты могут облегчить симптомы заболевания. В лечении используют следующие травы:

  1. Медуница способствует заживлению пораженных участков. Для приготовления отвара берут 1-2 столовые ложки сушеной травы и заливают стаканом воды. Кипятят 19 минут, затем настаивают 30 минут. Полученное средство принимают порционно в течение дня.
  2. Алоэ и ягоды калины (100 граммов) измельчают в мясорубке или блендере. К смеси добавляют 200 граммов меда и сливочного масла, а также 1 литр водки. Лекарство настаивают 10 дней. Для приема одну чайную ложечку средства растворяют в стакане горячего молока и выпивают целиком трижды в день.
  3. Исландский мох эффективно борется с микобактериями и используется как отхаркивающее средство.
  4. Барсучий жир, продающийся в аптеках, может значительно улучшить состояние больного. Его смешивают с медом и принимают за полчаса до еды в течение двух недель.
  5. Чеснок также может помочь в лечении туберкулеза. Рекомендуется ежедневно съедать 3-5 зубчиков и вдыхать его пары.

Перед использованием любого народного средства необходимо проконсультироваться с врачом.

К каким докторам следует обращаться если у Вас Воспалительный инфильтрат:

Инфекционист

Вас беспокоит воспалительный инфильтрат? Хотите узнать о его причинах, симптомах, методах лечения и профилактики, а также о диете после болезни? Или вам нужен осмотр? Запишитесь на прием к врачу в клинику Eurolab! Наши специалисты проведут осмотр, изучат симптомы и помогут поставить диагноз. Также доступна услуга вызова врача на дом. Клиника Eurolab работает круглосуточно.

Виды инфильтративного туберкулеза

Современная фтизиатрия выделяет клинические формы и фазы заболевания.

Клинические формы делятся на пять вариантов в зависимости от типа инфильтрата:

  1. Облаковидный – рентген показывает слабоинтенсивную гомогенную тень с расплывчатыми контурами. Возможен распад в мокроте и образование новых каверн.
  2. Круглый – округлый гомогенный фокус с четкими границами, чаще всего в подключичной области. Обычно бессимптомный или малосимптомный.
  3. Дольковый (лобулярный) – негомогенное затемнение, возникающее от слияния нескольких очагов.
  4. Краевой (перисциссурит) – обширная инфильтрация треугольной формы.
  5. Лобит – образование очагов в доле. Характеризуется быстрым развитием воспалительных процессов.

Инфильтраты также различаются по размеру:

  • малые – 10-20 мм;
  • средние – 20-40 мм;
  • крупные – 40-60 мм;
  • распространенные – более 60 мм.

Фазы инфильтративного туберкулеза легких имеют свои особенности:

  1. Начальная стадия проходит бессимптомно, без повышения температуры, так как иммунная система не реагирует на воспалительные изменения. Часто туберкулез на этой стадии останавливается. Через 2 месяца иммунная система начинает противодействовать микобактериям, и распространение останавливается. Недомогание отступает, оставляя шрам на поверхности легкого.
  2. Инфильтративный туберкулез верхней доли легкого. Осложнение возникает, если иммунитет не удерживает микроорганизмы в пределах очага, и они проникают в сосуды. Заболевание развивается через поражение альвеол и бронхов.
  3. Фаза прогрессирования.
  4. Острая пневмония (казеозная) – поражение легких достигает такой степени, что появляются полости. Прогноз неблагоприятный – возможен цирроз легких.

Профилактика Инфильтративного туберкулеза легких:

Что это за патология?

Инфильтративная форма туберкулеза — это вторичное заболевание, при котором поражается значительная часть легких. Характеризуется обильным образованием экссудата и омертвением тканей в центре очага. Код по МКБ 10 — A-15, международное обозначение — tbc.

Этот тип туберкулеза наиболее распространен, встречаясь в 60-70% случаев легочного туберкулеза. Он является высокозаразным и может передаваться различными путями.

Болезнь прогрессирует быстро, но при своевременном лечении наблюдается быстрая инволюция. Летальность составляет около 1%.

Возбудители пневмоний в лёгких

  1. Гноеродный стрептококк — до 4%. Часто вызывает осложнения, такие как перикардит и плеврит, особенно во время эпидемий гриппа.
  2. Стафилококк золотистый — до 5%. Обладает склонностью к деструкции; во время эпидемий его распространенность может достигать 40%.
  3. Пневмококк — от 70 до 96%.
  1. Легионелла — до 1,5%. Обнаруживается в помещениях с кондиционерами. Может сочетаться с острой почечной недостаточностью, высокой температурой и поносом.
  2. Синегнойная палочка — от 3 до 8%. Является возбудителем внутрибольничной инфекции, часто встречается при цитостатической и глюкокортикоидной терапии.
  3. Палочка Афанасьева-Пфейфера — 1–5%. Находится в носоглотке во время эпидемий гриппа, при бронхите и бронхоэктазии нижней доли с вовлечением плевры.
  4. Протей. Распространен среди людей с алкогольной зависимостью.
  5. Палочка кишечная. Наблюдается при сахарном диабете, находится в нижних отделах и имеет сливной характер.
  6. Палочка Фридлендера — до 8%. Вызывает гнойные осложнения, очаги распада в легочной ткани чаще располагаются в верхней доле. Течение заболевания тяжелое, особенно у людей старше 40 лет. Локализуется в ротовой полости.

Анаэробные инфекции встречаются редко и сопровождаются зловонной мокротой.

Чаще наблюдаются у людей после лучевой терапии, с иммунодефицитом, после трансплантации, а также у ослабленных пациентов и ВИЧ-инфицированных. Проявляются в стадиях: ателектатическая, отечная, эмфизематозная. Определяются по мазкам Романовского — Гимзе.

Включают вирусы, возникающие после трансплантации, при супрессивной терапии, а также респираторно-синцитиальный вирус, вирус парагриппа и гриппа.

Чаще всего встречается в местах скопления людей. Наблюдается несоответствие между симптомами поражения легких, катаральными явлениями и выраженной интоксикацией.

Диагностика

Заболевание диагностируется несколькими методами. Сначала врач проводит физикальное обследование, выявляя отставание грудной клетки с той стороны, где развивается патологический процесс. Мышечная система грудной клетки находится в тонусе, присутствуют болезненные ощущения.

При туберкулезе, развивающемся по типу лобита, при прослушивании определяется притупление перкуторного звука. Дыхание влажное, слышны устойчивые хрипы.

Для подтверждения диагноза применяются и другие методы:

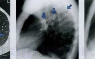
  • Рентгенография показывает инфильтраты, локализующиеся преимущественно в верхних отделах легких, от которых отходит дорожка к корню легкого.
  • Общий анализ крови демонстрирует снижение гемоглобина, повышение тромбоцитов и наличие лейкоцитоза.
  • Биохимический анализ крови показывает повышенный уровень С-реактивного белка.
  • Анализ мочи информирует о снижении концентрации фосфора.
  • Проба Манту.
  • Томография.
  • Исследование мокроты на наличие микобактерий.
  • Бронхоскопия позволяет оценить состояние слизистых трахеи и бронхов с помощью бронхоскопа.

Окончательный диагноз ставится на основании анализа мокроты, в которой обнаруживаются фибринозные свертки, тельца Коха, эозинофилы, спирали Куршмана, повышенное содержание лимфоцитов и большое количество белка. Наличие микобактерий подтверждает инфильтративный туберкулез.

Какова доза облучения при различных рентгенологических методах исследования легких?

Медицина и онкологическая патология

Вид рентгенологического исследования органов грудной полости Диапазон лучевой нагрузки, мЗв
Цифровая рентгенография 0,008-0,01
Цифровая флюорография 0,03-0,06
Пленочная флюорография в 1-й проекции 0,1-0,8
Обзорная рентгенограмма 0,15-0,4
Линейная томограмма (один срез) 0,04-0,08
Компьютерная томография легких 2-11

Доза облучения зависит от типа исследования и используемого аппарата. Новые низкодозовые аппараты предпочтительнее для проведения исследований.

  • Употребление продуктов, богатых пектином и клетчаткой (сырые овощи и фрукты, свежевыжатые соки с мякотью, морсы).
  • Прием активированного угля или других сорбентов (например, Белый Уголь, Энтеросгель, Атоксил).
  • Можно выпить 100-200 мл красного сухого вина (не рекомендуется беременным, детям и водителям).
  • В день обследования полезно выпить стакан молока.
  • Для защиты щитовидной железы от рентгеновских лучей следует употреблять достаточное количество йода (морепродукты, йодированная соль и т.д.).
  • Рвота.
  • Головная боль.
  • Повышение температуры тела.
  • Покраснение кожи.
  • Слабость.
  • Изменения в общем анализе крови: анемия, резкое уменьшение количества лейкоцитов и тромбоцитов.
  • Синяки на коже, кровотечения.
  • Ожоги кожи.
  • Поражение печени.
  • Инфаркт, инсульт.
  • Развитие тяжелых инфекционных заболеваний.
  • Кахексия (резкое похудение).

Инфильтративная форма туберкулеза верхней доли правого легкого

Инфекционное поражение верхней доли правого легкого связано с высокой уязвимостью этой части органа. Патология наблюдается у 97 % пациентов, в то время как у 3 % выявляется воспаление нижней доли. Образование опухоли имеет небольшие размеры и нечеткие контуры.

Особенности:

  • длительный инкубационный период;
  • бессимптомное течение;
  • гипертермия при переходе в острую фазу;
  • незначительный кашель.

После диагностики и лечения пациенты становятся на учет в противотуберкулезный диспансер. Регулярные медосмотры помогают своевременно выявлять и предотвращать рецидивы.

Дифференциальная диагностика

Симптомы инфильтративного туберкулеза схожи с признаками других заболеваний, поэтому необходима дифференциальная диагностика. Инфильтративный туберкулез следует отличать от:

  • плевропневмонии;
  • инфаркта легкого;
  • рака легкого;
  • эхинококкоза;
  • кандидамикоза;
  • актиномикоза.

Туберкулез отличается от пневмонии отсутствием катаральных воспалительных процессов в верхних дыхательных путях. Он развивается постепенно, в то время как пневмония проявляется резко, сопровождаясь тяжелым состоянием пациента и высокой температурой. Эти симптомы не характерны для начального этапа туберкулеза и появляются только при прогрессировании заболевания.

Инфаркт легкого имеет общие симптомы с туберкулезом, такие как кровохарканье, боль в грудной клетке и одышка. Однако инфаркт начинается внезапно и не сопровождается повышением температуры. Заболевание может быть связано с тромбофлебитом вен нижних конечностей и сердечными патологиями.

Для дифференциации инфильтративного туберкулеза и рака легкого необходимо провести цитологический анализ мокроты.

Рентгенография: Туберкулез легких

Туберкулез

Туберкулез — инфекционное заболевание, вызываемое микобактериями туберкулеза, преимущественно Mycobacterium bovis и Mycobacterium tuberculosis. Заболевание проявляется образованием специфических гранулем в различных тканях и органах.

Рентгенологическая картина туберкулеза легких разнообразна и зависит от формы, стадии и периода болезни (первичный или вторичный), а также от наличия осложнений. У пациентов с иммунодефицитом, особенно при ВИЧ-инфекции, наблюдается нетипичная рентгенологическая картина.

В данной статье рассмотрим некоторые аспекты рентгенологической диагностики вторичного туберкулеза легких у взрослых.

Вторичный туберкулез имеет несколько характерных особенностей:

  • Локализация в верхне-задних сегментах легких (S 1, 2, 6).
  • Образование полостей распада в инфильтратах.
  • Формирование каверн.
  • Наличие очаговых изменений.
  • Образование очагов отсева в пораженных и противоположных легких.

Рисунок 1. Локализация изменений на рентгенограмме, характерная для вторичного туберкулеза легких (в прямой и боковой проекциях): S 1, S 2 верхней доли и S 6 нижней доли.

Рисунок 2. Туберкулезный процесс в легких (схематическое изображение): в верхних отделах правого легкого инфильтрация с полостями распада; на фоне инфильтрации отдельные очаги. Очаги отсева (очаговые тени) также могут определяться в отдаленных участках пораженного и противоположного легкого. Рентгенограмма соответствует инфильтративному туберкулезу правого легкого в фазе распада и обсеменения.

При хроническом течении туберкулеза с обширным поражением легочной ткани образуются выраженные фиброзные изменения в верхних отделах легких, формируются толстостенные каверны.

Рисунок 3. Изменения в легких при хроническом течении туберкулеза (схема): 1 — плевральные наслоения в верхней доле справа; 2 — фиброзные тяжи к корню; 3 — ретикулярные тени, отражающие пневмосклероз; 4 — полости распада с толстыми стенками. Верхняя доля легкого уменьшена в объеме, в обоих легких определяются очаги отсева. Картина фиброзно-кавернозного туберкулеза правого легкого в фазе обсеменения.

Некоторые формы туберкулеза характеризуются диссеминированными изменениями легких. В результате туберкулезного процесса в легких остаются «плотные» фиброзные очаги, кальцинаты в легких и лимфатических узлах, а также посттуберкулезный цирроз легкого. Рентгенологическая картина может указывать на последствия перенесенного первичного туберкулеза в детском или подростковом возрасте — кальцинаты в легком (очаг Гона) и обызвествление в проекции медиастинальных и бронхопульмональных лимфатических узлов (так называемый заживший первичный туберкулезный комплекс).

Рисунок 4. Остаточные явления перенесенного туберкулеза: А — рентгенограмма в прямой проекции; Б — рентгенограмма в правой боковой проекции. Крупное обызвествление в проекции правых паратрахеальных лимфатических узлов, кальцинаты лимфатических узлов правого корня, кальцинат в S 6 правого легкого.

Для окончательной диагностики необходимо заключение фтизиатра, а также иммунологическое, бактериоскопическое и бактериологическое лабораторное подтверждение. В настоящее время для обнаружения туберкулезных изменений применяется рентгеновская компьютерная томография (РКТ). Для определения активности патологического процесса важно учитывать данные клинико-лабораторной диагностики и динамику процесса, включая сравнение рентгенологических исследований.

Ссылка на основную публикацию
Похожее