Пн-пт: 09:00—20:00; сб: 10:00—16:00 по предварительной записи
whatsapp telegram vkontakte email

Гематома после ушиба причины, способы диагностики и лечения

Дата публикации: 21.03.2019

Дата проверки статьи: 02.12.2019

Гематома — это сгусток крови под кожей, имеющий красно-синий оттенок и небольшую припухлость. Она возникает при ушибе, вызванном ударом тупым предметом, что приводит к разрыву кровеносных сосудов и кровоизлиянию. Небольшую гематому можно лечить самостоятельно, так как она не представляет опасности. Однако крупная гематома может сильно давить на сосуды и нарушать кровообращение, что требует обращения к врачу.

Гематома возникает при ушибе 2 степени, сопровождаясь разрывом мышечной ткани и повреждением капилляров. Травма вызывает резкую боль и ухудшение общего состояния пострадавшего, а также частичную ограниченность подвижности поврежденной конечности.

Существует три типа гематом по локализации:

  • подкожные;
  • подфасциальные;
  • межмышечные.

По типу кровоизлияния гематомы бывают:

  • артериальные;
  • венозные;
  • смешанные.

По клинической картине выделяют четыре вида гематом:

  • диффузные;
  • ограниченные;
  • осумкованные;
  • пульсирующие.

По состоянию крови различают:

  • свежие;
  • свернувшиеся;
  • лизированные.

Свежие гематомы можно обнаружить в первые часы или сутки после травмы, свернувшиеся — через пару дней, лизированные — через 2-3 недели. Сроки могут варьироваться в зависимости от размера гематомы и других факторов. При попадании инфекции возможно инфицирование и нагноение.

О чем говорит гематома после ушиба

Гематома вызывает боль, отек, припухлость и нарушение мышечной функции. Также наблюдаются изменения цвета кожи в области повреждения и повышение температуры. При неполном разрыве крупных артерий может возникать пульсация.

При появлении гематомы нужно приложить лед и наложить давящую повязку. Холодный компресс в первые минуты после травмы помогает предотвратить кровоизлияние и уменьшить площадь гематомы. Спустя 5-6 дней врач назначает тепловые процедуры, которые снимают боль и блокируют воспалительные процессы в пораженной области. Гематома постепенно изменит цвет на желто-зеленый. Во время лечения рекомендуется ограничить физическую активность и снизить нагрузку на поврежденную часть тела.

Когда нужно обращаться к врачу? К какому врачу?

К врачу нужно обратиться при наличии следующих симптомов:

  • обширная гематома;
  • сильный отек;
  • повреждение кости или сустава;
  • гематома на голове, животе или рядом с глазом;
  • гематома не проходит самостоятельно более 14 дней.

Лечением ушибов занимаются хирурги или травматологи. Для диагностики врач проводит визуальный осмотр и оценивает клинические признаки. Гематомы внутренних органов можно выявить с помощью компьютерной томографии или МРТ.

Как лечить?

Если у пациента стабильное состояние, достаточно медикаментозного лечения. В некоторых случаях требуется хирургическое вмешательство. Рекомендуется избегать массажа ушиба и не употреблять алкоголь, так как это может расширить сосуды и усилить кровообращение, что ухудшит состояние пациента.

Медикаментозное лечение

При гематоме врач назначает местные средства. Они уменьшают отек мягких тканей и проницаемость сосудов. Гепариновая мазь обладает рассасывающим эффектом и наносится до 5 раз в сутки. Через 2-3 дня гематома исчезнет.

Гематому после ушиба можно лечить гомеопатическими средствами на основе арники, которые безопасны даже во время беременности. Эти препараты останавливают кровоизлияние, уменьшают отек, тонизируют сосуды и снимают боль. Для облегчения сильной боли используют ибупрофен, который принимают каждые 6 часов. Не рекомендуется сочетать обезболивающие с антикоагулянтами.

Хирургическое лечение

При хирургическом вмешательстве врач вскрывает гематому, перевязывает кровоточащий сосуд или накладывает сосудистый шов. Если нет осложнений, прогноз для гематомы благоприятный.

Консервативная терапия

Для ускорения оттока венозной жидкости и улучшения кровотока можно легкими движениями массировать место ушиба, но не в первые сутки после травмы. Это поможет быстрее рассосаться кровяным сгусткам и уменьшить гематому. Полезно выполнять изотонические упражнения: сокращать и расслаблять мышцы поврежденного участка с умеренной скоростью. После гимнастики рекомендуется лечь, расслабиться и разместить травмированное место на возвышении. Это способствует правильной циркуляции крови и предотвращает увеличение гематомы.

Среди физиопроцедур эффективны лазеротерапия, магнитотерапия и УВЧ-терапия.

Важно правильно составить рацион питания во время лечения гематомы. В меню должны быть продукты, богатые белком: яйца, куриная грудка, индейка, рыба и творог. Также необходимо включить продукты, содержащие витамины группы B. Недостаток витамина B12 может привести к образованию обширных гематом, анемии и нарушению свертываемости крови. Для устранения заметных гематом полезно употреблять продукты, содержащие витамин K.

Отзывы пациентов

Точность диагностики и качественное обслуживание — наши главные приоритеты. Мы ценим каждый отзыв наших пациентов.

Гематома

Гематома — это скопление сгустков или жидкой крови в мягких тканях, возникающее из-за разрыва кровеносных сосудов. Наиболее распространённый вид гематомы — обычный синяк. Однако это понятие охватывает и более серьёзные случаи, требующие квалифицированной медицинской помощи. Кровь, вытекающая из сосуда, раздражает окружающие ткани, что приводит к болезненным ощущениям, отёку и другим признакам воспаления. Кроме того, гематома может сжимать соседние ткани или органы, что увеличивает риск осложнений.

Общие сведения

Гематома мягких тканей — распространенное состояние в травматологии. Она может возникать в области конечностей, лица или туловища, быть небольшой или обширной, располагаться подкожно, внутримышечно, подфасциально или под слизистой оболочкой. Мелкие поверхностные гематомы чаще встречаются на пальцах рук, а обширные — в области нижних конечностей (голени и бедра). Небольшие гематомы часто рассасываются самостоятельно. При инфицировании может наблюдаться нагноение. Патология встречается у всех групп населения, но чаще у людей с высоким уровнем физической активности, таких как дети и молодые мужчины.

Почему гематома меняет цвет

Медики выделяют три стадии гематомы, которые она проходит, прежде чем исчезнуть. Каждая стадия характеризуется определенным цветом кожи, сквозь которую просвечивает кровоизлияние.

  1. Появление синяка. Сразу после ушиба мягких тканей возникает резкая боль. Участок кожи становится багрово-красным и отекает. Красный цвет обусловлен эритроцитами с высоким содержанием гемоглобина. Спустя несколько часов гемоглобин начинает разрушаться, и место ушиба синеет. Из-за отека и воспаления температура в поврежденной области повышается.

  2. Позеленение. Через два-три дня отек и температура уменьшаются, состояние тканей нормализуется, но сохраняются незначительные болевые ощущения при надавливании. Синий оттенок кожи постепенно переходит в зеленоватый.

  3. Пожелтение. К пятому дню отек полностью проходит, остатки гемоглобина распадаются и выводятся из тканей. Место ушиба становится желтоватым, затем приобретает обычный цвет.

Визуальные симптомы гематом лучше всего заметны, когда кровоизлияние происходит в подкожном слое. Если сгусток образуется в более глубоких слоях мягких тканей, снаружи видна лишь небольшая болезненная припухлость. Такие образования более опасны, так как процесс протекает незаметно и может сопровождаться осложнениями.

Виды повреждений

Чем быстрее образуется гематома, тем тяжелее протекает выздоровление. Травмы делятся на:

  • легкие — развиваются в течение суток, сопровождаются незначительной болью и не требуют специального лечения;
  • средней тяжести — появляются за 5-6 часов, вызывают заметную припухлость и боль, ухудшают двигательную функцию конечности;
  • тяжелые — образуются в течение 2 часов после ушиба, сопровождаются острой болью, нарушением функций конечности и выраженной припухлостью.

Лечение гематом средней и тяжелой степени должно проводиться под наблюдением врача, чтобы избежать негативных последствий.

Кроме тяжести повреждения, гематомы классифицируют по другим критериям:

  • по глубине расположения — под кожей, под слизистой, в мышечной ткани, под фасцией и т.д.;
  • по состоянию крови — несвернувшиеся (свежие), свернувшиеся и лизированные (содержат старую кровь, не способную к свертыванию);
  • по характеру распространения крови — диффузные (кровь пропитывает ткань), полостные (кровь скапливается в полости между тканями) и осумкованные (полость, заполненная кровью, окружена соединительной тканью);
  • по состоянию сосуда — пульсирующие (кровь свободно выливается из сосуда) и непульсирующие (разрыв сосуда быстро запечатывается тромбом).

Кровоизлияние всегда представляет опасность для здоровья, поэтому после травмы необходимо обратиться за медицинской помощью.

Методы обследования

Для диагностики гематом необходимо обратиться к травматологу. Если кровоизлияние локализовано глубоко в мышечной ткани, суставах или внутренних органах, визуальный осмотр не дает достаточной информации для оценки тяжести травмы. В таких случаях назначают:

  • УЗИ поврежденной области;
  • рентгенографию;
  • КТ или МРТ;
  • пункцию сустава или органа для выявления скопления крови.

На основе результатов обследования врач определяет необходимые процедуры.

Как убрать гематомы?

После определения характера и особенностей гематомы назначают лечение:

  • процедуры УВЧ;
  • хирургическое вскрытие для удаления сгустков и промывания полости;
  • госпитализацию в хирургическое отделение для вскрытия и дренирования с последующей антибиотикотерапией.

Сроки восстановления зависят от размеров поражения, наличия инфекции и других факторов.

Часто возникающие вопросы

Как избавиться от гематомы народными методами?

Народные средства эффективны только при небольших и неопасных повреждениях. Для ускорения рассасывания синяка можно использовать компресс из размятого капустного листа, смесь бодяги с вазелином или тампоны, смоченные в растворе мумие. При глубоких или обширных повреждениях следует обратиться к врачу.

Чем опасна гематома?

Наибольшую опасность представляют гематомы, образующиеся в глубоких тканях, органах или суставах. Крупное кровоизлияние может привести к инфекции, воспалению и нагноению. Повреждение сустава может вызвать бурсит, синовит или гемартроз, что может привести к инвалидности. Кровь в полости брюшины вызывает перитонит. Гематомы головного мозга могут нарушить функции органа, что приведет к ухудшению когнитивных функций, параличу и другим серьезным последствиям.

Как лечить гематому в первые часы после травмы?

Сразу после ушиба необходимо оказать первую помощь: приложить к травмированному месту лед и туго забинтовать поврежденную конечность, чтобы остановить вытекание крови в ткани. Повязка не должна оставаться дольше двух часов. В это время нужно добраться до травмпункта для получения профессиональной помощи.

Не нашли ответа на свой вопрос?

Наши специалисты готовы проконсультировать вас по телефону.

Гематома мягких тканей

Гематома мягких тканей — это полость, образованная в результате травмы и заполненная кровью или сгустками. Она возникает при излитии крови из поврежденного сосуда. Гематома может выглядеть как плотное или флуктуирующее опухолевидное образование, болезненное при пальпации, и сопровождается отеком и изменением цвета кожи. При глубоком расположении наблюдается изменение формы и локальное увеличение объема пораженного участка. Диагностика основывается на жалобах, анамнезе и внешнем осмотре. В сомнительных случаях может быть назначена ультрасонография. Лечение включает местные консервативные мероприятия, а в тяжелых случаях — вскрытие и дренирование.

Причины

Гематомы могут возникать при любых травмах, включая автодорожные, производственные и падения с высоты, но чаще всего они связаны с бытовыми травмами. Патология обычно появляется после прямого удара при ушибе или в результате интенсивного сдавления, а также разрыва сосуда при переломах и вывихах. Вероятность развития гематом увеличивается при заболеваниях, которые нарушают свертываемость крови и делают сосудистую стенку более хрупкой.

Патогенез

Механизм формирования гематомы мягких тканей заключается в разрыве кровеносного сосуда без раны, реже — при небольшой колотой ране. Интенсивное травматическое воздействие при ушибе, повреждение костным отломком или резкое смещение анатомических структур при переломе или вывихе нарушает целостность сосудистой стенки. Кровь под давлением вытекает и «раздвигает» ткани, образуя полость.

Часть крови проникает в ткани, что приводит к цикличным изменениям цвета кожи из-за распада эритроцитов с образованием гематоидина и гематосидерина. Сначала место повреждения становится багровым или синюшным, затем приобретает зеленоватый, а позже желтоватый оттенок. При глубоких гематомах цвет кожи может оставаться неизменным.

Гематома может рассасываться или сохраняться длительное время, претерпевая изменения, которые завершаются рубцеванием. При вскрытии свежих образований кровь алая, вязкая и густая, иногда желеобразная из-за активности факторов свертывания. Позже в полости могут обнаруживаться старые сгустки или темная жидкая лизированная кровь. При опорожнении застарелых гематом сгустки могут быть твердыми, образуя цельную массу и плохо отделяясь от окружающих тканей, что связано с начавшимся процессом рубцевания и перерождения в фиброзную ткань. Инфицированные полости заполнены серозным или гнойным содержимым.

Классификация

Систематизация гематом осуществляется по нескольким признакам. Основные цели деления на группы — оценка тяжести патологии, выбор лечебной тактики, определение необходимости хирургического вмешательства и прогнозирование. В клинической практике выделяют следующие виды гематом:

  • По локализации. Гематомы могут находиться под кожей, в подслизистом слое, под фасцией или в мышечной ткани. Наиболее крупные полости располагаются внутри мышц или подфасциально (между мышцей и фасцией) из-за богатого кровоснабжения и эластичности скелетной мускулатуры.
  • По состоянию сосуда. Пульсирующие гематомы возникают при повреждении крупных сосудов, отличаются отсутствием тромба в зоне повреждения и возможностью свободного движения крови между полостью образования и сосудом. Непульсирующие гематомы образуются при повреждении мелких и средних сосудов, стенки которых быстро закрываются тромбом.
  • По состоянию излившейся крови. Несвернувшиеся (свежие) гематомы выявляются в первые часы или дни после травмы, свернувшиеся — спустя несколько суток, лизированные (с заполненной старой кровью, неспособной к свертыванию) — через несколько недель. Указанные сроки могут варьироваться в зависимости от активности факторов свертывания, размера образования и других обстоятельств. При инфекции может наблюдаться инфицирование, а затем нагноение.
  • По отношению к тканям. При диффузных гематомах преобладает пропитывание тканей кровью, полость может быть небольшой или отсутствовать. В ограниченных образованиях ткани пропитаны незначительно, основная масса крови находится в полости. Осумкованные гематомы определяются в отдаленные сроки и характеризуются наличием слоя плотной соединительной ткани, отделяющей полость от окружающих структур.
  • По степени тяжести. Легкие гематомы возникают примерно через сутки после травмы и часто рассасываются самостоятельно. Образования средней тяжести формируются в течение 3-5 часов и требуют консервативного или оперативного вмешательства. Тяжелые повреждения диагностируются через 1-2 часа после травмы и требуют вскрытия и дренирования.

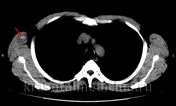
КТ ОГК показывает гиперденсное скопление крови в мышечном массиве грудной стенки справа, окруженное зоной отека.

image

Симптомы

Первые признаки патологии — это боль и местный отек. Гематома отличается от других травм мягких тканей на ранней стадии более выраженной ограниченностью припухлости и отсутствием плавного перехода от отечных участков к неизмененным. В течение нескольких часов отек распространяется, усиливается болезненность, и движения становятся ограниченными. Пациенты ощущают давление или напряжение в пораженной области. При поверхностной гематоме кожа приобретает синюшно-багровый оттенок. При глубоком расположении может наблюдаться локальная гиперемия, иногда цвет кожи остается неизменным.

При пальпации на начальном этапе флуктуация отсутствует, но ощущается уплотнение и резкая болезненность. После формирования ограниченной полости с жидкой кровью появляется положительный симптом зыбления. Сначала пораженная область напряженная, но после уменьшения отека плотность тканей может снижаться. При благоприятном течении отек постепенно уменьшается и исчезает, при неблагоприятном — сохраняется долго и вызывает болезненность при движениях.

Осложнения

Основным негативным последствием гематомы мягких тканей является нагноение с образованием абсцесса. Это осложнение чаще возникает при повреждении кожи. При попадании инфекции в полость гематомы усиливается болевой синдром, наблюдаются локальная гиперемия и гипертермия, а также симптомы общей интоксикации. В некоторых случаях возможно распространение гнойного процесса, что может привести к флегмоне или сепсису.

Диагностика

Диагностику проводит врач-травматолог. Если нет признаков поражения костей и суставов, дополнительные исследования обычно не требуются. Диагноз устанавливается на основе анамнеза (наличие свежей травмы с характерным механизмом), жалоб пациента и результатов физикального обследования. При глубоко расположенных гематомах для оценки тяжести повреждения и дифференциации с ушибом может быть назначено УЗИ мягких тканей. Если имеются сопутствующие повреждения твердых структур, выполняется рентгенография соответствующего сегмента. Дифференциальную диагностику также проводят с переломами, надрывами связок и мышц, реже — с синдромом позиционного сдавления, острым миозитом, ишемией при тромбозе мелких или средних сосудов и другими состояниями, сопровождающимися плотным локальным отеком.

КТ головного мозга: гематома периферических мягких тканей левой теменной области.

image

Лечение гематомы мягких тканей

Лечение проводится амбулаторно, и его тактика зависит от тяжести травмы и времени, прошедшего с момента повреждения. При свежих травмах конечности необходимо поднять, приложить холод (например, грелку с холодной водой или пакеты со льдом, завернутые в полотенце) и наложить давящую повязку для уменьшения кровотечения. После стабилизации состояния назначают УВЧ и теплые грелки для ускорения рассасывания гематом. Небольшие поверхностные гематомы вскрывают в травмпункте. При крупных и глубоких гематомах, а также при признаках инфицирования требуется госпитализация в травматологическое отделение для вскрытия и дренирования с антибиотикотерапией. После вскрытия неинфицированных гематом рекомендуется тугое бинтование для устранения полости и ускорения заживления.

Прогноз и профилактика

Прогноз обычно благоприятный. Большинство гематом рассасывается самостоятельно в течение 2-3 недель. Средний срок нетрудоспособности после вскрытия полости составляет около 2 недель, и результатом становится полное выздоровление. При отсутствии лечения возможно образование фиброзной ткани (рубца) с формированием внешнего дефекта. Если возникает инфекция, сроки лечения и прогноз могут варьироваться в зависимости от тяжести процесса. Профилактика включает предотвращение травм и раннее обращение за медицинской помощью при повреждениях.

Литература:

  1. Haeser, «Handbuch der Gesch. d. Medicin».
  2. Debjit B., Rishab B., Darsh G., Parshuram R., Sampath K. P. K. Gastroretentive drug delivery systems — novel approaches to controlled drug delivery systems. Research Journal of Science and Technology; 10(2): 145–156. DOI: 10.5958/2349-2988.2018.00022.0.
  3. https://cmrt.ru/simptomy/gematoma-posle-ushiba/.
  4. https://www.medicina.ru/patsientam/zabolevanija/gematoma/.
  5. https://www.KrasotaiMedicina.ru/diseases/traumatology/hematoma.
  6. Daremberg, «Histoire des sciences médicales» (П., 1966).
Ссылка на основную публикацию
Похожее