Пн-пт: 09:00—20:00; сб: 10:00—16:00 по предварительной записи
whatsapp telegram vkontakte email

Гематома на МРТ головного мозга

Гематома на МРТ головного мозга

Схематическое изображение гематомы головного мозга, расположенной над твердой оболочкой (эпидуральной).

Внутричерепное кровоизлияние — серьезная патология, требующая срочной помощи специалистов. Гематома опасна тем, что нарушает кровоснабжение мозга и повреждает нервную ткань из-за давления. Позднее обращение за медицинской помощью или неадекватное лечение может привести к смещению структур мозга из-за повышения внутричерепного давления, что угрожает жизни. Симптомы могут проявляться не сразу, что приводит к потере времени. При негативной динамике развития кровоизлияния шансы пациента на выживание снижаются, даже при грамотном лечении. Гематома вызывает сильную боль, а с увеличением внутричерепного давления могут появляться тошнота, рвота, нарушения сознания, судороги и очаговые неврологические симптомы (изменение размера зрачков, парезы, нарушения чувствительности, повышенные рефлексы и патологические знаки). Отрицательная динамика может привести к коме, нарушениям сердечно-сосудистой системы и остановке дыхания. Точная диагностика локализации процесса затруднена из-за быстрого изменения объема крови в очаге повреждения после травмы. Основной метод для быстрой оценки состояния мозга — компьютерная томография (КТ). Существуют различные классификации кровоизлияний в зависимости от локализации, источника и сроков. КТ позволяет определить характер гематомы, степень давности и вовлеченность окружающих тканей. Магнитно-резонансная томография (МРТ) помогает выявить тяжелые повреждения аксонов нервных клеток и оценить восстановительные процессы в отдаленные сроки. МРТ также позволяет дифференцировать ишемический и геморрагический инсульты, когда неясно, есть ли гематома в черепной полости.

Визуализация патологического процесса зависит от времени после травмы. В период от 24 до 72 часов после разрыва сосуда гематома может не отображаться на МРТ (ложно отрицательный результат). В первые сутки для оценки масштабов повреждений тканей и костей выполняют КТ, которая позволяет увидеть компоненты черепа и ушибы мозга (контузионно-геморрагические очаги). На основе результатов КТ нейрохирурги принимают решение о необходимости операции. Важна диагностика рентгеновскими лучами кровоизлияний, прошедших 12-72 часа. На КТ хорошо видны смещения костных отломков, их глубина, разрывы сосудов и масштаб вовлечения церебральных структур. МРТ может проводиться в экстренном порядке при госпитализации (например, при геморрагическом инсульте) до 24 часов после происшествия. В других случаях визуализировать кровь на МРТ удается только через три дня. Выявление причин гематом, постановка диагноза и неотложное лечение происходят в стационаре. В частных медицинских центрах МРТ выполняется по назначению врача, что позволяет оценить особенности гематомы (при хроническом процессе), последствия повреждений коры и осложнения, такие как гигрома и рубцово-атрофические изменения. Начиная с 7 суток после разрыва сосуда (в позднем подостром периоде), кровь на МРТ визуализируется лучше, имеет гиперинтенсивный сигнал на Т1 и Т2 взвешенных изображениях. При переходе в хроническую стадию кровоизлияние становится гипоинтенсивным (отображается темными участками).

image

Кровь на МРТ, как выглядит?

В медицинской практике выделяют несколько видов внутричерепных кровоизлияний:

  • Интрапаренхиматозная гематома — возникает из-за разрыва сосудов при геморрагическом инсульте, чаще всего из-за повышенного артериального давления, травмы артерии или воспалительных процессов. На снимках кровоизлияние расположено среди белого вещества мозга, не связанное с повреждением костей черепа, даже если возникло после удара головы.

  • Субарахноидальное кровоизлияние (САК) — происходит из-за разрыва сосуда на поверхности мозга в подпаутинном пространстве, например, при разрыве мешотчатой аневризмы. Основные симптомы: внезапная сильная головная боль, тошнота с рвотой, светобоязнь и угнетение сознания до комы. САК может вызывать вазоспазм и на снимках располагается на поверхности мозга.

  • Субдуральная гематома — локализуется под твердой мозговой оболочкой и имеет форму серпа на магнитно-резонансной или компьютерной томографии. Возникает из-за разрыва вен после травм, приема антикоагулянтов или шунтирования желудочков, характеризуется высоким уровнем летальности и вызывает смещение мозга из-за внутричерепного давления.

  • Эпидуральная гематома — обычно возникает после травматических повреждений. Локализуется под областью перелома, между костями черепа и твердой оболочкой мозга, визуально выглядит как двояковыпуклая линза.

  • Внутрижелудочковое кровоизлияние — может быть первичным (при опухолях, аневризмах, ангиомах и т. д.) или вторичным (в результате прорыва крови из гематомы в полость желудочков при большом объеме первой).

image

Отличает ли МРТ старую гематому от новой?

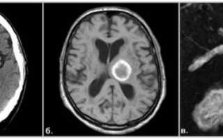
Визуализация кровоизлияния в головном мозге при магнитно-резонансной томографии (МРТ) зависит от давности патологического процесса. С помощью режимов МРТ — Т1, Т2 и FLAIR (с подавлением сигнала свободной воды) — можно различать разные виды гематом. Их дифференциация основана на сроках геморрагии, поскольку в крови происходят изменения со временем:

  • Сверхострая стадия (до 24 часов) — высокий уровень оксигемоглобина и неразрушенные эритроциты. МР-сигнал изоинтенсивный на Т1 и слабо гиперинтенсивный на Т2. В этом периоде МРТ позволяет выявить очаг патологии, но более информативна компьютерная томография (КТ).
  • Острое кровоизлияние (1-3 дня) — оксигемоглобин превращается в дезоксигемоглобин. Наблюдается гипо(изо)интенсивный МР-сигнал и выраженный отек мозга. На этой стадии гематому на МРТ не удается рассмотреть.
  • Ранний подострый период (3-7 дней) — уменьшение плотности гематомы и ее неоднородность. Гиперинтенсивный сигнал метгемоглобина на Т1 и гипоинтенсивный на Т2. Гематома становится видимой на МРТ.
  • Поздняя подострая стадия (7-14 дней) — разрушение эритроцитов и выход метгемоглобина в межклеточное пространство. Гиперинтенсивный МР-сигнал в обеих последовательностях по всему объему кровоизлияния.

  • Хронический процесс (от 2 недель) — поглощение макрофагами метгемоглобина приводит к образованию гемосидерина, который выглядит темным по периферии очага на МРТ из-за парамагнитного эффекта железа. Плотность гематомы снижается и становится схожей с мозговым веществом. К концу 30 дней кровоизлияние полностью состоит из гемосидерина и отражается ярким светлым оттенком на Т2 ВИ. Даже спустя годы на исследовании можно обнаружить очаг кровоизлияния из-за скопления молекул оксида железа.

Интенсивность МР-сигнала от гематомы в режиме FLAIR меняется от гиперинтенсивного в первые сутки до гипоинтенсивного при хроническом процессе. На основе отклика от очага повреждения головного мозга на магнитные волны можно определить «возраст» патологии.

image

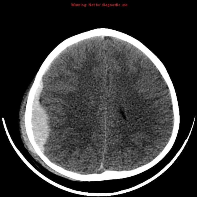
Гематома на КТ головного мозга

КТ головного мозга — основной метод быстрой диагностики гематом при травмах головы. Внутричерепные гематомы представляют собой скопления крови в головном мозге или между мозгом и черепом. За 1-3 минуты обследования врач может провести дифференциальную диагностику следующих типов гематом:

  • Субдуральная гематома
  • Эпидуральная гематома

Эпидуральная гематома на КТ

Эпидуральной гематомой называют небольшое скопление крови, расположенное над поверхностной оболочкой мозга. Обычно она возникает при переломах черепа, когда источником кровотечения становятся оболочечные артерии. В зависимости от расположения относительно мозжечка, эпидуральная гематома делится на подвиды:

  • Субтенториальная гематома — ниже намета мозжечка;
  • Супратенториальная гематома — выше намета мозжечка.

image

Признаки эпидуральной гематомы на КТ

Эпидуральная гематома на томографических снимках имеет характерную форму, напоминающую двояковыпуклую линзу, которая соприкасается с костью. При переломе черепа может наблюдаться, что перелом находится в области дна гематомы.

Точный признак эпидуральной гематомы — наличие ликворных «стрелок» в углах, возникающих при разрыве арахноидальной оболочки. В этом случае ликвор переходит из арахноидальной полости в субдуральное пространство, а также могут быть видны костные отломки. Обычно структура эпидуральных гематом однородная. Неоднородное скопление крови или наличие газа в черепе встречаются крайне редко.

Бесплатная консультация о диагностике

Если у вас есть сомнения, запишитесь на бесплатную консультацию или позвоните по телефону +7(812) 209-10-39.

Субдуральная гематома на КТ

Субдуральная гематома — это небольшое скопление крови под твердой оболочкой мозга. В отличие от эпидуральной гематомы, она вызывает заметное смещение мозга и сильное сжатие ликворных пространств. Скопление крови возникает из-за смещения головного мозга относительно черепа. Внешне гематома напоминает серп с острыми углами и кажется плотно прилегающей к кости, хотя это не так. Кровотечение в таких случаях происходит из вен.

image

Признаки субдуральной гематомы на КТ

Рассматривая субдуральные гематомы на томограмме, можно выделить следующие виды:

  • Правосторонняя;
  • Левосторонняя;
  • Задней черепной ямки.

В острой фазе все они имеют высокую плотность и однородную структуру.

Подострые гематомы отличаются от острых. Они образуют капсулу, по плотности схожую с веществом мозга, и могут увеличиваться. При хроническом течении гематома также имеет капсулу, но она гипотензивна и может вызывать атрофию извилин и коры головного мозга, прилегающих к ней.

Структура субдуральных гематом на КТ сканировании характеризуется:

  • Атипичной локализацией;
  • Слоистой структурой;
  • Нехарактерной формой;
  • Масс-эффектом независимо от размера скопления крови;
  • Медленным расправлением мозга;
  • Частым переходом в хроническую или подострую форму.
Исследование Самая низкая цена
МСКТ / КТ головного мозга от 2500 руб.
МСКТ / КТ костей черепа от 2500 руб.
МСКТ / КТ ангиография сосудов головного мозга от 4400 руб.
МСКТ / КТ глаза (слезные каналы и железы, глазница, глазные орбиты, сетчатка) от 2800 руб.
МСКТ / КТ пазух носа и костей носа от 2500 руб.
МСКТ / КТ уха и височных костей от 2500 руб.
МСКТ / КТ ангиография сосудов шеи от 4400 руб.
МСКТ / КТ мягких тканей шеи от 2500 руб.
МСКТ / КТ шейного отдела позвоночника от 2100 руб.
МСКТ / КТ БЦА брахиоцефальных артерий от 4800 руб.

Дифференциальная диагностика гематом на КТ

Чтобы врач мог дифференцировать гематомы, он оценивает следующие характеристики:

  • Форма гематомы;
  • Вершины и углы;
  • Соотношение длины и ширины;
  • Прилежание к костям;
  • Смещение структур;
  • Положение венозных коллекторов.

Вершина эпидуральной гематомы составляет 40 градусов и более, соотношение длины и ширины — около пяти к одному или чуть меньше. Она плотно прилегает к костям и практически не вызывает смещение мозга.

Вершина субдуральной гематомы составляет 20% или меньше, соотношение размеров превышает пять к одному, не соприкасается с костями и вызывает заметное смещение мозга.

Гематома на МРТ и КТ снимках

Список литературы

  1. Кармазановский, Г.Г. Клиническая компьютерная томография. Лечащий врач, 1998, № 6.
  2. Коновалов А.Н., Махмудов У.Б., Филатов Ю.М. и др. Клиника, диагностика и хирургическое лечение гематом ствола мозга. Вопросы нейрохирургии, 1991.
  3. Бабчин А.И. Травматические субдуральные гидромы: Автореф. дисс. канд. мед. наук. Киев, 1982.
  4. Коновалов А.Н., Корниенко В.Н. Компьютерная томография в нейрохирургической клинике. М.: Медицина, 1985.
  5. Горбацевич А.Б., Шустин В.А. К диагностике и хирургическому лечению хронических субдуральных гематом. Вопросы нейрохирургии, 1961, № 5.
  6. Кандель Э.И., Чеботарева Н.М., Вавилов С.Б. Компьютерная томография в диагностике субдуральных гематом. III Всесоюзный съезд нейрохирургов: Тезисы докладов. М., 1982.
  7. Корниенко В.Н., Васин Н.Я., Кузьменко В.А. Компьютерная томография в диагностике черепно-мозговой травмы. М.: Медицина, 1987.
  8. Кузнецов С.В. Клинические и компьютерно-томографические сопоставления при черепно-мозговой травме: прогнозирование исходов. Вопросы нейрохирургии, 1986, № 3.
  9. Середа А.П. Травматические субдуральные гидромы (клиника, диагностика и хирургическое лечение): Автореф. дисс. канд. мед. наук. Киев, 1981.

Последние статьи об МРТ и КТ

Что такое МРТ головного мозга

Магнитно-резонансная томография (МРТ) головного мозга — это метод послойного сканирования тканей мозга с визуализацией в виде объемных черно-белых томограмм. Принцип работы МР-томографа основан на эффекте ядерного магнитного резонанса. Аппарат МРТ включает диагностический стол, сканирующую установку с мощным магнитом и компьютер для обработки данных. Когда голова пациента…

Что покажет МРТ головного мозга без контраста

В клиниках Санкт-Петербурга томографию мозга выполняют по двум основным протоколам: МРТ головного мозга без контраста (нативная магнитно-резонансная томография) и МРТ с контрастным усилением. В 70% случаев бесконтрастного обследования достаточно для диагностики.

Что показывает МРТ при инсульте

При диагностике инсульта в медицинских центрах Санкт-Петербурга врачам помогают компьютерная томография и МРТ головного мозга, а также сосудов головы и шеи. Инсульт — это серьезное нарушение мозгового кровообращения, приводящее к необратимым повреждениям тканей мозга. В результате инсульта клетки мозга погибают из-за недостатка кровоснабжения.

Что лучше: КТ или МРТ головного мозга — чем они отличаются – МЕДСИ

Оглавление

  • В каких случаях назначают КТ, а в каких МРТ?
  • Противопоказания
  • Преимущества каждого вида томографии
  • Технические параметры
  • Преимущества проведения процедуры в МЕДСИ

Компьютерная томография (КТ) — это метод исследования, который позволяет послойно сканировать органы пациента. Процедура выполняется с помощью мультиспирального компьютерного томографа, который использует рентгеновское излучение. Результаты представляются в виде 3D-изображения на экране врача и могут быть записаны на диск.

Аппарат КТ состоит из кольца с подвижными датчиками, которые вращаются во время исследования и делают снимки с разных углов. Поскольку метод подразумевает облучение, частое его применение не рекомендуется.

Магнитно-резонансная томография (МРТ) основана на эффекте магнитного резонанса, который по-разному отражается от тканей с различной плотностью. Для МРТ используется томограф, чаще всего закрытого типа. Он оснащен выдвижным столом, на который укладывают пациента, и трубообразным аппаратом, в который стол задвигается.

МРТ считается безопасным методом, однако существуют ограничения, связанные с наличием металлических имплантатов в организме.

В каких случаях назначают КТ, а в каких МРТ?

Эффективность МРТ и КТ зависит от анализируемых тканей, так как основана на разных физических и химических явлениях.

При назначении МРТ мозга или КТ врач учитывает, что именно нужно исследовать. КТ более эффективна для обследования твердых тканей и костей черепа, тогда как МРТ лучше подходит для анализа мягких тканей.

КТ назначают в следующих случаях:

  • Черепно-мозговая травма
  • Постоянные головные боли после удара
  • Патологические изменения костной ткани головы
  • Сотрясение мозга
  • Подтверждение или опровержение наличия кровоизлияния
  • Смещение мозговых структур
  • Подозрение на наличие инородного тела

МРТ назначают при:

  • Подозрении на опухоль
  • Регулярных головных болях, головокружениях, обмороках
  • Перенесенном инсульте
  • Потере слуха или зрения
  • Травмах, гематомах и отеках
  • Ухудшении памяти, проблемах с концентрацией
  • Невозможности проведения КТ

Также МРТ используется для оценки:

  • Эффективности лечения
  • Состояния мозга после обнаружения злокачественного образования
  • Пред- и послеоперационного состояния

Ребенку рекомендуют МРТ в следующих случаях:

  • Патологии при внутриутробном развитии
  • Отставание от сверстников по различным показателям
  • Судороги, головокружения, потеря сознания
  • Заикание или другие проблемы с речью

Противопоказания

Компьютерную томографию не проводят в следующих случаях:

  • Беременность пациентки
  • Масса тела более 130 кг

С осторожностью исследование назначают кормящим матерям. Если процедура выполнена, в течение суток нельзя кормить ребенка грудью.

При использовании контрастного вещества противопоказания расширяются:

  • Аллергия на йод
  • Сахарный диабет
  • Эндокринные заболевания
  • Проблемы с печенью и почками

МРТ не рекомендуется пациентам с:

  • Металлическими протезами, взаимодействующими с магнитным полем
  • Сердечными клапанами и кардиостимуляторами
  • Металлическими клипсами на сосудах при аневризме
  • Слуховыми аппаратами
  • Несъемными зубными протезами из стали и аналогичных материалов

Исследование также имеет ограничения в следующих случаях:

  • Первый триместр беременности
  • Боязнь замкнутого пространства
  • Наличие коронок или брекетов

Неспособность пациента оставаться неподвижным из-за сильной боли в спине может стать препятствием для обоих исследований.

Если пациент знает о наличии ограничений (беременность, диабет, металлические имплантаты и т. д.), он должен заранее сообщить об этом врачу.

Преимущества каждого вида томографии

Чтобы выбрать между МРТ и КТ, нужно учитывать их назначение и преимущества для конкретного диагноза, а также тип тканей, которые необходимо исследовать.

Компьютерная томография — один из самых точных методов для диагностики нарушений мозга. Она особенно эффективна при выявлении аномалий, связанных с черепно-мозговыми травмами, а также проблем с костями и плотными тканями черепа.

Рентгеновские лучи хорошо отражаются от плотных костных тканей, что обеспечивает высокую точность. Доза облучения при КТ значительно ниже, чем при других рентгеновских исследованиях, что позволяет диагностировать заболевания без инвазивных методов и делает процедуру безболезненной.

КТ помогает диагностировать инсульты, атеросклероз артерий, изменения в коре головного мозга и поражения лицевых костей. Она позволяет детально рассмотреть нарушения и выявить причины заболеваний.

Процедура занимает не более 15 минут, и риск искажения результата при случайном движении пациента минимален.

Пациенты с клаустрофобией могут легко перенести КТ, так как используется открытый аппарат, в который помещается только голова.

Результаты КТ доступны сразу, хотя иногда изображение может быть недостаточно контрастным.

Магнитно-резонансная томография также точна, но применяется для диагностики заболеваний мягких тканей мозга. Она предоставляет результаты в трех плоскостях:

  • Аксиальная (горизонтальная)
  • Фронтальная (прямая)
  • Сагиттальная (боковая)

МРТ позволяет четко увидеть проблемы с мягкими тканями, включая доброкачественные и злокачественные новообразования, нарушения работы гипофиза, а также состояние нервных и мышечных волокон. Можно измерить объемы отеков и опухолей нервной системы. Кости отображаются менее четко.

Этот метод безопасен и может применяться для диагностики беременных женщин во втором и третьем триместрах, а также для детей с трехлетнего возраста. Ребенку нужно объяснить процесс исследования, чтобы он не боялся и старался не двигаться.

МРТ можно проводить несколько раз за короткий период.

Процедура длится около 30 минут, и пациент должен оставаться неподвижным, иначе изображение может исказиться, что приведет к недостоверным результатам.

Для пациентов с боязнью замкнутых пространств исследование может быть выполнено под медикаментозным сном.

Технические параметры

МРТ обеспечивает четкое изображение (кроме костей) с разных ракурсов, тогда как КТ дает менее четкую картину, но хорошо отображает структуру костей и представляет изображение в виде 3D-модели.

Время, проведенное в аппарате, также различается: КТ занимает от 5 до 15 минут, а МРТ — около получаса. Пациент должен оставаться неподвижным. Для КТ небольшие движения не так критичны, в то время как для МРТ они могут привести к значительным искажениям.

КТ особенно полезна для срочной диагностики при серьезных травмах или подозрении на кровоизлияние в мозг.

Выбор между МРТ и КТ зависит от множества факторов, и это должен делать квалифицированный врач. Пациент должен предоставить всю необходимую информацию для правильного выбора метода обследования.

Преимущества проведения процедуры в МЕДСИ

  • Клинико-диагностические центры МЕДСИ оснащены современным оборудованием, что обеспечивает точные результаты.
  • Врачи-рентгенологи, онкологи, хирурги и другие специалисты готовы взять на себя самые сложные и редкие случаи.
  • Записаться на консультацию просто — достаточно позвонить по номеру +7 (495) 7-800-500.
  • В МЕДСИ помогут подобрать необходимое обследование, лечение и реабилитационные мероприятия при необходимости.

Литература:

  1. Baas, «Geschichte d. Medicin».
  2. Мустафин Р. И., Буховец А. В., Протасова А. А., Шайхрамова Р. Н., Ситенков А. Ю., Семина И. И. Сравнительное исследование поликомплексных систем для гастроретентивной доставки метформина. Разработка и регистрация лекарственных средств. 2015; 1(10): 48–50.
  3. ОФС.1.2.1.2.0003.15 Тонкослойная хроматография // Государственная фармакопея, XIII изд.
  4. Гематома на МРТ головного мозга.
  5. Гематома на КТ головного мозга.
  6. Что лучше: КТ или МРТ головного мозга?.
  7. Debjit B., Rishab B., Darsh G., Parshuram R., Sampath K. P. K. Gastroretentive drug delivery systems — a novel approach to controlled drug delivery systems. Research Journal of Science and Technology; 10(2): 145–156. DOI: 10.5958/2349-2988.2018.00022.0.
  8. З.С. Смирнова, Л.М. Борисова, М.П. Киселева и др. Противоопухолевая активность соединения ЛХС-1208 (N-гликозилированные производные индоло[2,3-а]карбазола) // Российский биотерапевтический журнал 2010. № 1. С. 80.
Ссылка на основную публикацию
Похожее