Пн-пт: 09:00—20:00; сб: 10:00—16:00 по предварительной записи
whatsapp telegram vkontakte email

Кт или мрт легких — какое исследование выбрать?

Техника проведения КТ

Диагностика проводится с помощью томографа — большого аппарата с выдвижным столом. Пациент укладывается на спину, руки располагаются за головой. При необходимости радиолог может попросить лечь на бок или перевернуться на живот. Положение фиксируется ремнями и подушками для обеспечения неподвижности.

Стол заезжает в отверстие томографа, где происходит рентген-облучение. Грудная клетка должна находиться на уровне сканера. Во время работы томографа медицинский персонал покидает помещение, а наблюдение за пациентом осуществляется через специальное окно.

Если нужно, врач-радиолог может связаться с пациентом через встроенное переговорное устройство. Длительность исследования составляет несколько минут. Затем стол выезжает из томографа, и пациент может вернуться к привычной жизни.

Кому выбрать компьютерную, а кому магнитно-резонансную томографию?

  1. Беременным женщинам КТ противопоказана без острой необходимости, а в первом триместре врачи рекомендуют избегать и МРТ.
  2. Кормящие женщины могут проходить любые процедуры. Ранее рекомендовалось воздерживаться от грудного вскармливания в течение суток после КТ, но эти рекомендации не имеют научного обоснования.
  3. При выборе между КТ и МРТ легких у маленьких детей предпочтительнее метод без лучевой нагрузки. Однако уговорить ребенка лежать неподвижно 40 минут в темной трубе бывает сложно, поэтому для этой категории пациентов обычно применяют другие диагностические процедуры.
  4. МРТ противопоказано людям с металлическими имплантами. Металл может нагреваться, смещаться и причинять вред как пациенту, так и оборудованию. Многие татуировки содержат краски с ферромагнитными частицами, что может привести к ожогам во время процедуры. Некоторые медицинские сплавы допускаются для исследования, но не все пациенты знают, из чего состоят имплантаты в их организме.

Применение контрастирования

Контрастный маркер — это препарат, который накапливается в пораженных клетках. Внутривенное введение контраста улучшает четкость снимков, позволяя увидеть даже незначительные изменения в тканевых структурах. В зависимости от методики диагностики, маркер вводится либо до начала процедуры, либо капельно в процессе исследования.

Контраст помогает врачу лучше рассмотреть сегменты легких на КТ, точно определить границы онкологического очага, даже если его размеры составляют всего несколько миллиметров, и установить начало развития метастаз. Маркер безопасен для пациента и быстро выводится через мочевыделительную систему.

Какие заболевания диагностируются

Спиральное компьютерное обследование позволяет диагностировать следующие патологии:

  • Воспалительные процессы в бронхолегочной системе.
  • Доброкачественные новообразования.
  • Туберкулез, включая очаговый.
  • Сосудистые патологии.
  • Травматические повреждения и ушибы легких и бронхов.
  • Субплевральные очаги в легких.
  • Аномальные изменения в структуре легочных тканей.
  • Эмфизема легких.
  • Онкологические заболевания.
  • Фиброз.
  • Саркома.

Для более точного исследования онкологических патологий назначается ПЭТ КТ легких. Этот метод выявляет раковые очаги и места локализации метастазов. Позитронно-эмиссионное исследование не только обнаруживает опухоли, но и определяет границы опухолевого очага и степень его злокачественности.

Кому назначается диагностика

Компьютерное обследование бронхолегочной системы назначается для оценки состояния органов дыхания в динамике и в случаях, когда другие методы диагностики не позволяют установить точный диагноз.

Показания к КТ:

  • Патологические новообразования в легких, плевре, бронхах, средостении и грудной клетке.
  • Увеличение плевральной жидкости и плевральный выпот.
  • Признаки эмфиземы легких.
  • Увеличение лимфоузлов в области обследования.
  • Травматические повреждения легких и бронхов.
  • Изменения в структуре бронхов и легких.

Противопоказания к исследованию:

Абсолютных противопоказаний для компьютерной томографии нет. Однако существуют относительные противопоказания:

  • Малый возраст пациента. КТ легких детям назначается с 12 лет, но в некоторых случаях возможно проведение исследования и в более раннем возрасте. Если ребенок не может оставаться неподвижным, диагностику проводят под наркозом.
  • Психоневрологические заболевания и клаустрофобия.
  • Беременность на любом сроке.
  • Некоторые формы аллергии.

Подготовка к обследованию

Перед диагностикой пациент обсуждает с врачом несколько важных моментов.

  1. Согласовывает дату и время процедуры.
  2. Сообщает о страхе перед замкнутыми пространствами или самой процедурой. В таких случаях может быть назначена успокаивающая терапия или наркоз.
  3. Если требуется введение контраста, информирует врача об отсутствии аллергий.
  4. Уведомляет о наличии железных предметов в организме:
  • кардиостимуляторов;
  • имплантатов и протезов среднего уха из ферромагнитных или электронных материалов;
  • металлических осколков или имплантов;
  • аппаратов Илизарова, используемых для выравнивания или удлинения конечностей.

При введении контрастного вещества пациент сдает кровь на анализ, чтобы врач мог оценить состояние почек и избежать осложнений. Также пациента предупреждают о необходимости воздержаться от пищи за пять часов до процедуры.

Обязательным условием перед МРТ легких или других органов является удаление ненужных предметов и украшений (часы, кольца, цепочки, пряжки, вещи с металлическими застежками, пластиковые карточки, мобильные телефоны), чтобы избежать искажений сканируемой информации и возможного повреждения вещей электромагнитными волнами.

Перед процедурой важно не употреблять кофе и чай, так как они обладают мочегонным эффектом.

Результаты

В заключении фиксируется не только обнаруженная патология, но и степень повреждения лёгочной и бронхиальной ткани, а также другие важные моменты.

Злокачественная опухоль определяется по наличию более плотных участков ткани. Если на снимке обнаружено несколько таких участков, это может указывать на наличие метастазов. МРТ может выявить каверны при туберкулёзе лёгких и кистозные образования при паразитарных инфекциях. Исследование также позволяет обнаружить воспаление плевры и скопление жидкости в плевральной области.

Магнитно-резонансная томография — это относительно новый метод, позволяющий поставить точный диагноз. Процедура не всегда применима и имеет ряд противопоказаний. Из-за высокой стоимости многие пациенты выбирают более доступное УЗИ. Важно помнить о противопоказаниях МРТ при назначении обследования.

Подготовка к процедуре

Перед функциональным тестом для диагностики легких и бронхов не требуется строгих правил питания. Однако пациенту необходимо сменить одежду, содержащую металлические элементы, такие как пуговицы и молнии.

В большинстве диагностических центров предоставляют специальную одежду для процедуры. Также пациенту следует снять все украшения и макияж, так как косметические средства могут содержать металлические частицы, что увеличивает риск ожога во время исследования.

Перед диагностикой важно проверить, чтобы в карманах одежды не было телефона, монет и банковских карт.

Если используется контрастирование, последний прием пищи должен быть за 3-4 часа до процедуры.

Классификация томографов

Для магнитно-резонансного сканирования лёгких и бронхов используется томограф, который состоит из следующих основных частей:

  • капсула для сканирования
  • выдвижной стол
  • магнитная установка
  • система охлаждения
  • защитный экран
  • программное обеспечение для фиксации и обработки данных.

Современные клиники располагают разнообразными аппаратами с различными техническими характеристиками.

Параметры аппарата, определяющие его возможности и качество проекций:

  • тип конструкции
  • напряжение рабочего магнитного поля
  • максимальная грузоподъёмность выдвижного стола
  • продолжительность сканирования одной зоны.

При выборе оборудования для МР-исследования важно учитывать тип прибора и уровень напряжения его магнитного поля.

По конструкционным особенностям аппараты делятся на два типа: закрытые и открытые томографы.

Закрытые томографы имеют замкнутый цилиндрический тоннель для сканирования. Пациента помещают внутрь с помощью выдвижного стола.

Преимущества закрытого томографа:

  • Высокая мощность магнитного поля (от 1,5 до 3 Тл) позволяет проводить более детальные исследования.
  • Большая мощность обеспечивает высокую скорость обследования.

Недостатки оборудования:

  • Замкнутое пространство затрудняет диагностику пациентов с тревожными расстройствами, особенно с клаустрофобией.
  • Ограниченная грузоподъёмность выдвижного стола по весу и габаритам пациента.

Открытые томографы располагают сканером над столом, что обеспечивает боковое пространство и полный обзор.

Преимущества открытых томографов:

  • Комфортные условия для обследования детей и пациентов с тревожно-фобическими расстройствами.
  • Возможность исследования пациентов с избыточным весом.
  • Сканирование грудной полости и средостения возможно при наличии металлических имплантов в нижней части тела, не подверженной воздействию магнитного поля.
  • Более низкая стоимость процедуры.

Недостатки оборудования:

  • Открытые томографы генерируют магнитное поле низкой напряжённости, что снижает разрешение и детализацию снимков.
  • Продолжительность исследования в два раза превышает время сканирования в закрытом томографе.

Пациенты с клаустрофобией легче переносят диагностику на открытом томографе. Для пациентов без повышенной тревожности разница между аппаратами незначительна. Радиологам важна точность и детализация, поэтому они предпочитают направлять пациентов на обследование в закрытый томограф.

Томограф открытого типа Томограф закрытого типа

Ещё один важный показатель для классификации оборудования — напряжённость магнитного поля, влияющая на качество и информативность снимков.

По напряжённости магнитного поля выделяются следующие аппараты:

  • Низкопольные установки (до 0,5 Тл) позволяют выявить грубую патологию и новообразования размером от 5-7 мм. Качественное исследование лёгких на таком аппарате невозможно.
  • Среднепольные аппараты (до 1 Тл) имеют низкую информативность и встречаются всё реже в диагностических центрах.
  • Высокопольные агрегаты (1,5 Тл) получили широкое распространение благодаря высокому качеству проекций и способны обнаруживать новообразования размером до 1 мм.
  • Сверхвысокопольные установки (3 Тл) обеспечивают информацию о анатомии лёгких и бронхов, а также их функциональных показателях.
Напряжённость магнитного поля и разрешение МРТ проекций

Почему так предпочтительна МРТ?

МРТ — это ценное обследование, которое точно выявляет различные новообразования. Своевременное обнаружение рака является ключом к успешному лечению. Внедрение МРТ значительно упростило и повысило эффективность диагностики рака легких. Врач, анализируя трехмерные снимки легких, может определить размер, форму и точное местоположение опухолей.

Это критически важно для выбора оптимального лечения и прогнозирования состояния пациента. Чем точнее диагностика на ранней стадии, тем больше шансов на исцеление.

Раннее обнаружение также имеет большое значение для туберкулеза легких, который стал одной из наиболее распространенных проблем дыхательной системы и может привести к летальному исходу. Чем раньше будет проведено исследование и выявлена болезнь, тем успешнее будет лечение.

Обнаружение туберкулеза на поздних стадиях практически не оставляет больному надежд на выздоровление и нормальную жизнь.

Как правильно подготовиться к МРТ?

Перед магнитно-резонансной томографией необходимо сообщить специалисту обо всех имеющихся заболеваниях.

Важно уточнить, на какие препараты может возникнуть аллергия. Пациентам с клаустрофобией врач может назначить седативные средства.

Перед обследованием пациент должен снять свою одежду и надеть хлопчатобумажную рубашку.

Если у пациента есть очки, слуховые аппараты, металлические заколки, украшения, часы, протезы или другие предметы, их необходимо снять на время исследования.

Беременные женщины должны уведомить радиолога о своем положении. Исследование органов дыхания таким пациенткам проводится только в исключительных случаях, при этом оцениваются все факторы, чтобы польза превышала риски.

Важно также сообщить врачу о наличии медицинских электронных приборов в организме, так как они могут повлиять на процедуру. Если в организме есть предметы, не относящиеся к медицинским, об этом также следует предупредить. В таком случае перед МРТ пациент проходит рентгенологическое исследование.

У процедуры есть противопоказания. МРТ легких и бронхов не назначается пациентам с:

  • декомпенсацией хронических заболеваний;
  • неадекватной психической реакцией на процедуру;
  • встроенным кардиостимулятором, кохлеарным имплантатом или медицинскими приборами внутри сосудов.

Достоинства и недостатки МРТ и КТ для обследования легких

Выбор между МРТ и КТ легких зависит от рекомендаций специалиста. Компьютерная томография (КТ) легких использует рентгеновское облучение для получения серии снимков, что позволяет детально визуализировать сегменты легочной ткани и бронхов.

Преимущества КТ:

  1. Спиральные срезы с возможностью изменения угла обзора. Снимки представлены в трехмерном цифровом формате.
  2. Быстрота процедуры, что критично при внутренних кровотечениях.
  3. Способность обнаруживать внутренние кровотечения и гематомы.

КТ эффективно используется для быстрого выявления травм, таких как переломы ребер и повреждения легких.

Недостатки КТ:

  1. Вредное воздействие рентгеновских лучей на здоровье.
  2. Ограниченное количество процедур, которые можно проводить.

Магнитно-резонансная томография (МРТ) органов дыхания считается безопасным методом. Вместо рентгеновских лучей используется сильное электромагнитное поле, что позволяет получать качественные 3D-снимки.

Преимущества МРТ:

  1. Полная безопасность.
  2. Способность выявлять патологические процессы на клеточном уровне, что полезно для диагностики онкологических заболеваний и туберкулеза.
  3. Возможность частого проведения процедуры из-за ее безвредности.

Недостатки МРТ:

  1. Низкое качество снимков полых органов, которые могут быть размытыми.
  2. Длительность процедуры — около 1,5 часов.
  3. Плохое качество снимков органов, находящихся в движении.
  4. Широкий список противопоказаний.

Выбор метода диагностики остается за лечащим врачом. КТ позволяет выявлять хронические заболевания и травмы органов дыхания, тогда как более сложные патологии исследуются с помощью МРТ.

В чем сходство и отличие исследований?

Флюорография, рентген и КТ — это методы, использующие рентгеновские лучи, которые являются электромагнитным излучением. МРТ, в отличие от них, основана на радиочастотных сигналах в сильном магнитном поле.

По словам врача-рентгенолога Сергея Аникеева, различия между флюорографией, рентгеном и КТ заключаются в качестве изображений и уровне ионизирующего излучения. «Флюорография оказывает минимальную нагрузку на организм и практически безвредна, но качество изображения низкое. Она позволяет лишь грубо оценить наличие патологии», — объясняет Аникеев. Этот метод доступен и прост, но показывает изменения в легких, такие как опухоль, туберкулез или пневмония, только на более поздних стадиях.

КТ — это более продвинутая форма рентгена, которая создает объемные изображения. В отличие от плоского рентгеновского снимка, КТ использует несколько пучков рентгеновских лучей, проходящих под разными углами. В результате получается трехмерное изображение, записанное на компьютере, что позволяет точно локализовать поражение.

«КТ — это тот же рентген, но вместо одного среза делает 256 срезов в минуту, что увеличивает нагрузку на человека в 256 раз», — добавляет Аникеев. Врачи удивляются, почему люди стремятся делать КТ без веских оснований. «Зачем лишний раз подвергать себя облучению? Это сильная лучевая нагрузка», — говорит он.

Рентгеновские исследования не являются самыми полезными для здоровья и должны проводиться только по назначению врача. «Диагноз воспаления легких ставится на основе клинической картины, анализов и комплексных исследований. Зачем делать рентген или КТ, если симптомы похожи на ОРВИ, и, скорее всего, это именно ОРВИ?» — поясняет Аникеев. Он также не рекомендует лишний раз посещать медицинские учреждения.

Рентгенологи считают, что делать КТ платно и самостоятельно, без осмотра врача и его рекомендаций, не имеет смысла.

Расшифровка результатов

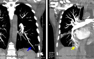
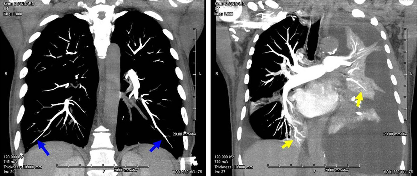
Во время обследования создается серия снимков, отражающих все области легких. Каждое фото представляет собой срез ткани в различных плоскостях. При расшифровке результатов важно учитывать плотность сегментов легких и наличие саркоидных гранулем. При прогрессирующем заболевании они имеют стекловидную форму. КТ легких с контрастом позволяет четко определить границы новообразований.

Участок с раковой опухолью не участвует в дыхании, что приводит к нарушению кровообращения. Заключение сканирования составляет врач-радиолог и выдает пациенту вместе со снимками в течение часа. При норме на КТ легких и бронхов должны отсутствовать:

  • объемные образования;
  • изменения тканей;
  • утолщения стенок бронхов;
  • области повышенной плотности;
  • увеличение лимфатических узлов;
  • жидкость в грудной клетке.

Должно наблюдаться стандартное ветвление легочных артерий. При необходимости врач направляет пациента на повторное обследование для мониторинга воспалений, метастазов или при подозрении на туберкулез и злокачественные новообразования после обычной рентгенограммы.

Преимущества КТ

Томография позволяет создавать сложные трехмерные модели.

Аномалии на рентгене могут скрываться за другими объектами, которые лучше поглощают рентгеновское излучение (например, опухоли могут «исчезать» за костями). Однако при КТ специалист может повернуть изображение и увидеть их.

С помощью трехмерного изображения оценивают состояние сложных поверхностей, которые трудно идентифицировать на рентгене. Это позволяет анализировать не только размеры, но и форму органов со всех сторон.

Современные аппараты КТ с высокой скоростью генерации пучков излучения позволяют получать динамические изображения. Это дает возможность наблюдать не только, что происходит, но и как.

Кровеносную систему в динамике иначе не увидеть.

Результаты КТ-обследования ближе к ультразвуковым методам (УЗИ), чем к обычному рентгену, от которого они унаследовали лишь базовый принцип работы.

Тем не менее, КТ отличается и от УЗИ. Дешифровка изображений, полученных с помощью ультразвука, полностью зависит от специалиста, проводящего исследование. На стадии съемки аппараты требуют конкретной настройки под пациента и обследуемую область.

Для использования КТ в медицине был разработан международный стандарт, которому подчиняются все медицинские комплексы. Поэтому КТ является полностью объективным методом, как и рентген, по крайней мере, на стадии получения снимка.

Что являет собой такое МРТ?

МРТ легких — это высокоинформативный метод обследования, который позволяет выявлять структурные изменения и патологические образования в легких. Он предоставляет срезы органов в различных плоскостях, таких как фронтальная и сагиттальная. Часто МРТ назначают при подозрении на туберкулез.

Для обследования пациентов с туберкулезом используют специальные контрастные вещества, например, магневист. Он обладает нужной плотностью и хорошо переносится. Другие контрастные составы могут вызывать больше побочных эффектов. Эти вещества помогают выявлять патологические изменения в тканях, такие как гнойный плеврит, каверны и абсцессы. Одним из вариантов обследования является МР-ангиография, которая изучает сосуды.

Методика МРТ выявляет патологические инфильтраты, четко определяет границы и форму воспалений и злокачественных образований, а также степень их проникновения в соседние органы и сосуды. Все данные передаются в виде трехмерных снимков, что позволяет специалистам моделировать патологию и диагностировать изменения в тканях.

Кроме того, измерение радиоволн в магнитном поле позволяет оценить состояние плевральной полости и лимфатических узлов. Таким образом, обследование предоставляет точную информацию о сосудах, жидкостях, новообразованиях и состоянии соседних органов.

МРТ назначают в следующих случаях:

  • Плеврит.
  • Увеличение внутригрудных узлов.
  • Подозрения на патологии в сосудах легких.
  • Объемные новообразования в средостении.
  • Опухоли плевры.
  • Операции на грудной клетке.
  • Контроль состояния пациента и динамика улучшений после операции.

image

Что предпочтительнее: МРТ или КТ легких?

При выборе между МРТ и КТ легких важно учитывать различия в физических принципах этих методов. Оборудование и используемые данные у них разные.

  • КТ использует рентгеновские лучи для получения информации о физическом состоянии тканей. Этот метод чаще применяется при поражениях грудной клетки, таза, живота и основания черепа.
  • МРТ основано на магнитных полях и радиочастотном излучении, что позволяет изучать распределение протонов (атомов водорода). Это исследование дает информацию о химическом состоянии тканей, лучше различая мягкие ткани, но не показывая костные структуры.

При использовании КТ врач видит ткани и может оценивать их рентгеновскую плотность, которая меняется с развитием болезни. МРТ требует визуальной оценки изображений. Оба метода могут быть взаимозаменяемыми, но в некоторых случаях предпочтителен один из них.

МРТ предпочтительнее в следующих случаях:

  1. Непереносимость контрастного вещества, необходимого для КТ.
  2. Опухоли мозга, инсульты, воспалительные процессы в мозге или рассеянный склероз.
  3. Поражения позвоночника и заболевания спинного мозга, где КТ менее информативна.
  4. Обследование молодых и пожилых пациентов.
  5. Изучение внутричерепных нервов и гипофиза.
  6. Исследование мышечных тканей, связок и суставов.
  7. Определение стадии раковой опухоли с помощью контрастного вещества (чаще всего гадолиния).

МРТ безопасна и может проводиться многократно, не оказывая вредного воздействия на организм. Однако ее применение затруднено или невозможно для людей с металлическими осколками, имплантами, слуховыми аппаратами, водителями ритма, несъемными протезами, коронками, хирургическими скобами, кава-фильтрами, а также татуировками с металлическими компонентами и пирсингом.

МРТ не проводят пациентам в тяжелом состоянии, на аппаратах жизнеобеспечения, с клаустрофобией или психическими отклонениями.

КТ предпочтительнее в следующих случаях:

  1. Обследование на наличие острых внутричерепных гематом и травм мозга или черепа.
  2. Диагностика нарушений кровообращения в мозге и опухолей.
  3. Заболевания височных костей, пазух носа и костных структур основания черепа.
  4. Обследование зубов, лицевых костей, щитовидной и паращитовидной желез.
  5. Исследование аневризм и атеросклеротических поражений сосудов.
  6. Пациенты с синуситами и отитами.
  7. Остеопороз, грыжи и другие дегенеративные заболевания спины лучше диагностировать с помощью КТ.
  8. Диагностика рака легких, туберкулеза и пневмоний, особенно когда рентгенограмма не дает ясной картины.
  9. КТ более информативна для патологий легочной ткани и ранних стадий рака легких.
  10. Проблемы с костями требуют КТ.
  11. КТ можно проводить людям с имплантами и слуховыми аппаратами.
  12. Нет ограничений для людей с психическими заболеваниями или боязнью замкнутого пространства.

Какие есть противопоказания?

Единственное противопоказание для проведения КТ и рентгена — беременность. Эти исследования можно проводить беременным только при угрозе для жизни или здоровья. Рентгенологические исследования также не рекомендуются онкопациентам, пожилым людям и маленьким детям. «В таких случаях врач должен решить, целесообразно ли нагружать пациента», — поясняет Сергей Аникеев.

Для справки. Рентгенография, флюорография, компьютерная томография (КТ) и магнитно-резонансная томография (МРТ) — это аппаратные методы диагностики. Основы флюорографии и рентгенографии были заложены после открытия рентгеновских лучей Вильгельмом Рентгеном в 1895 году. КТ и МРТ являются более современными методами. Компьютерную томографию предложили в 1972 году инженер Годфри Хаунсфилд и физик Аллан Кормак. Годом основания МРТ считается 1973-й, когда профессор Пол Лотербур опубликовал статью об этой методике в журнале Nature.

Принципиальное отличие компьютерной и магнитно-резонансной томографии

Основное отличие компьютерной диагностики от магнитно-резонансной заключается в принципе действия:

  • МРТ предоставляет информативные снимки легких за счет ядерно-магнитного резонанса атомов водорода, не нанося лучевой нагрузки на организм.
  • При КТ легких используются рентгеновские лучи, которые проходят через ткани и позволяют получать снимки в заданных срезах.

КТ и МРТ применяются с разными целями:

  • КТ чаще используется для обследования костных структур.
  • МРТ лучше визуализирует мягкие ткани и кровеносные сосуды.

Существует также разница в ценовой политике:

  • МРТ стоит дороже из-за высокой стоимости томографа. Его выбирают пациенты, которые не хотят подвергать себя радиационному воздействию.
  • КТ дешевле, поэтому компьютерные томографы чаще встречаются в государственных медицинских учреждениях.

Для многих пациентов важна и продолжительность процедуры. Разница во времени между МРТ и КТ легких значительная:

  • Компьютерная томография легких занимает всего 15–20 минут.
  • Магнитная томография легочной ткани длится 1–1,5 часа.

Оба метода сходны по показаниям и качеству результата, что выбрать?

  • Компьютерная томография (КТ) основана на рентгеновском излучении. Хотя разовая доза облучения невысока и считается безопасной, частые исследования не рекомендуются из-за накопленной лучевой нагрузки.
  • Магнитно-резонансная томография (МРТ) более безопасна, так как не использует вредное излучение. Однако аппарат работает на магнитном принципе, и наличие металлических конструкций в теле (кардиостимуляторы, пластины, винты, протезы и даже татуировки) является противопоказанием.
  1. Компьютерная томография органов грудной клетки занимает не более 15 минут. Пациенту нужно неподвижно лежать.
  2. Магнитно-резонансная томография легких длится около 40 минут или дольше. Во время обследования нельзя двигаться.
  3. Оба метода позволяют получить трехмерное изображение исследуемой структуры и рассмотреть его под нужным углом.
  • Из-за лучевой нагрузки КТ не применяется у беременных и маленьких детей. Относительными противопоказаниями являются тяжелые заболевания, такие как сахарный диабет, заболевания щитовидной железы, почечная недостаточность, миеломная болезнь и психические расстройства.
  • МРТ может быть назначена беременным без последствий для них и плода. Однако пациентам с клаустрофобией или неврологическими заболеваниями процедуру не удастся провести, так как требуется 30-40 минут неподвижно находиться в замкнутом пространстве.
  • Оба метода имеют ограничения по массе пациента, и при их превышении в проведении обследования могут отказать.
  1. Информативность КТ и МРТ в отношении легких сопоставима.
  2. Оценка окружающих тканей грудной клетки на МРТ затруднена, так как костная структура отображается однородно темной.
  3. На МРТ могут возникать погрешности из-за костей или движений пациента во время исследования.
  4. КТ не имеет этих недостатков.

Контрастирование

Точность компьютерной и магнитно-резонансной томографии легких может значительно повыситься при использовании специальных контрастных веществ, вводимых внутривенно. Однако у этой методики есть противопоказания, включая аллергические реакции на контраст и его компоненты.

Стоимость

Оба вида томографии являются дорогостоящими. Однако компьютерная томография более доступна в рамках ОМС и часто выполняется по экстренным показаниям. МРТ в большинстве регионов страны требует ожидания или выполнения за свой счет. Контрастирование также увеличивает стоимость процедуры.

Сравнение стоимости обследования

МРТ легких — это дорогостоящая процедура, значительно превышающая стоимость КТ, рентгенографии и флюорографии. В Москве средняя цена МРТ легких составляет около 6 000 рублей. На стоимость влияют такие факторы, как рейтинг клиники, оборудование, квалификация специалиста, объем задачи и использование контрастного препарата.

КТ легких стоит дешевле. В Москве цена на компьютерную диагностику начинается от 3 500 рублей. Стоимость также зависит от тех же факторов, а также от необходимости записи на диск и создания объемной модели.

Ссылка на основную публикацию
Похожее