Пн-пт: 09:00—20:00; сб: 10:00—16:00 по предварительной записи
whatsapp telegram vkontakte email

Симптомы и лечение периодонтита

Особенности

Фиброзный периодонтит считается самой безобидной и стабильной стадией болезни. Его трудно диагностировать из-за отсутствия симптомов, поэтому на ранней стадии заметить его практически невозможно.

При развитии фиброзного периодонтита каналы зуба могут быть незапломбированными или запломбированными не до верхней части. Воспаление может возникать в областях, которые ранее не поддавались лечению.

У детей и молодых людей это воспаление встречается крайне редко. Чаще всего фиброзный периодонтит диагностируется у зрелых и пожилых людей из-за ухудшения метаболизма и кровоснабжения.

Причины развития периодонтита

Главная причина заболевания — инфекция, проникающая в зуб из-за запущенных форм кариеса или пульпита. Существует множество факторов, влияющих на развитие и рост инфекции, которые можно разделить на внешние и внутренние. Чаще всего воспалению периодонта предшествуют:

  • нарушения в эндокринной системе;
  • изменения в структуре черепных костей;
  • недостаточная гигиена полости рта и зубов;
  • несбалансированное питание, бедное витаминами и кальцием;
  • травмы зубов: вывихи, ушибы, переломы, неправильно подобранные коронки;
  • передозировка сильнодействующими препаратами, такими как мышьяк и резорциновая паста;
  • хронические заболевания внутренних органов;
  • диабет;
  • накопление зубного налета.

Кроме этих факторов, развитие воспаления периодонта могут спровоцировать бактерии и вирусы, такие как:

  • стрептококки и стафилококки;
  • аэробные и анаэробные полиинфекции;
  • лучистые бактерии.

Гранулирующий периодонтит сопровождается воспалительной инфильтрацией и разрастанием грануляционной ткани. В процессе заболевания происходит гибель одонтобластов, резорбция костных стенок альвеол и разрушение надкостницы. Также наблюдается разрушение цемента дентина и корня зуба. Если не остановить рост инфекции и грануляционных тканей, это может привести к образованию околочелюстных абсцессов, десневых свищей и одонтогенных гранулем.

Крайне важно предотвратить проникновение микроорганизмов в кровь, чтобы избежать сенсибилизации и поражения организма. Для своевременного распознавания инфекции необходимо изучить симптомы периодонтита, которые проявляются быстро.

Что такое периодонтит?

Периодонтит — это воспалительное заболевание периодонта, соединительной ткани, которая удерживает зуб в альвеоле (зубной лунке). Воспаление периодонта приводит к его болезненным проявлениям.

Поскольку периодонт связан с альвеолярным отростком, деснами, шейкой и корнем зуба, его воспаление может вызывать покраснение и кровоточивость десен, повышенную чувствительность зуба к температурным изменениям и зубную боль. Без лечения заболевание может нарушить связь зуба с альвеолой, что приведет к его подвижности и, в конечном итоге, к потере зуба.

Кроме потери зуба, периодонтит может привести к пародонтиту, при котором воспаляются десны и костная ткань, на которой расположены зубы. Если воспаление затрагивает десны и кость, ставится диагноз «пародонтит».

Основные причины периодонтита включают проникновение пищи с инфекционными микроорганизмами под десны, от шейки до корня зуба. Это создает благоприятную среду для размножения патогенов и воспалительного процесса. В некоторых случаях отсутствие видимых проблем с воспаленным периодонтом затрудняет своевременное обнаружение заболевания.

Кариес также может стать причиной периодонтита. Болезнетворная микрофлора проникает через поврежденную эмаль и дентин в пульпу, вызывая пульпит. Воспаление может опуститься к корням зуба и затронуть периодонт.

Распространение периодонтита (эпидемилогия)

Периодонтит — одно из распространенных стоматологических заболеваний, встречающееся как у детей, так и у взрослых.

Особое внимание стоит уделить двум независимым исследованиям — «Stability 4» и «Finrisk-1997» (Финляндия). В них указана связь между утратой зубов и повышенным риском развития сердечно-сосудистых и эндокринных заболеваний. У людей с большим количеством отсутствующих зубов обнаруживались высокие уровни маркеров воспаления, таких как IL-6, hs-CRP, Lp-PLA2, а также маркеры сердечно-сосудистого риска — NPPA, GDF15 и тропонин Т.

Также часто выявляли сахарный диабет.

Хотя четкой связи между отсутствием зубов и сердечно-сосудистыми заболеваниями не установлено, можно предположить, что связь обусловлена некачественным питанием и недостаточным уходом за полостью рта, учитывая риск нарушения кровотока и сахарного диабета.

Симптомы периодонтита

Первым признаком периодонтита является кровоточивость десен при чистке зубов и постоянный неприятный запах изо рта. Неприятные ощущения могут возникать при приеме пищи, особенно остро реагируют десны на холодные или горячие продукты.

Существует два типа периодонтита: острый и хронический, которые различаются по симптомам.

Острый периодонтит

Острый периодонтит возникает внезапно и проявляется сильными болями в области пораженного зуба, которые усиливаются при надавливании или постукивании. Боль может распространяться на соседние участки и даже на противоположную челюсть. Пациенты часто ощущают, что зуб «вырос», а боль усиливается при приеме теплой пищи и ослабевает от холодного.

Причиной этого состояния является воспаление, приводящее к отеку окружающих тканей зуба, что может вызывать его незначительное выступание из зубного ряда. При смыкании челюстей этот зуб первым контактирует с зубом противоположной стороны, создавая ощущение увеличенного зуба.

На следующей стадии острого периодонтита боль становится пульсирующей, зуб может стать подвижным, а также может возникнуть отек тканей лица. Из-за выраженного воспаления увеличиваются лимфатические узлы.

Десна припухает, что может затрагивать губу и щеку, сопровождаясь повышением температуры тела. Если пациент не обращается к врачу, воспалительный процесс может утихнуть через 1-2 недели и перейти в хроническую форму.

Важно помнить, что острый периодонтит всегда становится хроническим без должного лечения.

Хронический периодонтит

При хроническом периодонтите наблюдается повышенная подвижность зубов, изменение их положения и образование межзубных щелей. В запущенных случаях возможна кровоточивость десен даже ночью. Также возникают гноетечения, абсцессы и острая боль.

Хронический периодонтит имеет периоды обострения и затихания. Обострения могут быть вызваны переохлаждением, травмами, заболеваниями или стрессами. Воспаление развивается быстро, так как ткани периодонта уже повреждены, и протекает тяжелее, чем при остром периодонтите. Появляется постоянная зубная боль, усиливающаяся при прикосновении к зубу. Десна вокруг больного зуба краснеет и отекает. Также может повышаться температура тела и ухудшаться общее состояние организма.

Видео по теме

Как проводится лечение хронического апикального периодонтита:

Анатомическое строение зубов обычно обеспечивает отток гнойно-серозных масс из области воспаления. Поэтому хронический периодонтит может долго оставаться незамеченным. Однако разрушение зуба может прогрессировать, и в некоторых случаях его придется удалить.

Хронический периодонтит опасен образованием гранулем, которые под воздействием негативных факторов (переохлаждение, стресс) могут вызвать серьезные воспаления, вплоть до сепсиса. Чтобы избежать осложнений, важно не допускать развития кариеса и пульпита. Регулярные профилактические визиты к стоматологу помогут сохранить зубы здоровыми.

Лечение хронического периодонтита

В лечении хронического периодонтита применяются терапевтические и хирургические методы.

Терапевтическое лечение возможно при проходимости каналов зуба. Оно включает поэтапное устранение воспаления, уничтожение микробной флоры в ведущем канале, его разветвлениях и периодонте, а также стимуляцию регенерации периапикальных тканей. Экссудат необходимо удалить, а в конце лечения добиться изоляции каналов от периодонтальной щели. При обострении хронического периодонтита важно сначала блокировать острую фазу, обеспечив обезболивание.

На первом посещении стоматолога лечение начинается с открытия каверны зуба. Для этого очищают кариозную полость или удаляют старую пломбу, обеспечивая регулярное обеззараживание рабочего поля. После очистки каналов от детрита или корневой пломбы проводится антисептическая обработка каналов и периапикальной области (Гипохлорит натрия 3-5 %, Хлоргексидина биглюконат 2%). Для усиления антисептического эффекта применяются физиотерапевтические методы: электрофорез антисептиков, фонофорез и лазерная терапия. Затем вводят противовоспалительные вещества на турундах и ставят временную пломбу. Назначаются антибиотики (Метронидазол, Ципролет), НПВС (Диазолин, Кларитин) и анальгетики (Кеторол). Через 2-3 дня продолжают лечение: снимают временную пломбу, обрабатывают и санируют корневые каналы, пломбируют лечебной пастой на 2-3 месяца (Кальсепт, Metapex).

Хронический гранулирующий и гранулематозный периодонтиты, сопровождающиеся деструкцией кости в области апекса, требуют репозиции кости. Кальций в лечебной пасте активирует остеобласты, способствуя образованию новой кости. После необходимого времени проводят завершающую рентгенографию, обработку корневых каналов и пломбирование гуттаперчей с установкой постоянной пломбы. В дополнение назначается физиолечение: электрофорез, ультрафонофорез, СВЧ, УВЧ-терапия, лазерная и магнитная терапия.

Хирургические методы применяются, если невозможно провести полноценную эндодонтическую обработку. Приоритет отдается зубосохраняющим операциям: ампутации, гемисекции, цистотомии, цистэктомии и резекции верхушки корня.

Ампутация — это обрезка пораженного корня до уровня коронки зуба. Гемисекция — удаление больного корня вместе с коронкой. Цистотомия — частичное удаление кисты с раскрытием оболочки для выпуска гноя и антисептической обработки. Цистэктомия — полное удаление кисты. Резекция верхушки корня — удаление воспаленной ткани в апексе с сохранением функции зуба, чаще выполняется на однокорневых зубах.

Перед операцией каналы зуба закрываются корневой пломбой, и делается рентгеновский снимок. При наличии общих заболеваний проводятся анализы (крови, мочи, электрокардиография и др.), и пациент получает разрешение от необходимых специалистов. После операции назначаются десенсибилизирующие, противоотечные, обезболивающие препараты, иммуномодуляторы и витамины. Если сохранить зуб невозможно, проводят экстракцию.

Диагностика

Для диагностики патологии врач выполняет следующие шаги:

  1. Изучает анамнез.
  2. Осматривает ротовую полость, зондирует область пораженного зуба, производит его простукивание и ощупывает десну и переходную складку.
  3. Проводит тесты на реакцию зуба на термические раздражители.
  4. Определяет состояние нервных окончаний пульпы с помощью электрического тока. ЭОД при данном заболевании составляет от 100 мкА и выше, что указывает на гибель пульпы и воспаление тканей периодонта.
  5. Проводит рентгенографическое исследование. Увеличение периодонтальной щели на рентгене свидетельствует о развитии фиброзного периодонтита.

Важно не путать фиброзный хронический пульпит с гранулематозным, для которого характерно наличие гранулемы (области с разрушенной костной тканью) и гранулирующего пульпита, при котором ткань имеет дефект, напоминающий языки огня.

Осложнения

Все неприятности, связанные с лечением хронического периодонтита, можно разделить на три группы:

  1. Ошибки на этапе диагностики
    Неправильный диагноз или недооценка степени воспалительного процесса могут привести к неэффективному лечению и обострению заболевания.

  2. Неполное лечение или развитие осложнений
    Неаккуратная обработка корневых каналов может оставить инфекцию, что приведет к осложнениям.

  3. Осложнения после лечения
    Эти осложнения могут быть вызваны как врачебными ошибками, так и индивидуальными особенностями пациента.

Процедуры в домашних условиях

Если немедленное посещение врача невозможно, или специалист рекомендует дополнительно использовать народные средства, временно снизить воспаление можно следующими способами:

  1. Полоскание рта солевым раствором. Для этого на стакан теплой воды добавьте щепотку морской соли. Полоскать ротовую полость следует дважды в день.
  2. Протирание десен медом. Используйте жидкий мед, который защищает от бактерий и помогает при воспалении. Процедуру повторяйте несколько раз в день.
  3. Прикладывание к десне ватного диска, смоченного в растворе сока половины лимона и двумя столовыми ложками соли. Такой компресс следует держать на десне несколько раз в день по три минуты.

Важно помнить, что хронический периодонтит не может быть вылечен народными средствами. Их применение возможно только по рекомендации врача, иначе это может навредить вашему организму.

Симптомы обострения болезни

Равнодушие к себе при обострении периодонтита недопустимо. Появляется боль при надавливании, которая со временем усиливается и становится постоянной. Болезненные ощущения могут длиться от нескольких часов до суток. Терпеть такую боль невозможно, так как любое прикосновение вызывает невыносимый дискомфорт. На этом этапе важно обратиться к врачу, так как ранняя диагностика облегчает лечение.

Многие отказываются от стоматологической помощи, полагаясь на обезболивающие таблетки. После того как боль утихает, они успокаиваются, хотя остаются небольшие болезненные ощущения при сильном надавливании на зуб. Затем может произойти быстрое вздутие в области больного зуба, и щека опухает. Это сопровождается повышением температуры и возможным ознобом. Отказ от обращения к врачу может привести к осложнениям, таким как периостит.

Лечение гранулематозного периодонтита

Для эффективного лечения гранулематозного воспаления периодонта необходимо правильно диагностировать заболевание. Подозрение на гранулематозную форму хронического периодонтита возникает на основе анамнеза, осмотра и жалоб пациента. Например, если у пациента ранее были боли в зубе, усиливающиеся при воздействии холода или тепла, а затем боли прекратились — либо самостоятельно, либо после лечения, врач назначает рентгенографическое исследование. Дополнительным признаком для диагноза служит наличие большого кариозного дупла с гнилостным запахом.

На рентгенограмме гранулема выглядит как округлая тень у верхушки корня. На поздних стадиях гранулематозного периодонтита можно увидеть участки разрушенной костной ткани с ровными контурами. Рентгенография помогает исключить другие заболевания с похожими симптомами, такие как:

  • хроническое воспаление пульпы;
  • средний кариес;
  • фиброзное воспаление периодонта;
  • гранулирующий периодонтит;
  • корневая киста.

При первых двух заболеваниях рентгенограмма не показывает патологических изменений в периодонте и прилегающих тканях. При фиброзном воспалении наблюдается расширение зазора между корнем и альвеолярным отростком. В случае гранулирующего периодонтита контуры зон разрушения кости размытые и рваные. Корневая киста имеет очаг разрушения кости размером более 10 миллиметров с четкими границами.

При воздействии на больной зуб электрическим током чувствительность проявляется при токе выше 100 микроампер, что указывает на отмирание пульпы и зубного нерва.

В чем состоит лечение гранулематозного периодонтита

Лечебные процедуры при гранулематозном воспалении периодонта назначаются индивидуально, в зависимости от конкретного случая. При выборе стратегии лечения учитываются следующие факторы:

  • размер гранулематозного образования и его структура;
  • состояние зубных каналов;
  • возраст пациента;
  • состояние иммунной системы.

Если гранулема небольшая, количество эпителиальной ткани минимально, проходимость зубных каналов хорошая, а потенциал восстановления кости высок, стоматолог-терапевт применяет консервативное лечение. Оно включает следующие этапы:

  1. Механическая обработка зубной полости и каналов.
  2. Дезинфекция зубных каналов антисептиками.
  3. Заполнение корневых каналов специальным составом с известью и йодоформом, который уничтожает микробов и активирует клетки, отвечающие за формирование кости.
  4. Пломбирование каналов и зубной полости.

При большом размере гранулематозного образования лечение часто требует хирургического вмешательства. В этом случае удаляют верхушку корня или весь зуб, а образовавшиеся полости заполняют материалом, способствующим быстрому восстановлению костной ткани. Хотя такой подход эффективен, операция может быть травматичной, поэтому хирургическое лечение гранулематозного периодонтита применяется только при наличии достаточных оснований.

Формы

Существует два типа периодонтита: острый и хронический. Хронический периодонтит может протекать активно или в стабилизированном состоянии.

Фиброзный

Это стабилизированная форма, при которой коллагеновые волокна периодонта заменяются фиброзной тканью. Основная причина фиброзного хронического периодонтита — травматическая окклюзия.

При завышенной высоте прикуса возникают чрезмерные очаги давления, что приводит к жевательной перегрузке периодонта. Организм реагирует на воспаление разрастанием соединительной ткани (фиброзом).

Волокна связок между поверхностью зубного корня и альвеолой заменяются грубоволнистой тканью, что постепенно расширяет периодонтальную щель. На этом этапе болезненные ощущения отсутствуют.

Диагностировать воспаление можно только с помощью рентгеновских снимков, на которых видны фиброзные поражения — аномально широкие полосы между корнем и лункой зуба.

Гранулирующий

Ситуация усугубляется образованием нескольких нагноений в очаге воспаления, поражающих не только дёсны, но и мягкие ткани полости рта. При запущенном состоянии часто возникают свищи, что приводит к образованию гранулём.

Если гранулёма вскрывается, её место занимает бороздка, которая со временем превращается в грубый рубец. Гранулирующий периодонтит диагностируется с помощью микроскопического исследования образца поражённой ткани.

Основная задача лечения — устранить воспаление и спасти зуб. Для этого тщательно прочищают зубной канал, накладывают лечебную пасту и выполняют пломбирование. В некоторых случаях грануляционные ткани удаляют с помощью гемисекции и других зубосохраняющих операций.

Гранулематозный

Гранулематозный периодонтит отличается менее активным течением по сравнению с гранулирующим. Грануляционная ткань образуется только на верхушке корня зуба и окружена фиброзной капсулой, которая защищает здоровые ткани от инфекции.

Гранулема предотвращает проникновение патогенов за пределы воспалительного очага, снижая всасывание бактерий в кровь. Бессимптомное течение заболевания делает его опасным: воспаление может перерасти в кисту, достигающую 1,5 см в диаметре. Жидкость внутри кисты давит на соседние костные структуры и может привести к выпадению зуба.

Диагностика гранулематозного периодонтита включает биопсию ткани и дентальную рентгенографию. Симптомы заболевания часто слабо выражены и становятся заметными лишь на поздних стадиях, когда острое воспаление переходит в хроническое.

Симптомы

Болезненность. Боль может локализоваться под зубом, затрагивать десну и челюсть, постепенно распространяясь. При периодонтите болезненные ощущения усиливаются при надавливании и контакте с холодным или горячим, как и при пульпите. Если воспаление возникает на фоне кариеса или пульпита, боли могут быть интенсивными и усиливаться ночью.

Важно: периодонтит не всегда сопровождается болью. Воспаление может развиваться почти бессимптомно и не вызывать значительного дискомфорта.

Изменение десен. Воспаление проявляется синюшной окраской слизистой или покраснением, потемнением десен в области пораженного зуба. Иногда десна опухает, и отек может распространяться по всей челюсти. Из-за воспаления мягкие ткани увеличиваются, создавая ощущение, что зуб «выпирает» из зубного ряда.

Общее недомогание. При тяжелом воспалении может повышаться температура, возникать слабость и ухудшение самочувствия.

Если периодонтит не лечить на ранней стадии, окружающие ткани продолжат разрушаться, что может привести к подвижности зуба и его выпадению.

Заболевание может протекать в нескольких формах с различными симптомами.

Острый периодонтит. На начальном этапе боль ноющая и локализована у пораженного зуба. Она усиливается по мере развития воспаления, становясь резкой и постоянной. При гнойном воспалении болезненность усиливается, становится пульсирующей и может отдавать в ухо или висок. Острый периодонтит длится до двух недель. На первом этапе воспаление усиливается, периодонт становится чувствительным. На втором этапе появляется гной, боль становится непрерывной, зуб становится подвижным. Десна может сильно опухать, мягкие ткани отекают, лимфатические узлы воспаляются. Общее самочувствие ухудшается: поднимается температура, возникает слабость и головная боль.

Хронический периодонтит. Заболевание переходит в хроническую форму при отсутствии лечения. Существуют несколько видов хронического периодонтита:

  • Фиброзный. Протекает бессимптомно, болей обычно нет, отсутствует реакция на тепло или холод. Развивается как осложнение невылеченного пульпита. Цвет коронки меняется, обычно она имеет глубокую кариозную полость с отмершей пульпой. На рентгенографии видно расширение периодонтальной щели у верхушки корня.
  • Гранулирующий. Сопровождается слабыми болями или неприятными ощущениями. В области пораженного зуба может возникать чувство распирания, тяжести, накусывание может быть неприятным. В десне рядом с больным зубом появляется свищ, через который выходит гной и грануляционная ткань. Десна может иметь измененную окраску и структуру, пальпация может быть болезненной. Лимфатические узлы могут увеличиваться и становиться чувствительными.
  • Гранулематозный. Обычно протекает бессимптомно, может сопровождаться небольшой болезненностью при надавливании на больной зуб. Развивается после травмы или пульпита, коронка может быть неразрушенной или плохо запломбированной. Воспаление приводит к образованию гранулемы в области верхушки корня, что проявляется небольшой болезненностью и набуханием десны.

Хронический периодонтит может периодически обостряться, и тогда появляются боли, отеки мягких тканей, реакция лимфатических узлов и изменение цвета десен.

Причины и симптомы обострения хронического периодонтита

Воспалительный процесс в периодонте при хронических формах заболевания может проявляться по-разному. Выделяют три основные клинические формы болезни:

  1. Фиброзный периодонтит — наиболее легкая форма, характеризующаяся образованием фиброзной соединительной ткани и расширением щели между зубным корнем и костью альвеолярного отростка. Диагностика осложняется отсутствием четкой симптоматики.

  2. Гранулирующий периодонтит — сопровождается образованием быстрорастущей грануляционной ткани и рассасыванием челюстной кости. Это заболевание часто обостряется, что приводит к образованию гноя и свищей. Из-за частых обострений и выраженной боли этот вид воспаления легче диагностировать.

  3. Гранулематозный периодонтит — формируются гранулемы, содержащие серозную жидкость или гной и окруженные плотной оболочкой. Эти образования разрушают челюстную кость и могут трансформироваться в кисту, требующую хирургического удаления.

Обострение хронического периодонтита может произойти при любой форме заболевания. Симптоматика в острой стадии практически одинакова для всех форм.

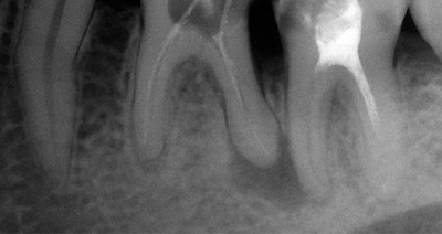
Хронический гранулирующий периодонтит 6 зуба нижней челюсти

При формировании очага воспаления в тканях периодонта иммунная система пытается ограничить его распространение. Пока иммунитет справляется с инфекцией, болезнь протекает вяло и без заметных симптомов. Однако при ослаблении иммунитета, например, из-за переохлаждения, заболевание может перейти в острую стадию. Обострение также может быть вызвано травмой зуба или челюсти, например, при ушибе. Лечение причинного зуба может спровоцировать обострение периодонтита из-за воздействия лекарств или травм при пломбировании корневого канала.

image

Симптомы обострения хронического периодонтита

Первым признаком перехода воспаления периодонта в острую фазу является интенсивная боль. Сначала она возникает при смыкании челюстей или постукивании по больному зубу, а затем сохраняется даже после прекращения воздействия. Если не предпринять лечебные меры, болевые ощущения усиливаются.

Со временем интенсивность боли может снизиться, и пациент ощущает дискомфорт только при сильном сжатии челюстей. Это не означает, что заболевание отступило.

На этой стадии обострения появляется отек десны около больного зуба. В конечном итоге может произойти вскрытие мягких тканей и образование свища, через который выходит гной. При достаточном оттоке гнойных масс обострение может утихнуть. Преждевременное закрытие свища приводит к усилению воспалительного процесса.

Хронический периодонтит в стадии обострения может вызвать осложнения, включая воспаление надкостницы. Признаки этого состояния:

  • отек, вызывающий асимметрию лица;
  • интенсивная боль в области больного зуба, отдающая в ухо, глаз, височную область и шею;
  • повышение температуры тела до 38 градусов;
  • озноб;
  • головная боль;
  • общая слабость;
  • потеря аппетита.

Воспаление надкостницы, или челюстной периостит (флюс), требует немедленной медицинской помощи. Без лечения инфекция может распространиться на костную ткань, вызывая остеомиелит. Также патогенные микроорганизмы могут попасть в кровоток, что приведет к поражению сердца, почек, суставов и других органов. В тяжелых случаях возможен общий сепсис, угрожающий жизни пациента.

image

Виды хронического периодонтита

Существует несколько видов хронического периодонтита:

Эта форма требует микроскопического исследования. Наблюдается утолщение над верхней частью зубного корня и изменения поверхности периодонта, такие как неровность и искривление. Грануляционная ткань постепенно увеличивается, что приводит к рассасыванию костной ткани и образованию гнойных очагов. Это может вызвать свищи, а в редких случаях грануляция затрагивает мягкие ткани вокруг воспаления.

Этот вид сопровождается образованием грануляции в верхней части корня. Существуют простая, эпителиальная и кистовидная гранулема, которые обычно возникают на фоне гранулирующего воспаления. Гранулема может долго не увеличиваться, и в этом случае пациент не испытывает дискомфорта. Увеличение гранулемы часто совпадает с хроническим периодонтитом.

Фиброзная ткань вызывает очаговое воспаление и может возникнуть на фоне неправильного лечения предыдущих форм. Эта форма редко проявляется самостоятельно. Последствием фиброзного периодонтита является образование цемента, что диагностируется методом рентгеноскопии.

Важно правильно определить форму хронического периодонтита, так как это влияет на результат и эффективность лечения.

image

Детский периодонтит

Гранулирующий периодонтит встречается и у детей, причем чаще, чем у взрослых.

Рассмотрим особенности этого заболевания у детей:

  • Структура периодонта более рыхлая, волокна коллагена легко повреждаются.
  • Периодонтальные ткани имеют более быстрое кровообращение.
  • В детском возрасте периодонтальная область обладает большей щелью.
  • Периодонтальный аппарат нестабилен, наблюдается перестройка и замена зубов.

У детей больше причин для возникновения заболевания, чем у взрослых. Это может быть связано с боязнью стоматолога, из-за чего не лечится хронический пульпит, а также с вредными привычками, такими как грызение карандашей или ручек, и проблемами с прикусом.

Определить болезнь у детей сложнее, так как признаки периодонтита слабо выражены из-за рыхлой структуры тканей.

Ссылка на основную публикацию
Похожее