Пн-пт: 09:00—20:00; сб: 10:00—16:00 по предварительной записи
whatsapp telegram vkontakte email

Как лечить пришеечный кариес

Основные симптомы пришеечного кариеса и стадии развития

Существует четыре этапа развития пришеечного кариеса: начальный, поверхностный, средний и глубокий.

Рассмотрим основные симптомы каждого этапа.

На начальной стадии появляется белое пятно, указывающее на начало деминерализации. Это изменение вызывает лишь эстетический дискомфорт, без болевых ощущений.

Поверхностная стадия проявляется черным или темным пятном. При этом возникают неприятные ощущения от химических, термических и механических раздражителей.

Глубокий кариес — это запущенная форма заболевания, которая может повредить зубной нерв и вызвать сильную острую боль. Он часто приводит к пульпиту и периодонтиту.

Игнорирование симптомов глубокого прикорневого кариеса (флюсы, абсцессы) или неадекватное лечение может привести к образованию флегмоны. Этот острый воспалительный процесс в мягких тканях головы и шеи требует срочной госпитализации.

image

Патогенез пришеечного кариеса

В результате недостаточной санации и ухода за ротовой полостью на зубах образуется налёт, представляющий собой колонии микроорганизмов, прочно прикреплённых к пелликуле.

При употреблении легко усваиваемых продуктов их остатки накапливаются в ямках на резцовой поверхности, фиссурах, неровностях пломб или протезов, затвердевают, а затем подвергаются брожению и гниению. На образование зубного камня и налёта влияют:

  • Анатомия зуба.
  • Структура поверхности резца.
  • Качество питания.
  • Биохимический состав слюны и других ротовых жидкостей.
  • Гигиена рта.
  • Наличие протезов и пломб.
  • Аномалии развития челюстей.

Зубной налёт обычно мягкий и пористый, что позволяет пищевым жидкостям проникать внутрь. При накоплении продуктов распада микроорганизмов пористость налёта уменьшается, образуя зубную бляшку.

Это твёрдое образование содержит муравьиную, молочную, пировиноградную, пропионовую, масляную и другие кислоты. В этих компонентах происходит брожение сахаров и других бактериальных веществ, что приводит к разрушению минералов и микроэлементов в зубной эмали. Нейтрализаторов этих кислот не существует, так как диффузия жидкостей в налёте и из него ограничена.

В зубном налёте присутствуют стрептококки, которые участвуют в анаэробном брожении. Некоторые штаммы используют углеводы в качестве субстрата, другие развиваются в среде аминокислот, но сахароза играет ключевую роль в возникновении пришеечного кариеса.

Брожение усиливается в ночное время, когда активизируется гипосаливация и гликолиз. Оно возобновляется с увеличением поступления углеводов в рот, а потребление сахаров ускоряет образование налёта и бляшек. Консистенция пищи также влияет на образование зубных камней: мягкие продукты ускоряют брожение.

Продукты жизнедеятельности микроорганизмов

Бактерии и микробы могут закрепляться и размножаться на твёрдой зубной эмали, пластмассе коронок и протезов, а также на металле. В процессе своей жизнедеятельности они выделяют гетерополисахариды, содержащие углеводы:

  1. Гликаны способствуют адгезии микроорганизмов друг к другу и к эмалевой поверхности, что увеличивает слой налёта.
  2. Леваны служат энергетическим источником и основой для синтеза различных органических веществ, обладая высокой адгезией.
  3. Декстраны также производят кислоты и прочно прикрепляются к эмали.

У людей с пришеечным кариесом наблюдается увеличение биохимической активности лактобактерий и стрептококков на поверхности резца. Высокая активность этих микроорганизмов считается фактором, способствующим повышенной восприимчивости к кариесу.

Признаки появления кариеса на шейке резца

Возникновение и развитие кариозной полости проходит несколько этапов:

  • На начальной стадии деминерализация проявляется в виде малозаметного мелового пятна, которое не вызывает дискомфорта, и пациент не подозревает о развитии кариеса.
  • На средней стадии (через несколько месяцев) пятно становится коричневым или жёлтым, эмаль на шейке резца начинает разрушаться. Повреждённая область реагирует на горячие и холодные раздражители, а также на кислоты в пище.
  • На последней стадии зуб начинает болеть даже от прохладного воздуха или лёгкого дуновения. Повреждаются глубокие слои, близкие к нервам, что вызывает боль при откусывании и чистке зубов. На этом этапе формируется кариозная полость, и существует риск перелома коронки резца.

Лечение дома

Для любителей самолечения есть хорошая новость. Если кариес находится на начальной стадии, домашнее лечение возможно. Однако оно эффективно только на ранних этапах заболевания. Для терапии обычно используют фторсодержащие и кальцийсодержащие зубные пасты и гели. Эти средства помогают насыщать эмаль, особенно в местах, где наблюдаются изменения цвета. При этом важно учитывать несколько моментов:

  • Индивидуальность каждого человека: одна паста или гель могут помочь одному, но не подойти другому.
  • Выбор средства должен быть правильным, так как от этого зависит успех лечения. Ответственность за выбор лежит на пациенте, и никто не может гарантировать его удачность.
  • Лечить дома можно только на самой первой стадии кариеса, а определить стадию бывает сложно, особенно без стоматологического образования.

Лечебная зубная паста с фтором эффективна на начальных стадиях кариеса.

Профилактика — лучшая защита от пришеечного кариеса

Общеизвестно, что лучше предотвратить болезнь, чем потом искать способы её лечения. Пришеечный кариес не является исключением. Механизмы его профилактики известны и включают:

  • ограничение потребления сладкого;
  • снижение употребления сахара между приёмами пищи и отказ от него на ночь;
  • чередование твёрдой пищи с овощами для естественной очистки зубов;
  • чистку зубов после каждого приёма пищи;
  • использование правильной методики чистки;
  • применение зубных нитей для гигиены рта;
  • использование препаратов с повышенным содержанием фтора.

Лечение

На начальной стадии можно ограничиться консервативной ремтерапией, которая включает применение фторсодержащих препаратов (гелей, лаков), кальция и полоскание ротовой полости хлоргексидином. Лечение кариеса корней зуба проходит в три этапа:

  1. Профессиональная чистка зубов от налета и камня, что позволяет удалить патогенную микрофлору вблизи корня зуба.
  2. Антисептическая обработка пораженных участков. При необходимости проводится пломбирование. На этом этапе пациенту рекомендуется:
    • своевременно заменять коронки и протезы с истекшим сроком эксплуатации,
    • корректировать зубной ряд,
    • укреплять зубную эмаль и десны.
  3. Восстановление корня зуба.

Если причиной является травма десны, стоматолог проводит мероприятия для ее быстрого заживления (прижигание, ушивание раны, обработка антисептиками и гемостатическими средствами).

В тяжелых случаях возможно оперативное лечение, которое заключается в иссечении всех пораженных кариесом участков. Даже небольшая часть инфицированной десны или незачищенной области зуба может свести на нет все усилия по лечению и привести к распространению инфекции на соседние зубы.

Для защиты десны во время операции применяются следующие методы:

  • Диатермокоагуляция – иссечение пораженных участков пародонтита с помощью коагуляционного ножа, который сразу же прижигает кровоточащие края.
  • Ретракция – раздвигание краев десны с помощью пропитанных гемостатическими нитями.

Операция проводится под местной или общей анестезией. Седативные препараты также используются при других методах лечения кариеса, если пациент испытывает страх перед болью или не переносит стоматологические процедуры.

Лечение пришеечного кариеса в домашних условиях: миф или реальность?

Вылечить пришеечный кариес самостоятельно можно только на стадии пятна, как и другие формы этого заболевания. Для этого подходят средства с повышенной концентрацией кальция и фторидов, которые укрепляют эмаль.

Важно учитывать следующие аспекты:

  1. У каждого человека пришеечный кариес проявляется по-разному: степень, область и глубина поражения, структура эмали и другие факторы. Течение болезни может осложняться плохой гигиеной, возрастными изменениями зубов или общим состоянием здоровья. Поэтому самостоятельно подобрать нужные средства сложно, лучше обратиться к специалисту.

  2. Существует широкий выбор препаратов для лечения и профилактики этого заболевания, что затрудняет правильный выбор. Избыточное использование средств с высоким содержанием фтора может не только не решить проблему, но и навредить зубам и организму.

  3. Избавиться от кариеса можно только на стадии пятна; на более поздних стадиях без профессионального вмешательства не обойтись. Самостоятельно диагностировать стадию развития кариеса сложно, что увеличивает риск запустить заболевание до глубокой формы.

Профессионалы не ограничиваются визуальным осмотром или зондированием. Они используют различные методы исследования, чтобы точно определить масштаб проблемы и степень распространения болезни.

Причины возникновения

Причины пришеечного кариеса разнообразны. Многие люди не обращаются к стоматологу вовремя, и заболевание на ранних стадиях часто остается незамеченным. Некоторые пытаются лечить его самостоятельно, используя специальные пасты или народные средства.

Основные причины пришеечного кариеса связаны с несколькими факторами:

  1. Режим питания и частота потребления углеводов, легко ферментируемых.
  2. Деятельность бактерий, особенно Streptococcus mutans, под зубным налетом. Эти микроорганизмы вызывают брожение, в результате чего образуются органические кислоты, наносящие вред эмали. Это приводит к деминерализации и вымыванию кальция, фосфора и фтора, что нарушает минеральную структуру эмали и способствует образованию кариеса.

Причины кариеса шейки зуба схожи с факторами, вызывающими обычный кариес. Неправильный или нерегулярный уход за ротовой полостью может привести к развитию прикорневого кариеса.

Цервикальный кариес проходит несколько стадий:

  • образование кариозных пятен;
  • переход в поверхностный кариес;
  • средняя стадия;
  • глубокая стадия.

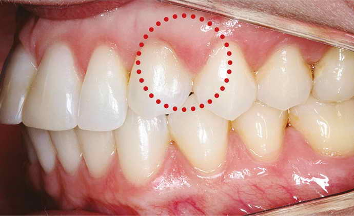
Распознать степень поражения бывает сложно. Непосвященному человеку трудно отличить начальный кариес от поверхностного, а также средний от глубокого. На картинке ниже показана начальная стадия пришеечного кариеса. Она может быть неочевидна.

Это связано с тем, что на переходе от коронковой части зуба к шейке находится тонкая и слабо минерализированная эмаль. При неправильной чистке зубов она стирается, поэтому не следует сильно давить на зубную щетку.

На видео ниже показана правильная техника чистки зубов:

https://youtube.com/watch?v=BtqzfUaQXak

Со временем эмаль в этой области становится все тоньше. Если эта зона не очищается должным образом, бактерии начинают активно размножаться, что приводит к развитию болезни.

На начальной стадии прикорневого кариеса многие могут испытывать дискомфорт, гиперчувствительность зубов и неприятные ощущения при употреблении холодной или горячей пищи, а также сладкого. Эти симптомы обычно быстро проходят.

Однако иногда пришеечный кариес развивается без симптомов, и его можно распознать только визуально. Сначала он проявляется в виде светлого пятна, а при переходе в поверхностную стадию появляются боли при употреблении сладкого, острого, холодного или горячего.

При осмотре стоматолог может выявить неровности и шероховатости в середине пятна с помощью специального зонда.

Лечение данной проблемы.

Лечение пришеечного кариеса зависит от стадии заболевания. На начальных этапах, когда твердые ткани зуба только начинают разрушаться, стоматолог проведет необходимые процедуры для устранения кариеса и налета. Затем назначаются препараты, способствующие восстановлению. Для нормализации цвета эмали используется отбеливающий гель. Однако при наличии неровностей и употреблении красящихся продуктов эмаль будет впитывать их еще больше. Существуют средства, помогающие устранить неровности и укрепить эмаль. Если после процедур результат не заметен, это может означать, что заболевание перешло в следующую стадию.

На стадии образованного кариеса врач, скорее всего, предложит удалить его и провести пломбирование. На этом этапе важно немедленно обратиться за помощью, иначе могут возникнуть осколы или обломы.

Пришеечный кариес расположен близко к корневой системе зуба. Он может поражать не только проблемный зуб, но и соседние. Если кариес проник до пульпы, лечение включает полную терапию корней и каналов зуба.

У детей эта стадия протекает сложно из-за повышенной чувствительности. При проведении процедур используются различные виды обезболивающих. Основная сложность лечения связана с месторасположением кариеса. Для качественного пломбирования поверхность эмали должна быть сухой, но из-за соприкосновения с десной это сделать трудно.

Симптомы

На начальном этапе заболевания выраженные симптомы отсутствуют. Однако при внимательном рассмотрении можно заметить изменения зубной эмали: она теряет блеск, на поверхности появляются белые пятна, сначала в виде небольших точек, затем более выраженные матовые участки округлой формы.

С течением времени развиваются следующие проявления:

  1. Потемнение эмали в пришеечной области.
  2. Повышенная чувствительность зубов и дискомфорт при употреблении горячей или холодной пищи, а также сладких, кислых и острых продуктов.
  3. Кратковременная боль при механическом или термическом воздействии на зуб.
  4. Зловонный запах изо рта.
  5. Формирование дефектов различной глубины на поверхности зуба (кариозные полости или глубокие кариозные каналы).

Интенсивность этих проявлений зависит от стадии развития кариеса. При средней форме пациент испытывает умеренную кратковременную боль, тогда как при глубоком кариесе даже незначительное воздействие (например, во время разговора или гигиенических процедур) может вызывать острый болевой синдром.

image

Симптомы патологии

Пришеечный кариес, как и другие стоматологические патологии, проходит несколько стадий развития. Начальный этап, характеризующийся деминерализованным пятном, трудно заметить без помощи специалиста. На этой стадии пациент не испытывает дискомфорта, и визуальные признаки повреждения эмали отсутствуют.

Обнаруживается лишь небольшое матовое пятно в пришеечной зоне, что является первым признаком заболевания. Поэтому многие пациенты не замечают начало патологического процесса и не предпринимают меры для сохранения эмали.

С течением времени пришеечный кариес начинает проявляться более явно. Пациенты начинают чувствовать дискомфорт при употреблении горячей или холодной пищи, а затем могут испытывать болезненные ощущения. Аналогичная реакция возникает и при воздействии кислой пищи.

Далее даже малейший раздражитель, например, холодный воздух, может вызывать боль. Прогрессирование патологии происходит быстро, и вскоре пациенты могут столкнуться с флюсом или абсцессом, что приводит к разрушению и размягчению костной ткани.

Со временем пришеечный кариес становится визуально заметным. Измененная структура эмали и характерное коричневое пятно указывают на наличие кариеса в области шейки зуба. Обычно на этой стадии пациенты обращаются к врачу.

image

Как лечить пришеечный кариес

В зависимости от тяжести и выраженности симптомов пришеечного кариеса выбирается схема лечения. Если кариес проявляется в виде белых меловидных пятен и верхний слой эмали не поврежден, обычно применяется консервативное лечение — реминерализация. В ходе этой процедуры эмаль, лишенная кальция, насыщается минералом с помощью специальных препаратов, содержащих также другие минералы. Это укрепляет эмаль и предотвращает дальнейшее развитие кариеса.

При образовании полости лечение пришеечного кариеса включает несколько этапов: местная анестезия, удаление зубных отложений, препарирование дефекта, обработка полости, наложение лечебной и изолирующей прокладки (при среднем и глубоком кариесе), установка пломбы световой полимеризации, шлифовка и полировка пломбы.

Диагностика прикорневого кариеса

Диагностировать пришеечный кариес самостоятельно сложно. Пациенты могут столкнуться с симптомами, такими как кариозная полость и сильная боль, которые характерны для многих стоматологических заболеваний. Для кариеса шейки зуба характерно специфическое расположение пораженных участков, однако неспециалист может спутать эти симптомы с флюорозом, пигментированным налетом или клиновидным дефектом (рекомендуем прочитать: клиновидный дефект зубов: причины и лечение).

При появлении любых из этих признаков следует немедленно обратиться к стоматологу. Специалист проведет клиническую диагностику придесневой части и выполнит ряд исследований, которые невозможно провести самостоятельно:

  • трансиллюминация;
  • рентген;
  • электроодонтометрия (см. также: электроодонтометрия в стоматологии: что это и зачем она нужна?);
  • радиовизиография;
  • метод окрашивания пятен.

Лечение пришеечного кариеса

Для восстановления нарушенного слоя эмали применяют специальную терапию. Она включает аппликации с 10% глюконатом кальция в растворе, а также использование 3% раствора природного минерального вещества Ремодента.

Фторсодержащие препараты также эффективны. В качестве активного вещества используется 3% натрия фторид. Все виды аппликаций проводятся не менее 10 дней, чтобы восстановить биохимический состав поврежденного участка.

Процедура в стоматологическом кресле занимает немного времени:

  • пациента усаживают в кресло;
  • очищают поверхность резца от налета и пелликулы;
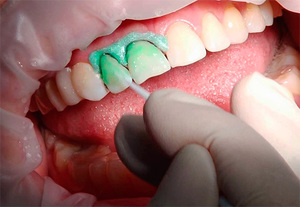
  • пятно мелового цвета обрабатывают 40% раствором лимонной кислоты в течение минуты;
  • после промывания наносят выбранный аппликатор, который прикладывают или проводят электрофорез в течение 15 минут, добавляя свежий раствор каждые 5 минут;
  • при начальных белых пятнах восстановление эмали проходит успешно.

Второй вариант лечения включает препарирование пораженных тканей и установку пломб или другое замещение кариозной полости.

image

Этапы лечения кариозного поражения

Для восстановления или замещения повреждённых тканей следует выполнить следующие действия:

  1. Выявить окклюзионные точки и определить их расположение на поверхности зуба.
  2. Применить обезболивающие средства перед процедурой: инфильтраты, аппликации с анестезией, проводники или наркоз.
  3. Очистить резцы от зубного налёта и камня с помощью чистящей пасты и медицинских пескоструев.
  4. Установить изолирующую систему, например, коффердам.
  5. Просверлить кариозную полость бормашиной, удалив неровные края и инфицированную массу дентина, а также придав полости форму для лучшего размещения пломбы.
  6. Если поражены глубокие слои дентина, формировать полость под пломбу вручную, используя щадящие инструменты, чтобы не повредить пульпу.
  7. Обеззаразить полость кариеса с помощью 2% раствора хлоргексидина или гелей на его основе, содержащих активные антисептики.

Если полость глубокая, дно выстилают специальными прокладками на основе стеклоиномерных цементов. Для лучшей фиксации пломбы и скрепления слоёв применяют праймеры или грунтовки.

Адгезивы ранних поколений (4,5) требуют кондиционирования эмали и слоя дентина с использованием фосфорной кислоты (20 или 37%). Новые поколения праймеров содержат само протравливающие компоненты.

Наносят адгезив на открытый дентальный слой, после чего приступают к пломбированию. Используют вкладки или пломбы из металла, металлокерамики, композитных материалов или амальгамы.

Композитные и керамические пломбы дороже металлических, но позволяют сохранить цвет зуба, делая его неотличимым от основного тона. Иногда требуется депульпация зубного нервного корешка.

Советы по профилактике

Для профилактики кариеса рекомендуется устранять все кариесогенные факторы из полости рта, регулярно чистить зубы и тщательно удалять остатки пищи из карманов и промежутков между зубами.

Для повышения прочности костной ткани и эмали следует употреблять продукты с высоким содержанием минералов.

По назначению врача принимают витаминные комплексы и посещают стоматолога не реже чем раз в полгода. При подозрении на пришеечный кариес необходимо обратиться к врачу.

Причины развития заболевания

Пришеечный кариес чаще всего возникает из-за кариесогенных микроорганизмов, которые активно размножаются на зубной эмали. Идеальные условия для них создают зубной камень и налет, скапливающиеся у основания зуба, возле десен. Однако качественно очистить эту область во время ежедневной гигиены сложно, так как существует риск повредить мягкие ткани при чрезмерном использовании зубной щетки.

Еще одной причиной уязвимости придесневой области является тонкая эмаль. Прикорневая часть зуба покрыта эмалью толщиной всего около 0,1 мм, в то время как в верхних областях она в 6–17 раз толще. Это делает труднодоступное место более подверженным кариесу.

К основным факторам, способствующим развитию кариозного поражения, относятся:

  • патологии эндокринной системы (пришеечный кариес может затрагивать несколько зубов);
  • дефицит витаминов;
  • остатки пищи, которые приводят к деминерализации эмали из-за молочной кислоты, образующейся при их разложении;
  • употребление кислых продуктов и легко ферментируемых углеводов;
  • прием медикаментов, увеличивающих пористость зубной эмали;
  • беременность.

Симптомы с фото до и после возникновения

Кариозное поражение в пришеечной области может проявляться в виде дырки на шейке зуба, расположенной рядом с десной, как с внутренней, так и с внешней стороны.

Также наблюдается повышенная чувствительность к различным раздражителям, что вызывает кратковременные боли. Эмаль в пораженной области темнеет. Для наглядности можно ознакомиться с фотографиями зубов до и после развития болезни.

Развитие прикорневого кариеса — это длительный процесс, который проходит несколько этапов. Каждый этап имеет свои клинические проявления, знание которых поможет выявить болезнь на ранних стадиях.

Стадия Симптомы Примечание
Начальная Обычно боли нет, иногда — незначительный дискомфорт. На эмали около шейки появляется пигментированное или белое пятно. Поверхность гладкая, но матовая.
Поверхностная Кратковременные боли при резких перепадах температур или при употреблении соленых, кислых или сладких продуктов. Начинается разрушение эмали, патология прогрессирует быстро.
Средняя Усиление болей, формирование кариозной полости. Патология хорошо видна невооруженным глазом, чаще всего диагностируется на этой стадии.
Глубокая Невыносимые острые боли при любом воздействии на зуб. Поражение проникает в глубокие ткани, затрагивая пульпу и каналы зуба.

Профилактика пришеечного кариеса

Пришеечный кариес сложно лечить, поэтому врачи рекомендуют уделять особое внимание его профилактике. К эффективным способам профилактики относятся:

  • регулярная и правильная чистка зубов с использованием профилактических и лечебных паст;
  • посещение стоматолога и профессиональная чистка полости рта не реже одного раза в три месяца;
  • сокращение потребления сладостей;
  • нормализация питания и прием витаминных комплексов;
  • отказ от вредных привычек, особенно курения.

Как правильно выбрать зубную пасту?

Специальные пасты с профилактическим и лечебным эффектом помогают предотвратить пришеечный кариес и снижают риск рецидива после лечения. Существует несколько типов зубных паст:

  • Пасты с фтором и кальцием — укрепляют зубную эмаль и подавляют патогенную микрофлору. Особенно эффективны на начальной стадии реминерализации эмали.
  • Пасты с антисептиками — уничтожают патогенные микроорганизмы, вызывающие кариес. В качестве активного компонента могут использоваться хлоргексидин, лизоцим и другие вещества.
  • Пасты с папаином — борются с зубным налетом и камнем, уничтожая питательную среду для бактерий и сохраняя белизну улыбки.
  • Пасты с растительными компонентами — предназначены для лечения и укрепления десен, снижая риск образования десневых карманов и пришеечного кариеса.
  • Пасты для снижения чувствительности зубов — заполняют пористую структуру зуба, восстанавливая его устойчивость к внешним раздражителям.

При выборе пасты важно учитывать концентрацию активных компонентов. Для детей лучше выбирать специальные детские линейки.

Также доступны пасты, которые комбинируют несколько активных компонентов.

Пришеечный кариес — один из самых сложных для лечения типов заболевания. Проще предотвратить его, чем лечить. Для этого необходимо соблюдать профилактические меры и регулярно посещать стоматолога.

Ссылка на основную публикацию
Похожее