Пн-пт: 09:00—20:00; сб: 10:00—16:00 по предварительной записи
whatsapp telegram vkontakte email

Имплантаты зуба — эволюция в имплантологии

Какие импланты лучше ставить на жевательные зубы

При выборе импланта для жевательных зубов врачи часто рекомендуют изделия Medical Implant System и Alha Bio благодаря их надежности, прочности и простоте установки. Для восстановления передних зубов израильские импланты не подходят из-за ограниченных возможностей протезирования, что негативно сказывается на эстетике. В зоне улыбки предпочтительнее использовать французские или швейцарские дентальные конструкции.

Абатмент в системах BioHorizons имеет золотистый цвет, что может привести к его просвечиванию из-под десны. Из-за этого такие протезы редко применяются для имплантации передних зубов. Однако американские импланты BioHorizons отличаются высокой прочностью и быстрой приживаемостью, что делает их подходящими для задних моляров и премоляров, испытывающих значительную жевательную нагрузку.

Среди других имплантатов, подходящих для жевательных зубов, можно выделить Green Implant, Nobel Biocare, Straumann и Astra Tech. Тем не менее, для выбора оптимального протеза рекомендуется проконсультироваться со специалистом в области имплантологии.

Достоинства и недостатки имплантов

Минусы имплантации зубов:

  • необходимость хирургического вмешательства;
  • высокая стоимость процедуры;
  • длительное заживление;
  • множество противопоказаний;
  • риск осложнений;
  • временные боли после операции.

Несмотря на недостатки, имплантация зубов имеет множество преимуществ:

  • отсутствие обточки соседних здоровых зубов;
  • штифт может служить всю жизнь;
  • высокая эффективность процедуры;
  • равномерное распределение жевательной нагрузки;
  • возможность восстановления как одного зуба, так и всего ряда;
  • отсутствие дискомфорта при установке;
  • надежная фиксация конструкции;
  • сохранение костной и десневой тканей;
  • предотвращение атрофии кости.

Эстетические

С эстетической точки зрения коронки на имплантах превосходят другие варианты благодаря способу установки. Они выглядят естественно и не отличаются от настоящих зубов.

Коронки плотно прилегают к десне и устанавливаются поштучно, не выделяясь из общего ряда. Врач подбирает оттенок и форму искусственного зуба по слепкам.

Функциональные

Функциональные преимущества штифта очевидны. Он заменяет корень зуба и выполняет все его функции. Жевательная нагрузка распределяется равномерно, что предотвращает негативные изменения в челюсти, такие как атрофия кости.

Имплант служит долго и не требует специального ухода. Его использование не вызывает дискомфорта — отсутствует ощущение инородного тела и боли.

Мини-импланты: виды и цены 2020

На мини-импланты зубов – виды и цены, представленные на 2020 год, основаны на анализе предложений стоматологических клиник Москвы эконом-класса и средней ценовой категории. Выбор мини-имплантов ограничен, так как не все производители предлагают такие решения.

Для протезирования съемными конструкциями на имплантах рекомендуем мини-импланты Osstem (Корея). Для несъемного протезирования мостовидными протезами лучше использовать базальные имплантаты Roott (Швейцария). Они аналогичны мини-имплантам, но более надежны.

1. Мини-импланты Osstem (Корея) –

Корейская компания Osstem предлагает несколько видов мини-имплантов (серия MS, рис. 18), которые уже оснащены несъемными абатментами. Первый вариант предназначен для узкого альвеолярного гребня и используется для имплантации в области резцов нижней челюсти. Второй вариант улучшает фиксацию съемных протезов. Третий вариант предназначен для временного протезирования.

Расчет цены съемного протеза на четырех мини-имплантах:

2. Мини-импланты AlphaBio (Израиль) –

Израильская компания Alpha-Bio производит качественные импланты эконом-класса, которые широко представлены в России. В их линейке есть два типа мини-имплантов: ARRP и ARRC, отличающиеся наличием или отсутствием несъемного абатмента.

ARRP — монолитный мини-имплантат с несъемным абатментом. Он подходит для имплантации в узком альвеолярном гребне в области нижних резцов и для протезирования боковых верхних резцов. Также его можно использовать в рамках одномоментной имплантации с немедленным протезированием.

ARRC — аналогичный имплантат, но без несъемного абатмента. Он предназначен для улучшения фиксации частичных и полных съемных протезов, для чего в имплант вкручивается шаровидный абатмент.

Стоимость установки и протезирования на этих имплантах сопоставима с ценами на имплантаты Osstem.

3. Импланты Straumann (Швейцария) –

Компания Straumann предлагает импланты диаметром 3,3 мм, которые подходят для фиксации съемных протезов. Эти импланты отличаются высоким качеством и технологичностью, что гарантирует их долговечность.

Стоимость съемного протезирования на имплантах Straumann с использованием системы фиксации Locator составляет от 160 000 до 180 000 рублей.

4. Импланты ROOTT (Швейцария) –

Этот тип имплантов подходит для несъемного протезирования. Импланты компании Roott (рис. 21) относятся к мини-имплантам с диаметром от 3,5 мм и часто называются базальными. Это связано с тем, что они устанавливаются в глубокие базальные слои кости, которые не подвержены атрофии. Кроме того, импланты имеют бикортикальный тип фиксации, что обеспечивает большую надежность по сравнению с классическими имплантами.

Импланты Roott уже оснащены несъемным абатментом и предназначены для немедленного протезирования мостовидным протезом, который фиксируется на 3-й день после операции. Однако их применение ограничено: рекомендуется использовать их только при отсутствии нескольких зубов подряд (например, 2-3 центральных резцов нижней челюсти).

Стоимость протезирования коронками на имплантах Roott составляет:

Установка одного импланта Roott с протезированием метало-пластмассовой коронкой — 35 000 руб. «под ключ». Например, при отсутствии трех зубов подряд общая стоимость конструкции составит 115 000 рублей (включая установку трех имплантов и изготовление мостовидного протеза из трех метало-пластмассовых коронок). Поскольку протезирование выполняется сразу после операции, мостовидный протез изначально будет выполнен из металлопластмассы из-за его меньшей массы. Такой протез прослужит до 3 лет, но уже через год его можно заменить на металлокерамический или керамический.

Подробнее об имплантах

Производители имплантов

Любая система имплантации зубов, независимо от производителя, требует профессиональной установки.

Швейцарские импланты

Зубные импланты швейцарского производства традиционно считаются высококачественными.

Американские зубные импланты

Несколько американских компаний производят более половины всех высококачественных имплантов в мире.

Немецкие зубные импланты

Импланты зубов из Германии предлагают качество премиум-класса по более доступной цене.

Корейские зубные импланты

Стоматологическая продукция корейских производителей приобрела популярность благодаря высокому качеству.

Израильские импланты зубов

Одной из самых перспективных отраслей, продукция которой признана во всем мире и успешно конкурирует с мировыми лидерами, являются зубные импланты израильского производства.

На отечественном рынке лидируют импланты Русимплант.

Имплантационные системы Ankylos популярны в различных странах, включая Россию.

Импланты Рут демонстрируют отличные результаты приживляемости.

При создании имплантов Zimmer применяются инновационные технологии.

Зубные импланты Osstem – доступное решение премиум-класса.

Импланты SGS – продукт швейцарской компании, относящийся к бюджетному сегменту.

Зубные импланты Astra Tech – шведская разработка премиального уровня.

Импланты МИС объединили лучшие наработки прошлых лет.

Зубные импланты Denti System

Импланты Denti System по своим характеристикам не уступают известным моделям.

04.04.2019

Импланты Nobel Biocare являются мировыми лидерами в области имплантации.

03.04.2019

Зубные импланты Semados

Импланты Semados – качественная продукция с широкой линейкой моделей.

Импланты южнокорейской компании Implantium зарекомендовали себя на рынке.

Импланты Cortex изготовлены из титана высокого качества.

Импланты Impro недавно вышли на рынок и уже набирают популярность.

Концепция имплантов Bicon основана на максимальной простоте.

Alpha Bio — одна из первых компаний по производству систем имплантации в мире.

Импланты Oneway Biomed

Oneway Biomed — швейцарские импланты, выпускаемые с конца 80-х годов.

Читать далее

28.03.2019

Xive — импланты для состоятельных клиентов и разумный выбор.

Читать далее

27.03.2019

Импланты Straumann занимают лидирующие позиции в премиальном сегменте.

Читать далее

26.03.2019

Немецкие зубные импланты Trinon относятся к бюджетной категории.

Читать далее

25.03.2019

Нобель первыми в мире применили конструкции, изготовленные по технологии CAD/CAM.

Читать далее

24.03.2019

Импланты Simpl Swiss

Импланты Simpl Swiss начали использовать в России недавно и пока не получили широкого распространения.

Фирмы-производители

Короткие имплантаты – это новшество в стоматологии, поэтому их предлагают не все производители.

Straumann

Компания предлагает конструкции длиной 6 миллиметров. Исследования показали, что приживаемость имплантов на верхней челюсти составляет 94,7%, а на нижней – 98,6%. Эти различия объясняются большей плотностью кости на нижней челюсти, что обеспечивает лучшую первоначальную стабилизацию.

Импланты Straumann изготовлены из специального сплава титана и циркония Roxolid. Этот сплав значительно прочнее обычного титана, и даже небольшие импланты из него способны выдерживать высокие нагрузки. Более быстрое приживление достигается благодаря новой поверхности SLA-Activ, которая лучше противостоит влаге.

Стоимость установки одного имплантата составляет около 50 тысяч рублей.

MIS

У этой фирмы нет коротких имплантатов, но в линейках Seven и М4 есть конструкции длиной 6 миллиметров и диаметром 4,2, 5 и 6 миллиметров. Высокая первичная стабильность достигается благодаря конической форме. У имплантатов Seven на шейке предусмотрена микрорезьба, которая снижает убыль кости.

Импланты «МИС» — израильские изделия эконом-класса, стоимость имплантации составляет всего 20 тысяч рублей. Отсутствие необходимости в костной пластике делает этот вариант одним из самых доступных.

AstraTech

У этой шведской компании нет отдельной линейки коротких имплантатов, но в универсальной серии OsseoSpeed «TX» есть импланты длиной 6 миллиметров и шириной 4,5 и 5 миллиметров. Их коническая форма в верхней части обеспечивает высокую первичную стабильность, что позволяет сразу устанавливать временный протез.

Стоимость такой конструкции начинается от 40 тысяч рублей.

AnyRidge

Имплантаты изначально создавались короткими, длиной всего 4 миллиметра. Их главная особенность – специальная резьба, которая раздвигает костную ткань. Это позволяет AnyRidge, в отличие от других коротких имплантов, устанавливать даже в узкую кость. Кроме того, компания предлагает более 50 моделей различной длины и ширины для разных клинических случаев.

Стоимость установки одного имплантата начинается от 50 тысяч рублей.

AnyOne

Это более бюджетный аналог системы AnyRidge — установка стоит от 20 тысяч рублей. Система обладает теми же характеристиками: небольшой длиной и возможностью расширения узкой кости. Есть небольшие отличия в конфигурации резьбы, используемом титане и покрытии. Тем не менее, как бюджетный вариант, эти импланты становятся все более популярными.

Bicon

Импланты Bicon изначально разрабатывались как короткие конструкции длиной от 5 до 8 миллиметров. Компания называет импланты длиной 8 миллиметров уже «длинными». Они имеют конусовидный дизайн, ширину от 4,5 до 6 миллиметров и обеспечивают герметичность соединений.

Стоимость установки одного импланта составляет около 40 тысяч рублей.

Противопоказания для имплантации зубов

Любая медицинская процедура имеет свои показания и противопоказания, которые делятся на абсолютные и относительные. Особенно важны абсолютные противопоказания.

К абсолютным противопоказаниям для имплантации зубов относятся:

  1. Заболевания центральной нервной системы и психические расстройства.
  2. Серьезные сердечно-сосудистые проблемы, низкая свертываемость крови и гемофилия, так как это может привести к сильным кровотечениям.
  3. Злокачественные опухоли, которые могут способствовать росту метастаз.
  4. Патологии соединительной ткани челюстного аппарата, такие как ревматизм и ревматоидный артрит.
  5. Аутоиммунные заболевания слюнных желез и хронический афтозный стоматит.
  6. Эндокринные заболевания, включая инсулинозависимый диабет и патологии гипофиза, щитовидной железы и надпочечников.
  7. Гипертонус жевательной мускулатуры и бруксизм.
  8. Хронические инфекционные заболевания.
  9. Лучевая болезнь.
  10. Аллергии.
  11. Патологии костной ткани, снижающие ее регенеративные способности.

К относительным противопоказаниям относятся:

  • острые инфекционные заболевания;
  • хронические воспалительные процессы в острой стадии;
  • гиповитаминоз и авитаминоз;
  • сифилис;
  • беременность;
  • занятия травматичными видами спорта, такими как борьба и бокс.

Несмотря на множество противопоказаний, возможность имплантации решается индивидуально в каждом случае. Установка импланта возможна даже при наличии противопоказаний, но необходимо тщательно оценить все риски и проводить процедуру с осторожностью.

Критерии качества зубных имплантов

Современные зубные импланты обладают следующими характеристиками:

  • Механическая прочность – прочность материала влияет на срок службы импланта. Однако плотные сплавы могут не подойти некоторым пациентам из-за особенностей челюсти. Для определения подходящего материала требуется комплексное обследование.
  • Устойчивость к окислению и коррозии – даже дорогие металлы могут окисляться при контакте со слизистой. Защитные покрытия и напыления помогают избежать неприятного привкуса и увеличивают срок службы протеза.
  • Процент приживаемости – любой штифт может вызвать отторжение. Большинство производителей установило минимальный порог приживления в 97%. Успех зависит не только от материала, но и от квалификации зубного техника и хирурга-стоматолога.
  • Сроки остеоинтеграции – это время, необходимое для полного приживления и установки постоянного протеза. Обычно процесс занимает 3-4 месяца, но в некоторых случаях может потребоваться до полугода для укрепления стержня в кости.
  • Отсутствие аллергии – аллергические реакции могут проявляться не только в виде отторжения, но и через зуд, дискомфорт и опухание десен. Эти симптомы могут быть вызваны индивидуальной непереносимостью металлов и сплавов.
  • Возможность одномоментной имплантации и немедленной нагрузки – современные методики используют специальные штифты, которые ускоряют остеоинтеграцию до 2 месяцев.

Выбор материала импланта не должен основываться только на гарантии. Все ведущие производители предлагают минимальный срок гарантии в 2 года. При первых признаках отторжения или переимплантита клиника обязана бесплатно заменить протез в указанный период.

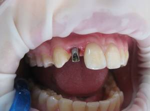
Устройство зубного импланта

Зубной имплант — многокомпонентная конструкция. Рассмотрим её состав.

При протезировании в кость зуба вставляется титановый штифт, который заменяет корень зуба. Это металлический стержень или винт, аналог живого зуба.

Посредником между имплантом и коронкой служит абатмент. Эта часть конструкции видна над десной. Крепление протезов может быть винтовым, когда коронка соединяется с абатментом с помощью винта, или цементным, при котором две части соединяются стоматологическим цементом. Абатменты изготавливают на заказ или используют фабричные. Материалы для абатментов — металл, пластик (временный вариант) или цирконий. Чем качественнее материал, тем он дороже.

Коронка — это видимая часть импланта, заменяющая утерянный зуб. Она может быть выполнена из различных материалов, о которых мы поговорим далее.

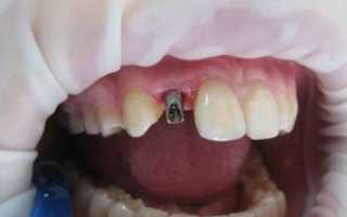
Особенности установки

Основное отличие фронтальной имплантации — это ее эстетичность. Протезирование в других отделах зубного ряда также имеет функциональные цели, но передние зубы требуют особенно тщательной работы хирурга для создания максимально натурального вида.

Наиболее сложным этапом с точки зрения эстетики является формирование естественного и ровного края десны. Этот момент определяет итоговый результат протезирования, поэтому ему уделяется особое внимание.

После установки импланта на передний зуб и абатмента врач устанавливает формирователь десны — специальную конструкцию, которая удаляется перед фиксацией коронки. Это позволяет создать естественный контур десен и идеальное прилегание края десны к коронке, так что даже при близком рассмотрении неосведомленный человек не сможет отличить искусственный зуб от натурального.

Остальные этапы имплантации аналогичны процедурам в других отделах зубного ряда и включают следующие шаги:

  • Диагностика, направленная на выявление особенностей строения и функций зубочелюстной системы пациента (плотность костной ткани, наличие заболеваний пародонта или костей челюсти, состояние корней соседних зубов и т. д.).
  • Лечение выявленных заболеваний, которые могут угрожать результатам имплантации.
  • Подсадка синтетической или собственной костной ткани в участок челюсти для имплантации. Этот этап не требуется, если зуб удален недавно и атрофия кости еще не началась или выражена незначительно. В случае противопоказаний для костной пластики врач может рассмотреть базальную имплантацию — внедрение стержня в базальный слой кости челюсти, который отличается высокой плотностью и устойчивостью к резорбции.
  • Составление плана имплантации, включающего выбор конструкции и модели имплантата, моделирование наклона и глубины посадки стержня, метод внедрения (компрессионный или хирургический) и другие этапы операции.
  • Подготовительный этап, в котором участвует пациент (лечение хронических и острых заболеваний, отказ от курения и алкоголя, исключение определенных лекарств). В некоторых случаях врач может добавить дополнительные мероприятия для повышения шансов на приживаемость имплантатов.
  • Имплантация. После местной или внутривенной анестезии устанавливаются импланты на передние зубы. В зависимости от клинической ситуации, могут быть установлены как стержни, так и коронки в одной процедуре (одномоментная имплантация). Если проводилась подсадка костной ткани или зуб отсутствовал долго, потребуется восстановительный период от 2 до 6 месяцев для интеграции имплантата. Однако временная коронка может быть установлена сразу после имплантации, выполняя эстетическую и функциональную роль: скрывая абатмент и формируя контур десны, она может выдерживать незначительные жевательные нагрузки.

Виды зубных имплантов

Корневидные импланты — самые распространённые и универсальные конструкции. Они имеют форму удлинённого цилиндра, сужающегося внизу, и используются для восстановления как одного, так и нескольких зубов.

Однако такая форма не подходит при дистрофии костной ткани и в других сложных случаях. Импланты разных производителей могут отличаться по приспособлениям, которые облегчают их приживаемость и установку.

Пластиночные конструкции используются реже. Они отличаются отсутствием резьбы и представляют собой металлическую плоскую пластину, внедряемую в глубокий слой кости. К ней крепят переходники, на которые устанавливают коронку.

Эти импланты непопулярны из-за риска травм слизистой и воспалений при приживлении. Однако их преимущество — возможность установки даже в тонкую атрофированную кость.

Комбинированные имплантанты сочетают характеристики предыдущих двух видов. Их устанавливают в стационарных условиях, так как они имеют большую площадь и сложную форму. Эти импланты применяют при серьёзных дефектах костной ткани, когда её наращивание невозможно и отсутствует значительное количество зубов.

Эндодонтические стабилизированные импланты устанавливают, когда сохранён здоровый зубной корень. Их вводят в кость через верхушку корня, что укрепляет и удлиняет его. Это позволяет продолжить восстановление коронковой части утерянного зуба.

Пациенту не нужно удалять корень, что снижает риск травм. Однако недостаток таких конструкций в том, что корень может портиться при отсутствии нерва, даже при тщательной гигиене. При кариесе удаляются как корень, так и имплант.

Субпериостальные конструкции чаще всего применяют для протезирования зубного ряда у пожилых пациентов. Их можно использовать даже при истощении костной ткани, так как они выдерживают нагрузку благодаря большой площади. На них устанавливают металлические балки для полного протезирования зубных рядов.

Внутрислизистые импланты представляют собой небольшие вставки, напоминающие гриб с плоской шляпкой. Они не затрагивают костную ткань и минимально повреждают слизистую. Протезы фиксируют в предварительно подготовленных отверстиях, что позволяет устанавливать полные съёмные протезы на выступающей части десны.

Материал для производства имплантов

Многие элитные зубные импланты, предлагаемые в клиниках Москвы, имеют специальные покрытия, которые повышают их приживаемость почти до ста процентов.

Титан — один из лучших материалов для зубных имплантов. Он обладает необходимыми качествами для этой процедуры:

  • прочность;
  • способность выдерживать большие нагрузки;
  • низкий риск аллергических реакций.

Срок службы

На качественные импланты может быть предоставлена пожизненная гарантия, так как при правильном уходе они служат как родные зубы. Искусственный корень, вживляемый в десну, имеет срок службы более 30 лет. Коронка может прослужить от 3 до 20 лет и более, в зависимости от типа и качества. На срок службы протеза влияют:

  • прочность и устойчивость к нагрузкам;
  • вид, качество, технология изготовления и установки (импланта и соединительных конструкций);
  • здоровье пациента и соблюдение гигиены полости рта.

Импланты могут служить меньше заявленного срока по следующим причинам:

  • некачественный материал и дизайн (низкая приживаемость);
  • ошибки врача;
  • неправильный уход за полостью рта;
  • игнорирование рекомендаций врача;
  • отторжение имплантата.

Какие лучше зубные импланты?

При ответе на этот вопрос важно учитывать как субъективные, так и объективные факторы. Рассмотрим критерии, которые помогут определить предпочтение конкретного имплантата в каждом клиническом случае.

Качество материала изготовления

На начальных этапах развития имплантологии не было четкого понимания, какой материал лучше использовать для имплантов. В настоящее время этот вопрос решен: почти все зубные металлические импланты в мире изготавливаются из титановых сплавов. Различия касаются только покрытия внутрикостной части имплантов. Независимо от покрытия, титановая поверхность обязательно подвергается оксидации, что способствует хемотаксису клеток костной ткани к импланту.

Для улучшения взаимодействия с костной тканью разработаны защитные покрытия для внутрикостной поверхности зубных имплантатов. К таким покрытиям относятся гидроксилапатиты, содержащие кальций. Также используется специальное микропористое титановое покрытие, применяемое при производстве цилиндрических имплантов без внешней резьбы.

image

Форма импланта зуба

После многочисленных испытаний различных креплений имплантов к костной ткани врачи и ученые остановились на дентальных имплантах. Их внутрикостная часть имитирует корень зуба и имеет форму усеченного конуса, что подходит для одномоментной имплантации. Для предотвращения вращения имплантов начали использовать антивращающие насечки на наружной резьбе винтовых имплантов.

Функциональный дизайн

Для крепления протезного абатмента в импланте используется посадочная платформа, которая может быть внутренней или внешней. Она имеет различные формы: квадратную, шестиугольную или треугольную. Абатмент надежно фиксируется на платформе с помощью винта.

При установке импланта в переднюю часть челюсти для сохранения костной ткани в области шейки импланта применяется микрорезьба с овальным или квадратным профилем. Это помогает сохранить кость в зоне торца импланта, где расположена посадочная платформа для абатмента. Такой подход важен для эстетики десны при протезировании передних зубов. Небольшой шаг резьбы снижает риск рассасывания костной ткани в области границы десны, что позволяет дольше сохранять объем десны вокруг коронки, установленной на имплант.

Долговечность и срок годности

Грамотно установленные зубные корневидные импланты могут прослужить 25 лет и более при условии адекватного протезирования. Для этого необходимо соблюдать гигиенические меры, а также периодически проводить окклюзионную коррекцию и профессиональную гигиену в стоматологической поликлинике.

Рекомендации для пациентов, которым проведена имплантация зубов

После имплантации зубов, как и при любом другом стоматологическом вмешательстве, могут возникнуть незначительная отечность и умеренная боль. Эти симптомы обычно проходят в течение нескольких дней.

Для облегчения боли и воспаления можно использовать нестероидные противовоспалительные препараты. В течение суток после операции следует избегать горячей пищи. Твердые продукты лучше исключить до завершения остеоинтеграции. Также необходимо принимать назначенные стоматологом антибиотики для профилактики.

Особое внимание стоит уделить гигиене полости рта, чтобы избежать инфицирования и отторжения имплантов. Рекомендуется использовать щетку с одним рядом щетины и зубные нити (флоссы) для качественной очистки межзубных промежутков. Ультразвуковые щетки лучше не применять.

Стоматолог обязательно порекомендует использовать ирригатор полости рта. Этот прибор очищает межзубные промежутки с помощью струи жидкости под давлением от 2 до 10 атмосфер. Он эффективно удаляет остатки пищи, очищает зубодесневые карманы и массажирует десны. После имплантации лучше использовать специальные растворы вместо обычной воды.

Важно: ирригатор можно применять только после полного приживления имплантов. Более подробную информацию о процессе имплантации зубов можно получить, просмотрев данный видео-обзор:

Плисов Владимир Александрович, стоматолог

14,968 просмотров всего, 5 просмотров сегодня.

Эндооссальный тип

Эндооссальные имплантаты — одни из самых популярных. Их устанавливают как на верхнем, так и на нижнем зубном ряде. Эти импланты подходят для восстановления как одного зуба, так и всего зубного ряда при полной адентии. Существует два вида эндооссальных имплантов:

  1. Корневидные.
  2. Комбинированные.

Корневидные импланты напоминают корень зуба и представляют собой титановый винт. Они чаще всего выбираются специалистами. Их особенности:

  • Используются при высокой плотности костной ткани, но могут потребовать пластики при недостаточной высоте или ширине.
  • Корень вживляется в кость, поэтому их называют эндооссальными.
  • После установки титановый штифт фиксируется швами на десне.
  • Установка может проводиться с абатментом или без него.
  • Остеоинтеграция длится от 3 месяцев до полугода, после чего выполняется протезирование.

Комбинированные системы представляют собой сочетание пластиночных и корневидных имплантов и часто применяются при полной адентии.

Рейтинг зубных имплантов

Ответить на вопрос, какие зубные имплантаты лучше, сложно, так как выбор зависит от клинической ситуации, анатомии пациента и возможностей клиники.

Сравнивать израильские, корейские или немецкие имплантаты некорректно. Для выбора существуют объективные критерии:

  • Время приживления – бюджетные импланты устанавливаются быстро, но реабилитация может занять на 3-4 месяца дольше, чем у дорогих.
  • Возможность немедленной нагрузки – важный момент для пациентов, желающих установить протезы за один визит.
  • Экспресс-имплантация – возможность установки штифта сразу после удаления зуба.
  • Гарантия – ведущие компании предлагают пожизненное обслуживание на каждый штифт.

Что касается рейтингов, большинство экспертов группируют производителей по странам и критериям, таким как процент приживаемости, стоимость и отзывы стоматологов.

Тройка лидеров по всем показателям:

  1. Astra Tech (Швеция)
  2. Straumann (Швейцария)
  3. Nobel Biocare (США)

Среди элитных брендов:

  1. Xive (Германия)
  2. Ankylos (Германия)
  3. Impro (Германия)
  4. Biohorizons (США)

Бюджетный сегмент представлен в большинстве российских стоматологий, с лучшими показателями у таких марок, как:

  1. Alpha Bio (Израиль)
  2. Osstem (Южная Корея)
  3. Dentium (Южная Корея)

Врачи отмечают, что любой ТОП производителей условен, и рейтинги ориентированы на клиники, а не на пациентов. Цена важна, но не всегда является решающим фактором – у недорогих брендов показатели приживаемости и долговечности могут быть сопоставимы с элитными марками.

Ссылка на основную публикацию
Похожее