Пн-пт: 09:00—20:00; сб: 10:00—16:00 по предварительной записи
whatsapp telegram vkontakte email

Ретикулоциты 0 в анализе крови

Анализ крови на ретикулоциты

Подсчет ретикулоцитов в мазке крови не является обязательным при гематологическом исследовании, но входит в общий клинический анализ. Специальное обозначение в анализе делается только при наличии определенных подозрений у врача.

Содержание молодых эритроцитов в крови отображается в процентах относительно зрелых клеток, в количественном выражении на 1000 красных клеток (в промилле) или как ретикулоцитарный индекс. Показатели скорости продукции ретикулоцитов помогают оценить состояние почек и костного мозга, а также активность разрушения эритроцитов.

Причины исследования

Обследование на количество RTC в крови необходимо для проверки работы костного мозга и почек в производстве кровяных клеток и эритропоэтина в следующих случаях:

  • при подозрении на анемии различного происхождения;
  • для контроля медикаментозной терапии дефицита железа, витамина В12 и фолиевой кислоты;
  • при приеме эритропоэтиносодержащих препаратов и эритросупрессоров;
  • при сильных внешних кровотечениях или подозрении на внутренние;
  • при необходимости приема препаратов, нейтрализующих токсины от укусов ядовитых насекомых или змей;
  • для контроля выработки эритроцитов при пересадке костного мозга или почки;
  • для диагностики онкологических заболеваний.

Последний пункт касается метастазирования некоторых раковых опухолей в кроветворные органы.

Способ выявления

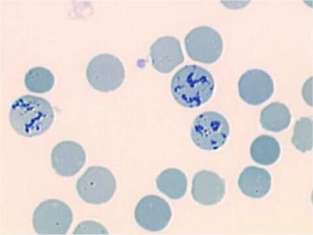
При потере ядра к кровяным клеткам применяются методы окраски только кислыми красителями. Подкрашивание мазка крови позволяет обозначить элементы эритроидного ряда, которые затем обнаруживаются с помощью световой микроскопии. Для выделения ретикулоцитов из общей массы эритроцитов используются специальные препараты, меняющие цвет зернистой структуры клеток.

Процесс выявления включает смешивание кровяной плазмы с бриллиантовым крезиловым синим или акридиновым оранжевым красителем инвитро (в пробирке) или на стекле в пропорциях: 1 часть крови к 10 частям красителя.

Методы на стекле и инвитро различаются. В первом случае смешанные мазки крови с красителем помещают во влажную среду на 10 минут, затем сушат и подсчитывают клетки под микроскопом. Во втором варианте состав в пробирке оставляют на срок до 3 часов, затем повторно смешивают, делают мазок и подсчитывают.

Когда звёздчатые клетки ретикулоцитов становятся различимы, и определяется степень их зрелости (по структуре подкрашенного БВ), можно получить информацию о состоянии костного мозга.

Ретикулоциты окрашены выявляющими красителями.

image

Повышение ретикулоцитов у взрослых

У взрослого человека нормальное количество ретикулоцитов в крови зависит от пола: у женщин оно составляет 18–65 тысяч на миллилитр, у мужчин — 22–70 тысяч. По отношению к зрелым эритроцитам ретикулоциты составляют 0,5–2% у женщин и 0,8–1,9% у мужчин.

Отклонение от нормы может быть вызвано различными факторами. Основные причины повышения уровня ретикулоцитов включают:

  • обширную кровопотерю;
  • операцию на селезенке или ее удаление;
  • анемию;
  • рак и опухоли костного мозга;
  • врожденные заболевания костного мозга;
  • отравление ядами, вызывающими распад эритроцитов;
  • кислородное голодание сердца, мозга, легких или почек;
  • инфекции (особенно малярия);
  • воспалительные процессы;
  • прием некоторых препаратов: жаропонижающих, железосодержащих, содержащих фолиевую кислоту или витамин B12;
  • терапию с использованием гормона эритропоэтина.

При обильной кровопотере организм начинает активно восстанавливать объем крови, увеличивая производство красных кровяных клеток, что иногда приводит к значительному превышению нормы. В таких случаях говорят о ретикулоцитарном кризе, который может возникать как при восстановлении объема крови, так и при терапии анемии с целью повышения уровня железа.

Ретикулоцитарный криз считается положительным признаком, указывающим на успешную борьбу организма за здоровье. Если высокий уровень ретикулоцитов вызван заболеванием, необходимо начать лечение. Врач должен провести полное обследование и назначить курс терапии.

При инфекционных заболеваниях применяют антибактериальное лечение и восстанавливают иммунитет. Воспалительные процессы требуют антибиотиков или хирургического вмешательства. Отравление гемолитическими ядами лечится детоксикацией, абсорбентами и комплексом витаминов. В тяжелых случаях высокий уровень кровяных телец не понижается искусственно, чтобы избежать осложнений.

Важно помнить, что повышенный уровень незрелых эритроцитов не всегда свидетельствует о плохом состоянии организма. Это скорее индикатор процесса кроветворения, который врачи могут наблюдать и комментировать. Лечение направлено на устранение причины повышения уровня ретикулоцитов.

Повышенный уровень ретикулоцитов в крови: причины и лечение

Постлучевой период может сопровождаться ретикулоцитозом.

Ретикулоцитоз — это повышение уровня ретикулоцитов, которое может быть вызвано следующими факторами:

  • воспалительные процессы;
  • кровотечения;
  • гемолитическая анемия (включая желтуху новорожденных);
  • новообразования в костном мозге;
  • восстановление после анемии;
  • последствия лучевой терапии;
  • гемолиз;
  • курение;
  • алкоголизм.

На уровень ретикулоцитов также влияют прием гормональных препаратов, жаропонижающих средств и недавние стрессы. Повышенный синтез ретикулоцитов может быть как негативным, так и позитивным. Максимальный рост ретикулоцитов наблюдается на 4-5 день лечения анемии, что указывает на эффективность терапии. Увеличение показателей на 3 день после кровотечения свидетельствует о восстановлении крови.

Лечение должно быть направлено на устранение причины высокого уровня ретикулоцитов. Кровопотеря обычно требует переливания донорской крови. Гемолитическая анемия, сопровождающаяся ускоренным разрушением эритроцитов, требует тщательной диагностики органов брюшной полости, мазка костного мозга и дополнительных анализов. В терапии могут использоваться глюкокортикоидные гормоны, иммунодепрессанты и антибиотики.

image

Ретикулоцитоз

Найдено (45 сообщений)

: Сергей Вадимович, спасибо за ответы и за то, что не послали меня куда-то далеко. На самом деле, я скоро попаду в психушку от неопределенности, в которой… открыть (еще 19 сообщений)Последние 5:
: 13 января 2012 г. / Елена
: … количество ретикулоцитов было 38 промилле. Это указывает на ретикулоцитоз при отсутствии анемии. Получается, что «… следует учитывать, что ретикулоцитоз без анемии всегда требует дообследования, так как …
: … была удивлена, гемоглобин поднялся до 140-145, при этом ретикулоцитоз был до 50 промилле, эритроциты 4,5 млн.

1 вопрос: как такое возможно? Ведь повышенный **ретикулоцитоз** при отсутствии анемии (что для меня очень странно в … открыть **(еще 1 сообщение)Последние 5:**

: Добрый вечер! Подскажите, пожалуйста, ваше мнение по поводу анализа крови (терапевт сказала, что пока волноваться не стоит, а нужно сдать анализ еще раз через 2 недели).… открыть
: 22 июня 2011 г. / Екатерина…
: Две или три недели назад, перед сдачей анализа, я болела ангиной. Извините, что переспрашиваю по поводу ретикулоцитов: в клинико-лабораторном заключении указано «незначительно выраженный ретикулоцитоз». Стоит ли переживать по этому поводу?
: Здравствуйте, уважаемый доктор. Прошу вас помочь мне понять, что происходит с моим организмом. Возраст 47 лет. Жалобы на быструю утомляемость даже при незначительных… открыть (еще 10 сообщений)Последние 5:
: 2 апреля 2011 г. / Георгий
: … был направлен к гематологу с подозрением на гемолитическую анемию. По результатам исследований уровня эритроцитов и наличия ретикулоцитоза пришли к выводу о наличии гемолитической анемии, хотя смущает нетипично высокий для анемии уровень гемоглобина. На …
: Доктор, скажите, пожалуйста, моя мама перенесла резекцию желудка и стеноз 12-перстной кишки, после этого у нее постоянно падает гемоглобин. Недавно сдала общий анализ… открыть (еще 8 сообщений)Последние 5:
: 27 марта 2011 г. / КАМИЛЛА
: НЕТ, ВРОДЕ ВСЕ НОРМАЛЬНО, но даже желудок не всегда болит. Ретикулоцитоз — это опасно? Мама жалуется на головокружение и усталость.
: 27 марта 2011 г. / Сергей Кузнецов…
: Небольшой — но ретикулоцитоз. А признаков кровопотери не было? Анализ кала на скрытую кровь делали?
: Витамин В12 проставила 10 дней по 1000 в/м. Ретикулоцитоз не наступил. Ретикулоциты от 18.02.2011 г. — 20%. Дальше продолжать по 1000??? Не навредила ли я своей маме (82 года, диагноз — В12-дефицитная анемия) этим витамином? Может, пора на 500 мкг … открыть
: 24 февраля 2011 г. / Сергей Кузнецов…
: 20% или 20 промилле? Если 20%, то это значительный ретикулоцитоз. Сдается мне, что вы что-то путаете. Посмотрите анализы внимательнее. А еще лучше — просто покажите их, чтобы избежать недопонимания. На основании чего ставился диагноз дефицита B12? …
: … : относительный и абсолютный моноцитоз, относительная нейтропения и лимфоцитоз, плазматизация единичных лимфоцитов, гипохромная микроцитарная анемия, анизоцитоз эритроцитов, ретикулоцитоз. В тот же день обмен железа: железо сыворотки: 4,0 (9,0…21,5); ОЖСС 75,0 (44,8…76,1), … открыть
: Добрый день! Моему сыну 1 год и 1 месяц. Он заболел. 10 ноября поднялась температура 38,7, сбили нурофеном, 11 ноября температуры и других симптомов не наблюдалось. 12 ноября температура… открыть
: 7 декабря 2010 г. / Анна
: … : относительный и абсолютный моноцитоз, относительная нейтропения и лимфоцитоз, плазматизация единичных лимфоцитов, гипохромная микроцитарная анемия, анизоцитоз эритроцитов, ретикулоцитоз. В тот же день обмен железа: железо сыворотки: 4,0 (9,0…21,5); ОЖСС 75,0 (44,8…76,1), …

Норма ретикулоцитов в крови по возрасту и полу: таблица

Нормы ретикулоцитов в крови зависят от возраста и пола (см. таблицу). Обратите внимание на единицы измерения: они могут быть в процентах (%) и промилле (‰).

Возраст Количество в % Количество в ‰
1-2 дня 3-7 30-70
3-6 дней 1-3 10-30
7-8 дней 0-1 0-10
9 дней – 5 недель 0,2-2 2-20
5-7 недель 0,3-3,5 3-35
8-10 недель 0,4-4,8 4-48
11-12 недель 0,3-4,2 3-42
13-15 недель 0,3-3,6 3-36
16 неделя – 1 год 0,2-2,8 2-28
С 1 года у мужчин 0,51-1,81 5,1-18,1
С 1 года у женщин 0,5-1,7 5-17

У взрослых уровень ретикулоцитов стабилен, тогда как у новорожденных и детей до года он варьируется. Это связано с развитием кроветворных органов — селезенки и костного мозга. Кровь для анализа обычно берут из вены. Современный метод определения ретикулоцитов основан на цитометрии, а не на окрашивании, как это было ранее.

Обозначение ретикулоцитов в анализе крови

В анализе крови ретикулоциты обозначаются как RET. Также указывается общее количество эритроцитов – RBC, что означает красные кровяные тельца. Процентное содержание или промилле незрелых ретикулоцитов представлено второй цифрой. Этот тест не входит в общее клиническое исследование крови и требует отдельного направления.

Как происходит забор крови на ретикулоциты

Для анализа ретикулоцитов кровь обычно берут из капилляров среднего или безымянного пальца. Однако в крупных лабораториях чаще используют венозную кровь, так как это обеспечивает более точные результаты диагностики.

Подготовка к анализу

Для достоверности итогов обследования учитываются:

Подсчет ретикулоцитов в мазке крови

Для подсчета ретикулоцитов кровь смешивают с антикоагулянтом и отправляют в лабораторию. Ранее использовалась методика окраски по Романовскому или с метиленовым синим.

Незрелые эритроциты отличаются от зрелых наличием остаточных клеточных элементов, таких как митохондрии, нити ДНК и части ядра. Эти элементы могут образовывать сеточку, что на латыни называется ретикулум, и дало название клеткам. Также возможны включения, напоминающие песок или зерна.

В настоящее время для анализа крови применяется автоматический подсчет, известный как метод проточной цитометрии. Клеточные элементы перемещаются в узком капилляре, который просвечивается лазерным лучом. Гематологический анализатор самостоятельно определяет процент ретикулоцитов.

Ретикулоциты при анемии

При анемии важно знать уровень ретикулоцитов, так как он показывает, есть ли в костном мозге резерв для пополнения недостатка эритроцитов. Низкий уровень ретикулоцитов указывает на то, что организм не сможет самостоятельно восстановить состав крови, и потребуется введение эритроцитарной массы или стимуляция образования эритропоэтином.

Мнение эксперта

Алена Арико, эксперт в области кардиологии

При повышенном уровне ретикулоцитов (выше нормы) необходимо выявить явную или скрытую потерю крови, массивное разрушение красных кровяных телец (гемолиз) из-за токсических веществ или аутоиммунного воспаления. Если эти причины исключены, следует искать опухолевый процесс.

Анемии классифицируются в зависимости от функции костного мозга:

  • Арегенераторные – кроветворение угнетено из-за врожденной апластической анемии или под воздействием токсинов, противоопухолевых средств, облучения, вирусов или опухолей; ретикулоциты отсутствуют полностью.
  • Гипорегенераторные – возникают из-за выраженного дефицита витаминов и железа (фолиеводефицитная, железодефицитная, В12-дефицитная); уровень ретикулоцитов до 0,5%.
  • Норморегенераторные – уровень ретикулоцитов в норме (0,5-2%); недостаток эритроцитов вызван потерей крови (геморрагическая анемия).
  • Гиперрегенераторные – содержание ретикулоцитов превышает 2%; чаще возникает при разрушении клеток (гемолитическая анемия).

Диагностика, обозначение в анализе

Количество ретикулоцитов указывается в процентах от общего числа эритроцитов и обозначается как RTC. Этот показатель не входит в стандартный клинический анализ крови.

Если необходимо определить уровень ретикулоцитов, это указывается в направлении на анализ. В некоторых случаях назначается отдельный анализ только на количество ретикулоцитов.

Для анализа берут кровь из вены или из пальца. Процедура стандартная и не вызывает сильных болезненных ощущений.

Анализ проводится с помощью мазка крови, в котором подсчитываются незрелые клетки. Клетки предварительно окрашиваются специальным щелочным красителем.

При окрашивании на стекле сначала наносят краситель, затем мазок крови, и все помещают в камеру с повышенной влажностью.

При окрашивании в пробирке сначала добавляют краситель, затем каплю крови и тщательно перемешивают. Смесь выдерживают некоторое время, после чего снова перемешивают и делают мазки. Мазки рассматривают под микроскопом и подсчитывают клетки.

Зрелые эритроциты окрашиваются в зеленый цвет, незрелые — в сине-фиолетовый.

Перед сдачей крови необходимо провести подготовку:

  1. За сутки до анализа следует отказаться от алкоголя, так как он может нарушить свертываемость крови и повлиять на результаты.
  2. Кровь сдают натощак с утра. Рекомендуется не есть за 8-10 часов до анализа. Разрешена только чистая вода; соки, минералка, кофе и сладкий чай исключаются.
  3. Курение нежелательно, так как может повлиять на уровень ретикулоцитов. Заядлым курильщикам рекомендуется воздержаться от курения хотя бы за час до анализа.

Норма по возрасту и превышение нормы

Норма ретикулоцитов в крови зависит от возраста и пола.

Уровень ретикулоцитов варьируется в зависимости от различных факторов. В основном, норма колеблется в зависимости от возраста, а после полового созревания — и от пола.

У девочек регулярные менструации приводят к ежемесячным кровопотерям, что стимулирует более активную выработку ретикулоцитов в костном мозге.

Ретикулоциты в анализе указываются в процентах:

  • У новорожденных — 0,15-1,5 %.
  • К году — 0,2-1%.
  • У мужчин — 0,24-1,7%.
  • У женщин — 0,12-2,05%.

Ретикулоцитоз (превышение нормы) определяется при содержании незрелых клеток более 60%. Однако высокий уровень ретикулоцитов может быть как негативным, так и позитивным признаком.

Например, резкое повышение уровня этих клеток может свидетельствовать о положительном эффекте лечения некоторых видов анемий. Витамин В12 и препараты железа также способствуют увеличению уровня ретикулоцитов.

Причины повышения уровня ретикулоцитов:

  1. Кровотечение. При внутренних или незначительных кровотечениях уровень ретикулоцитов начинает повышаться на 2-3 день. Это связано с недостатком кислорода в тканях, что активизирует выработку эритропоэтина, сигнализирующего костному мозгу о необходимости увеличения производства ретикулоцитов. При хроническом кровотечении ретикулоцитоз становится постоянным.

  2. Гемолиз. Это процесс быстрого разрушения эритроцитов. Организм пытается компенсировать потери, активно вырабатывая эритропоэтин и ретикулоциты. Причины гемолиза могут быть различными: врожденные патологии, неблагоприятные факторы окружающей среды, инфекции, нарушения иммунной системы.

  3. Онкологические заболевания. Злокачественные опухоли могут метастазировать в костный мозг, нарушая его функции. В зависимости от пораженного отдела мозга уровень ретикулоцитов может повышаться или понижаться.

Причины понижения нормы ретикулоцитов

Ретикулоциты — важный показатель, отражающий регенеративные свойства костного мозга.

Ретикулоцитопения диагностируется только при полном отсутствии ретикулоцитов, так как нижняя граница нормы очень низка. В отличие от ретикулоцитоза, ретикулоцитопения не имеет положительного значения.

Снижение уровня ретикулоцитов обычно указывает на нарушения в процессе кроветворения.

Причины снижения уровня показателя:

Немного о трансформации

Ретикулоциты превращаются в эритроциты под воздействием гормона эритропоэтина. В них обнаруживаются гранулярные, нитевидные образования, что отличает их от эритроцитов, в которых при световой микроскопии внутриклеточные структуры не видны.

Ретикулоциты образуются из нормобластов в костном мозге, где дозревают за 1-2 дня, после чего попадают в периферическую кровь. Эритропоэтин постоянно выделяется почками в небольших количествах, а при кислородном голодании его уровень значительно возрастает.

При разрушении эритроцитов, отвечающих за насыщение тканей кислородом, процесс синтеза новых ретикулоцитов ускоряется для восполнения потерь. Активность этого процесса можно оценить по анализу крови, что свидетельствует о состоянии костного мозга, почек и возможных процессах интенсивного разрушения эритроцитов.

Причины снижения

Виновников падения показателя ретикулоцитов много. Наиболее распространенные нарушения:

  1. Дефицит витамина B12 или фолиевой кислоты. При стойком недостатке развивается мегалобластная анемия, что приводит к нарушению кроветворения. Эритроциты останавливаются на стадии эритробласта, и их предшественники становятся менее функциональными. В результате организм «выпускает» недифференцированные мегалобласты, которые не могут выполнять свои функции. Это вызывает ишемические процессы, усугубляющие ситуацию. Разорвать замкнутый круг можно, устранив первопричину.

  2. Нарушения активности щитовидной железы. Недостаточная выработка гормонов Т3 и Т4 или недостаточная стимуляция со стороны гипофизарного ТТГ приводит к серьезным лабораторным нарушениям, особенно при активном патологическом процессе.

  3. Неумеренное потребление алкоголя. Зависимые пациенты чаще сталкиваются с нарушениями кроветворения. Даже у условно здоровых людей, употребляющих алкоголь, может наблюдаться снижение количества ретикулоцитов, даже после одного эпизода.

  4. Хронические инфекционные воспаления. Длительное течение таких воспалений вызывает компенсаторные реакции организма, которые мешают созреванию эритроцитов. Организм сосредотачивается на борьбе с инфекцией. Даже после лечения показатели могут не нормализоваться сразу, на это может уйти от нескольких недель до пары месяцев. С участием гематолога сроки сокращаются.

  5. Аутоиммунные воспаления. Эти нарушения связаны с дисфункцией защитных сил организма и могут быть первичными или вторичными. В любом случае количество ретикулоцитов снижается.

  6. Лучевая болезнь. Воздействие радиации, особенно при лечении рака, негативно сказывается на костном мозге. Облучение угнетает чувствительные клетки, что временно снижает синтез и скорость созревания всех клеток, включая эритроциты.

  7. Химиотерапия. Лекарства для лечения рака угнетают выработку ретикулоцитов, снижая пролиферативную активность быстро делящихся клеток, включая волосы и ногти. Это побочный эффект, от которого невозможно полностью защититься, хотя при небольших дозах ретикулоциты могут оставаться в норме.

  8. Эндокринные расстройства. Сахарный диабет, особенно при поражении почек, может привести к ухудшению состояния кроветворения. Запущенные процессы могут вызвать необратимые нарушения без своевременного лечения.

  9. Отравление ядовитыми веществами. Мышьяк, ртуть, свинец и другие токсичные элементы оказывают разрушительное воздействие на костный мозг.

Эти причины — лишь верхушка айсберга. Существует множество других факторов, влияющих на уровень ретикулоцитов, который является лишь малой частью общей картины.

Клинико-диагностическое значение

Ретикулоцитарный индекс

Ретикулоцитарный индекс — это произведение процента ретикулоцитов и показателя гематокрита, который отражает объем эритроцитов в единице объема крови. Нормальный уровень гематокрита составляет 45-48%.

При снижении гематокрита и числа эритроцитов количество ретикулоцитов увеличивается, но это повышение является ложным. Это связано с относительно стабильным числом молодых клеток в крови. Ретикулоцитарный индекс позволяет получить точную картину кроветворения.

При интерпретации результатов важно помнить, что ретикулоциты имеют короткий период жизни — около 2 дней, в то время как зрелые эритроциты живут около 3 месяцев. Поэтому индекс продукции костного мозга отражает только недавнюю активность этого процесса.

image

Ссылка на основную публикацию
Похожее