Пн-пт: 09:00—20:00; сб: 10:00—16:00 по предварительной записи
whatsapp telegram vkontakte email

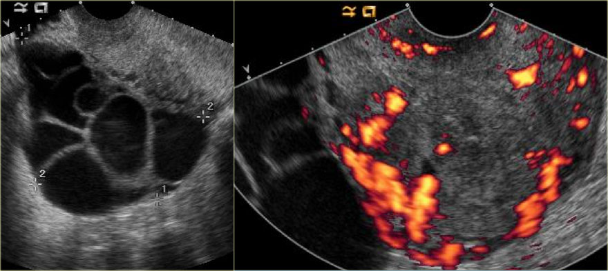
Желтое тело узи

В каких случаях нужно лечить новообразование

Пациенткам с бессимптомными кистами небольшого размера рекомендуется наблюдение у гинеколога в течение нескольких менструальных циклов. Это связано с высокой вероятностью самопроизвольного регресса образования. Если киста не рассосалась самостоятельно, необходимо лечение.

Медикаментозное лечение и физиотерапия

Для лечения неосложнённой лютеиновой кисты применяют гормональные препараты, такие как Дюфастон, аналог натурального прогестерона. Также могут быть назначены противовоспалительные средства, например, Ибупрофен или Вольтарен, и витаминотерапия.

Для успешного рассасывания кисты иногда используют физиотерапевтические методы, такие как электрофорез, магнитотерапия и орошения противовоспалительными препаратами и травами.

Физиотерапия с тепловыми процедурами строго противопоказана. Пациентке нельзя:

  • делать грязевые и озокеритовые обёртывания;
  • посещать сауны и парилки;
  • принимать горячие ванны;
  • использовать гирудотерапию (лечение пиявками).

Во время лечения женщине следует ограничить половые контакты и избегать физических нагрузок и резких движений, чтобы не вызвать перекрут ножки кисты или её разрыв.

Хирургическое лечение

Если консервативное лечение неэффективно, врач рекомендует хирургическое удаление кисты. При отсутствии осложнений кистэктомия выполняется щадящим лапароскопическим методом. Во время операции киста вылущивается из здоровых тканей яичника.

При осложнённом течении кисты, таком как некротические процессы в тканях яичника, перфорация новообразования или кровотечение, показана экстренная операция (лапаротомия) с удалением поражённого яичника (оофорэктомия).

Боровая матка, родиола, зимолюбка

Для эффективного лечения кисты жёлтого тела рекомендуются растения: боровая матка, родиола (красная щётка) и зимолюбка. Эти травы содержат фитоэстрогены, флавоноиды, кумарины и органические кислоты, способствующие рассасыванию образования.

Существует схема лечения, основанная на периодах менструального цикла. Каждый день необходимо готовить настой из выбранной травы. Для этого чайную ложку травы заливают стаканом кипятка, укутывают и настаивают 20–30 минут, затем процеживают и употребляют. Сырьё можно приобрести в аптеке.

Лечение начинается сразу после окончания менструации. В первую неделю принимают по 1/3 стакана настоя боровой матки трижды в день за полчаса до еды или через час после неё. Во вторую неделю — настой родиолы, а на третьей — настой зимолюбки по той же схеме. После следующей менструации курс можно повторить. Для повышения эффективности в настои можно добавлять витамин Е (по 1 ампуле).

Сок лопуха

Такое лечение лучше проводить летом, так как сок хранится в холодильнике не более 2–4 дней. Для приготовления сока свежесорванные чистые (вымытые и просушенные) листья лопуха нужно перемолоть в мясорубке и отжать через несколько слоёв марли. Принимать препарат следует по следующей схеме:

  • первые 2 дня после месячных — дважды в день по чайной ложке за полчаса до еды или через час после неё;
  • 3-й и 4-й дни — трижды в день по чайной ложке;
  • с 5-го дня и до начала следующих месячных — трижды в день по столовой ложке.

После окончания месячных курс можно повторить.

Возможные осложнения и их признаки

На сонограмме, выполненной молодой беременной женщине, выявлены множественные кисты в обоих яичниках. Справа обнаружено инвазивное образование в матке, сопоставимое с гестационной трофобластической болезнью. Заключение о заболевании основано на клинико-анамнестических данных (факт беременности) и сонограмме, на которой отмечены признаки инвазивной формы гестационной трофобластической болезни.

image

Нормальная анатомия и физиология яичников в репродуктивном возрасте

Прежде чем рассматривать патологические изменения, обсудим нормальную анатомию яичника. У женщины при рождении яичник содержит более двух миллионов первичных ооцитов. В каждом менструальном цикле созревает около десяти из них. Из зрелых Граафовых фолликулов только один становится доминирующим и достигает размера 18–20 мм к середине цикла, после чего разрывается, освобождая ооцит. Остальные фолликулы уменьшаются и замещаются фиброзной тканью. После выхода ооцита доминантный фолликул спадается, в его внутренней выстилке начинается разрастание грануляционной ткани с отеком, что приводит к образованию желтого тела менструации. Через 14 дней желтое тело претерпевает дегенеративные изменения, и на его месте остается мелкий рубец — белое тело.

Граафовы фолликулы — это небольшие кистозные образования, которые присутствуют в яичниках всех женщин репродуктивного возраста (в предменопаузальном периоде). Их размеры варьируют в зависимости от дня менструального цикла: доминирующий фолликул обычно не превышает 20 мм в диаметре к моменту овуляции (14-й день от начала менструации), остальные — не более 10 мм.

На УЗИ яичников визуализируются несколько анэхогенных простых кист (Граафовых фолликулов). Их не следует путать с патологическими кистами.

На МРТ яичники в Т2-взвешенных томограммах выглядят как гиперинтенсивные кисты с тонкими стенками, окруженные стромой яичника, которая дает менее интенсивный сигнал.

У некоторых женщин яичники могут интенсивно накапливать радиофармпрепарат (РФП) при ПЭТ, в зависимости от фазы менструального цикла. Для отличия этих изменений от опухолевого процесса важно учитывать анамнестические данные пациентки и фазу цикла (яичники активно накапливают РФП в его середине). Поэтому женщинам до менопаузы рекомендуется проводить ПЭТ в первую неделю цикла.

После менопаузы яичники практически не захватывают РФП, и любое увеличение его накопления вызывает подозрение на опухолевый процесс.

ПЭТ-КТ яичников: повышенное накопление радиофармацевтического препарата (РФП) в яичниках у женщины в предменструальном периоде является вариантом нормы.

Ссылка на основную публикацию
Похожее