Мальформация сосудов головного мозга — серьезное заболевание, способное вызвать неврологические нарушения и осложнения. В статье рассмотрим причины мальформаций, их симптомы, методы диагностики, современные подходы к лечению и прогноз для пациентов. Понимание этих аспектов важно для своевременного выявления и эффективного управления заболеванием, что может улучшить качество жизни и снизить риск серьезных последствий.
Как и из-за чего развивается патология
Сосудистая мальформация мозга формируется в результате множества факторов. Специалисты подчеркивают, что генетическая предрасположенность играет значительную роль в развитии этого заболевания, однако существуют и другие возможные причины. Хотя они до конца не изучены, можно выделить несколько гипотез:
- травмы, полученные женщиной во время беременности, которые могут негативно сказаться на состоянии плода;
- пол ребенка: существует мнение о том, что мальчики подвержены большему риску развития данной патологии;
- воздействие радиации и проживание в неблагоприятных промышленных районах;
- образ жизни матери: наличие вредных привычек может повысить вероятность возникновения заболевания;
- инфекционные заболевания, перенесенные матерью в период беременности.
Важно знать!
Медицинское сообщество также рассматривает длительный прием медикаментов как возможную причину, хотя этот фактор не имеет четких подтверждений. Как и другие упомянутые причины, они остаются на уровне предположений.
Мальформация сосудов головного мозга представляет собой аномалию, которая может возникать в результате генетических факторов или нарушений в процессе эмбрионального развития. Врачи отмечают, что такие аномалии могут проявляться в виде артериовенозных мальформаций, каверном или венозных мальформаций, что может приводить к серьезным неврологическим последствиям. Лечение зависит от типа и расположения мальформации, и может включать хирургическое вмешательство, эндоваскулярные методы или радиохирургические процедуры. Прогноз варьируется: в некоторых случаях возможно полное восстановление, в других — риск рецидива или развитие осложнений. Врачи подчеркивают важность ранней диагностики и индивидуального подхода к каждому пациенту для достижения наилучших результатов.

Формы болезни
В процессе классификации заболевания и изучения его причин выделяют три основные формы. Первая форма охватывает весь мозг, при этом очаги могут находиться как в глубине, так и ближе к коре. Артериовенозная мальформация головного мозга (АВМ) представляет собой состояние, при котором отсутствуют соединительные каналы между венами и артериями в мозговой ткани.
Киста головного мозга: причины, симптомы и методы лечения. Киста головного мозга — это внутричерепное образование, заполненное жидкостью. Она может проявляться через…
Второй тип заболевания — лимфатический. В данном случае опухоль может не образоваться, однако возникают проблемы с лимфатическими узлами. Третий тип — аномалия, известная как аномалия Арнольда-Киари. При этом мозжечок смещается в область затылка и оказывает давление на затылочную часть мозга.
| Аспект | Описание | Прогноз |
|---|---|---|
| Типы мальформаций | Артериовенозные мальформации (АВМ), Каверномы, Венозные ангиомы, Телеангиэктазии | Зависит от типа, размера, локализации и наличия кровоизлияний. |
| Причины | Врожденные (генетические мутации, нарушения эмбрионального развития), Приобретенные (редко, после травм или инфекций). | В большинстве случаев врожденные, точная причина часто неизвестна. |
| Симптомы | Головные боли, судороги, неврологический дефицит (слабость, онемение), кровоизлияния (инсульт), шум в голове. | Могут быть бессимптомными или проявляться остро при кровоизлиянии. |
| Диагностика | МРТ головного мозга, КТ-ангиография, Церебральная ангиография, Допплерография. | Точная диагностика необходима для определения типа и тактики лечения. |
| Лечение | Наблюдение: для бессимптомных или низкорисковых мальформаций. Хирургическое удаление: для доступных и высокорисковых. Эндоваскулярная эмболизация: закупорка сосудов. Радиохирургия (Гамма-нож, Кибер-нож): облучение мальформации. | Цель — предотвратить кровоизлияние и уменьшить симптомы. Выбор метода зависит от многих факторов. |
| Осложнения | Кровоизлияние (геморрагический инсульт), эпилепсия, гидроцефалия, неврологический дефицит. | Могут быть серьезными и угрожать жизни. |
| Прогноз | Зависит от типа мальформации, ее размера, локализации, наличия кровоизлияний и эффективности лечения. | От благоприятного (при бессимптомных и успешно пролеченных) до неблагоприятного (при обширных кровоизлияниях и тяжелых осложнениях). |
Классификация сосудистой мальформации
По морфологическим характеристикам мальформации делятся на три категории. Их описание выглядит следующим образом:
- артериовенозная фистула: вены образуют отростки и соединяются, формируя один сложный сосуд;
- артериовенозный свищ: артериолы (небольшие артерии) соединяются с венами, образуя единое целое;
- шунтирование: множество перетоков между артериолами и венулами (небольшими венами).
Что касается формирования опухолей, выделяют семь разновидностей:
- артериальная;
- артериовенозная фистулезная;
- артериовенозная рацемозная;
- артериовенозная мальформация;
- артериовенозная кавернозная;
- телеангиоэктазия;
- венозная.
Венозная мальформация сосудов головного мозга является наиболее распространенной формой. При этом две или более вен сливаются в одну из-за нарушений в кровотоке. Увеличенный поток в области опухоли препятствует поступлению достаточного питания к клеткам соседних участков, что может привести к внутренней гипоксии (кислородному голоданию).
Это интересно!
Артериовенозная мальформация сосудов головного мозга также является распространенным нарушением сосудистой системы. Артерия увеличивается в размерах, а ее стенки становятся более тонкими. Кровь циркулирует по выносящим венам, что увеличивает общий выброс.

Гамбургская классификация
Гамбургская классификация включает шесть категорий. Их названия представлены ниже:
- артериальный;
- венозный;
- шунтирующий венозный;
- капиллярный;
- лимфатический;
- комбинированный;
Кроме того, артериовенозные мальформации (АВМ) головного мозга классифицируются по глубине их расположения на глубокие и поверхностные. Также они могут быть одиночными или рассеянными в зависимости от типа сосудистых разветвлений. По степени поражения ткани выделяют ограниченные и диффузные формы.
Классификация ISSVA
ISSVA (Международное Общество Изучения Сосудистых Аномалий) представило новую классификацию заболеваний, которая изложена ниже:
| Ангиодисплазия | Кровоток | Задействованные сосуды |
| Мальформация | Быстрый | Артериальная, артериовенозная, фистула/свищ |
| Мальформация | Медленный | Капиллярная, венозная, лимфатическая, комбинированная |
| Опухоль | – | Гемангиомы |
Классификация основана на скорости кровотока и типах сосудов, участвующих в образовании патологической опухоли.
https://youtube.com/watch?v=4rUKpfLN-Yo
Классификация Шобингера
Предложенная Шобингером классификация позволяет определить наиболее эффективные методы лечения. Основное различие между этапами заключается в прогрессировании заболевания:
| Название стадии | Признаки и симптомы |
| Покой | Покраснение и воспаление кожи в области опухоли. Уменьшение объема крови |
| Экспансия | Пульсация сосудов, увеличение диаметра вен и артерий |
| Деструкция | Нарушение питания тканей. В редких случаях повреждение скелета |
| Декомпенсация | Сердечно-сосудистая недостаточность и увеличение левой нижней камеры сердца |
Важно!
Каждая последующая стадия включает в себя симптомы предыдущих. Четвертая стадия характеризуется наиболее выраженной аномалией.
Симптомы и диагностика
Ниже представлен список симптомов, которые могут указывать на наличие заболевания. При их появлении рекомендуется обратиться к врачу:
- изменения кожи: возникновение красных опухолей или язв;
- болевые ощущения;
- изменения в чувствительности;
- инфекционные изменения в области аномалий;
- нарушения центральной нервной системы: проблемы с речью или движением, паралич;
- сердечная недостаточность.
Данная болезнь часто протекает скрыто, и мальформация обычно выявляется только после разрыва сосудов. Это проявление известно как торпидное. Геморрагическая форма заболевания сопровождается ярко выраженными симптомами. Важно уметь распознавать эти признаки и своевременно обращаться за медицинской помощью. Последствия могут варьироваться: возможно полное выздоровление, но также существует риск летального исхода.
Осложнения
В процессе течения заболевания могут возникать сопутствующие проявления, которые косвенно связаны с основной болезнью. Эти проявления негативно сказываются на общем состоянии пациента:
- Внутренние кровотечения и аномальный кровоток. Эти проблемы возникают в результате разрыва сосудов.
- Гипоксия — нехватка кислорода для тканей мозга.
- Увеличенный риск паралича из-за давления на другие участки мозга.
Осложнения могут привести к серьезным последствиям, поэтому откладывать лечение недопустимо. При появлении симптомов пациенту следует незамедлительно обратиться к врачу для определения эффективных методов терапии.
Диагностирование
Мальформацию можно выявить на консультации у невропатолога. Одним из наиболее распространенных методов диагностики является артериография. Для этого в бедренную артерию вводится тонкая трубка с контрастным веществом. Затем этот инструмент направляется к головному мозгу, что позволяет с помощью химического состава в трубке получить необходимую информацию о состоянии.
Кроме артериографии, также проводится компьютерная томография. Эти два метода могут комбинироваться, и такой подход называется ангиографией. В этом случае к процессу диагностики подключается рентгеновское излучение. Также широко используется магнитно-резонансная томография, которая является эффективным способом выявления заболеваний.
Лечение
После установления диагноза врач анализирует различные факторы и принимает решение о методах лечения пациента. Лечение может осуществляться как хирургическим путем, так и с помощью медикаментов.
Хирургические вмешательства стараются не применять, прибегая к ним лишь в самых крайних случаях. Специалисты предпочитают лечить заболевание с помощью лекарственных средств, чтобы минимизировать риск возникновения осложнений.
Хирургические методы
Существует три метода, с помощью которых можно эффективно устранить мальформацию сосудов. А именно:
- Резекция: это сложная нейрохирургическая процедура, которая используется в случаях, когда проблемный участок находится на небольшой глубине.
- Эмболизация: этот этап служит подготовкой к основной операции. В сосуды вводятся специальные вещества, которые блокируют кровоток, тем самым останавливая его.
- Радиохирургия: это высокоточная операция, которая применяется при глубоком расположении сросшихся сосудов. В этом случае на пациента воздействуют потоками протонов, что позволяет разрушить как сами сосуды, так и очаг заболевания.
Важно!
Специалисты выражают опасения по поводу возможных осложнений, связанных с хирургическим вмешательством, поэтому в первую очередь назначают курс медикаментозного лечения. После операции продолжается наблюдение за состоянием пациента.
Медикаментозные методы
При назначении медикаментов врачи применяют симптоматический подход к лечению. В этом контексте терапия адаптируется под каждого пациента:
- Если у человека наблюдается повышенное давление на участки мозга и возникают головные боли, ему прописываются обезболивающие средства;
- В случае судорог и других неврологических нарушений назначается специализированная противосудорожная терапия по рекомендации врача.
Когда симптомы не проявляются явно, пациент проходит регулярные осмотры у врача, чтобы минимизировать риск возникновения осложнений.
Причины, симптомы и лечение аневризмы сосудов головного мозга. Заболевания головного мозга считаются одними из самых серьезных для здоровья и жизни человека, вызывая значительный дискомфорт,…
Профилактика
Меры по предотвращению риска заболеваний актуальны и для будущих матерей. Мальформации могут быть связаны с условиями, в которых женщина находится во время беременности. Влияние этих факторов на развивающийся плод может стать причиной артериовенозных мальформаций (АВМ). Основные рекомендации приведены ниже:
- избегать чрезмерных физических нагрузок;
- минимизировать стресс, депрессию и другие психические расстройства;
- контролировать уровень артериального давления;
- придерживаться сбалансированного питания, включая продукты с содержанием натрия;
- отказаться от вредных привычек.
Поскольку точные причины заболевания до сих пор не установлены, профилактические меры направлены на снижение общих рисков.
Мальформация сосудов – это заболевание, которое затрагивает функционирование сосудистой системы и может вызывать нарушения в работе центральной нервной системы. Это, в свою очередь, может повлиять на поведение человека и угрожать его жизни. Важно регулярно посещать врача и следовать профилактическим рекомендациям, чтобы снизить вероятность возникновения АВМ.
Роль генетических факторов в развитии мальформаций
Генетические факторы играют значительную роль в развитии мальформаций сосудов головного мозга, включая артериовенозные мальформации (АВМ), кавернозные ангиомы и другие сосудистые аномалии. Исследования показывают, что наследственные предрасположенности могут влиять на структурные и функциональные характеристики сосудистой системы, что в свою очередь может приводить к образованию аномальных сосудистых структур.
Одним из ключевых аспектов является то, что некоторые генетические синдромы, такие как синдром Клиппеля-Треноне, синдром Рендю-Ослера и другие, ассоциированы с повышенным риском развития сосудистых мальформаций. Эти синдромы часто передаются по наследству и могут быть связаны с мутациями в определенных генах, отвечающих за развитие и ремоделирование сосудистой ткани.
На молекулярном уровне генетические изменения могут влиять на процессы ангиогенеза (образование новых кровеносных сосудов) и васкулогенеза (формирование сосудов из мезенхимальных клеток). Например, мутации в генах, кодирующих факторы роста, такие как VEGF (фактор роста эндотелия сосудов), могут нарушать нормальное развитие сосудов, что приводит к образованию мальформаций.
Кроме того, генетические факторы могут взаимодействовать с экологическими и физиологическими условиями, что также может способствовать развитию сосудистых аномалий. Например, воздействие токсинов, инфекций или других внешних факторов на фоне генетической предрасположенности может увеличить риск формирования мальформаций.
Современные методы генетического тестирования и молекулярной диагностики позволяют выявлять предрасположенности к сосудистым мальформациям на ранних стадиях, что открывает новые возможности для профилактики и раннего вмешательства. Понимание генетических механизмов, лежащих в основе этих аномалий, может помочь в разработке целевых терапий и улучшении исходов для пациентов с сосудистыми мальформациями головного мозга.
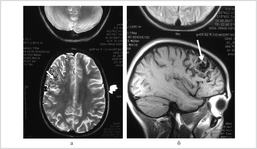
Современные методы визуализации сосудистых мальформаций
Современные методы визуализации сосудистых мальформаций головного мозга играют ключевую роль в диагностике и планировании лечения. Эти методы позволяют не только выявить наличие аномалий, но и оценить их размеры, локализацию и влияние на окружающие структуры. На сегодняшний день существует несколько основных технологий, которые используются для визуализации сосудистых мальформаций.
1. Магнитно-резонансная томография (МРТ)
МРТ является одним из самых информативных методов для диагностики сосудистых мальформаций. Она позволяет получить детализированные изображения мягких тканей и сосудов без использования ионизирующего излучения. Специальные режимы МРТ, такие как МР-ангиография, позволяют визуализировать сосудистую сеть и выявлять аномалии, такие как артериовенозные мальформации (АВМ) и кавернозные ангиомы. МРТ также помогает оценить состояние окружающих тканей и выявить возможные осложнения, такие как отек или геморрагия.
2. Компьютерная томография (КТ)
Компьютерная томография, особенно с контрастированием, также широко используется для диагностики сосудистых мальформаций. КТ-ангиография позволяет быстро и эффективно визуализировать сосудистую систему, что особенно важно в экстренных ситуациях. Этот метод может быть полезен для выявления острых состояний, таких как разрыв АВМ, когда требуется немедленное вмешательство. Однако КТ имеет ограниченную способность к визуализации мягких тканей по сравнению с МРТ.
3. Ангиография
Ангиография является инвазивным методом, который позволяет получить наиболее точные изображения сосудов. Этот метод включает введение контрастного вещества в сосуды и последующее рентгенографическое исследование. Ангиография позволяет не только диагностировать сосудистые мальформации, но и проводить терапевтические процедуры, такие как эмболизация, что делает её незаменимым инструментом в нейрохирургии.
4. Ультразвуковая допплерография
Ультразвуковая допплерография используется для оценки кровотока в сосудах головного мозга. Этот метод неинвазивен и может быть полезен для мониторинга состояния пациентов с уже известными сосудистыми мальформациями. Он позволяет выявить изменения в скорости и направлении кровотока, что может свидетельствовать о прогрессировании заболевания или развитии осложнений.
Каждый из этих методов имеет свои преимущества и недостатки, и выбор конкретной технологии зависит от клинической ситуации, состояния пациента и доступности оборудования. Важно отметить, что комбинированное использование различных методов визуализации может значительно повысить точность диагностики и улучшить результаты лечения сосудистых мальформаций головного мозга.
Перспективы исследований и новые подходы в лечении
Современные исследования в области лечения мальформаций сосудов головного мозга (МСГ) активно развиваются, что открывает новые горизонты для пациентов с этим заболеванием. Одной из ключевых направлений является использование минимально инвазивных методов, таких как эндоваскулярная терапия. Этот подход позволяет врачам проводить вмешательства через небольшие разрезы, что значительно снижает риск осложнений и сокращает время восстановления пациента.
Эндоваскулярная терапия включает в себя такие процедуры, как эмболизация, при которой сосуды, питающие мальформацию, блокируются с помощью специальных материалов. Это приводит к уменьшению или полному прекращению кровоснабжения аномальных сосудов, что, в свою очередь, снижает риск кровоизлияний и других осложнений. Исследования показывают, что этот метод может быть особенно эффективен для лечения артериовенозных мальформаций (АВМ), которые представляют собой наиболее распространенный тип МСГ.
Другим перспективным направлением является применение стереотаксической радиохирургии, такой как метод Гамма-ножа. Этот метод позволяет воздействовать на сосудистую мальформацию с помощью высокоэнергетического радиационного излучения, что приводит к постепенному закрытию аномальных сосудов без необходимости хирургического вмешательства. Исследования показывают, что радиохирургия может быть эффективной для пациентов, у которых традиционные хирургические методы нецелесообразны из-за расположения мальформации или общего состояния здоровья.
Кроме того, в последние годы активно изучаются молекулярные и генетические аспекты развития МСГ. Ученые исследуют, какие генетические мутации могут быть связаны с формированием мальформаций, что может привести к созданию новых методов диагностики и лечения. Например, таргетная терапия, направленная на конкретные молекулы, участвующие в патогенезе заболевания, может стать важным шагом вперед в лечении пациентов с МСГ.
Не менее важным аспектом является развитие мультидисциплинарного подхода к лечению мальформаций сосудов головного мозга. Команды специалистов, включая нейрохирургов, радиологов, неврологов и онкологов, работают вместе для разработки индивидуализированных планов лечения, что позволяет учитывать все аспекты состояния пациента и повышает шансы на успешный исход.
В заключение, перспективы исследований и новые подходы в лечении мальформаций сосудов головного мозга открывают новые возможности для пациентов. С каждым годом появляются новые методы и технологии, которые делают лечение более безопасным и эффективным, что, в свою очередь, улучшает качество жизни пациентов и их прогноз на будущее.







