Сосудистая энцефалопатия головного мозга — серьезное заболевание, связанное с нарушением кровоснабжения и метаболизма нейронов, что может привести к необратимым изменениям в мозговой ткани. Патология часто развивается незаметно и проявляется симптомами, которые можно спутать с другими заболеваниями. В этой статье рассмотрим основные причины, симптомы и последствия сосудистой энцефалопатии, а также прогноз для жизни пациентов, что поможет читателям распознать опасные признаки и обратиться за медицинской помощью.
Причины
Часто встречающейся причиной являются нарушения в сосудах, которые обеспечивают мозг кислородом. Однако заболевание может развиваться и по другим причинам:
- атеросклероз сосудов, расположенных в области мозга;
- желтуха;
- постоянное повышение артериального давления;
- нехватка глюкозы;
- сбои в обменных процессах;
- сахарный диабет;
- сильное воздействие радиации;
- психические расстройства, влияющие на нервную систему и вызывающие ее перевозбуждение;
- вирусные воспалительные процессы в печени;
- прием лекарств с нейротропным действием;
- синдром Мартланда, характерный для профессиональных боксеров;
- кома;
- травмы головы.
Обратите внимание!
Врожденная энцефалопатия может развиться в последние месяцы беременности из-за инфекционных заболеваний матери, травм при родах, обвития пуповиной, а также генетических нарушений обменных процессов.
Сосудистая энцефалопатия головного мозга представляет собой хроническое заболевание, связанное с нарушением кровообращения в мозге, что приводит к его постепенному повреждению. Врачи отмечают, что данное состояние часто возникает на фоне артериальной гипертензии, атеросклероза и других сосудистых заболеваний. Симптоматика может варьироваться от легкой когнитивной дисфункции до выраженных неврологических нарушений. Прогноз для жизни пациентов зависит от степени поражения мозга и своевременности лечения. При адекватной терапии и контроле факторов риска возможно замедление прогрессирования болезни и улучшение качества жизни. Однако в запущенных случаях заболевание может привести к серьезным осложнениям, включая инсульт. Врачи подчеркивают важность регулярных медицинских осмотров и активного участия пациентов в своем лечении для достижения наилучших результатов.

Признаки
Каждая стадия развития заболевания сопровождается определённым набором симптомов.
-
Первая стадия – степень компенсации. На этом этапе дисфункция мозговых клеток минимальна, и соседние клетки способны выполнять функции повреждённых. Первые проявления, которые можно заметить на этой стадии, включают: мигрени, шум в ушах, ощущение заложенности в ушах, бессонницу, повышенную утомляемость, общую слабость, колебания артериального давления и частые изменения настроения.
-
Вторая стадия – уровень субкомпенсации. На этой стадии поражение охватывает всё больше участков мозга. Изменения становятся заметными при помощи инструментальных методов диагностики. Симптомы становятся более выраженными: интенсивные головные боли, обмороки, снижение работоспособности из-за нарушений мыслительных процессов, развитие психических расстройств, ослабление мышц, а также проблемы с памятью, речью и координацией движений.
-
Третья стадия энцефалопатии – степень декомпенсации. На этом этапе большинство клеток уже повреждены, происходит атрофия мозга с необратимыми структурными изменениями. В дополнение к симптомам, наблюдаемым на предыдущих стадиях, появляются: ограничения в движении из-за мышечной слабости и онемения, утрата способности заботиться о себе, трудности в работе, снижение интеллектуальных способностей, возможное развитие слабоумия.
На третьей стадии пациент становится инвалидом и нуждается в постоянном уходе со стороны.
Что такое артериальная гипертензия и как её лечить у взрослых
Артериальная гипертензия, или гипертония, представляет собой заболевание сердечно-сосудистой системы, при котором…
| Аспект | Описание | Прогноз для жизни |
|---|---|---|
| Что такое сосудистая энцефалопатия | Хроническое прогрессирующее заболевание головного мозга, вызванное нарушением кровоснабжения (ишемией) и приводящее к повреждению нервных клеток. Часто развивается на фоне атеросклероза, гипертонии, сахарного диабета. | Зависит от стадии, тяжести, сопутствующих заболеваний и эффективности лечения. Может быть от относительно благоприятного до неблагоприятного. |
| Причины и факторы риска | Атеросклероз сосудов головного мозга, артериальная гипертензия, сахарный диабет, курение, ожирение, высокий уровень холестерина, наследственная предрасположенность, заболевания сердца. | Устранение или контроль факторов риска значительно улучшает прогноз. |
| Симптомы | Нарушения памяти, внимания, мышления, головные боли, головокружения, шум в ушах, нарушения сна, эмоциональная лабильность, снижение работоспособсти, в тяжелых случаях – деменция, инсульты. | Раннее выявление и лечение симптомов может замедлить прогрессирование заболевания. |
| Стадии заболевания | I стадия: Легкие когнитивные нарушения, головные боли, утомляемость. II стадия: Умеренные когнитивные нарушения, более выраженные неврологические симптомы. III стадия: Тяжелые когнитивные нарушения (деменция), выраженные двигательные и координационные расстройства. | Прогноз ухудшается с каждой последующей стадией. На III стадии значительно снижается качество жизни и продолжительность. |
| Диагностика | Неврологический осмотр, МРТ или КТ головного мозга, УЗДГ сосудов головы и шеи, лабораторные анализы (липидный профиль, глюкоза). | Точная диагностика позволяет своевременно начать лечение и улучшить прогноз. |
| Лечение | Медикаментозное (ноотропы, антиагреганты, гипотензивные, статины), немедикаментозное (изменение образа жизни, диета, физическая активность, отказ от вредных привычек), при необходимости – хирургическое (например, каротидная эндартерэктомия). | Регулярное и комплексное лечение замедляет прогрессирование, улучшает качество жизни и может продлить ее. |
| Прогноз для жизни | Общий: Зависит от стадии, наличия осложнений (инсульты, деменция), эффективности лечения и контроля факторов риска. При ранней диагностике и адекватном лечении: Возможно замедление прогрессирования и сохранение относительно высокого качества жизни на долгие годы. При поздней диагностике и отсутствии лечения: Прогрессирование заболевания, развитие деменции, высокий риск инсультов, значительное снижение продолжительности и качества жизни. | Важно: Сосудистая энцефалопатия – хроническое заболевание, которое требует постоянного наблюдения и лечения. Полное излечение невозможно, но можно контролировать его течение. |
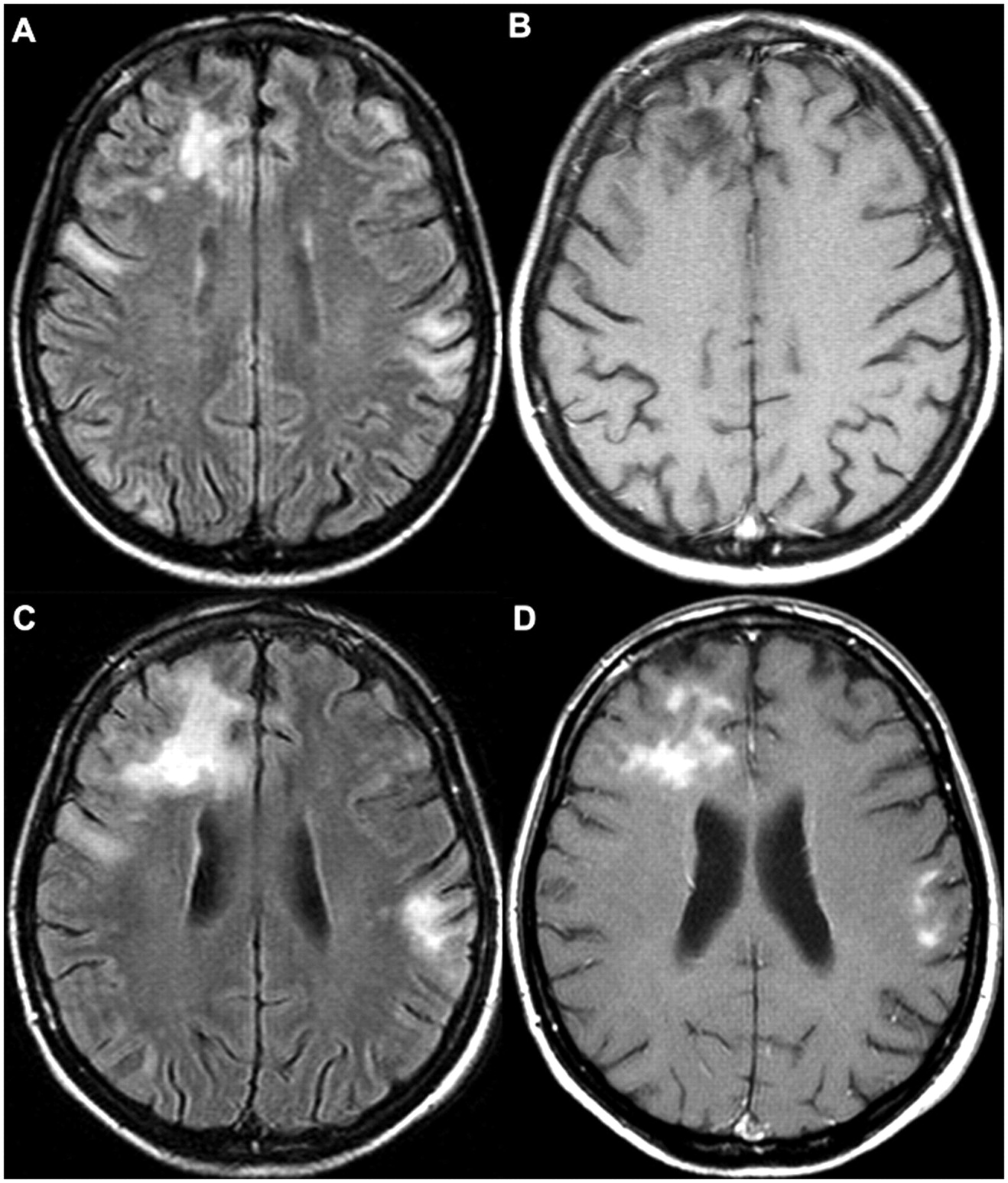
Диагностические мероприятия
Для диагностики сосудистых заболеваний головного мозга необходимо применять комплексный подход, включающий различные диагностические процедуры. Врач, занимающийся лечением, тщательно анализирует медицинскую историю пациента. Он проводит тесты на координацию движений, память и психологическое состояние, что позволяет выявить изменения в организме. Наличие других заболеваний у пациента на момент обследования также способствует формированию предварительного диагноза.
В процесс диагностики входят лабораторные анализы.
- Общий анализ крови, который позволяет определить уровень липидов. Превышение нормальных значений может свидетельствовать о развитии заболевания.
- Анализы для оценки содержания различных компонентов крови: глюкозы, молочной кислоты, кислорода, аммиака и электролитов. Эти тесты также помогают оценить уровень ферментов печени.
- Измерение артериального давления.
- Исследования на наличие наркотических веществ и токсинов в организме (проводится только при токсической форме энцефалопатии).
- Определение антител, которые негативно влияют на нейроны и могут вызывать слабоумие.
- Уровень креатинина указывает на возможные нарушения в работе почек.
Также применяются инструментальные методы диагностики.
- Ультразвуковое сканирование помогает выявить наличие бляшек и спазмов в сосудах, а также оценить состояние кровообращения и выявить причины тромбообразования.
- Магнитно-резонансная томография позволяет обнаружить опухоли и другие аномалии в мозге.
- Реоэнцефалография оценивает степень поражения сосудов и состояние кровообращения.
- Рентгенографическое исследование шейного отдела позвоночника.
- Электроэнцефалография помогает выявить нарушения в работе мозга.
Важно!
Для проведения всех перечисленных исследований необходимо направление от лечащего врача, основанное на показаниях медицинской истории пациента.
https://youtube.com/watch?v=ju27wsLqNts

Лечение
Продолжительность терапии напрямую зависит от стадии заболевания, возраста пациента и наличия сопутствующих заболеваний. В течение года больной проходит несколько курсов лечения, как в стационаре, так и амбулаторно:
- Прием медикаментов, направленных на улучшение кровообращения. Лекарства принимаются в течение одного- трех месяцев.
- Физиотерапевтические процедуры, включая электрофорез, иглоукалывание, магнитотерапию и озонотерапию.
- Хирургическое вмешательство, которое осуществляется для расширения пораженных сосудов головного мозга с целью улучшения кровоснабжения.
Для ускорения процесса выздоровления пациенту рекомендуется изменить образ жизни.
- Исключить алкогольные напитки и курение.
- Поддерживать активность, минимизируя время, проведенное в сидячем положении.
- Восстановить нормальный вес.
- Соблюдать диету, исключающую соль и жиры.
В процессе основного лечения можно дополнительно использовать народные средства для замедления прогрессирования заболевания.
- Настойка на основе клевера. Для приготовления потребуется цветки клевера и водка. Рецепт: один стакан цветков поместить в литровую банку и залить алкоголем. После 14 дней настаивания можно принимать по три раза в день до еды, разбавляя столовую ложку настоя в полстакане теплой воды.
- Настой из шиповника готовится из плодов растения и кипятка. Ингредиенты смешиваются в пропорции 2 столовые ложки ягод на поллитра горячей воды. Перед употреблением настой должен настояться 2-3 часа.
- Луковая настойка изготавливается из репчатого лука и меда. Рецепт: отжать сок из лука и смешать с медом в соотношении 1 к 2. Принимать одну столовую ложку средства три раза в день до еды.
Важно!
Эффективность народных средств при лечении сосудистой энцефалопатии головного мозга не подтверждена. Перед началом приема настоек или других рецептов обязательно проконсультируйтесь с врачом и следуйте его рекомендациям.
Прогноз
Прогнозирование состояния здоровья каждого пациента осуществляется индивидуально, поскольку причины возникновения заболевания, сопутствующие болезни, степень энцефалопатии и время начала лечения могут значительно различаться. Кардиолог, учитывая все эти аспекты, способен предоставить прогноз, который может варьироваться от шансов на полное выздоровление до вероятности летального исхода в результате необратимых изменений в мозге.
Как просто предотвратить инсульт головного мозга
Заболевания сердечно-сосудистой системы занимают лидирующие позиции среди недугов, которые могут привести к инвалидности или смерти…
Осложнения
При успешном лечении болезни на ранних стадиях возможно полное отсутствие осложнений. Однако, как и в случае с прогнозами, отдельные случаи поражения мозга энцефалопатией могут приводить к различным последствиям, включая серьезные психические расстройства. В зависимости от причин, вызвавших заболевание, могут возникать следующие осложнения:
- повышенная раздражительность;
- психические расстройства;
- возможная апатия;
- галлюцинации;
- судороги;
- при отсутствии своевременной помощи — кома;
- летальный исход.
Для детей это заболевание представляет собой большую угрозу, чем для взрослых, поскольку их иммунная система еще не полностью развита.
Профилактика
Соблюдение профилактических мер позволяет снизить риск развития заболеваний.
- Людям с сахарным диабетом необходимо ежедневно контролировать уровень сахара в крови и внимательно следить за дозировкой инсулина.
- Следует ограничить потребление алкогольных напитков, чтобы избежать алкогольной интоксикации, а также отказаться от курения.
- Не стоит торопиться во время приема пищи, чтобы предотвратить попадание еды в дыхательные пути.
- При наличии гипертонии важно регулярно проверять артериальное давление и не забывать о приеме назначенных врачом медикаментов.
- При взаимодействии с людьми, страдающими инфекционной формой энцефалопатии, следует избегать физического контакта, чтобы не заразиться вирусом.
- Ведение активного и здорового образа жизни.
Для каждой разновидности заболевания существуют свои методы профилактики.
Важно!
Предотвратить развитие сосудистой энцефалопатии головного мозга невозможно в случаях, когда причиной являются травмы головы или врожденные патологии.
Отзывы
Евгений, 34 года.
После автомобильной аварии у меня развилась энцефалопатия. К счастью, заболевание было выявлено практически сразу, что позволило пройти несколько курсов лечения. Этот инцидент заставил меня более внимательно относиться к своему здоровью, и теперь я ежегодно прохожу полный медицинский осмотр.
Никита, 58 лет.
В последние годы я злоупотреблял алкоголем. Недавно, после очередного запойного вечера, меня увезли на скорой помощи с диагнозом отравление. В результате врачи поставили диагноз энцефалопатия. Теперь мне пришлось отказаться от алкоголя. Я надеюсь, что смогу восстановиться.
Заключение
Сосудистая энцефалопатия мозга проявляется изменениями в психическом состоянии пациента. Это заболевание может возникать по различным причинам, среди которых инфекции, травмы, злоупотребление алкоголем и наркотиками. Профилактика болезни возможна при условии избегания основных факторов, способствующих ее развитию.
Типы сосудистой энцефалопатии
1. Хроническая сосудистая энцефалопатия
Хроническая сосудистая энцефалопатия (ХСЭ) является наиболее распространенной формой заболевания, возникающей в результате длительного недостатка кровоснабжения головного мозга. Она часто развивается на фоне артериальной гипертензии, атеросклероза и других сосудистых заболеваний. Основные симптомы ХСЭ включают когнитивные нарушения, такие как ухудшение памяти, внимание и способность к обучению, а также изменения в настроении и поведении пациента. Прогрессирование заболевания может привести к деменции и значительному ухудшению качества жизни.
2. Острые сосудистые энцефалопатии
Острые сосудистые энцефалопатии, как правило, возникают в результате острых нарушений мозгового кровообращения, таких как инсульт. Они могут быть ишемическими (вызванными блокировкой кровеносного сосуда) или геморрагическими (вызванными разрывом сосуда). Симптомы острых сосудистых энцефалопатий могут проявляться внезапно и включать паралич, нарушение речи, потерю сознания и другие неврологические расстройства. Прогноз в таких случаях зависит от быстроты оказания медицинской помощи и объема повреждений, понесенных мозгом.
3. Лакунарная энцефалопатия
Лакунарная энцефалопатия представляет собой специфическую форму хронической сосудистой энцефалопатии, которая возникает в результате поражения мелких сосудов головного мозга. Она характеризуется образованием лакун (пустот) в белом веществе мозга. Симптомы могут варьироваться от легких когнитивных нарушений до более серьезных неврологических расстройств. Лакунарная энцефалопатия часто ассоциируется с гипертонической болезнью и диабетом, и ее лечение направлено на контроль факторов риска и замедление прогрессирования заболевания.
4. Сосудистая энцефалопатия при цереброваскулярных заболеваниях
Сосудистая энцефалопатия может также развиваться на фоне других цереброваскулярных заболеваний, таких как венозная недостаточность или артериовенозные мальформации. Эти состояния могут приводить к нарушению нормального кровообращения в мозге и, как следствие, к развитию энцефалопатии. Симптоматика может быть разнообразной и зависит от конкретного заболевания и степени его выраженности. Лечение в таких случаях требует комплексного подхода, включая медикаментозную терапию и, в некоторых случаях, хирургическое вмешательство.
5. Прогноз и лечение сосудистой энцефалопатии
Прогноз для жизни при сосудистой энцефалопатии зависит от типа заболевания, степени его тяжести и своевременности лечения. Хронические формы, как правило, имеют более благоприятный прогноз при условии адекватного контроля факторов риска, таких как артериальная гипертензия и диабет. Острые формы, особенно инсульты, требуют неотложной медицинской помощи, и их исход может быть различным, включая полное восстановление или серьезные неврологические нарушения. Лечение сосудистой энцефалопатии включает медикаментозную терапию, направленную на улучшение мозгового кровообращения, а также реабилитационные мероприятия для восстановления утраченных функций.
Роль образа жизни в развитии заболевания
Сосудистая энцефалопатия головного мозга — это заболевание, вызванное нарушением кровоснабжения мозга, что приводит к его недостаточному питанию и кислородному голоданию. Одним из ключевых факторов, способствующих развитию этого состояния, является образ жизни человека. Влияние различных аспектов повседневной жизни на здоровье сосудов и, соответственно, на риск развития сосудистой энцефалопатии невозможно переоценить.
Прежде всего, стоит отметить, что неправильное питание является одним из основных факторов риска. Диета, богатая насыщенными жирами, трансжирами и простыми углеводами, может привести к образованию атеросклеротических бляшек в сосудах, что затрудняет кровоток и может вызвать ишемию мозга. Употребление большого количества соли также связано с повышением артериального давления, что дополнительно увеличивает нагрузку на сосуды.
Физическая активность играет важную роль в поддержании здоровья сосудов. Регулярные физические нагрузки способствуют улучшению кровообращения, укреплению сердечно-сосудистой системы и снижению уровня холестерина. Недостаток физической активности, напротив, может привести к ожирению, гипертонии и другим заболеваниям, которые являются предрасполагающими факторами для развития сосудистой энцефалопатии.
Курение и злоупотребление алкоголем также значительно увеличивают риск развития сосудистых заболеваний. Никотин вызывает сужение сосудов, что ухудшает кровоснабжение мозга, а алкоголь в больших количествах может привести к повреждению клеток мозга и нарушению их функций. Отказ от этих вредных привычек может существенно снизить риск развития сосудистой энцефалопатии.
Стресс и психоэмоциональное состояние человека также оказывают влияние на здоровье сосудов. Хронический стресс может привести к повышению уровня кортизола, что, в свою очередь, способствует повышению артериального давления и ухудшению состояния сосудов. Практики релаксации, такие как медитация и йога, могут помочь в снижении уровня стресса и улучшении общего состояния здоровья.
Наконец, важно отметить, что регулярные медицинские осмотры и контроль за состоянием здоровья могут помочь в раннем выявлении факторов риска и своевременном начале лечения. Это особенно актуально для людей с наследственной предрасположенностью к сердечно-сосудистым заболеваниям.
Таким образом, образ жизни играет ключевую роль в развитии сосудистой энцефалопатии головного мозга. Внесение изменений в повседневные привычки может значительно снизить риск развития этого заболевания и улучшить качество жизни.
Современные исследования и перспективы лечения
Современные исследования в области сосудистой энцефалопатии головного мозга активно развиваются, что позволяет лучше понять механизмы заболевания и разрабатывать новые подходы к его лечению. В последние годы внимание ученых сосредоточено на изучении патофизиологических процессов, связанных с нарушением кровообращения в головном мозге, а также на выявлении факторов риска, способствующих развитию данной патологии.
Одним из ключевых направлений исследований является изучение роли гипертонии, диабета и дислипидемии в развитии сосудистой энцефалопатии. Установлено, что контроль этих факторов может значительно замедлить прогрессирование заболевания. В связи с этим, профилактика и ранняя диагностика сердечно-сосудистых заболеваний становятся важными аспектами в борьбе с сосудистой энцефалопатией.
Научные работы также акцентируют внимание на нейропротективных препаратах, которые могут замедлить или остановить дегенеративные процессы в мозге. Исследуются различные классы лекарственных средств, включая антиоксиданты, противовоспалительные препараты и нейрометаболические стимуляторы. Результаты клинических испытаний показывают, что некоторые из этих препаратов могут улучшать когнитивные функции и качество жизни пациентов.
Кроме того, активно разрабатываются методы реабилитации, направленные на восстановление утраченных функций. Это включает в себя как медикаментозное лечение, так и немедикаментозные подходы, такие как физиотерапия, когнитивная терапия и занятия с логопедами. Исследования показывают, что комплексный подход к реабилитации может значительно повысить эффективность лечения и улучшить прогноз для жизни пациентов с сосудистой энцефалопатией.
Важным аспектом является также использование современных технологий, таких как нейровизуализация и генетические исследования, которые помогают в ранней диагностике и мониторинге заболевания. Эти технологии позволяют выявлять изменения в мозговом кровообращении на ранних стадиях, что открывает новые горизонты для своевременного вмешательства и коррекции лечения.
Таким образом, современные исследования в области сосудистой энцефалопатии головного мозга открывают новые перспективы для лечения и улучшения качества жизни пациентов. Однако, несмотря на достижения науки, важно помнить о значении профилактики и ранней диагностики, которые остаются ключевыми факторами в борьбе с этим заболеванием.







