Нарушение венозного оттока головного мозга — серьезная патология, способная вызвать неврологические расстройства и ухудшение качества жизни. В статье рассмотрим основные причины и симптомы, а также методы диагностики и лечения. Понимание механизмов венозного оттока и применение соответствующих препаратов могут улучшить состояние пациентов и предотвратить осложнения. Эта информация полезна как медицинским специалистам, так и широкой аудитории, заботящейся о здоровье.
Что такое венозный застой головного мозга
Венозная система мозга представляет собой сложный механизм, который поддерживает высокий уровень нервной активности. Она играет ключевую роль в жизненно важных физиологических процессах, обеспечивая постоянное поступление крови в главный орган центральной нервной системы. Дисциркуляция, или затрудненный венозный отток, свидетельствует о том, что нормальное кровообращение нарушено. Это может привести к дисбалансу кислорода, жиров, углеводов и воды в головном мозге.
Врачи отмечают, что затруднение венозного оттока головного мозга может проявляться разнообразными симптомами, включая головные боли, головокружение, усталость и даже когнитивные нарушения. Эти проявления часто связывают с нарушением кровообращения, что может привести к серьезным последствиям для здоровья. Специалисты подчеркивают важность своевременной диагностики, которая включает в себя нейровизуализацию и оценку венозного давления.
Методы лечения варьируются в зависимости от причины заболевания. В некоторых случаях достаточно консервативной терапии, включающей медикаменты и физиотерапию. В более сложных ситуациях может потребоваться хирургическое вмешательство для восстановления нормального венозного оттока. Врачи акцентируют внимание на необходимости комплексного подхода к лечению, который включает как медикаментозные, так и немедикаментозные методы, а также изменение образа жизни пациента.

Классификация (стадии, формы)
Эксперты выделяют несколько этапов и разновидностей заболевания, о которых важно знать каждому. Проблемы с венозным оттоком делятся на две главные формы:
- Первая форма (первичная). Эта форма связана с нарушением тонуса вен. Она может возникать вследствие черепно-мозговых травм, длительной интоксикации (например, алкоголем или никотином), а также сердечно-сосудистых и эндокринных заболеваний.
- Вторая форма (застойная). Она развивается, когда наблюдается серьезное затруднение венозного оттока механического характера. В таких случаях венозный застой становится настолько критичным, что может потребоваться экстренная медицинская помощь.
Затруднение венозного оттока от головного мозга проходит три стадии, которые представлены в таблице.
| Стадия | Краткое описание |
| Латентная | Клинические проявления слабо выражены, человек не замечает их и продолжает вести привычный образ жизни |
| Церебральная венозная дистония | У пациента появляются неприятные симптомы, однако они не влияют на его повседневную активность |
| Венозная энцефалопатия | Наблюдаются ярко выраженные симптомы венозного застоя, что требует вмешательства специалиста |
Данная классификация стадий признана большинством специалистов по всему миру. В 1989 году профессор М. Я. Бердичевский предложил классификацию по формам заболевания.
| Категория | Симптомы | Методы лечения |
|---|---|---|
| Общие симптомы | Головная боль (часто усиливается при наклонах, кашле, натуживании), головокружение, шум в ушах, тяжесть в голове, ощущение распирания в голове, утренняя головная боль, усиливающаяся при пробуждении. | Устранение причины (если возможно), медикаментозная терапия (диуретики, венотоники, ноотропы), физиотерапия, лечебная физкультура, нормализация режима сна и бодрствования, отказ от вредных привычек. |
| Неврологические симптомы | Нарушения зрения (мелькание мушек, двоение, нечеткость), нарушения слуха, онемение или покалывание в конечностях, слабость в конечностях, нарушения координации, шаткость походки, нарушения речи, снижение памяти и концентрации внимания, раздражительность, эмоциональная лабильность. | Лечение основного заболевания, симптоматическая терапия (противосудорожные, антидепрессанты), реабилитационные мероприятия (ЛФК, массаж, занятия с логопедом). |
| Вегетативные симптомы | Тошнота, рвота, потливость, сердцебиение, колебания артериального давления, бледность или покраснение лица, чувство нехватки воздуха, обмороки. | Стабилизация вегетативной нервной системы (седативные препараты, адаптогены), коррекция образа жизни, психотерапия. |
| Признаки на обследовании | Расширение вен глазного дна, отек диска зрительного нерва (при выраженном застое), изменения на ЭЭГ (замедление ритма), признаки венозной дисциркуляции на УЗДГ сосудов головы и шеи, КТ/МРТ головного мозга (расширение венозных синусов, признаки отека). | Мониторинг состояния, контроль эффективности лечения, при необходимости – хирургическое вмешательство (шунтирование, стентирование). |
Основные причины
Причины венозных нарушений в головном мозге разнообразны и могут быть как внутри черепа, так и за его пределами. К наиболее распространённым факторам, способствующим этим нарушениям, относятся:
- тромбоз вен головного мозга (как глубоких, так и поверхностных);
- внутренние гематомы или переломы костей, возникающие в результате черепно-мозговых травм;
- перенесённые острые нарушения кровоснабжения головного мозга (инсульт) с последующим отёком;
- доброкачественные и злокачественные опухоли в области шеи и головы;
- травмы грудной клетки и живота;
- тромбофлебит и флеботромбоз;
- гнойный менингит, энцефалит, абсцесс мозга;
- остеохондроз шейного и грудного отделов позвоночника.
Важно!
Существуют случаи врождённого сужения венозных сосудов, что может затруднять кровоток.
Длительные и чрезмерные физические нагрузки, малоподвижный образ жизни, бессонница, стрессовые ситуации, нарушения осанки, искривление позвоночника, избыточный вес, алкоголизм, курение и возрастные изменения – все эти факторы могут способствовать нарушению венозного оттока из черепной полости. Кроме того, кратковременные проблемы могут возникать из-за сильного кашля, длительного пения или крика, постоянной задержки дыхания, туго затянутого шарфа на шее и других подобных причин.
Подготовка и проведение РЭГ сосудов головного мозга. Реоэнцефалография (РЭГ, УЭГ) представляет собой неинвазивный метод исследования сосудов головного мозга, направленный на выявление различных…

Клинические проявления
Когда венозный отток затрудняется и это состояние становится постоянным, у человека могут возникать головные боли и шум в ушах. Болевые ощущения в голове часто проявляются при наклонах или изменении положения тела. Обычно заболевание начинается с тошноты и рвоты, а также посинения носогубного треугольника. Утреннее чувство тяжести в голове является явным признаком начала проблемы.
К другим симптомам затрудненного венозного оттока относятся:
- постоянная усталость и вялость;
- снижение работоспособности;
- головокружение;
- нарушения сознания;
- отечность лица, особенно в области век;
- онемение или паралич конечностей;
- проблемы со зрением;
- отит с гнойными выделениями.
Наличие тех или иных симптомов зависит от характера заболевания, сопутствующих недугов и общего состояния пациента. У пожилых людей часто наблюдаются нарушения памяти и психические расстройства. В некоторых случаях могут возникать эпилептические приступы.
Венозный застой может наблюдаться как в обоих яремных венах, так и только с одной стороны, что проявляется в асимметрии венозного оттока. Это состояние может не проявлять клинические симптомы до тех пор, пока здоровая сторона успешно справляется с перераспределением крови.
Возможные осложнения
Даже на ранних этапах заболевания наблюдается недостаток питания клеток головного мозга. Поэтому при обнаружении проблемы необходимо незамедлительно начать лечение, иначе существует риск возникновения осложнений, некоторые из которых могут привести к летальному исходу. К числу возможных последствий относятся:
- Гипоксия головного мозга – это состояние, при котором орган не получает достаточного количества кислорода. Данная патология может привести к внезапной смерти.
- Кровоизлияние в мозг – угрожающее жизни состояние, при котором кровь вытекает из сосудов головного мозга в окружающие ткани. Чаще всего это происходит из-за разрыва мелких артерий.
- Инсульт – острое нарушение мозгового кровообращения, которое вызывает стойкие очаговые повреждения головного мозга. В результате нервные клетки начинают испытывать кислородное голодание и постепенно погибают.
- Дисциркуляторная энцефалопатия – это многоочаговое или диффузное сосудистое поражение головного мозга с медленным прогрессированием.
Менее серьезными последствиями могут быть афазия, психические расстройства, судорожные припадки, а также развитие параличей или парезов в конечностях.
Что такое лейкоареоз головного мозга: причины, диагностика, лечение. Лейкоареоз – это коварное и опасное заболевание. Поздние стадии патологии приводят к необратимым изменениям в головном мозге…
Методы диагностики
Симптомы венозного застоя не являются специфическими, что затрудняет постановку точного диагноза только на их основе. В первую очередь, врач проводит опрос о характере головной боли: ее частоте и интенсивности. При пальпации головы и шеи специалист определяет наличие зажимов, тонус мышц и вен, а также выявляет препятствия для венозного оттока из мозга.
Для подтверждения венозного застоя применяются современные инструментальные методы исследования:
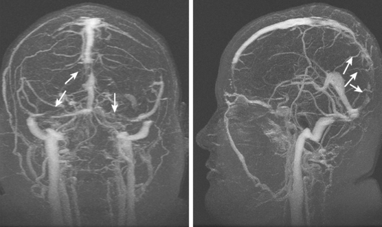
- Компьютерная томография (КТ) или магнитно-резонансная томография (МРТ) головного мозга. Эти методы позволяют с высокой точностью визуализировать изменения в тканях и сосудах главного органа центральной нервной системы.
- Ультразвуковое исследование (УЗИ) сосудов шеи и головы – популярный и эффективный метод диагностики. С помощью допплерографии (УЗДГ) можно выявить атеросклеротические бляшки и нарушения в работе внутренней сонной артерии. Это исследование помогает обнаружить различные патологии кровоснабжения мозга.
- Ангиография – инструментальный метод, который позволяет визуализировать сосуды головного мозга. Процедура помогает выявить участки сужения или закупорки сосудов, а также определить места и уровень их расширения, наличие кровотечений, опухолей и другие проблемы, которые невозможно диагностировать другими способами.
- Рентгенография головного мозга – неинвазивный метод диагностики, который может потребоваться в случае черепно-мозговой травмы.
Важно!
При нарушении венозного оттока головного мозга у детей используются те же принципы диагностики.
Необходима консультация окулиста. При наличии заболевания на глазном дне будут заметны участки с расширенными сосудами. Все методы исследования, применяемые для выявления венозных нарушений, помогут врачу оценить стадию заболевания и определить дальнейшую стратегию лечения.
Методы лечения
При выявлении проблем с оттоком крови из головы, лечением занимается невролог или сосудистый хирург. В зависимости от результатов обследования, врач разрабатывает индивидуальный план лечения для сосудов и вен. Терапевтические мероприятия включают в себя комплекс действий, направленных на повышение качества жизни пациента.
Медикаментозная терапия
Для улучшения венозного оттока используются специальные препараты, которые не только восстанавливают нормальное кровообращение, но и способствуют улучшению состояния сосудов. Венотоники, или венопротекторы, представляют собой группу медикаментов с ангиопротекторным эффектом. Врач может рекомендовать такие средства, как Эскузан, Детралекс, Танакан, Венарус, Троксевазин или Флебодиа. Эти лекарства эффективно способствуют улучшению движения крови. Однако медикаментозное лечение не ограничивается только венотониками. В терапию могут быть включены также:
- антикоагулянты – препараты, которые снижают активность системы свертывания крови и предотвращают образование тромбов (Гепарин, Депакин, Варфарин);
- антиагреганты – группа средств, которые препятствуют образованию тромбов (Тромбо АСС, Кардиомагнил, Тиклопидин);
- диуретики – препараты, которые замедляют всасывание солей и жидкости в почках, что приводит к увеличению объема выводимой мочевыделительной системой жидкости (Триампур, Верошпирон, Фуросемид);
- нейротропные средства – препараты, которые расширяют сосуды головного мозга и активизируют передачу нервных импульсов (Мексидол, Пентоксифиллин, Актовегин);
- ноотропы – медикаменты, которые нормализуют кровообращение в головном мозге и стимулируют работу нервных клеток (Пирацетам, Ноотропил, Семакс).
Для повышения устойчивости сосудистой стенки применяются инъекции Никотиновой кислоты и Пиридоксина.
Дополнительные способы лечения
Среди различных методов борьбы с головными болями, связанными с нарушением венозного оттока, на практике хорошо зарекомендовали себя следующие подходы:
-
Физиотерапия. Процедуры, такие как электрофорез, электростимуляция, магнитотерапия и лазерная терапия, могут быть назначены врачом. Их эффективность подтверждена многолетним опытом, и в отличие от медикаментозного лечения, они представляют собой более «щадящий» вариант.
-
Массаж. Особенно полезен на ранних стадиях заболевания. Массажные процедуры проводятся в области шеи и плеч. Курс не должен превышать 10 дней. Важно, чтобы не было острых воспалительных процессов. Массаж должен выполнять квалифицированный специалист, так как самостоятельные попытки могут привести к негативным последствиям и ухудшению состояния.
-
Лечебная физкультура. Упражнения рекомендованы после того, как все симптомы заболевания были купированы с помощью медикаментов. Первоначально занятия ЛФК проводятся в медицинском учреждении, где специалист подбирает индивидуальный комплекс упражнений. Позже гимнастику можно выполнять и в домашних условиях.
Важно!
Для эффективного и быстрого восстановления венозного оттока крови в мозге необходимо исключить вредные привычки.
При недостаточности венозного оттока строго запрещены курение и употребление алкогольных напитков. Эти факторы могут вызвать нарушения в работе головного мозга у любого человека, даже если симптомы заболевания пока не проявляются.

Правильное питание
Правильное питание играет ключевую роль в восстановлении кровообращения в головном мозге. Прежде всего, пациенту следует исключить из своего рациона все вредные продукты. Необходимо отказаться от жареных, копченых, соленых, маринованных, острых и жирных блюд. Также стоит избегать мучных и кондитерских изделий, консервов, колбас, фаст-фуда и сладких газированных напитков.
В рацион обязательно должны входить продукты, способствующие разжижению крови и укреплению стенок сосудов. Они должны содержать клетчатку, аминокислоты, а также витамины Е и С, которые крайне необходимы для нормального функционирования головного мозга. Полезными будут:
- орехи;
- ягоды;
- сухофрукты;
- бобовые и зерновые;
- овощи и фрукты;
- морская рыба.
Для улучшения венозного оттока полезны пряности, такие как розмарин, петрушка, укроп и орегано (душица). Для стимуляции кровообращения подойдут чеснок, имбирь, гвоздика, куркума, корица, а также различные виды перца – черный, красный и чили. Правильно составленная диета способствует улучшению работы сосудов, нормализации кровотока и избавлению от проблем с венозным оттоком от мозга.
Хирургическое вмешательство
Если проблемы с венозной системой имеют серьезный характер, врач может предложить хирургическое вмешательство для улучшения оттока крови от мозга. Существуют различные виды операций при венозном застое в головном мозге:
- Эндартерэктомия – это хирургическая процедура, направленная на очищение артерий от холестериновых отложений. После выполнения этой операции восстанавливается нормальный кровоток, что снижает вероятность инсульта.
- Шунтирование – метод, при котором создается альтернативный путь для крови, минуя поврежденный участок сосуда, с использованием системы шунтов (трансплантатов).
- Ангиопластика – это одна из техник эндоваскулярной хирургии, предназначенная для восстановления кровотока при сужении или полной закупорке артерий (реже вен).
Хирургические вмешательства применяются в крайних случаях, когда консервативное лечение не дает ожидаемых результатов, и существует угроза для жизни пациента.
Что такое доплерографическое исследование сосудов головного мозга и шеи? Это метод, позволяющий выявить причины даже незначительных нарушений в кровотоке сосудов…
Профилактика, прогноз
Исход лечения во многом зависит от самого пациента, его осознания серьезности проблемы и готовности изменять свои привычки. Чтобы предотвратить венозный застой в головном мозге, следует придерживаться нескольких простых рекомендаций:
- Увеличьте физическую активность, выполняйте легкие упражнения. Это особенно важно для тех, кто долго сидит на работе.
- Соблюдайте режим дня. Старайтесь вставать утром и ложиться спать вечером в одно и то же время.
- Избегайте употребления алкоголя и табака. Эти вещества негативно влияют на сосудистую систему и могут приводить к «закупорке» сосудов.
- Контролируйте свой вес и следите за рационом. Пейте не менее 2 литров чистой воды в день.
- Обязательно принимайте препараты, улучшающие венозный отток, которые назначил ваш лечащий врач.
Дополнительная физическая нагрузка также необходима. Занятия йогой могут стать отличным помощником в улучшении венозного оттока. Существует множество асан, направленных на укрепление сосудов и улучшение кровообращения. Кроме того, специфическое дыхание через гортань во время выполнения упражнений способствует увеличению притока воздуха, что, в свою очередь, улучшает кровоток.
Важно!
Улучшить венозный отток можно также с помощью бега и пеших прогулок на свежем воздухе. Эти активности помогают «разогнать» кровь по организму и насыщают головной мозг кислородом.
Прогноз и скорость выздоровления зависят от ряда факторов. Например, исход может быть неблагоприятным, если у пациента был инсульт или тромбоз. Однако если причиной заболевания стали гипертензия или диабет, прогноз будет значительно лучше. Результаты терапии также зависят от возраста и общего состояния здоровья пациента. Молодые люди с хорошим иммунитетом имеют наилучшие шансы на полное выздоровление. Поэтому каждому важно знать причины, симптомы и методы лечения нарушений венозного оттока в головном мозге.
Венозная недостаточность головного мозга — это серьезное заболевание, требующее адекватного лечения. В противном случае подобные нарушения могут привести к необратимым последствиям. Самолечение в этом случае может быть опасным для жизни. При первых признаках патологии необходимо обратиться к врачу. На ранних стадиях заболевания восстановить нормальную работу кровеносной системы достаточно просто.
Роль физической активности в лечении и профилактике
Физическая активность играет ключевую роль в лечении и профилактике затруднения венозного оттока головного мозга. Регулярные физические упражнения способствуют улучшению кровообращения, что, в свою очередь, помогает предотвратить застойные явления в венах и улучшить общее состояние венозной системы.
Одним из основных механизмов, через которые физическая активность влияет на венозный отток, является увеличение мышечного тонуса. Во время физической нагрузки мышцы сокращаются, что способствует «помпе» для венозной крови, помогая ей возвращаться к сердцу. Это особенно важно для вен нижних конечностей, где венозный отток может быть затруднен из-за длительного сидения или стояния.
Кроме того, физическая активность способствует улучшению обмена веществ и снижению веса, что также может положительно сказаться на состоянии венозной системы. Избыточный вес создает дополнительное давление на вены, что может усугубить проблемы с венозным оттоком. Умеренные аэробные нагрузки, такие как ходьба, плавание или велосипед, могут помочь в контроле веса и улучшении общего состояния здоровья.
Важно отметить, что не все виды физической активности одинаково полезны. Например, высокоинтенсивные тренировки или силовые упражнения могут быть противопоказаны для людей с уже существующими проблемами венозного оттока. Поэтому перед началом любой программы физических упражнений необходимо проконсультироваться с врачом или специалистом по реабилитации.
Также стоит учитывать, что физическая активность должна быть регулярной. Даже небольшие, но частые физические нагрузки могут оказать положительное влияние на венозный отток. Рекомендуется включать в повседневную жизнь простые упражнения, такие как подъемы на носки, растяжки и легкие прогулки, особенно если ваша работа связана с длительным сидением.
В дополнение к физической активности, важно также следить за общим состоянием здоровья, включая правильное питание, достаточное количество жидкости и отказ от вредных привычек, таких как курение. Все эти факторы в комплексе помогут улучшить венозный отток и снизить риск развития осложнений, связанных с затруднением венозного оттока головного мозга.
Психологические аспекты и влияние стресса
Затруднение венозного оттока головного мозга может оказывать значительное влияние на психическое состояние человека. Психологические аспекты данного заболевания часто остаются в тени, несмотря на то, что они могут существенно усугублять общее состояние пациента и затруднять процесс лечения. Стресс, тревога и депрессия могут как быть причиной, так и следствием венозной недостаточности, создавая замкнутый круг, который требует комплексного подхода к лечению.
Одним из основных факторов, способствующих развитию затруднения венозного оттока, является хронический стресс. Постоянное напряжение и эмоциональные нагрузки могут приводить к спазму сосудов, что, в свою очередь, ухудшает венозный отток и способствует накоплению токсичных веществ в мозге. Это может вызывать головные боли, ухудшение памяти и концентрации, а также общее чувство усталости и апатии.
Кроме того, психологические расстройства, такие как тревожные расстройства и депрессия, могут возникать как следствие венозной недостаточности. Пациенты часто испытывают чувство беспокойства из-за своих симптомов, что может приводить к ухудшению их психоэмоционального состояния. Важно отметить, что такие состояния могут затруднять диагностику и лечение основного заболевания, так как симптомы могут перекрываться.
Лечение затруднения венозного оттока головного мозга должно включать не только медикаментозную терапию, направленную на улучшение венозного оттока, но и психологическую поддержку. Психотерапия, методы релаксации и управление стрессом могут значительно улучшить качество жизни пациентов. Когнитивно-поведенческая терапия, например, может помочь пациентам изменить негативные мысли и поведение, связанные с их состоянием, что в свою очередь может способствовать улучшению венозного оттока.
Также стоит отметить, что физическая активность и здоровый образ жизни играют важную роль в поддержании психического здоровья. Регулярные физические нагрузки способствуют улучшению кровообращения, что может помочь в снижении симптомов затруднения венозного оттока. Упражнения, такие как йога и медитация, могут быть особенно полезны для снижения уровня стресса и улучшения общего самочувствия.
В заключение, важно понимать, что затруднение венозного оттока головного мозга — это не только физическая, но и психологическая проблема. Комплексный подход к лечению, включающий как медицинские, так и психологические методы, может значительно улучшить состояние пациентов и помочь им справиться с симптомами, улучшая качество их жизни.
Современные исследования и перспективы лечения
Современные исследования в области затруднения венозного оттока головного мозга (ЗВОГМ) активно развиваются, что связано с растущим интересом к данной патологии и её влиянию на здоровье человека. В последние годы было проведено множество клинических и лабораторных исследований, направленных на понимание механизмов развития ЗВОГМ, его симптоматики и возможных методов лечения.
Одним из ключевых направлений исследований является изучение патофизиологии венозного оттока. Установлено, что нарушение венозного оттока может быть связано с различными факторами, включая анатомические особенности венозной системы, а также системные заболевания, такие как артериальная гипертензия и атеросклероз. Важным аспектом является также влияние внешних факторов, таких как физическая активность и положение тела, на венозный отток.
В последние годы внимание ученых привлекает использование неинвазивных методов диагностики, таких как ультразвуковая допплерография и магнитно-резонансная томография (МРТ). Эти методы позволяют визуализировать венозные структуры и оценить скорость кровотока, что способствует более точной диагностике ЗВОГМ. Исследования показывают, что ранняя диагностика и своевременное вмешательство могут значительно улучшить прогноз для пациентов.
Что касается лечения, то в настоящее время разрабатываются различные подходы, включая медикаментозную терапию, физиотерапию и хирургические методы. Медикаментозное лечение может включать использование венотоников, антикоагулянтов и противовоспалительных средств, которые помогают улучшить венозный отток и уменьшить симптомы. Физиотерапевтические методы, такие как лечебная физкультура и массаж, также могут способствовать улучшению венозного кровообращения.
Хирургические методы, такие как стентирование вен или удаление венозных тромбов, рассматриваются как вариант для пациентов с тяжелыми формами ЗВОГМ, когда консервативные методы не приносят желаемого результата. Однако такие вмешательства требуют тщательной оценки рисков и возможных осложнений.
Перспективы лечения ЗВОГМ также связаны с развитием новых технологий, таких как клеточная терапия и генетические методы. Эти подходы могут открыть новые горизонты в лечении заболеваний, связанных с нарушением венозного оттока, и значительно улучшить качество жизни пациентов.
Таким образом, современные исследования в области затруднения венозного оттока головного мозга показывают многообещающие результаты и открывают новые возможности для диагностики и лечения данной патологии. Однако для достижения наилучших результатов необходимо продолжать изучение механизмов заболевания и разработку эффективных методов вмешательства.








