Ангиография сосудов головного мозга — информативный метод диагностики, позволяющий визуализировать артерии и вены, выявлять патологии и оценивать состояние сосудистой системы. В статье рассмотрим показания для ангиографии, правила выполнения процедуры и противопоказания, что поможет пациентам и медицинским специалистам понять, когда и как использовать этот метод для диагностики заболеваний головного мозга.
Суть метода
Ангиография головного мозга, также известная как церебральная ангиография, представляет собой диагностическую процедуру, в ходе которой в организм пациента вводится контрастное вещество. Это позволяет выявить воспалительные процессы и другие аномалии. После введения контраста в сосуды выполняется серия рентгеновских снимков, которые анализирует врач для постановки диагноза.
На сегодняшний день данная методика считается одной из самых информативных, так как она позволяет исследовать мягкие ткани, которые неэффективно поглощают рентгеновские лучи, что усложняет диагностику. Существует также ангиоскопия, предназначенная для выявления сосудистых патологий, однако этот метод еще не полностью разработан и не применяется при нарушениях артерий и вен головного мозга. Существует две основные разновидности церебральной ангиографии:
- Пункционная ангиография включает введение контрастного вещества в позвоночную или сонную артерию. Вещество достигает мозга и равномерно распределяется по сосудам.
- Катетеризационная ангиография является более распространенной и простой в выполнении. Для ее проведения достаточно ввести контраст в локтевую вену с помощью шприца и сделать несколько рентгеновских снимков.
Кроме того, выделяют вено- и артериографию мозга, которые применяются для исследования определенных сосудов. В зависимости от объема диагностики процедура может быть общей, селективной или суперселективной. Общая ангиография используется для изучения всех капилляров и крупных сосудов, селективная — для диагностики конкретного бассейна в головном мозге, а суперселективная — для анализа отдельного сосуда.
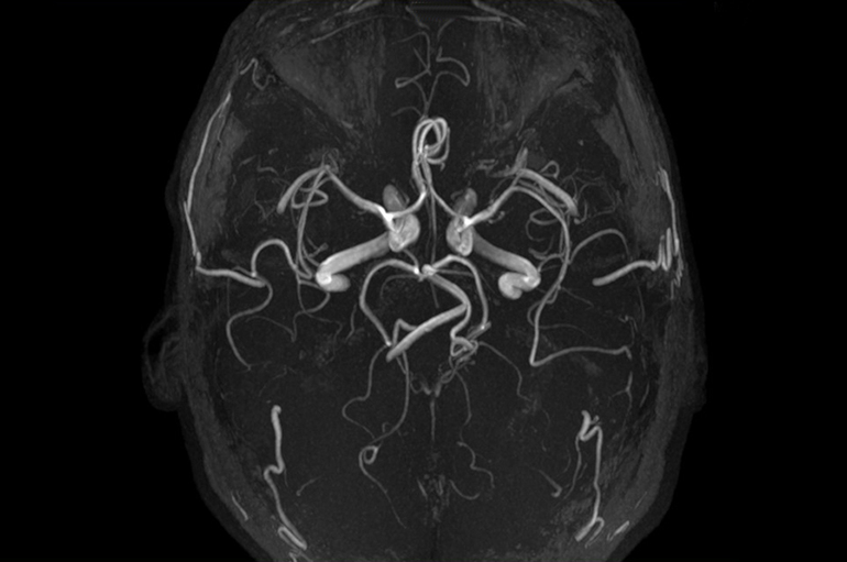
Существуют два основных метода ангиографии: КТ и МР. Первый метод, КТ, считается классическим и использует рентгеновские лучи. Второй метод, МР, применяет магнитное поле, аналогично магнитно-резонансной томографии. В зависимости от заболевания и сложности диагностики врач выбирает наиболее подходящий метод для исследования как крупных, так и мелких сосудов.

Врачи подчеркивают, что ангиография сосудов головного мозга является важным диагностическим методом, позволяющим выявить различные патологии, такие как аневризмы и стенозы. Однако, несмотря на свою информативность, данная процедура имеет ряд противопоказаний. К числу основных относятся аллергические реакции на контрастные вещества, тяжелые заболевания почек, а также наличие сердечно-сосудистых заболеваний в стадии декомпенсации. Кроме того, беременность и некоторые неврологические состояния могут стать основанием для отказа от проведения ангиографии. Врачи настоятельно рекомендуют тщательно оценивать риски и преимущества процедуры, учитывая индивидуальные особенности пациента, чтобы избежать возможных осложнений и обеспечить безопасность диагностики.
Показания и преимущества
В некоторых ситуациях ангиография сосудов головного мозга может не быть необходимой, так как заболевание можно диагностировать иными методами. Однако чаще всего этот метод оказывается единственным способом для выявления патологий. Процедура назначается в следующих случаях:
- частые головокружения и обмороки неясного происхождения;
- головные боли и хронические мигрени;
- заболевания, сопровождающиеся нарушениями мозгового кровообращения;
- регулярные колебания артериального давления;
- тошнота и рвота, не связанные с приемом пищи;
- появление мушек перед глазами, шум в ушах;
- эпилепсия различной степени тяжести;
- запущенная гипертония с осложнениями на сосуды мозга;
- ухудшение зрения неясного происхождения;
- подготовка пациента к хирургическому вмешательству;
- атеросклероз сосудов;
- снижение концентрации внимания и ухудшение памяти, возникающее без явных симптомов заболевания;
- период восстановления после лечения;
- травмы головы с внутренними кровоизлияниями или без них.
В некоторых случаях ангиография может быть рекомендована пациентам, проходящим лечение в неврологическом отделении. Врач имеет возможность оценить эффективность назначенных препаратов.
Главным преимуществом данной методики является высокая информативность и возможность выявления причин отклонений. Кроме того, диагностика является малотравматичной и безопасной, а подготовка к ней не вызывает затруднений. При использовании магнитного поля воздействие на организм пациента минимально, что также является положительным аспектом.
Процедура может быть назначена как детям, так и пациентам в тяжелом состоянии, что значительно облегчает процесс лечения в ряде случаев. Направление на ангиографию обычно выдает невропатолог, а иногда и терапевт.

| Показание к ангиографии | Противопоказание (абсолютное) | Противопоказание (относительное) |
|---|---|---|
| Аневризма сосудов головного мозга | Тяжелая аллергическая реакция на контрастное вещество в анамнезе | Почечная недостаточность (креатинин > 200 мкмоль/л) |
| Артериовенозная мальформация | Неконтролируемая коагулопатия (МНО > 3.0) | Тяжелая сердечная недостаточность (NYHA III-IV) |
| Стеноз или окклюзия церебральных артерий | Острый инсульт в первые 24 часа (при отсутствии показаний к тромбэктомии) | Неконтролируемая артериальная гипертензия (> 180/110 мм рт. ст.) |
| Опухоли головного мозга (для оценки кровоснабжения) | Беременность (особенно I триместр) | Сахарный диабет (особенно с нефропатией) |
| Васкулит церебральных сосудов | Тяжелая непереносимость йода | Гипертиреоз (некомпенсированный) |
| Субарахноидальное кровоизлияние | Тяжелое психическое расстройство, препятствующее сотрудничеству | Миеломная болезнь |
| Тромбоз венозных синусов | Отсутствие информированного согласия пациента | Астма (тяжелая форма) |
| Эпилепсия (при подозрении на структурные изменения) | Декомпенсированные заболевания печени | |
| Головокружение, обмороки неясной этиологии | Пожилой возраст (с учетом сопутствующих заболеваний) | |
| Подготовка к нейрохирургическим операциям | Острые инфекционные заболевания |
Подготовка к исследованию
Специальная подготовка к процедуре не требуется, однако существуют определенные рекомендации, которые следует учитывать. Врачи советуют накануне диагностики избегать тяжелой пищи, чтобы минимизировать риск несварения и других неприятностей. Кроме того, за 7−10 дней до процедуры рекомендуется полностью исключить алкоголь в любых количествах.
Если пациент регулярно принимает какие-либо медикаменты, ему стоит проконсультироваться с врачом. Возможно, потребуется временно прекратить прием некоторых препаратов или уменьшить их дозировку перед исследованием.
В помещение, где находится оборудование, не следует приносить мобильные телефоны или другие устройства, особенно если будет использоваться томограф. Накануне процедуры врач проводит беседу с пациентом, объясняя суть и важность манипуляции для правильной диагностики. Пациент не должен испытывать страх или неуверенность, так как процедура абсолютно безопасна.
Неотъемлемой частью подготовки является тест на чувствительность к контрастным веществам. Обычно используются препараты на основе гадолиния. Больному вводится небольшая доза внутрикожно, и врач следит за реакцией организма. Если в течение нескольких часов не проявляются негативные симптомы, можно вводить необходимую дозу контрастного вещества. В случае возникновения аллергических реакций или других проблем специалист применяет альтернативные методы исследования мозговых сосудов.
https://youtube.com/watch?v=7lpOYJP1r_c
Проведение манипуляции
Процедура может быть выполнена в течение дня, однако чаще всего врачи назначают ее на утренние часы. Это объясняется тем, что за несколько часов до манипуляции рекомендуется воздержаться от приема пищи, что утром не вызывает затруднений у большинства пациентов. Ангиография мозга осуществляется в несколько этапов:
- Пациент снимает облегающую одежду и проходит в процедурный кабинет. Врач проводит краткий осмотр и оценивает общее состояние здоровья.
- Медсестра вводит внутривенно необходимое количество контрастного вещества. После остановки кровотечения из места инъекции пациент направляется к рентгеновскому аппарату или томографу.
- Если используются рентгеновские лучи, пациент может сидеть или стоять во время работы аппарата. При использовании томографа его укладывают на подвижный стол, который автоматически перемещается в томограф. Исследуется только область головы.
- Вся процедура занимает не более 20 минут. После ее завершения пациент ожидает результаты.
При проведении МР-ангиографии врач сначала делает серию снимков без контрастного вещества, а затем вводит препарат. После этого специалист повторно исследует сосуды, в которых уже накопилось контрастное вещество.
Ангиограмму сосудов головного мозга врач анализирует в течение 30−40 минут, описывая изменения и степень отклонений от нормы, а также ставит диагноз. С полученным заключением пациент направляется к невропатологу, который назначает необходимое лечение.

Возможные противопоказания
Несмотря на то, что данная процедура считается достаточно безопасной и информативной, ее выполнение не всегда разрешено. Основные противопоказания включают в себя следующие ситуации:
- беременность и период грудного вскармливания;
- наличие аллергии на йод и препараты, содержащие его;
- коматозное состояние, при котором пациент не может реагировать на указания врача;
- психические расстройства, сопровождающиеся повышенной эмоциональной возбудимостью, когда поведение пациента становится неконтролируемым;
- заболевания щитовидной железы, такие как гипертиреоз;
- тяжелая почечная недостаточность;
- нарушения свертываемости крови и предрасположенность к кровотечениям;
- наличие в организме пациента титановых имплантов, пирсинга или татуировок, выполненных с использованием красок, содержащих металлические частицы.
Диагностика не может быть проведена без согласия пациента. Относительным противопоказанием считается любая патология в остром состоянии. В таких случаях врач решает отложить исследование до тех пор, пока состояние пациента не улучшится.
Хотя осложнения возникают редко, иногда пациенты могут испытывать тошноту, вызванную контрастным веществом, головную боль, слабость или сонливость. Обычно эти симптомы проходят в течение нескольких часов. Если состояние не улучшается, может быть назначена симптоматическая терапия.
https://youtube.com/watch?v=SJjJ2fvB64Q
Расшифровка результатов
После анализа ангиограммы врач формирует соответствующие выводы. В норме костная ткань отображается белым цветом, а ликвор и здоровые сосуды — черным. При отсутствии патологий сосудистая система напоминает дерево с множеством крупных и мелких ветвей, а контрастное вещество равномерно распределяется по ней. Данное исследование помогает выявить различные отклонения, однако некоторые заболевания встречаются наиболее часто.
Внутричерепные гематомы, возникающие в результате травм головы, резкого повышения артериального давления или других факторов, хорошо видны на снимках. Контрастное вещество скапливается вокруг этих образований, что облегчает их обнаружение. Обычно у пациента наблюдаются и другие симптомы, поэтому ангиография используется для подтверждения диагноза и оценки размеров гематомы.
Холестериновые бляшки и тромбы на стенках сосудов также четко визуализируются. Пораженные участки сосудов могут быть утолщены, но их просвет сужен. Опасность таких заболеваний заключается в том, что у пациента могут отсутствовать какие-либо симптомы.
Расслоение стенки сосуда представляет собой крайне серьезное состояние, особенно если затрагиваются крупные вены или артерии. На рентгеновских снимках данная патология легко определяется.
Ангиография церебральных сосудов в настоящее время считается одним из самых информативных методов диагностики, позволяющим выявить заболевания даже на ранних стадиях. Благодаря своей доступности и простоте выполнения, этот метод дает возможность своевременно начать лечение и предотвратить возможные осложнения.
https://youtube.com/watch?v=k-CUfzT-Rxg
Осложнения и риски процедуры
Ангиография сосудов головного мозга, хотя и является высокоэффективным методом диагностики, сопряжена с определенными осложнениями и рисками. Понимание этих аспектов важно как для врачей, так и для пациентов, чтобы минимизировать возможные негативные последствия.
Одним из наиболее распространенных осложнений является аллергическая реакция на контрастное вещество, используемое в процессе ангиографии. Симптомы могут варьироваться от легких (кожный зуд, сыпь) до тяжелых (анафилактический шок). Поэтому перед проведением процедуры необходимо тщательно собирать анамнез и выяснять наличие аллергий у пациента.
Другим потенциальным риском является тромбообразование. Введение катетера в сосуды может привести к повреждению стенок сосудов, что, в свою очередь, может спровоцировать образование тромба. Это может вызвать ишемию или инсульт, особенно у пациентов с уже существующими сосудистыми заболеваниями.
Также стоит отметить возможность повреждения сосудов во время процедуры. Это может проявляться в виде разрыва сосуда, что требует немедленного вмешательства и может привести к серьезным последствиям, включая кровоизлияние в мозг.
Инфекционные осложнения также не исключены, особенно если процедура проводится в условиях, где не соблюдаются строгие правила асептики. Инфекция может развиться в месте введения катетера или в самом сосуде.
Кроме того, существует риск радиационного облучения, так как ангиография требует использования рентгеновского оборудования. Хотя уровень облучения обычно считается безопасным, многократные процедуры могут накапливать дозу радиации, что увеличивает риск развития онкологических заболеваний в будущем.
Наконец, важно учитывать, что у некоторых пациентов могут возникнуть временные неврологические симптомы после процедуры, такие как головная боль, головокружение или временные нарушения зрения. Эти симптомы, как правило, проходят самостоятельно, но требуют наблюдения.
В связи с вышеизложенным, перед проведением ангиографии сосудов головного мозга необходимо тщательно оценить все риски и преимущества процедуры, а также обсудить их с пациентом, чтобы обеспечить информированный выбор и минимизировать вероятность осложнений.
Послеоперационный уход и рекомендации
После проведения ангиографии сосудов головного мозга пациенту требуется особое внимание и уход, чтобы минимизировать риск осложнений и обеспечить быстрое восстановление. Важно следовать рекомендациям врача и соблюдать определенные правила в послеоперационный период.
Первоначально, после процедуры ангиографии, пациент должен находиться под наблюдением медицинского персонала в течение нескольких часов. Это необходимо для контроля за состоянием здоровья и выявления возможных осложнений, таких как аллергические реакции на контрастное вещество или кровотечения в месте введения катетера.
В течение первых 24 часов после ангиографии рекомендуется избегать физических нагрузок и активных движений. Это поможет предотвратить возможные осложнения, связанные с местом прокола. Пациенту следует оставаться в горизонтальном положении и избегать резких поворотов головы.
Также важно следить за состоянием места введения катетера. В случае появления отека, покраснения, боли или выделений из раны необходимо немедленно обратиться к врачу. Эти симптомы могут указывать на инфекцию или другие осложнения, требующие медицинского вмешательства.
В течение нескольких дней после процедуры пациенту может быть рекомендовано ограничить потребление жидкости и пищи, особенно если у него есть проблемы с пищеварением. Врач может назначить специальные препараты для облегчения состояния и предотвращения возможных осложнений.
Важно также следить за общим состоянием здоровья. Если у пациента возникают головные боли, головокружение, слабость или другие необычные симптомы, необходимо обратиться за медицинской помощью. Эти симптомы могут быть признаками серьезных осложнений, таких как инсульт или тромбообразование.
Восстановление после ангиографии может занять от нескольких дней до нескольких недель, в зависимости от индивидуальных особенностей пациента и сложности проведенной процедуры. Важно следовать всем рекомендациям врача и не пренебрегать назначенными контрольными обследованиями.
Кроме того, пациентам, перенесшим ангиографию, следует избегать курения и употребления алкоголя, так как эти факторы могут негативно сказаться на процессе восстановления и общем состоянии здоровья. Здоровый образ жизни, включая правильное питание и умеренные физические нагрузки, поможет ускорить восстановление и улучшить общее состояние сосудистой системы.
В заключение, послеоперационный уход после ангиографии сосудов головного мозга требует внимательности и соблюдения всех рекомендаций врача. Это поможет избежать осложнений и обеспечит успешное восстановление пациента.
Альтернативные методы исследования
При наличии противопоказаний к проведению ангиографии сосудов головного мозга, важно рассмотреть альтернативные методы диагностики, которые могут предоставить необходимую информацию о состоянии сосудистой системы и выявить возможные патологии.
Одним из наиболее распространенных альтернативных методов является магнитно-резонансная томография (МРТ). Этот метод позволяет получить детализированные изображения головного мозга и его сосудов без использования ионизирующего излучения. МРТ особенно полезна для выявления аномалий, таких как аневризмы, стенозы и другие сосудистые заболевания. Однако стоит отметить, что для визуализации сосудов может потребоваться использование контрастного вещества, что также может иметь свои противопоказания.
Другим вариантом является компьютерная томография (КТ), которая может быть выполнена с использованием или без контрастирования. КТ-ангиография позволяет быстро оценить состояние сосудов и выявить острые состояния, такие как инсульт или тромбообразование. Однако, как и в случае с МРТ, использование контрастного вещества может быть ограничено для пациентов с аллергией или почечной недостаточностью.
Также стоит упомянуть ультразвуковую допплерографию, которая является неинвазивным методом исследования, позволяющим оценить кровоток в сосудах головного мозга. Этот метод особенно полезен для мониторинга состояния сосудов у пациентов с хроническими заболеваниями, такими как атеросклероз. Ультразвуковая допплерография не требует применения контрастных веществ и может быть выполнена в амбулаторных условиях.
Кроме того, рентгенография может быть использована для оценки состояния черепа и выявления возможных травм или аномалий. Хотя этот метод не предоставляет детальной информации о сосудах, он может быть полезен в сочетании с другими исследованиями для комплексной оценки состояния пациента.
Наконец, клинические и лабораторные исследования могут помочь в диагностике сосудистых заболеваний. Анализы крови на уровень холестерина, глюкозы и других маркеров могут дать представление о рисках развития сосудистых заболеваний и помочь в выборе дальнейшей тактики лечения.
Таким образом, несмотря на наличие противопоказаний к ангиографии, существует множество альтернативных методов исследования, которые могут быть использованы для диагностики и мониторинга сосудистых заболеваний головного мозга. Выбор метода зависит от клинической ситуации, состояния пациента и доступных ресурсов.





