Кавернозная гемангиома — доброкачественная опухоль из сосудистых образований, возникающая в различных органах и тканях, таких как кожа, печень и позвоночник. Симптомы зависят от локализации и размера опухоли. В статье рассмотрим причины возникновения кавернозной гемангиомы, основные симптомы и методы лечения, которые назначает только квалифицированный врач. Знание этих аспектов поможет распознать заболевание и обратиться за медицинской помощью.
Факторы риска
Хотя точные причины этого заболевания до сих пор не установлены, эксперты выделяют несколько факторов, которые могут способствовать неправильному формированию участков сосудистой системы. К ним относятся:
- осложнения в период родов;
- многоплодная беременность;
- задержка развития плода;
- недоношенность или переношенность;
- преэклампсия и эклампсия;
- патологии плаценты;
- курение, употребление алкоголя или медикаментов во время беременности.
Кавернозная гемангиома не является наследственным заболеванием и, хотя она может увеличиваться в размерах, случаи ее перерождения в злокачественную форму не зафиксированы.
Кавернозная гемангиома представляет собой доброкачественное сосудистое образование, которое может возникать в различных органах, чаще всего в печени и коже. Врачи отмечают, что точные причины появления этих опухолей до конца не изучены, однако генетическая предрасположенность и влияние внешних факторов могут играть значительную роль. Симптомы гемангиомы часто отсутствуют, но в некоторых случаях пациенты могут испытывать боль, дискомфорт или даже кровотечения. При диагностике врачи используют ультразвуковое исследование, МРТ и КТ. Лечение зависит от размера и расположения опухоли: в большинстве случаев достаточно наблюдения, но при наличии осложнений может потребоваться хирургическое вмешательство. Важно, чтобы пациенты регулярно проходили обследования, чтобы избежать возможных осложнений.
https://youtube.com/watch?v=bk-1asiWaK0
Классификация
Сосудистые опухоли можно классифицировать по двум основным критериям: по месту их расположения и по структуре сосудов.
Наиболее часто кавернозные гемангиомы встречаются в верхних слоях кожи головы и шеи. В таких случаях значительный косметический дефект становится одной из главных проблем. Если кавернома небольшая и не проявляет тенденции к увеличению, то ее удаление может и не потребоваться.
Совершенно иная ситуация с гематомами, возникающими в паренхиматозных внутренних органах. Чаще всего они образуются в печени, селезенке, эндокринных железах или головном мозге. Эти опухоли требуют срочного медицинского вмешательства.
Кавернозные гемангиомы, расположенные в опорно-двигательном аппарате, представляют собой одну из самых серьезных форм. Особенно опасны они, если находятся в области позвоночника! Эти опухоли склонны к быстрому росту и могут вызывать сильные и продолжительные кровотечения.
В зависимости от типа сосудов, из которых состоит кавернозная гемангиома, выделяют три основных вида:
- Капиллярная гемангиома, как правило, имеет склонность к самостоятельному регрессу, что чаще всего происходит к 25 годам.
- Гемангиома, состоящая преимущественно из артерий, отличается ярко-красным цветом, большими размерами и расположением в глубоких слоях дермы.
- Венозная гемангиома состоит из вен и венул, ее можно распознать по синеватому оттенку.
Каверномы могут включать в себя несколько типов сосудов и в таком случае называются смешанными. Их отличительной чертой являются крупные полости (каверны), заполненные кровью или тромбами.
| Аспект | Описание | Дополнительная информация |
|---|---|---|
| Определение | Доброкачественное сосудистое новообразование, состоящее из расширенных, неправильной формы кровеносных сосудов, образующих полости (каверны), заполненные кровью. | Может быть врожденной или приобретенной. Чаще всего встречается в коже, печени, головном мозге. |
| Причины | Врожденные: Нарушения эмбрионального развития сосудов. Генетическая предрасположенность (например, при синдроме фон Гиппеля-Линдау). Приобретенные: Точные причины не всегда ясны. Могут быть связаны с травмами, гормональными изменениями (беременность), воспалительными процессами. | В большинстве случаев причина остается идиопатической (неизвестной). |
| Симптомы и признаки (общие) | Зависят от локализации и размера гемангиомы. Могут быть бессимптомными. | Часто обнаруживаются случайно при обследованиях по другим причинам. |
| Симптомы и признаки (кожа) | Красное, синюшное или фиолетовое пятно или узел. Мягкое на ощупь, может увеличиваться при натуживании. | Может быть болезненным при травматизации. Риск изъязвления и кровотечения. |
| Симптомы и признаки (печень) | Обычно бессимптомны. При больших размерах: боль в правом подреберье, чувство тяжести, тошнота, рвота. | Риск разрыва и внутреннего кровотечения (редко). |
| Симптомы и признаки (головной мозг) | Головные боли, судороги, очаговая неврологическая симптоматика (слабость в конечностях, нарушения зрения, речи), кровоизлияния. | Высокий риск серьезных осложнений, включая инсульт. |
| Диагностика | Клинический осмотр: Визуальная оценка, пальпация. Инструментальные методы: УЗИ, КТ, МРТ (с контрастированием), ангиография. Биопсия: В редких случаях для дифференциальной диагностики. | МРТ является наиболее информативным методом для оценки кавернозных гемангиом головного мозга. |
| Лечение (общие принципы) | Зависит от локализации, размера, симптомов и риска осложнений. Наблюдение при бессимптомных и небольших гемангиомах. | Цель лечения – предотвратить осложнения и улучшить качество жизни пациента. |
| Лечение (кожа) | Лазерная терапия: Удаление поверхностных сосудов. Склеротерапия: Введение склерозирующего вещества. Хирургическое иссечение: При больших или осложненных гемангиомах. | Выбор метода зависит от размера, глубины и эстетических соображений. |
| Лечение (печень) | Наблюдение: При бессимптомных и небольших. Эмболизация: Блокировка кровотока к гемангиоме. Хирургическое удаление: При больших, быстрорастущих или симптоматических. | Трансплантация печени в крайне редких случаях при гигантских, неоперабельных гемангиомах. |
| Лечение (головной мозг) | Наблюдение: При бессимптомных и стабильных. Хирургическое удаление: При симптоматических, кровоточащих или расположенных в доступных областях. Радиохирургия: При небольших, глубоко расположенных или неоперабельных. | Лечение проводится нейрохирургом. Риски и польза обсуждаются индивидуально. |
| Прогноз | В большинстве случаев благоприятный, особенно при кожных и печеночных гемангиомах. Прогноз при гемангиомах головного мозга зависит от размера, локализации и наличия кровоизлияний. | Регулярное наблюдение важно для своевременного выявления изменений. |
Клиническая классификация
Хотя кавернозная гемангиома считается доброкачественным образованием, она может проявлять признаки, характерные для злокачественных опухолей. Даже небольшие образования способны стремительно увеличиваться в размерах, достигая внушительных масштабов. Если гемангиома располагается на коже лица или тела, это в первую очередь создает косметический дефект. Однако, если она обнаруживается в внутренних органах, существует риск разрыва капсулы и последующего кровотечения.
В зависимости от степени агрессивности можно выделить следующие категории:
- Асимптоматические неагрессивные гемангиомы, которые не проявляют признаков активного роста.
- Симптоматические неагрессивные новообразования, которые могут вызывать боль, но не демонстрируют агрессивного роста.
- В соответствии с этими характеристиками выделяются также симптоматические агрессивные и асимптоматические агрессивные каверномы.
https://youtube.com/watch?v=kjN8psRqaLE
Как проявляется кавернома
Опухоль часто выглядит как округлое образование, а ее цвет варьируется в зависимости от глубины расположения в дерме. Если кавернома находится в основном в верхнем слое кожи, ее оттенок может колебаться от ярко-красного до фиолетово-синюшного. При подкожной локализации образования иногда наблюдается лишь бледность кожных покровов.
Важно! Кавернозная гемангиома совершенно безболезненна! Однако она представляет опасность в другом: даже незначительное повреждение может вызвать сильное кровотечение.
При нажатии на опухоль она немного бледнеет, что связано с оттоком крови. Это явление можно считать диагностическим признаком. В то же время, при кашле или физической активности новообразование становится значительно ярче. Не всегда кавернома заметна у новорожденных. Интенсивность и скорость роста каждой опухоли индивидуальны, поэтому строить предположения о ее появлении нецелесообразно.
В процессе «созревания» новообразование может разрастаться во все слои кожи, включая подкожно-жировую клетчатку. Если оно сохраняет свои очертания, то напоминает ягоду, а при диффузном росте теряет четкость контуров и занимает большую площадь. Для такой каверномы характерны спонтанные кровотечения, которые могут приводить к образованию язв или некротических участков на поверхности.
Обратите внимание! Кавернозная гемангиома внутренних органов опасна возможностью обширного кровотечения, которое трудно остановить.
При расположении опухоли во внутренних органах ее обнаружить достаточно сложно, так как заболевание протекает бессимптомно. Она постепенно увеличивается, наполняется кровью, а фиброзная стенка новообразования истончается. Учитывая, что этот тип каверном чаще всего образован артериями, риск кровотечения значительно возрастает.
Селезенка является одним из органов, выполняющих функцию «депо крови», и поэтому имеет обильное кровоснабжение. Кровоточащие гемангиомы этого паренхиматозного органа могут привести к летальному исходу. А нарушение целостности стенки новообразований, расположенных в головном мозге, может вызвать геморрагический инсульт в любом отделе центральной нервной системы.
Как протекает заболевание у новорожденных
Данная патология наблюдается у 12% новорожденных, а среди недоношенных детей этот показатель достигает 22%. У большинства младенцев данное новообразование выявляется в первые часы после рождения, как акушеркой, так и матерью. В некоторых ситуациях оно может окончательно сформироваться спустя несколько месяцев после появления на свет. Родители могут заметить появление красных пятен, отметин или царапин, которые не связаны с травмами. Также предшественниками могут служить телеангиоэктазии, побледнение небольшого участка кожи или розоватое (иногда синеватое) пятно.
Поскольку заболевание не возникает мгновенно, оно проходит несколько обязательных этапов:
- Фаза роста продолжается до девяти месяцев. На этом этапе опухоль увеличивается в размерах: она проникает в глубокие слои кожи и расширяется в диаметре. Внешне она выглядит как возвышающееся над кожей розоватое или красное образование с шероховатой, мелкобугристой поверхностью. Если опухоль расположена под кожей, она может иметь синеватый оттенок.
- В фазе покоя гемангиома стабилизируется и прекращает расти. Этот этап может длиться несколько лет.
- В фазе регрессии новообразование начинает уменьшаться и бледнеть. Если кавернома большая и прорастает вглубь кожи, на ее месте могут оставаться рубцы, атрофические участки дермы или зоны гиперпигментации.
Протекание и продолжительность этих фаз индивидуальны для каждого ребенка. В некоторых случаях опухоль может не регрессировать.
Методы диагностики
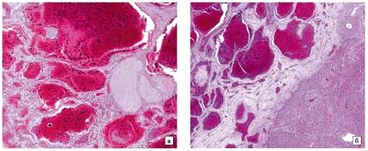
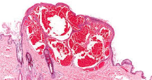
Хотя кавернозная гемангиома обладает характерной структурой и внешним видом, окончательное подтверждение диагноза возможно лишь после получения заключения от гистолога. На микропрепарате специалист может наблюдать каверны, выстланные эндотелиальными клетками и заполненные кровью. Над эндотелиальной оболочкой также выявляется фиброзная ткань.
Для выявления кавернозной гемангиомы, находящейся в толще внутренних органов, применяется ультразвуковое исследование. Этот метод позволяет определить размеры образования и его эхографическую плотность.
Принципы лечения
Тактика лечения в первую очередь определяется типом кавернозной гемангиомы. Важными факторами являются скорость ее роста, место локализации и степень агрессивности. Многие специалисты полагают, что кожные и внутрикожные опухоли со временем могут рассосаться. Однако, учитывая их частое расположение на лице и шее, такие косметические дефекты могут вызвать серьезные комплексы и затруднения в социализации у детей и подростков.
При первом выявлении новообразования врачи обычно выбирают выжидательную стратегию. Если родители или педиатры замечают признаки регрессии (уменьшение размеров, осветление), то хирургическое вмешательство не требуется. Такой вариант течения заболевания считается наиболее благоприятным, так как на коже не останется рубцов или участков гиперпигментации.
Интересный факт: после лазерного удаления или криодеструкции опухоли на волосистой части головы волосы в этом месте могут перестать расти.
Тем не менее, такая выжидательная тактика подходит только для новообразований, расположенных на коже. Для кавернозных гемангиом, находящихся внутри органов, это не является приемлемым! Иссечение таких опухолей должно проводиться в кратчайшие сроки.
Существует ряд состояний, которые являются абсолютными показаниями для удаления образования:
- риск кровотечения;
- опухоль затрагивает слуховой аппарат или глазное яблоко;
- постоянные травмы;
- планируемая беременность.
Хотя опухоль и считается доброкачественной, она может представлять опасность из-за возможного кровотечения или нарушения функционирования органов.
Лечение внутрикожных каверном
Если кавернозная опухоль не проходит самостоятельно, врачи могут предложить несколько методов лечения:
- Лазерное удаление. Этот метод основан на воздействии лазерного луча, который «склеивает» сосуды, что полностью исключает риск кровотечения. После процедуры не остаётся шрамов или рубцов.
- Склерозирование гемангиомы — это проверенный, хотя и болезненный способ. Он заключается во введении в полость опухоли смеси этилового спирта и салицилата натрия. Для полного устранения проблемы может потребоваться несколько сеансов, в зависимости от размера каверномы.
- Криотерапия, или удаление каверномы с помощью жидкого азота, чаще всего применяется для лечения небольших поверхностных кавернозных опухолей.
- Хирургическое удаление обеспечивает 100% гарантию, предотвращая рецидив заболевания, и подходит для гемангиом любых размеров и расположений. Однако после операции остаются шрамы и рубцы.
- Электрокоагуляция, как и криотерапия, эффективна только для небольших новообразований.
Многие специалисты рекомендуют не ограничиваться одним из перечисленных методов, а использовать комбинированное лечение. Например, можно успешно сочетать криотерапию с хирургическим вмешательством.
https://youtube.com/watch?v=rp1f1_5MGQE
Осложнения кавернозной гемангиомы
Кавернозная гемангиома, хотя и является доброкачественной опухолью, может вызывать ряд осложнений, которые требуют внимательного наблюдения и, в некоторых случаях, медицинского вмешательства. Одним из наиболее распространенных осложнений является сдавление окружающих тканей и органов. Это может привести к нарушению их функции, особенно если гемангиома расположена в области жизненно важных органов, таких как печень, легкие или головной мозг.
При наличии кавернозной гемангиомы в печени, пациент может испытывать боли в правом подреберье, а также нарушения пищеварения. В случае, если опухоль начинает увеличиваться в размерах, это может привести к разрыву гемангиомы, что является серьезным состоянием, требующим неотложной медицинской помощи. Разрыв гемангиомы может вызвать внутреннее кровотечение, что может быть опасно для жизни пациента.
Кавернозные гемангиомы, расположенные в головном мозге, могут вызывать неврологические симптомы, такие как головные боли, судороги, нарушения координации и даже инсульт. Эти симптомы возникают из-за давления опухоли на соседние структуры мозга или из-за нарушения кровоснабжения. В таких случаях важно провести тщательное обследование, чтобы определить необходимость хирургического вмешательства.
Еще одним осложнением является тромбообразование. Внутри кавернозной гемангиомы могут образовываться тромбы, что может привести к нарушению кровотока и, как следствие, к ишемии тканей. Это особенно актуально для гемангиом, расположенных в конечностях, где может возникнуть риск развития синдрома сжатия.
Кроме того, кавернозные гемангиомы могут вызывать косметические дефекты, особенно если они расположены на коже или в подлежащих тканях. Это может негативно сказаться на психоэмоциональном состоянии пациента, вызывая комплексы и снижая качество жизни.
В некоторых случаях кавернозные гемангиомы могут подвергаться малигнизации, что является редким, но серьезным осложнением. Это может произойти в результате мутаций клеток гемангиомы, что приводит к их перерождению в злокачественные. Поэтому важно регулярно наблюдать за состоянием гемангиомы и при необходимости проводить дополнительные исследования.
Таким образом, несмотря на то что кавернозная гемангиома чаще всего является доброкачественной, она может вызывать серьезные осложнения, требующие внимательного подхода и своевременного лечения. Регулярные обследования и консультации с врачом помогут избежать негативных последствий и сохранить здоровье пациента.
Прогноз и долгосрочные последствия
Прогноз при кавернозной гемангиоме зависит от ряда факторов, включая размер, локализацию и наличие осложнений. В большинстве случаев, особенно если гемангиома небольшая и не вызывает симптомов, она может не требовать активного лечения и может самостоятельно регрессировать с возрастом. Однако в некоторых случаях, особенно при наличии крупных образований или тех, которые расположены в критически важных областях, таких как головной мозг или позвоночник, могут возникнуть серьезные последствия.
Одним из основных факторов, влияющих на прогноз, является возраст пациента. У детей кавернозные гемангиомы часто имеют тенденцию к спонтанному уменьшению или исчезновению в течение первых нескольких лет жизни. У взрослых же такие образования могут сохраняться и даже увеличиваться в размерах, что может привести к различным осложнениям, включая боль, нарушение функции органов и даже угроза жизни в случае расположения в жизненно важных областях.
Долгосрочные последствия кавернозной гемангиомы могут варьироваться. В случае, если гемангиома вызывает сдавление окружающих тканей или органов, это может привести к функциональным нарушениям. Например, гемангиома, расположенная в области позвоночника, может вызвать компрессию спинного мозга, что приведет к неврологическим симптомам, таким как слабость, онемение или даже паралич.
Кроме того, кавернозные гемангиомы могут быть подвержены тромбообразованию и некрозу, что может вызвать воспалительные процессы и вторичные инфекции. В редких случаях может возникнуть и геморрагия, особенно если гемангиома расположена в области, подверженной травмам.
Важно отметить, что регулярное наблюдение и контроль за состоянием кавернозной гемангиомы, особенно в случае ее увеличения или появления новых симптомов, являются ключевыми для предотвращения возможных осложнений. В некоторых случаях может потребоваться хирургическое вмешательство для удаления гемангиомы или ее части, если она вызывает значительные проблемы.
Таким образом, прогноз при кавернозной гемангиоме в значительной степени зависит от индивидуальных особенностей пациента, размеров и локализации образования, а также наличия сопутствующих заболеваний. Своевременная диагностика и адекватное лечение могут значительно улучшить качество жизни пациентов и снизить риск долгосрочных последствий.
Профилактика и рекомендации
Кавернозная гемангиома, как и многие другие сосудистые образования, может быть сложной для диагностики и лечения. Хотя точные причины возникновения кавернозных гемангиом до конца не изучены, существуют некоторые рекомендации и меры профилактики, которые могут помочь снизить риск их развития или минимизировать возможные осложнения.
1. Регулярные медицинские осмотры: Важно проходить регулярные медицинские осмотры, особенно если у вас есть предрасположенность к сосудистым заболеваниям. Это позволит выявить гемангиомы на ранних стадиях и начать лечение при необходимости.
2. Избегание травм: Поскольку кавернозные гемангиомы могут возникать в результате травм или повреждений сосудов, рекомендуется избегать ситуаций, которые могут привести к травмам, особенно в области, где уже имеются сосудистые образования.
3. Здоровый образ жизни: Поддержание здорового образа жизни, включая сбалансированное питание, регулярные физические нагрузки и отказ от вредных привычек, таких как курение и злоупотребление алкоголем, может способствовать общему укреплению сосудистой системы и снижению риска развития гемангиом.
4. Контроль за хроническими заболеваниями: Людям с хроническими заболеваниями, такими как диабет или гипертония, следует тщательно контролировать свое состояние и следовать рекомендациям врачей. Это поможет предотвратить осложнения, связанные с сосудистыми образованиями.
5. Обращение к специалистам: При появлении любых подозрительных образований на коже или в других частях тела, а также при наличии симптомов, таких как боль или дискомфорт, необходимо незамедлительно обратиться к врачу. Специалисты могут провести необходимые исследования и назначить соответствующее лечение.
6. Психологическая поддержка: Поскольку наличие кавернозной гемангиомы может вызывать психологический дискомфорт, важно не пренебрегать психологической поддержкой. Консультации с психологом или психотерапевтом могут помочь справиться с тревогой и стрессом, связанными с заболеванием.
Следуя этим рекомендациям, можно значительно снизить риск возникновения кавернозных гемангиом и улучшить общее состояние здоровья. Однако важно помнить, что каждый случай индивидуален, и подход к профилактике и лечению должен быть основан на консультации с квалифицированным специалистом.






