Плазматические клетки — специализированные клетки иммунной системы, отвечающие за выработку антител и защиту от инфекций. Их наличие в общем анализе крови может указывать на различные состояния здоровья, как нормальные, так и патологические. В статье рассмотрим значение плазматических клеток в анализе крови, причины изменения их уровня, а также методы диагностики и лечения, что поможет читателям лучше понять их роль в здоровье и своевременно реагировать на изменения в организме.
Что такое плазматические клетки
Плазмоциты, также известные как плазматические клетки, представляют собой уникальный вид клеток, относящихся к лимфоцитарной группе. Их главная функция заключается в производстве специфических антител. Основная цель этих клеток – борьба с патогенными микроорганизмами, проникающими в организм.
Плазматические клетки — это специализированные клетки, отвечающие за выработку антител и играющие ключевую роль в иммунной системе. Их наличие в крови может свидетельствовать о различных состояниях, включая инфекционные заболевания, аутоиммунные расстройства и даже некоторые виды рака, такие как миелома. Врачи отмечают, что повышенное количество плазматических клеток может указывать на активную иммунную реакцию организма, однако в некоторых случаях это может быть признаком патологии. Для диагностики и определения причин увеличения плазматических клеток необходимо провести дополнительные исследования, такие как анализы крови и биопсия. Лечение зависит от основного заболевания: в случае инфекций могут быть назначены антибиотики, а при онкологических процессах — химиотерапия или другие методы. Важно, чтобы пациенты обращались к специалистам для своевременной диагностики и адекватного лечения.

Процесс появления
Плазматические клетки имеют округлую или овальную форму, их диаметр составляет от 16 до 19 мкм. Эти клетки постоянно находятся в красном костном мозге, селезенке и лимфатических узлах, а их выработка происходит благодаря В-лимфоцитам.
Процесс активного производства плазматических клеток начинается, когда головной мозг посылает сигнал В-лимфоцитам о наличии чуждых агентов в организме. Для того чтобы остановить воспаление, плазматические клетки образуются непрерывно. В результате в анализах крови можно наблюдать их повышенное количество, что свидетельствует о активной работе иммунной системы. Зрелые плазматические клетки живут всего 2-3 дня.
Важно!
Каждая плазматическая клетка способна производить несколько тысяч иммуноглобулинов каждую секунду.
Кроме того, в процессе борьбы с патогенными микроорганизмами формируются клетки иммунной памяти. Они запоминают «врага» и при повторном его появлении уничтожают его быстрее. Это позволяет организму тратить меньше энергии на борьбу с инфекцией, что способствует более быстрому выздоровлению. Именно эти компоненты биологической жидкости обеспечивают стойкий иммунитет к некоторым перенесенным вирусным или инфекционным заболеваниям, предотвращая их повторное возникновение.
| Показатель | Что это значит | Причины появления | Лечение |
|---|---|---|---|
| Плазматические клетки в крови | В норме плазматические клетки отсутствуют или встречаются в очень малом количестве (менее 1%). Их появление в периферической крови (плазмацитоз) указывает на активацию иммунной системы и может быть признаком различных заболеваний. | Инфекции: Вирусные (ВИЧ, Эпштейна-Барр, цитомегаловирус), бактериальные (туберкулез, сифилис), паразитарные. Аутоиммунные заболевания: Системная красная волчанка, ревматоидный артрит. Злокачественные новообразования: Множественная миелома (плазмоклеточная миелома), плазмоклеточная лейкемия, лимфомы. Другие состояния: Лекарственная реакция, хронические воспалительные процессы, после трансплантации органов. |
Лечение направлено на устранение основной причины. Инфекции: Антибиотики, противовирусные, противопаразитарные препараты. Аутоиммунные заболевания: Иммуносупрессоры, кортикостероиды. Злокачественные новообразования: Химиотерапия, лучевая терапия, таргетная терапия, трансплантация стволовых клеток. Симптоматическое лечение: Поддерживающая терапия, направленная на облегчение симптомов и улучшение качества жизни. |
| Количество плазматических клеток | Незначительное повышение (до 5%): Часто связано с острыми инфекциями или воспалительными процессами. Умеренное повышение (5-15%): Может указывать на хронические инфекции, аутоиммунные заболевания или начальные стадии некоторых злокачественных процессов. Значительное повышение (более 15%): Высоко подозрительно на плазмоклеточные неоплазии, такие как множественная миелома или плазмоклеточная лейкемия. |
См. «Причины появления» выше. | См. «Лечение» выше. |
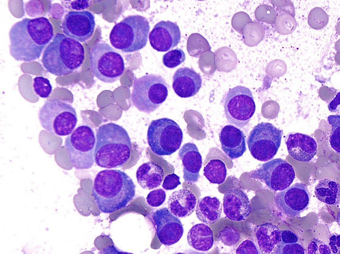
| Морфология плазматических клеток | Нормальные плазматические клетки: Овальная форма, эксцентрично расположенное ядро, базофильная цитоплазма, светлый околоядерный ореол. Атипичные плазматические клетки: Могут иметь необычную форму, увеличенное или неправильной формы ядро, ядрышки, вакуоли в цитоплазме. Их наличие часто указывает на злокачественный процесс. |
Злокачественные новообразования: Множественная миелома, плазмоклеточная лейкемия. Реактивные состояния: Иногда при выраженных воспалительных процессах могут встречаться реактивные атипичные формы. |
См. «Лечение» выше. Диагностика атипичных форм требует дополнительных исследований (иммунофенотипирование, биопсия костного мозга). |
Главные причины
Появление плазмоцитов в крови у взрослых и детей является нормальной реакцией организма на проникновение чуждых веществ. Эти клетки играют важную роль в формировании иммунной защиты, готовясь к борьбе с воспалительными процессами. Основными факторами, способствующими увеличению количества плазмоцитов в крови, являются вирусные, инфекционные и бактериальные заболевания. Кроме того, их уровень может повышаться под воздействием следующих состояний:
- острые респираторно-вирусные инфекции (ОРВИ);
- острые респираторные заболевания (ОРЗ);
- грипп;
- туберкулез;
- мононуклеоз;
- ветряная оспа, корь, краснуха;
- аутоиммунные заболевания;
- длительный дисбактериоз;
- острые гнойные инфекции (сепсис);
- онкологические заболевания;
- последствия радиационного облучения.
В отсутствие патогенных факторов потребность в плазмоцитах минимальна, поэтому их образование без видимых причин наблюдается крайне редко. Уровень этих клеток может увеличиваться при наличии высокой температуры, болях в мышцах и суставах, а также при головной боли и боли в горле.


Нормальные показатели
У здорового человека плазматические клетки в биологических жидкостях отсутствуют. Для взрослых нормальным считается наличие не более 1-2 клеток на 1000 форменных элементов. Это крайне низкий показатель, который не свидетельствует о наличии каких-либо заболеваний. Поэтому в общем анализе крови, при исследовании менее 200 клеток, плазмоциты не выявляются.
Исключение составляют дети, у которых иммунный ответ активируется на каждое потенциальное угроза. В анализе крови у младенцев допустимо наличие плазмоцитов в пределах 1-2% от общего числа других кровяных клеток. У детей старшего возраста, вплоть до подросткового, содержание плазматических клеток варьируется от 0,25% до 0,5% на 200-400 лейкоцитов. Таким образом, возраст пациента является важным фактором, который влияет на результаты анализа.
Исследования для выявления показателя
Лечащий врач может назначить общий анализ крови, если у пациента наблюдаются длительные лихорадочные состояния, боли и дискомфорт в суставах, а также увеличение лимфатических узлов. Забор крови осуществляется из пальца, реже – из вены. Специальная подготовка к анализу не требуется. Достаточно воздержаться от приема пищи за 6-8 часов до процедуры. Обычно результаты лабораторного исследования становятся известны на следующий день.
Важно!
Своевременная диагностика способствует быстрому выявлению заболевания и началу лечения, что, в свою очередь, ускоряет процесс выздоровления.
На основании полученных данных врач разрабатывает план терапии, принимая во внимание возраст пациента и индивидуальные особенности его организма. Для выявления конкретного патогенного микроорганизма могут быть использованы следующие высокоточные методы:
- иммуноферментный анализ (ИФА) – метод, позволяющий диагностировать инфекционные и эндокринные заболевания, основанный на взаимодействии антигенов и антител;
- полимерная цепная реакция (ПЦР) – современный и точный метод, который помогает обнаружить инфекционного возбудителя в организме.
Однако чаще всего для диагностики бывает достаточно обычного анализа крови из пальца.
Патологии плазматических клеток
Обнаружение плазматических клеток в крови может свидетельствовать о наличии ряда серьезных заболеваний. К ним относятся:
- Миелома – это злокачественные опухоли, возникающие из измененных плазмоцитов. Чаще всего данная патология затрагивает костную ткань. Лечение миеломной болезни неэффективно. Пациенты испытывают сильные боли и, как правило, умирают со временем.
- Макроглобулинемия Вальденстрема – это лимфома, при которой в кровь поступает значительное количество моноклонального иммуноглобулина М. Чаще всего поражаются костный мозг, селезенка и печень. Обычно летальный исход наступает в течение трех лет после установления диагноза.
- Болезнь Франклина – это состояние иммунодефицита, которое характеризуется нарушением синтеза иммуноглобулинов и появлением атипичного белка в моче. Основными признаками являются выраженное истощение и анемия.
- Болезнь Селигмана – это нарушение функционирования иммунной системы, проявляющееся длительной диареей. В результате у пациента наблюдается снижение массы тела и нехватка питательных веществ.
Точные причины возникновения этих заболеваний остаются неизвестными. Однако наиболее тревожным является тот факт, что эти болезни не поддаются лечению и могут привести к летальному исходу. Терапия может лишь помочь уменьшить выраженность клинических симптомов.
Тактика терапии
Лечение направлено на устранение факторов, способствующих образованию плазматических клеток в крови. Врач может рекомендовать следующие группы препаратов:
- антибиотики;
- противовирусные средства;
- антигистаминные препараты;
- средства против глистов;
- витаминные комплексы.
Выбор лекарств осуществляется с учетом причин, вызвавших проблему. Особенно внимательно подбирается терапия, если плазматические клетки обнаружены у ребенка. После выздоровления повышенное содержание плазматических клеток в крови может сохраняться некоторое время, что считается нормальным состоянием, и дополнительное лечение не требуется.
Если наблюдается значительное количество измененных плазмоцитов, может потребоваться хирургическое вмешательство, а также применение глюкокортикостероидов, лучевой и химиотерапии. Лечение в таких случаях проводится в стационаре под наблюдением специалистов.
Профилактика
Специфических мер по профилактике появления плазмоцитов в крови не существует. Однако известно, что эти плазменные клетки возникают при инфекционном воспалении. Исходя из этого, можно следовать следующим рекомендациям для профилактики:
- регулярно проходить медицинские осмотры и вакцинацию;
- своевременно лечить инфекционные и вирусные болезни;
- принимать медикаменты только по назначению врача;
- правильно и сбалансированно питаться;
- отказаться от вредных привычек, таких как курение и употребление алкоголя;
- избегать стрессовых ситуаций и эмоциональных перегрузок;
- больше проводить времени на свежем воздухе;
- заниматься физической активностью по мере возможностей;
- нормализовать режим сна и бодрствования;
- поддерживать организм с помощью витаминных комплексов, особенно в осенне-зимний период.
Что касается повышения уровня моноцитов в крови у детей, то эти клетки играют ключевую роль в иммунной системе, обеспечивая гомеостаз (внутреннее равновесие организма). Если…
Кроме того, для улучшения обменных процессов важно наладить питьевой режим. Рекомендуется употреблять не менее двух литров чистой воды в день.
Плазматические клетки не появляются в кровеносной системе без причины. В первую очередь, необходимо выяснить источник их возникновения. Если причиной стали инфекции, вирусы или бактерии, то требуется соответствующее лечение. При подозрении на онкологические заболевания или аутоиммунные расстройства может понадобиться дополнительная диагностика и более продолжительная, сложная терапия.
Симптомы и проявления
Плазматические клетки, или плазмоциты, представляют собой специализированные клетки, которые играют ключевую роль в иммунной системе, производя антитела для борьбы с инфекциями. Их присутствие в крови может указывать на различные патологические состояния.
Одним из наиболее распространенных состояний, связанных с увеличением плазматических клеток, является множественная миелома. Это злокачественное заболевание, при котором происходит аномальный рост плазматических клеток в костном мозге. Симптомы множественной миеломы могут включать:
- Боль в костях: Часто пациенты жалуются на боли в спине, ребрах или других костях, что связано с разрушением костной ткани.
- Усталость и слабость: Из-за анемии, вызванной недостатком здоровых красных кровяных клеток, пациенты могут испытывать постоянную усталость.
- Частые инфекции: Поскольку плазматические клетки отвечают за выработку антител, их аномальное количество может привести к снижению иммунной функции, что делает организм более уязвимым к инфекциям.
- Проблемы с почками: Высокий уровень белка в крови может негативно сказываться на функции почек, что может проявляться отеками и изменениями в моче.
- Неврологические симптомы: В некоторых случаях пациенты могут испытывать онемение, покалывание или слабость в конечностях из-за компрессии нервов.
Другие состояния, которые могут быть связаны с повышением уровня плазматических клеток, включают хронические воспалительные заболевания, такие как системная красная волчанка или ревматоидный артрит. В этих случаях симптомы могут варьироваться от суставной боли и отека до системных проявлений, таких как лихорадка и потеря веса.
Важно отметить, что наличие плазматических клеток в крови не всегда указывает на заболевание. В некоторых случаях их уровень может повышаться в ответ на инфекцию или воспаление, что является нормальной реакцией организма. Поэтому для точной диагностики и определения причин повышения уровня плазматических клеток необходимо провести дополнительные исследования и анализы.
Если у вас есть подозрения на наличие заболеваний, связанных с плазматическими клетками, важно обратиться к врачу для получения квалифицированной медицинской помощи и проведения необходимых обследований.
Диагностические методы
Для диагностики наличия плазматических клеток в крови используются различные методы, которые позволяют не только выявить их присутствие, но и оценить общее состояние иммунной системы пациента. Основные диагностические подходы включают:
- Общий анализ крови: Этот базовый тест позволяет оценить уровень различных клеток крови, включая лейкоциты, эритроциты и тромбоциты. При наличии плазматических клеток может наблюдаться увеличение уровня белка, что указывает на возможные нарушения в иммунной системе.
- Иммунный анализ: Этот метод позволяет более точно определить количество плазматических клеток и их подтипы. Используются специальные антитела, которые связываются с определенными маркерами на поверхности плазматических клеток, что позволяет их идентифицировать и подсчитать.
- Микроскопия: Образцы крови могут быть исследованы под микроскопом, что позволяет визуально оценить количество плазматических клеток. Этот метод может быть использован в сочетании с окрашиванием, чтобы улучшить видимость клеток.
- Электрофорез белков: Этот тест позволяет разделить белки в сыворотке крови по их размеру и заряду. При наличии плазматических клеток может наблюдаться аномальное увеличение определенных белков, таких как моноклональные иммуноглобулины, что указывает на возможные заболевания, связанные с плазматическими клетками.
- Биопсия костного мозга: В некоторых случаях может потребоваться более инвазивный метод, такой как биопсия костного мозга, для оценки состояния плазматических клеток. Этот метод позволяет получить образцы костного мозга и провести их детальное исследование на наличие аномальных клеток.
- Компьютерная томография (КТ) и магнитно-резонансная томография (МРТ): Эти методы визуализации могут быть использованы для оценки состояния органов и тканей, а также для выявления возможных опухолей или других аномалий, связанных с плазматическими клетками.
Каждый из этих методов имеет свои преимущества и ограничения, и выбор конкретного подхода зависит от клинической ситуации, состояния пациента и предполагаемого диагноза. Важно, чтобы диагностика проводилась квалифицированным специалистом, который сможет интерпретировать результаты и назначить соответствующее лечение.
Прогноз и возможные осложнения
Прогноз при наличии плазматических клеток в крови зависит от основного заболевания, которое вызвало их увеличение. Плазматические клетки — это специализированные клетки, ответственные за выработку антител, и их присутствие в крови может свидетельствовать о различных патологических состояниях, включая множественную миелому, хронические воспалительные процессы или инфекционные заболевания.
В случае множественной миеломы, которая является наиболее распространённой причиной увеличения плазматических клеток, прогноз может варьироваться. Заболевание характеризуется агрессивным течением и может приводить к различным осложнениям, таким как анемия, остеопороз, почечная недостаточность и повышенная предрасположенность к инфекциям. Прогноз зависит от стадии заболевания, возраста пациента, общего состояния здоровья и реакции на лечение. Современные методы терапии, включая химиотерапию, иммунотерапию и трансплантацию стволовых клеток, могут значительно улучшить выживаемость и качество жизни пациентов.
При других состояниях, таких как хронические воспалительные заболевания или инфекции, наличие плазматических клеток может указывать на активный иммунный ответ. В таких случаях прогноз может быть более благоприятным, особенно если основное заболевание поддается лечению. Однако хронические инфекции или аутоиммунные заболевания могут также приводить к длительным осложнениям, требующим постоянного наблюдения и коррекции терапии.
Важно отметить, что наличие плазматических клеток в крови само по себе не является диагнозом, а лишь маркером, который требует дальнейшего обследования для установления причины их увеличения. В зависимости от выявленного заболевания, могут возникнуть различные осложнения, такие как:
- Инфекционные осложнения: Увеличение плазматических клеток может указывать на ослабление иммунной системы, что делает организм более уязвимым к инфекциям.
- Проблемы с почками: В случае множественной миеломы, избыток белков может привести к повреждению почек, что требует мониторинга функции почек и, в некоторых случаях, диализа.
- Костные осложнения: Плазматические клетки могут вызывать разрушение костной ткани, что приводит к болям в костях и повышенному риску переломов.
- Анемия: Увеличение плазматических клеток может нарушать нормальное кроветворение, что приводит к снижению уровня гемоглобина и развитию анемии.
Таким образом, прогноз и возможные осложнения при наличии плазматических клеток в крови зависят от конкретного клинического контекста и требуют индивидуального подхода к диагностике и лечению. Раннее выявление и адекватная терапия основного заболевания могут значительно улучшить исходы и качество жизни пациентов.





