Моноциты — тип белых кровяных клеток, играющих важную роль в иммунной системе. Их уровень в крови зависит от возраста, состояния здоровья и заболеваний. В статье рассмотрим норму моноцитов у женщин по возрасту, представим таблицу с их содержанием и обсудим отклонения, указывающие на заболевания. Также предложим рекомендации по нормализации уровня моноцитов, что поможет читателям понять важность контроля этого показателя для здоровья.
Понятие моноцитов
Лейкоцитарная формула включает в себя пять типов клеток, среди которых находятся и моноциты (MON). Эти клетки являются наиболее активными фагоцитами среди всех лейкоцитов. Анализ уровня моноцитов позволяет оценить состояние иммунной системы, а также выявить наличие аутоиммунных и инфекционных заболеваний.
Обратите внимание!
Фагоциты – это клетки иммунной системы, которые защищают организм, поглощая чуждые патогены, такие как вирусы и бактерии, а также мертвые или умирающие клетки.
Врачи отмечают, что уровень моноцитов в крови у женщин варьируется в зависимости от возраста и состояния здоровья. Нормальные значения для взрослых женщин составляют от 2 до 8% от общего числа лейкоцитов. С возрастом эти показатели могут изменяться: у молодых женщин уровень моноцитов может быть несколько выше, что связано с активной иммунной системой. В период менопаузы и старше, уровень моноцитов может снижаться, что также является нормой. Важно учитывать, что на уровень моноцитов могут влиять различные факторы, такие как инфекции, воспалительные процессы и хронические заболевания. Поэтому регулярные анализы крови и консультации с врачом помогут контролировать состояние здоровья и своевременно выявлять возможные отклонения.
Как выглядят
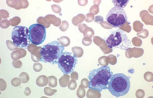
Диаметр моноцитов составляет около 20 мкм. В центре каждой лейкоцитарной клетки расположено ядро, представляющее собой рыхлую хроматиновую структуру. Как и лимфоциты, моноциты имеют полиморфные, несегментированные ядра. Эти клетки имеют бобовидную форму, а внутри них находится цитоплазматическая жидкость.
| Возраст (лет) | Норма моноцитов (абсолютное значение, x10^9/л) | Норма моноцитов (относительное значение, %) |
|---|---|---|
| До 1 года | 0.05 — 1.1 | 4 — 10 |
| 1 — 16 | 0.05 — 0.8 | 3 — 9 |
| 16 — 60 | 0.04 — 0.8 | 3 — 8 |
| Старше 60 | 0.04 — 0.9 | 3 — 9 |
Где образуются
Моноциты представляют собой крупные одноядерные клетки, которые формируются в костном мозге. После этого они попадают в кровоток, где находятся наиболее зрелые из них, обладающие выраженной фагоцитарной активностью. В течение следующих пяти дней эти клетки продолжают свое развитие, становясь частью периферической крови.
При условии, что у женщины функционируют здоровые кроветворные и лимфатические системы, моноциты могут находиться в крови от 20 до 40 часов. Затем они перемещаются в мягкие ткани, где превращаются в макрофаги и становятся важным элементом иммунной системы. Макрофаги – это клетки, которые способны захватывать и переваривать «врагов», а также остатки погибших клеток.
Функции
Моноциты играют ключевую роль в очищении кровеносной системы от патогенных микроорганизмов и укреплении иммунной защиты. Эти клетки обладают мощными свойствами, направленными на борьбу с паразитами, вирусами, бактериями, грибками и опухолевыми образованиями.
Наибольшее количество моноцитов сосредоточено в лимфатических узлах, печени, селезенке и легких. Они отличаются высокой подвижностью и способны быстро перемещаться к местам возникновения проблем. При появлении угрозы в организме моноциты незамедлительно направляются в нужные участки.
Основные функции моноцитов:
- Моноциты предотвращают развитие патогенных процессов, таких как воспаления и инфекции, на ранних стадиях. Эти клетки являются передовым отрядом иммунной системы, первыми реагируя на «врагов». Они не допускают проникновения вирусов и бактерий в кровь через открытые раны. Этот процесс называется фагоцитозом. Уничтожив патогены, защитные клетки расщепляют и переваривают их, тем самым восстанавливая свои силы и восполняя затраты энергии.
- Запускают иммунный ответ. Скорость реакции моноцитов напрямую влияет на то, как быстро общий иммунитет сможет противостоять инфекциям, включая вирусы, бактерии и грибки.
- Уничтожают мутировавшие клетки. Переродившиеся и измененные клетки представляют собой серьезную угрозу для организма, создавая условия для формирования различных опухолей. Моноциты связывают и уничтожают эти клетки до того, как они смогут активироваться.
- Очищают ткани от патогенов и остатков клеток. В результате механических повреждений, острых воспалений и других травм образуется множество полуразрушенных клеток. Моноциты удаляют их остатки и уничтожают патогенные бактерии.
- Накапливают информацию о патогенах, проникающих в кровь и ткани. Защитные клетки, обезвредив патогены, «запоминают» их, что позволяет им более эффективно реагировать на повторные атаки.
- Синтезируют цитокины – молекулы пептидного типа, которые играют важную роль в иммунном ответе на воспалительные процессы.

Как сдают анализ
Анализ крови на моноциты осуществляется в рамках общего анализа крови (ОАК). Врач, направляя пациентку в лабораторию, указывает на необходимость проведения лейкоцитарной формулы. Кровь обычно берут из пальца, однако, если женщина сдает кровь из вены для других исследований, можно взять несколько капель из общего забора для подсчета моноцитов.
Когда и как правильно сдавать кровь:
- утром;
- на голодный желудок;
- в спокойном состоянии;
- за несколько часов до анализа избегать физических нагрузок и курения.
У здоровых людей уровень моноцитов может немного увеличиваться в течение первых двух часов после приема пищи. Ранее считалось, что это незначительное повышение не влияет на результаты анализов. Однако современные высокочувствительные аппараты, которые автоматически интерпретируют результаты, способны фиксировать даже малейшие изменения в составе клеток. Поэтому врачи настоятельно рекомендуют сдавать ОАК натощак.
Несоблюдение правил сдачи крови может привести к получению недостоверных результатов. Врач, основываясь на таких данных, может не заметить серьезные заболевания.
Важно!
Если врач не укажет в направлении необходимость анализа лейкоцитарной формулы, лаборант предоставит информацию только о общем количестве лейкоцитов.
Показания для проведения анализа:
- повышенная температура тела;
- аритмия и тахикардия;
- одышка;
- частые необъяснимые расстройства кишечника;
- быстрая утомляемость;
- проблемы с кожей;
- хронические заболевания органов дыхания;
- аллергические реакции.
Направление на анализ моноцитов выдает лечащий врач после первичного осмотра пациентки.

Норма MON у женщин
Уровень моноцитов определяется в процентах от общего количества лейкоцитов. Нормальные показатели моноцитов в крови для мужчин и женщин идентичны. Обычные значения MON варьируются в пределах 3-11%. Моноциты также могут быть представлены в абсолютных единицах, где количественная норма MON составляет 0,09-0,7 (Г/л).
Показатели MON изменяются с момента рождения и до 16 лет. После этого нормы для взрослых, как для женщин, так и для мужчин, остаются стабильными и одинаковыми. Ниже представлена таблица с нормами моноцитов у женщин (и детей) по возрастным категориям:
| Возраст | MON, % |
| первые 2 недели | 3-12 |
| до 0,5 месяца | 5-12 |
| до года | 4-10 |
| 1-2 года | 3-10 |
| 2-3 года | 3-9 |
| 3-7 лет | 3-9 |
| 7-10 лет | 3-9 |
| 10-16 лет | 3-9 |
| от 16 лет | 3-11 |
При обнаружении низкого или высокого уровня лейкоцитов важно незамедлительно выяснить причину отклонения, чтобы избежать возможных осложнений и проявлений симптомов заболеваний. Изменение уровня моноцитов не является диагнозом, а лишь сигнализирует о наличии проблемы, которую необходимо исследовать.
Почему увеличивается уровень моноцитов
Патологическое состояние, при котором уровень моноцитов превышает норму для данного возраста, называется моноцитозом. Это явление часто наблюдается у женщин, страдающих от инфекционных, аутоиммунных и других серьезных заболеваний. Повышение уровня моноцитов (MON) также может быть характерно для пациенток, перенесших тяжелые болезни.
Существует два типа моноцитоза:
- Абсолютный. В этом случае наблюдается изолированный рост моноцитов. Уровень MON превышает 0,8*10^9/л. Данный тип моноцитоза часто связан с заболеваниями, которые вызывают активное образование фагоцитов.
- Относительный. Здесь абсолютное количество моноцитов остается в пределах нормы, однако их процентное содержание в крови увеличивается. Это происходит, когда одновременно снижается уровень других четырех типов лейкоцитов (нейтрофилов, лимфоцитов, эозинофилов и базофилов).
Абсолютный моноцитоз считается более серьезным, так как он указывает на наличие опасных проблем в организме. Повышение уровня MON свидетельствует о том, что иммунная система активирована и борется с патогенами.
Причины повышения уровня моноцитов делятся на физиологические и патологические. К физиологическим причинам относятся состояния, связанные с особенностями женского организма, такие как беременность и менструация. Патологические причины включают заболевания различной природы.

Менструация
У женщин наблюдается увеличение уровня моноцитов (MON) в первые дни менструального цикла. В этот период происходит активное отторжение эндометрия, на что реагируют главные «защитники» организма – моноциты и макрофаги. Их задача – восстановить порядок в женском организме, с чем они успешно справляются.
Пик количества моноцитов наблюдается в те дни, когда выделения становятся наиболее обильными. После завершения кровотечения уровень фагоцитов приходит в норму.
Важно!
Хотя уровень MON во время менструации остается в пределах нормы, врачи не рекомендуют сдавать анализ до окончания выделений.
Беременность
Во время беременности организм женщины претерпевает значительные изменения, что делает регулярный мониторинг состава крови крайне важным. Это связано с тем, что женский организм начинает готовиться к обеспечению развивающегося плода необходимыми питательными веществами и строительными компонентами.
Как следствие, уже в первом триместре наблюдается снижение уровня моноцитов (MON). Нижняя граница, вместо привычных 3%, составляет 1%. Однако со временем ситуация меняется: количество моноцитарных клеток начинает увеличиваться, достигая своего пика к третьему триместру.
Паразиты
Активность фагоцитов может увеличиваться при наличии глистных инвазий. Если в организме присутствуют острицы, аскариды или другие виды гельминтов, уровень моноцитов возрастает.
Определить наличие паразитов можно по следующим характерным симптомам:
- нерегулярный стул, часто проявляющийся в виде диареи;
- увеличение аппетита при потере веса;
- боли в области живота;
- высыпания, напоминающие крапивницу.
При заражении паразитами, помимо повышения уровня моноцитов, в крови также наблюдается увеличение количества эозинофилов. Эти клетки играют важную роль в аллергических реакциях.
Туберкулез
Эта серьезная инфекция затрагивает не только легкие, но и может негативно влиять на костную систему, кожу и органы мочеполовой системы. При туберкулезе наблюдаются длительные эпизоды лихорадки, общая слабость, быстрая утомляемость и потеря веса.
При легочной форме туберкулеза возникает постоянный, не проходящий кашель. Для его выявления используется флюорография. Чтобы установить диагноз других форм туберкулеза, необходимо пройти дополнительные специализированные исследования.
В общем анализе крови у пациентов с туберкулезом наблюдаются отклонения не только в показателях моноцитов, но и в других параметрах. Уровень моноцитов увеличивается, в то время как другие показатели снижаются.
Острые инфекции
Любое инфекционное заболевание вызывает увеличение уровня моноцитов. При острых респираторно-вирусных инфекциях количество моноцитов в общем анализе крови (ОАК) немного превышает норму.
В случае бактериальных инфекций наблюдается рост нейтрофильных лейкоцитов, тогда как при вирусных инфекциях увеличивается количество моноцитов. Таким образом, по результатам ОАК можно быстро определить характер заболевания.
Особенности повышения уровня моноцитов при инфекционных заболеваниях:
- уровень моноцитов начинает расти с первых дней вирусной инфекции и остается повышенным до полного выздоровления;
- даже после уменьшения симптомов, уровень моноцитов может оставаться повышенным еще в течение двух недель;
- если через 1,5-2 месяца анализ на моноциты не возвращается к норме, это может указывать на наличие хронической инфекции в организме.
При обычных простудах, которые врачи классифицируют как острые респираторные инфекции, повышение уровня моноцитов обычно незначительное. Оно, как правило, лишь немного превышает верхнюю границу нормы и составляет 0,09-1,5*10^9/л.
Также увеличение уровня моноцитов может наблюдаться при таких заболеваниях, как корь, краснуха и коклюш. Взрослые тоже могут столкнуться с этими «детскими» болезнями, и поэтому важно быть внимательными к своему здоровью.
Инфекционный мононуклеоз
Данная болезнь вызывается вирусом, схожим с вирусом герпеса. Чаще всего она передается в детском возрасте. Тем, кто не столкнулся с ней в юности, есть вероятность заразиться позже, однако это происходит крайне редко, поскольку иммунная система взрослых более защищена от данного вируса. В общем анализе крови наблюдается увеличение не только моноцитов, но и лимфоцитов.

Аутоиммунные проблемы
Это состояния, при которых иммунная система начинает воспринимать собственные ткани как чуждые, что приводит к их разрушению. Моноциты и макрофаги активно включаются в борьбу, стремясь уничтожить «врагов». Низкий уровень этих клеток наблюдается у женщин, страдающих ревматоидным артритом, сахарным диабетом и системной красной волчанкой.
Повышенное количество моноцитов при аутоиммунных заболеваниях является ключевым клиническим признаком. При выявлении моноцитоза сразу же проводятся дополнительные исследования, которые могут помочь обнаружить указанные выше болезни.
Лейкоциты в крови: где они образуются и какую роль играют в организме. Лейкоциты — это один из основных компонентов крови. Они представляют собой белые кровяные клетки, которые отвечают за…
Онкогематология
Повышенный уровень моноцитов (MON) всегда вызывает беспокойство, поскольку может указывать на наличие рака крови. Такие заболевания требуют серьезного и комплексного лечения, и, что важно, не всегда поддаются полному излечению. Если после общего анализа крови (ОАК) инфекция не была выявлена, пациентку следует направить на консультацию к онкогематологу. Моноцитоз, в частности, может наблюдаться при таких заболеваниях, как лейкоз и миеломная болезнь.
Обратите внимание!
При онкогематологических заболеваниях уровень MON значительно превышает норму, достигая 30-50*10^9/л и даже более.
Хронические инфекционно-воспалительные патологии
Скрытые и хронические инфекции, которые не проявляются яркими симптомами, могут быть заподозрены при высоком уровне моноцитов (MON). Воспалительный процесс может затрагивать различные органы, такие как сердечная мышца, горло, кости, почки и другие внутренние системы.
Если к периодическим болям в одной и той же области добавляется неблагоприятный результат анализа, это может указывать на наличие хронического воспаления.
Отравление
Увеличение уровня моноцитарных лейкоцитов в крови в результате отравлений наблюдается довольно редко. Основной причиной моноцитоза является влияние химических веществ на дыхательную и пищеварительную системы.
Моноцитоз может быть спровоцирован следующими веществами:
- Тетрахлорэтан. Пары этого химиката, проникая через кожу или рот, могут вызвать отравление. Это приводит к раздражению слизистых оболочек, появлению желтухи и головной боли. При отсутствии своевременных мер может произойти поражение печени и развитие комы.
- Фосфор. Пары или пыль этого вещества, попадая в организм, вызывают боли в животе и нарушения стула. Без надлежащего лечения это может привести к серьезным повреждениям внутренних органов.
Почему понижаются моноциты
Моноциты у женщин, находящиеся ниже нормального уровня, встречаются значительно реже. Это состояние известно как моноцитопения.
Снижение уровня моноцитов (MON) может наблюдаться в следующих случаях:
- в первом триместре беременности – данное отклонение со временем восстанавливается и не требует медицинского вмешательства;
- при наличии соответствующей наследственной предрасположенности;
- при инфекционных заболеваниях, которые сопровождаются уменьшением количества нейтрофилов в крови;
- после приема определенных медикаментов;
- после проведения трансплантации органов;
- в условиях длительного стресса или шока;
- при снижении иммунной функции из-за значительной потери массы тела.
Лейкоз
Самым серьезным проявлением моноцитопении является полное отсутствие моноцитов. В таких случаях можно предполагать наличие тяжелого лейкоза, при котором костный мозг теряет способность выполнять одну из своих ключевых функций – производство моноцитарных клеток. Это приводит к тому, что иммунная система оказывается под угрозой, фактически теряя свою основную защиту.
На поздних стадиях лейкоза происходит угнетение процессов кроветворения, что приводит к снижению иммунной защиты, развитию серьезных инфекций и возникновению кровотечений без видимых причин. Наиболее эффективным способом решения данной проблемы является пересадка костного мозга.
Нейтропения у детей: причины, диагностика и методы лечения. При нейтропении у детей наблюдается снижение уровня нейтрофилов в крови. В общем анализе крови фиксируется общее количество…
Сепсис
При сепсисе уровень моноцитов (MON) оказывается настолько низким, что клетки теряют способность выполнять свои защитные функции. Кровь не очищается от патогенных элементов, и, что более тревожно, сами моноциты погибают под воздействием инфекции.
Апластическая анемия
В отличие от железодефицитной анемии, апластическая форма представляет собой более сложное заболевание. Необходимо принимать экстренные меры для борьбы с серьезным нарушением кроветворения. Без должного лечения данная патология может привести к летальному исходу всего за несколько месяцев.
При апластической анемии наблюдается резкое замедление роста и созревания всех типов кровяных клеток, которые производятся костным мозгом.
Симптомы апластической анемии:
- общая слабость;
- учащенное сердцебиение;
- кровотечения;
- снижение иммунной защиты;
- бледность кожи.
Пациентам назначают гормональные препараты и цитостатики. В некоторых случаях требуется пересадка костного мозга.

Гнойные инфекции
При таких заболеваниях в воспаленные участки проникают бактерии, вызывающие гнойные процессы. Наиболее часто встречаются стафилококки и стрептококки. К числу самых распространенных гнойных заболеваний относятся:
- фурункулез;
- пневмония;
- остеомиелит.
Некоторые инфекции могут исчезнуть самостоятельно, в то время как с другими необходимо бороться с помощью специализированной терапии. В дополнение к моноцитопении наблюдается увеличение количества нейтрофилов – этих лейкоцитов, которые играют ключевую роль в быстрой защите от гнойных инфекций.
Лекарственные препараты
Существуют медикаменты, которые подавляют активность костного мозга. К таким относятся кортикостероиды и цитостатики. В результате их применения наблюдается снижение уровня всех типов кровяных клеток. Это состояние известно как панцитопения. При своевременном начале терапии и прекращении приема данных препаратов возможно восстановление функции костного мозга.
Важно!
Для поддержания здоровья женщинам рекомендуется проходить анализ на лейкоцитарную формулу ежегодно.
Как лечить
Вне зависимости от направления отклонения моноцитарных клеток, алгоритм действий остается неизменным. Первым делом пациентку направляют на диагностику, чтобы установить причину патологии.
Следующий этап – это медикаментозная терапия выявленного заболевания. Инфекционные и воспалительные процессы обычно быстро поддаются лечению с использованием антибиотиков и других медикаментов. С онкологическими заболеваниями ситуация более сложная – требуется длительная терапия, которая может включать химиотерапию, а иногда и хирургическое вмешательство.
Самостоятельное лечение как при моноцитозе, так и при моноцитопении, оказывается малорезультативным. Заболевания, вызвавшие эти состояния, слишком серьезны, чтобы полагаться только на народные средства.
Моноцитоз
При выявлении повышенного уровня моноцитов в крови пациентку направляют на консультацию к терапевту и специализированным врачам. Для начала лечения необходимо установить причину данного состояния.
Дополнительные методы диагностики, которые помогут определить источник моноцитоза:
- Анализы крови. Они позволяют оценить скорость оседания эритроцитов (СОЭ), наличие атипичных мононуклеаров, уровень аутоантител и другие показатели.
- Рентгенография. Этот метод помогает выявить такие заболевания, как туберкулез и саркоидоз.
- Микробиологическое исследование. Проводится бактериальный посев для определения возбудителя инфекции.
- Гистологическое исследование. Берется мазок из костного мозга для поиска признаков различных заболеваний.
- Ультразвуковое исследование. Позволяет диагностировать инфекционный мононуклеоз, бруцеллез и онкологические состояния.
Не существует прямых методов для нормализации уровня моноцитов. Необходимо лечить основное заболевание, которое вызвало их повышение. Подход к лечению зависит от выявленной патологии.
Если женщина недавно перенесла инфекционное заболевание, то лечение не требуется, так как уровень моноцитов нормализуется самостоятельно.
Методы лечения моноцитоза:
- Борьба с инфекцией. Большинство вирусных заболеваний лечится с помощью постельного режима, обильного питья и противовоспалительных нестероидных препаратов. Также может быть назначена симптоматическая терапия, такая как полоскание горла или использование капель для носа. В случае бактериальной инфекции назначаются антибиотики или противотуберкулезные средства.
- Устранение воспаления. Для этого применяются глюкокортикостероиды, которые эффективно подавляют воспалительные процессы.
- Химиотерапия. Этот метод используется при выявлении онкологических заболеваний.
- Хирургические вмешательства. Они необходимы в случаях онкогематологических заболеваний и нейтропении, включая пересадку донорских стволовых клеток.
Прогнозы при моноцитозе не устанавливаются, так как результат зависит от лечения основного заболевания. Наиболее неблагоприятные прогнозы касаются запущенных онкогематологических заболеваний.
Рекомендуется следовать правилам питания:
- Снизить потребление сахара. Лучше всего полностью исключить рафинированный сахар из рациона, что поможет снизить риск ожирения, диабета и сердечно-сосудистых заболеваний.
- Отказаться от алкоголя. Алкогольные напитки могут способствовать воспалительным процессам.
- Увеличить потребление рыбы. Рыбий жир и Омега-3, содержащиеся в жирной рыбе, такой как лосось и скумбрия, обладают противовоспалительными свойствами и помогают предотвратить атеросклероз и сердечные заболевания.
- Соблюдать диету. Женщинам с отклонениями в уровне моноцитов рекомендуется средиземноморская диета, включающая оливковое масло, цельные зерна, фрукты, овощи, семена и орехи, которые обладают противовоспалительным эффектом.
На заметку!
В дополнение к медикаментозному лечению при моноцитозе полезно больше гулять, обливаться холодной водой, обтираться влажным полотенцем и принимать витаминно-минеральные комплексы.
Моноцитопения
Моноцитопения сама по себе не требует лечения. Основное внимание уделяется заболеванию, которое стало причиной ее возникновения. Лечебные мероприятия направлены не на восстановление показателей общего анализа крови, а на устранение источника снижения уровня моноцитов.
Лечение моноцитопении может включать в себя:
- антибиотики;
- противовирусные средства;
- витаминно-минеральные добавки;
- гормональные препараты.
В случае онкологических заболеваний может потребоваться применение лучевой терапии, химиотерапии и хирургических методов.
Если отклонение незначительное и связано с физиологическими факторами, рекомендуется:
- наладить сбалансированное питание;
- следить за режимом питья;
- избегать стрессов и нервных перегрузок;
- ограничить физические нагрузки;
- чередовать работу с отдыхом;
- обеспечить полноценный сон.
Если в организме отсутствуют серьезные патологии, то перечисленных мероприятий обычно достаточно для восстановления нормальных показателей крови.
Осложнения и профилактика
При отклонениях в уровне моноцитов, как в сторону повышения, так и понижения, могут возникнуть различные осложнения, которые зависят от конкретного заболевания, вызвавшего эти изменения.
Возможные осложнения:
- резкое снижение иммунной защиты;
- развитие анемии;
- сбои в функционировании костного мозга;
- ухудшение течения туберкулеза;
- летальный исход при онкологических заболеваниях.
Для профилактики отклонений в уровне моноцитов важно регулярно проходить общий анализ крови. Достаточно делать это один раз в год, чтобы снизить риск осложнений. Также рекомендуется придерживаться здорового образа жизни, правильно питаться и минимизировать стрессовые ситуации.
Уровень белых кровяных клеток является важным индикатором состояния женского здоровья. Большинство заболеваний, связанных с изменением уровня моноцитов, поддаются лечению. Чем раньше будет установлена причина патологии, тем выше вероятность успешного выздоровления от основного заболевания.
Возрастные изменения в уровне моноцитов
Уровень моноцитов в крови может варьироваться в зависимости от возраста женщины, что связано с изменениями в иммунной системе и физиологических процессах, происходящих в организме на разных этапах жизни. Моноциты — это тип белых кровяных клеток, которые играют важную роль в иммунном ответе, участвуя в фагоцитозе и выработке различных цитокинов.
В детском возрасте уровень моноцитов может быть несколько выше, чем у взрослых. Это связано с тем, что детский организм активно формирует иммунную систему, и моноциты помогают в борьбе с инфекциями, с которыми дети сталкиваются в процессе роста и развития. В норме уровень моноцитов у детей составляет от 2 до 10% от общего числа лейкоцитов.
С наступлением подросткового возраста и в период полового созревания уровень моноцитов может колебаться, что связано с гормональными изменениями и развитием репродуктивной системы. В этом возрасте нормальные значения моноцитов составляют от 2 до 8% от общего числа лейкоцитов.
У женщин в репродуктивном возрасте (от 18 до 45 лет) уровень моноцитов обычно составляет от 3 до 10%. В этот период на уровень моноцитов могут влиять различные факторы, такие как менструальный цикл, беременность и стресс. Например, во время менструации уровень моноцитов может незначительно повышаться, что является нормальной реакцией организма на изменения в гормональном фоне.
С возрастом, начиная с 45-50 лет, уровень моноцитов может постепенно увеличиваться. Это связано с возрастными изменениями в организме, снижением иммунной функции и увеличением вероятности хронических заболеваний. У женщин в постменопаузе уровень моноцитов может колебаться от 4 до 12%, что также может быть связано с наличием сопутствующих заболеваний, таких как диабет или сердечно-сосудистые заболевания.
Важно отметить, что отклонения от нормы могут свидетельствовать о различных заболеваниях или состояниях. Повышенный уровень моноцитов может указывать на наличие воспалительных процессов, инфекций, аутоиммунных заболеваний или даже онкологических заболеваний. Напротив, пониженный уровень моноцитов может быть связан с иммунодефицитом, воздействием токсических веществ или последствиями некоторых медикаментозных терапий.
Регулярный мониторинг уровня моноцитов, особенно в пожилом возрасте, может помочь в раннем выявлении заболеваний и своевременном начале лечения. Поэтому важно проходить регулярные медицинские обследования и следить за своим здоровьем на протяжении всей жизни.
Влияние образа жизни на уровень моноцитов
Уровень моноцитов в крови может значительно варьироваться в зависимости от образа жизни женщины. Факторы, такие как питание, физическая активность, стресс и наличие вредных привычек, могут оказывать влияние на количество этих клеток в организме.
Правильное питание играет ключевую роль в поддержании нормального уровня моноцитов. Диета, богатая витаминами и минералами, способствует укреплению иммунной системы и поддержанию нормального функционирования кроветворной системы. Например, недостаток витамина B12 и фолиевой кислоты может привести к снижению уровня моноцитов, тогда как продукты, содержащие антиоксиданты (фрукты, овощи, орехи), могут способствовать их нормализации.
Физическая активность также является важным фактором. Регулярные умеренные физические нагрузки помогают улучшить циркуляцию крови и способствуют нормализации уровня моноцитов. Однако чрезмерные физические нагрузки могут привести к стрессу для организма и, как следствие, к изменению уровня моноцитов. Важно находить баланс между активностью и отдыхом.
Стресс и эмоциональное состояние женщины могут оказывать значительное влияние на уровень моноцитов. Хронический стресс может привести к повышению уровня кортизола, что, в свою очередь, может вызвать изменения в составе крови, включая увеличение количества моноцитов. Практики релаксации, такие как йога и медитация, могут помочь снизить уровень стресса и поддерживать нормальный уровень моноцитов.
Наличие вредных привычек, таких как курение и злоупотребление алкоголем, также негативно сказывается на уровне моноцитов. Курение может вызывать воспалительные процессы в организме, что приводит к увеличению количества моноцитов. Алкоголь, особенно в больших количествах, может нарушать функции печени и кроветворения, что также отражается на уровне этих клеток.
Таким образом, для поддержания нормального уровня моноцитов в крови женщинам рекомендуется следить за своим образом жизни, включая сбалансированное питание, регулярную физическую активность, управление стрессом и отказ от вредных привычек. Эти меры помогут не только поддерживать здоровье, но и предотвратить возможные заболевания, связанные с изменением уровня моноцитов.
Рекомендации по поддержанию нормального уровня моноцитов
Поддержание нормального уровня моноцитов в крови является важной задачей для здоровья женщин. Моноциты – это тип белых кровяных клеток, которые играют ключевую роль в иммунной системе, отвечая за защиту организма от инфекций и воспалений. Чтобы уровень моноцитов оставался в пределах нормы, необходимо учитывать несколько факторов, включая образ жизни, питание и регулярные медицинские обследования.
1. Здоровое питание: Правильное питание является основой для поддержания нормального уровня моноцитов. Включение в рацион продуктов, богатых витаминами и минералами, таких как фрукты, овощи, орехи и цельнозерновые продукты, способствует укреплению иммунной системы. Витамины группы B, витамин C и цинк особенно важны для поддержания нормального функционирования моноцитов.
2. Регулярная физическая активность: Умеренные физические нагрузки помогают улучшить кровообращение и способствуют нормализации уровня моноцитов. Рекомендуется заниматься физической активностью не менее 150 минут в неделю, включая кардионагрузки и силовые тренировки.
3. Управление стрессом: Хронический стресс может негативно сказаться на уровне моноцитов и общем состоянии здоровья. Практики релаксации, такие как йога, медитация и дыхательные упражнения, могут помочь снизить уровень стресса и улучшить общее самочувствие.
4. Регулярные медицинские обследования: Важно проходить регулярные медицинские осмотры и анализы крови, чтобы контролировать уровень моноцитов и других показателей. Это поможет своевременно выявить возможные отклонения и принять необходимые меры.
5. Избегание вредных привычек: Курение и чрезмерное употребление алкоголя могут негативно влиять на уровень моноцитов и общее состояние здоровья. Отказ от этих привычек поможет улучшить иммунный ответ организма.
6. Поддержание нормального веса: Избыточный вес может привести к различным заболеваниям, которые, в свою очередь, могут повлиять на уровень моноцитов. Поддержание здорового веса через сбалансированное питание и физическую активность является важным аспектом для здоровья.
Следуя этим рекомендациям, женщины могут поддерживать нормальный уровень моноцитов в крови, что в свою очередь способствует укреплению иммунной системы и общему улучшению здоровья.





















