Моноциты — тип белых кровяных клеток, играющих важную роль в иммунной системе. Они защищают организм от инфекций и участвуют в воспалении и восстановлении тканей. В статье рассмотрим норму содержания моноцитов в крови у взрослых, их функции и значение для здоровья, а также причины повышения их уровня, известного как моноцитоз. Понимание этих аспектов поможет читателям ориентироваться в диагностике и лечении, а также выявлять патологии, связанные с изменениями в составе крови.
Лейкоцитарная формула
Нормальный уровень моноцитов в организме по отношению к общему количеству лейкоцитов должен составлять 4−12%. Важно отметить, что у мужчин, женщин и детей эти значения могут немного различаться:
- У детей (независимо от пола) количество моноцитов должно находиться в диапазоне 2−7% от общего числа лейкоцитов. При этом следует учитывать, что уровень моноцитов у детей и подростков изменяется аналогично лейкоцитарной формуле.
- У взрослых нормальные показатели должны показывать уровень моноцитов в пределах 1−8% от общего (абсолютного) объема лейкоцитов.
Чтобы определить уровень моноцитов, необходимо сдать общий анализ крови. Важно внимательно отнестись к расшифровке лейкоцитарной формулы. Анализ следует проводить утром натощак, так как в противном случае результаты могут оказаться недостоверными.

Моноциты — это тип белых кровяных клеток, играющих важную роль в иммунной системе человека. Нормальное содержание моноцитов в крови составляет от 2 до 8% от общего числа лейкоцитов. Врачи отмечают, что повышение уровня моноцитов, называемое моноцитозом, может быть связано с различными состояниями. Одной из основных причин является инфекция, особенно вирусные и бактериальные. Также моноциты могут увеличиваться при воспалительных процессах, таких как ревматоидный артрит или воспаление кишечника. Врачи подчеркивают, что важно учитывать клиническую картину и сопутствующие симптомы, так как повышение моноцитов может указывать на более серьезные заболевания, включая онкологические процессы. Регулярные анализы крови и консультации с врачом помогут своевременно выявить и устранить возможные причины изменений в составе крови.
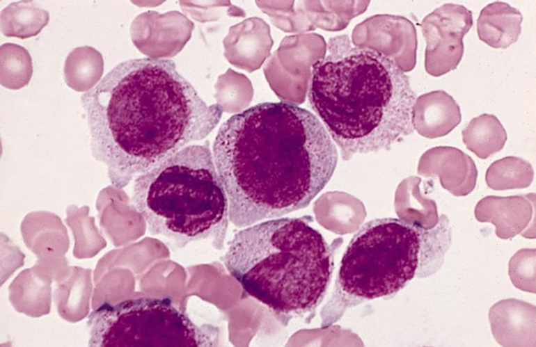
Повышенная концентрация моноцитов
В медицинской практике повышенное количество моноцитов в крови называется моноцитозом. Если у взрослого или ребенка наблюдается увеличение этих клеток, это может быть сигналом о наличии проблемы. В первую очередь необходимо исключить возможность инфекций. Различные вирусы, бактерии и грибки, а также такие заболевания, как мононуклеоз, могут стать причиной изменения лейкоцитарной формулы.
Существует ряд других факторов, способствующих росту уровня белых кровяных клеток в организме. Причины повышения моноцитов в крови:
- Хронические инфекционные заболевания, такие как сифилис, туберкулез, саркоидоз и другие.
- Патологии эндокринной и кроветворной систем: остеомиелофиброз, острый лейкоз, тромбоцитопеническая пурпура, полицитемия, хронический миелолейкоз.
- Аутоиммунные болезни: системная красная волчанка, полиартрит, псориатические и ревматоидные артриты.
- Ревматологические заболевания, такие как эндокардит и ревматизм, также могут привести к увеличению моноцитов.
- Повышение уровня моноцитов может указывать на заболевания органов пищеварительной системы, включая панкреатит, энтерит, колит и другие.
- Высокие значения могут свидетельствовать о наличии злокачественных опухолей, лимфогранулематоза.
Своевременная диагностика данного состояния и выявление повышенного уровня моноцитов в крови позволяют обнаружить одно из перечисленных заболеваний на ранней стадии. Если при повторном анализе моноцитоз подтвердится, это будет основанием для проведения более детального медицинского обследования пациента.

| Показатель | Норма содержания | Причины повышения (моноцитоз) |
|---|---|---|
| Абсолютное количество моноцитов | 0.04 — 0.8 x 10^9/л (или 40 — 800 клеток/мкл) | Инфекции (бактериальные, вирусные, грибковые, паразитарные), хронические воспалительные заболевания (ревматоидный артрит, системная красная волчанка, болезнь Крона), онкологические заболевания (лейкозы, лимфомы), аутоиммунные заболевания, восстановление после угнетения костного мозга, некоторые лекарственные препараты. |
| Относительное количество моноцитов | 3 — 11% от общего числа лейкоцитов | Те же, что и для абсолютного количества, но может быть ложно повышено при снижении других видов лейкоцитов (например, при нейтропении). |
| Моноциты в мазке крови | Единичные, крупные клетки с бобовидным или подковообразным ядром, обильной цитоплазмой | Увеличение количества моноцитов, наличие атипичных форм (при некоторых лейкозах), признаки активации (вакуолизация цитоплазмы при инфекциях). |
Пониженное число клеток
В медицине о снижении уровня белых кровяных клеток говорят о нулевых показателях. У взрослых этот уровень составляет менее 3%, тогда как у детей он колеблется в диапазоне 3−5%. За данное состояние отвечает иммунная система. Специалисты считают, что необходимо предпринять все возможные меры для укрепления защитных функций организма. Обычно снижение количества моноцитов происходит на фоне уменьшения числа лимфоцитов.
Основные причины данной патологии:
- Быстрое распространение патогенных микроорганизмов в организме человека.
- Заболевания, вызванные мутацией условно-патогенной микрофлоры в органах пищеварительной и дыхательной систем. Чаще всего такие микроорганизмы обладают высокой устойчивостью к антибиотикам.
- Острые гнойные воспалительные процессы. Это состояние может привести к переходу от небольшого гнойного процесса к флегмоне или абсцессу.
Все перечисленные состояния в 100% случаев наблюдаются у людей с сильно ослабленным иммунитетом.
Если анализы показывают полное отсутствие белых кровяных клеток в крови, это может указывать на развитие лейкоза или сепсиса.
https://youtube.com/watch?v=51n7O7Jpce8
Лечение моноцитоза
Для восстановления уровня моноцитов в крови необходимо устранить основную причину данного состояния. Заболевание требует тщательной диагностики и применения комплексного подхода к лечению.
Лечебная схема разрабатывается индивидуально, учитывая возраст и общее состояние пациента, стадию болезни и наличие сопутствующих заболеваний.
К примеру, такие заболевания, как энтериты, язвенный колит и болезнь Крона, должны лечиться гастроэнтерологом. В большинстве случаев пациентам назначают аминосалицилаты, кортикостероиды и иммуномодуляторы. Главная цель врача и пациента — добиться ремиссии заболевания пищеварительной системы, что будет подтверждено нормализацией уровня белых кровяных клеток в организме.
Если есть подозрение на онкологическое заболевание, следует обратиться к онкологу, который проведет осмотр и назначит необходимые исследования. Лечение направлено на замедление и остановку роста опухолей, чтобы предотвратить их воздействие на соседние органы и системы.
Каждый план лечения разрабатывается индивидуально, принимая во внимание размер опухоли и ее локализацию. Для достижения выздоровления могут потребоваться курсы химиотерапии, лучевой терапии, а в некоторых случаях — хирургическое вмешательство. На протяжении всего лечения пациент должен регулярно сдавать анализы крови.
Пациенты с диагнозом сифилис проходят комплексное лечение в кожно-венерологическом отделении, где врач назначает антибиотики широкого спектра и общеукрепляющие препараты. Если человек испытывает постоянный стресс, может потребоваться консультация психолога. В сложных случаях может понадобиться помощь психотерапевта и стационарное лечение.
Рекомендации по питанию
В процессе лечения и восстановления крайне важно уделять внимание питанию пациента. Следует учесть следующие рекомендации:
- Минимизировать потребление сахара. Повышенный уровень глюкозы в крови и наличие сахарного диабета могут указывать на воспалительные процессы в организме.
- Включить в рацион рыбу. Она содержит омега-3 жирные кислоты, которые обладают сильным противовоспалительным эффектом.
- Исключить алкогольные напитки. Многие не осознают, что спирт может способствовать возникновению воспалений и ухудшению состояния пациента.
Больным рекомендуется обратить внимание на средиземноморскую диету, богатую мононенасыщенными жирами. Эти вещества помогают защитить организм от воспалительных реакций. В рацион должны входить оливковое масло, орехи, зелень, фрукты и овощи.
Моноциты играют важную роль в защите организма. При обнаружении отклонений от нормы следует незамедлительно обратиться к лечащему врачу.

Факторы, влияющие на уровень моноцитов
Уровень моноцитов в крови может варьироваться в зависимости от множества факторов, которые могут быть как физиологическими, так и патологическими. Моноциты — это тип белых кровяных клеток, которые играют важную роль в иммунной системе, участвуя в процессе фагоцитоза и воспалительных реакциях. Нормальный уровень моноцитов у взрослых составляет от 2 до 8% от общего числа лейкоцитов, что соответствует примерно 0,1-0,8 x 10^9 клеток на литр крови.
Одним из основных факторов, влияющих на уровень моноцитов, является наличие инфекционных заболеваний. При бактериальных и вирусных инфекциях, таких как туберкулез, ВИЧ или грипп, наблюдается увеличение числа моноцитов, так как они необходимы для борьбы с патогенами. В ответ на инфекцию организм активирует иммунный ответ, что приводит к повышению производства моноцитов в костном мозге.
Кроме инфекций, на уровень моноцитов могут влиять воспалительные процессы в организме. Хронические воспалительные заболевания, такие как ревматоидный артрит или воспалительные заболевания кишечника, также могут приводить к повышению количества моноцитов. В таких случаях моноциты мигрируют в ткани, где они помогают в устранении повреждений и инфекций, что может привести к их увеличению в крови.
Другим важным фактором является стресс. Физический или эмоциональный стресс может активировать симпатическую нервную систему и ось гипоталамус-гипофиз-надпочечники, что в свою очередь может влиять на уровень моноцитов. Стрессовые ситуации могут вызывать выброс кортизола, который, хотя и обладает противовоспалительными свойствами, может также приводить к изменению уровня различных клеток крови, включая моноциты.
Также стоит отметить, что некоторые хронические заболевания, такие как сахарный диабет или заболевания сердца, могут способствовать повышению уровня моноцитов. В этих случаях моноциты могут служить маркерами воспаления и предвестниками осложнений, связанных с основным заболеванием.
Наконец, факторы, связанные с образом жизни, такие как диета, физическая активность и курение, также могут оказывать влияние на уровень моноцитов. Например, недостаток питательных веществ, таких как витамины и минералы, может ослабить иммунную систему и привести к изменению уровня моноцитов. Регулярная физическая активность, напротив, может способствовать нормализации уровня клеток крови и улучшению общего состояния здоровья.
Симптомы и проявления моноцитоза
Моноцитоз, характеризующийся повышением уровня моноцитов в крови, может проявляться различными симптомами, которые зависят от основной причины этого состояния. Важно отметить, что моноциты — это тип белых кровяных клеток, играющих ключевую роль в иммунной системе, и их увеличение может свидетельствовать о наличии воспалительного процесса или инфекции в организме.
Одним из наиболее распространенных симптомов моноцитоза является общая слабость и утомляемость. Пациенты могут ощущать постоянную усталость, даже после достаточного отдыха. Это связано с тем, что организм активно борется с инфекцией или воспалением, что требует дополнительных ресурсов и энергии.
Также могут наблюдаться симптомы, связанные с основным заболеванием, вызвавшим повышение моноцитов. Например, при инфекциях, таких как мононуклеоз, пациенты могут испытывать боль в горле, увеличение лимфатических узлов и лихорадку. В случае хронических воспалительных заболеваний, таких как ревматоидный артрит, могут возникать боли в суставах и отеки.
Кроме того, моноцитоз может сопровождаться изменениями в коже, такими как высыпания или покраснение, особенно если причиной повышения моноцитов являются аллергические реакции или аутоиммунные заболевания. В некоторых случаях пациенты могут замечать увеличение печени или селезенки, что также может быть связано с активной работой иммунной системы.
Важно отметить, что моноцитоз сам по себе не является заболеванием, а лишь симптомом, указывающим на наличие других проблем в организме. Поэтому при обнаружении повышенного уровня моноцитов в крови необходимо провести комплексное обследование для выявления основной причины и назначения соответствующего лечения.
Диагностические методы для определения причин повышения моноцитов
Для определения причин повышения уровня моноцитов в крови используются различные диагностические методы, которые помогают врачам установить точный диагноз и определить дальнейшую тактику лечения. Основные методы диагностики включают:
- Общий анализ крови (ОАК): Это базовый тест, который позволяет оценить уровень моноцитов, а также других клеток крови. Важно учитывать не только абсолютное количество моноцитов, но и их процентное соотношение к другим лейкоцитам. ОАК может выявить наличие воспалительного процесса, инфекций или других заболеваний.
- Биохимический анализ крови: Этот тест позволяет оценить функциональное состояние органов и систем, а также выявить возможные нарушения, которые могут быть связаны с повышением моноцитов. Например, изменения в уровнях белков, ферментов и электролитов могут указать на наличие воспалительных заболеваний или инфекций.
- Иммунологические исследования: Эти тесты помогают оценить состояние иммунной системы и выявить аутоиммунные заболевания. Повышение моноцитов может быть связано с активностью иммунной системы, поэтому важно провести анализ на наличие антител к различным инфекциям и аутоиммунным заболеваниям.
- Микробиологические исследования: Если есть подозрение на инфекционное заболевание, врач может назначить посев крови или других биологических жидкостей для выявления патогенных микроорганизмов. Это поможет установить точную причину повышения моноцитов и выбрать правильное лечение.
- КТ и МРТ: В некоторых случаях для диагностики заболеваний, которые могут вызывать повышение моноцитов, могут быть назначены компьютерная томография (КТ) или магнитно-резонансная томография (МРТ). Эти методы визуализации помогают выявить опухоли, воспалительные процессы или другие патологии в органах.
- Биопсия: Если есть подозрение на онкологическое заболевание или другие серьезные патологии, может потребоваться биопсия. Этот метод позволяет получить образец ткани для гистологического исследования, что поможет установить точный диагноз.
Каждый из этих методов имеет свои показания и ограничения, и выбор конкретного теста зависит от клинической ситуации, состояния пациента и предварительных результатов анализов. Важно, чтобы диагностика проводилась квалифицированным специалистом, который сможет интерпретировать результаты и назначить соответствующее лечение.



