Повышение уровня нейтрофилов в крови, или нейтрофилёз, является важным индикатором здоровья взрослого человека. Нейтрофилы — это белые кровяные клетки, которые играют ключевую роль в иммунной системе. Их увеличение может свидетельствовать о воспалительных процессах, инфекциях или других заболеваниях. В статье рассмотрим причины повышения абсолютного количества нейтрофилов, виды этих клеток, их соотношение с лимфоцитами и степени тяжести нейтрофилёза. Понимание этих аспектов поможет читателям лучше интерпретировать результаты анализов и реагировать на изменения в здоровье.
Виды и норма нейтрофилов
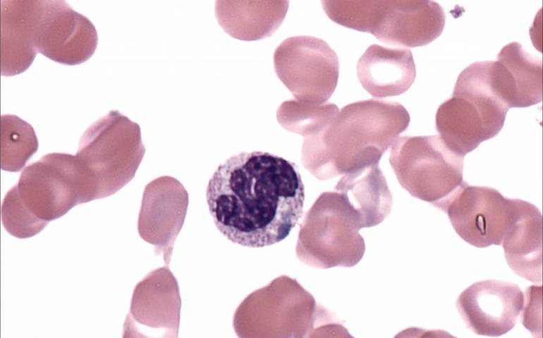
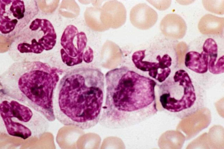
У взрослого человека нейтрофилы классифицируются в зависимости от формы их ядра. Молодые, еще не полностью зрелые клетки называют палочкоядерными гранулоцитами. Их ядро еще не оформлено и имеет форму палочки. Эти клетки выбрасываются костным мозгом в экстренных ситуациях, когда количество зрелых лейкоцитов оказывается недостаточным. В норме их доля составляет от 1 до 5%. Если результаты анализа крови показывают отклонения от этих значений, это является основанием для консультации с врачом.
Зрелые нейтрофилы называются сегментоядерными. Их ядра под микроскопом выглядят как разделенные на несколько сегментов. Именно эти клетки играют ключевую роль в иммунной защите организма. У здорового взрослого человека их количество составляет от 40 до 70% от общего числа лейкоцитов. У детей уровень нейтрофилов в крови варьируется в зависимости от возраста.
Если у взрослого наблюдается повышение уровня нейтрофилов, это обычно является адекватной реакцией на проникновение в организм бактериальной или вирусной инфекции. Увеличение общего числа этих клеток в два раза может свидетельствовать о начале воспалительного процесса. Если же уровень возрастает в десять раз, это может указывать на септическое поражение.

Повышение уровня нейтрофилов в крови у взрослого может свидетельствовать о различных состояниях и заболеваниях. Врачи отмечают, что одной из основных причин является инфекция, будь то бактериальная, вирусная или грибковая. Нейтрофилы, как часть иммунной системы, активно реагируют на патогены, что приводит к их увеличению. Кроме того, воспалительные процессы, такие как артрит или панкреатит, также могут вызывать рост этих клеток. Врачи подчеркивают, что стресс и физическая нагрузка способны временно повысить уровень нейтрофилов, что также следует учитывать. Важно отметить, что некоторые заболевания, включая рак или заболевания костного мозга, могут приводить к хроническому повышению нейтрофилов, что требует внимательного медицинского наблюдения и диагностики.
Степени тяжести нейтрофилии
Увеличение уровня нейтрофилов в крови называется нейтрофилией или нейтрофилезом. Это состояние может быть как абсолютным, так и относительным. В первом случае наблюдается рост общего числа нейтрофилов, а во втором — процентное соотношение различных форменных элементов может изменяться, оставаясь в пределах нормы. Оба варианта указывают на то, что организм активно борется с инфекцией, будь то бактериальная, грибковая или вирусная. Чем выше уровень нейтрофилии, тем серьезнее состояние пациента.
Существует несколько степеней тяжести данного состояния:
- Умеренная — количество нейтрофилов превышает норму не более чем в 1,5 раза.
- Выраженная — уровень форменных элементов увеличивается в 3 раза по сравнению с нормой.
- Тяжелая — превышение нормы составляет 10 раз и более.
Умеренная и выраженная степени чаще всего наблюдаются при локальных гнойных или воспалительных процессах. При распространении инфекционного процесса фиксируется тяжелая нейтрофилия. В самых тяжелых случаях в кровь могут поступать незрелые формы — миелоциты и метамиелоциты.

| Категория причин | Конкретные причины | Дополнительные комментарии |
|---|---|---|
| Инфекционные заболевания | Бактериальные инфекции (пневмония, аппендицит, менингит, сепсис, абсцессы) | Наиболее частая причина нейтрофилеза. Организм активно борется с бактериями. |
| Вирусные инфекции (грипп, ОРВИ, ветряная оспа, корь) | Могут вызывать нейтрофилез, особенно на ранних стадиях или при присоединении бактериальной суперинфекции. | |
| Грибковые инфекции | Реже, но могут приводить к повышению нейтрофилов. | |
| Паразитарные инвазии | Некоторые паразиты могут вызывать нейтрофилез. | |
| Воспалительные процессы | Аутоиммунные заболевания (ревматоидный артрит, системная красная волчанка, васкулиты) | Хроническое воспаление стимулирует выработку нейтрофилов. |
| Воспалительные заболевания кишечника (болезнь Крона, язвенный колит) | Локальное воспаление, приводящее к системной реакции. | |
| Подагра | Воспаление суставов, вызванное отложением кристаллов мочевой кислоты. | |
| Панкреатит | Воспаление поджелудочной железы. | |
| Травмы и повреждения тканей | Ожоги | Обширные повреждения тканей вызывают сильную воспалительную реакцию. |
| Хирургические операции | Реакция организма на травму и заживление. | |
| Обширные травмы (переломы, разрывы тканей) | Повреждение тканей стимулирует выработку нейтрофилов для очистки и восстановления. | |
| Злокачественные новообразования | Лейкозы (особенно миелоидные) | Неконтролируемое производство нейтрофилов костным мозгом. |
| Другие виды рака (с метастазами или паранеопластическим синдромом) | Опухоль может стимулировать выработку нейтрофилов или вызывать воспаление. | |
| Стресс и физиологические состояния | Сильный эмоциональный стресс | Выброс гормонов стресса может временно повышать нейтрофилы. |
| Интенсивные физические нагрузки | Временное повышение нейтрофилов после тренировок. | |
| Беременность (особенно третий триместр и роды) | Физиологический нейтрофилез, связанный с изменениями в организме. | |
| Курение | Хроническое раздражение дыхательных путей и системное воспаление. | |
| Прием некоторых лекарственных препаратов | Кортикостероиды | Могут вызывать перераспределение нейтрофилов из тканей в кровь. |
| Препараты, стимулирующие костный мозг (например, Г-КСФ) | Целенаправленное увеличение выработки нейтрофилов. | |
| Литий | Может влиять на кроветворение. | |
| Другие причины | Острая кровопотеря | Организм реагирует на потерю крови, в том числе увеличением нейтрофилов. |
| Отравления (например, свинцом) | Токсическое воздействие на организм. | |
| Уремия (почечная недостаточность) | Накопление токсинов в крови. | |
| Спленэктомия (удаление селезенки) | Селезенка участвует в утилизации старых нейтрофилов, ее отсутствие может привести к их накоплению. |
Разные варианты повышения
В диагностике имеет значение не только общее число нейтрофильных лейкоцитов, но и пропорции различных их типов. Одновременно проводится оценка количества лимфоцитов в объеме крови, которое может быть повышенным, в пределах нормы или сниженным.
Увеличение общего количества
В анализе крови может быть обнаружено увеличение общего числа нейтрофилов. Такое состояние может возникать при следующих заболеваниях:
- Инфекционные заболевания бактериального происхождения. Воспалительные процессы могут быть как локальными, так и генерализованными. К числу локальных относятся чаще всего болезни глотки и верхних дыхательных путей (ангины, фарингиты, ларингиты), а также острые воспаления ушей. Также к причинам можно отнести заболевания легких (пневмония, туберкулез), острые воспалительные процессы в почках, аппендициты и другие.
- Увеличение количества нейтрофилов может быть связано с воздушно-капельными и кишечными инфекциями — такими как брюшной тиф, холера, скарлатина, а также сепсисом и разлитым перитонитом.
- Заболевания, при которых в организме возникают очаги некроза тканей. Это может включать гангрену, обширные ожоги, инфаркты и инсульты.
- Токсическое поражение костного мозга в результате отравления свинцовыми соединениями или некачественным алкоголем.
- Пищевые отравления, при которых сами бактерии уже погибли, но токсические продукты их жизнедеятельности все еще присутствуют.
- Онкологические заболевания на поздних стадиях (когда начинается распад опухолевой ткани).
Еще одной причиной повышения уровня нейтрофилов в крови может быть недавняя вакцинация или ранний восстановительный период после перенесенной тяжелой инфекции.

Подъем сегментоядерных
Увеличение числа зрелых сегментоядерных нейтрофилов наблюдается на фоне роста общего количества белых кровяных клеток. Такое состояние может быть связано с рядом заболеваний и состояний:
- Острыми или хроническими инфекционно-воспалительными процессами, такими как энцефалиты и спирохетоз.
- Грибковыми инфекциями.
- Заболеваниями нижних конечностей.
- Онкологическими образованиями.
- Воспалительными процессами в почках и органах мочевыделительной системы.
- Ревматоидными артритами.
- Подагрой.
- Острым или хроническим воспалением поджелудочной железы.
- Повышенным уровнем сахара в крови.
Рост палочкоядерных клеток
Основной фактор, способствующий увеличению уровня нейтрофилов в крови, — это острое воспаление. В ответ на попадание в организм чуждых белков происходит выброс большого количества молодых форм нейтрофилов, что является одной из реакций иммунной системы. На ранних стадиях заболевания может наблюдаться рост палочкоядерных нейтрофилов, в то время как количество сегментоядерных остается на прежнем уровне. В течение следующих 48 часов молодые клетки быстро созревают, их ядра сегментируются, и они становятся полноценными нейтрофилами.
К основным причинам палочкоядерного нейтрофилеза относятся:
- Воспалительные процессы в ушах (внутренние или средние отиты).
- Заболевания почек воспалительного характера.
- Инфекции легких.
- Ранний период после хирургического вмешательства.
- Острые воспалительные или аллергические реакции на коже, включая реакции на медикаменты.
- Травмы опорно-двигательной системы или внутренних органов, ожоги и порезы, а также значительная потеря крови.
- Подагра.
- Аутоиммунные расстройства.
- Как доброкачественные, так и злокачественные опухоли.
- Различные виды анемий.
- Воздействие экстремальных температур (как высоких, так и низких).
- Беременность.
- Сахарный диабет.
Увеличение палочкоядерных нейтрофилов может быть временным и наблюдаться у здоровых людей. Это может произойти в результате значительных физических нагрузок, эмоционального возбуждения или при повышенном уровне углекислоты в крови.

Уменьшение лимфоцитов
Нейтрофилы могут быть повышены при снижении уровня лимфоцитов. Это может происходить в следующих ситуациях:
- Острая или хроническая почечная недостаточность.
- Длительное хроническое течение инфекционно-воспалительных заболеваний.
- Последствия воздействия гамма-излучения (например, после рентгенографического обследования).
- В период восстановления после химиотерапии или радиотерапии.
- На финальной стадии злокачественного новообразования.
- Гипопластическая или апластическая анемия.
- При продолжительном использовании препаратов из группы цитостатиков.
Причины у здоровых людей
Иногда нейтрофилия может быть обнаружена у совершенно здоровых людей. В таких случаях результаты анализа могут оказаться недостоверными. Неправильная подготовка к анализу может значительно исказить фактические показатели. Наиболее распространенные ситуации, когда наблюдаются повышенные уровни нейтрофилов в крови, включают:
- Если пациент поел перед сдачей анализа — кровь следует сдавать строго натощак, разрешается лишь небольшое количество чистой воды.
- Если перед забором крови было употреблено алкогольное напитки или выкурена сигарета.
- Если перед посещением лаборатории человек пил крепкий кофе, чай или энергетические напитки.
- Если в течение 2−3 дней до анализа пациент занимался тяжелой физической работой или интенсивными тренировками.
- Если накануне был перенесен сильный стресс, или во время сдачи анализа человек испытывал волнение или возбуждение.
- У женщин в период предменструального синдрома может наблюдаться сегментоядерный нейтрофилез с одновременным снижением уровня лимфоцитов.
- Увеличение нейтрофилов является нормальной реакцией организма во время беременности и не требует вмешательства.
Для проверки точности результатов анализов врач часто назначает повторное обследование. Это помогает исключить ложную нейтрофилию и правильно оценить состояние здоровья пациента.
https://youtube.com/watch?v=8f_1DfhG0oA
Влияние инфекционных заболеваний
Одной из основных причин повышения уровня нейтрофилов в крови является наличие инфекционных заболеваний. Нейтрофилы — это тип белых кровяных клеток, которые играют ключевую роль в иммунной системе, защищая организм от патогенов, таких как бактерии, вирусы и грибки. Когда в организм проникает инфекция, происходит активация иммунного ответа, что приводит к увеличению производства нейтрофилов в костном мозге.
При бактериальных инфекциях, таких как пневмония, острый бронхит или инфекционные заболевания мочевыводящих путей, уровень нейтрофилов может значительно возрасти. Это связано с тем, что нейтрофилы первыми реагируют на инфекцию, мигрируя к месту воспаления и поглощая патогенные микроорганизмы. В результате этого процесса происходит не только увеличение количества нейтрофилов, но и их активность, что может быть отражено в анализах крови.
Вирусные инфекции также могут вызывать повышение уровня нейтрофилов, хотя в большинстве случаев наблюдается увеличение лимфоцитов. Тем не менее, при некоторых вирусных заболеваниях, таких как грипп или COVID-19, может наблюдаться и повышение нейтрофилов, особенно если инфекция сопровождается бактериальными осложнениями.
Грибковые инфекции, такие как кандидоз или аспергиллез, также могут приводить к увеличению нейтрофилов. В этом случае нейтрофилы помогают организму справиться с грибковыми патогенами, что также может быть отражено в анализах крови.
Кроме того, некоторые инфекционные заболевания, такие как сепсис, могут вызывать резкое и значительное увеличение уровня нейтрофилов. Сепсис — это тяжелое состояние, при котором инфекция распространяется по всему организму, и нейтрофилы активно участвуют в борьбе с инфекцией, что приводит к их повышенному уровню в крови.
Важно отметить, что повышение уровня нейтрофилов может быть временным и нормализоваться после устранения инфекции. Однако в некоторых случаях, особенно при хронических инфекциях или заболеваниях, связанных с длительным воспалением, уровень нейтрофилов может оставаться повышенным на протяжении длительного времени. Поэтому при обнаружении повышенных нейтрофилов в анализах крови важно провести дальнейшее обследование для выявления причины этого состояния.
Хронические воспалительные процессы
Одной из ключевых характеристик хронического воспаления является повышенный уровень нейтрофилов в крови. Нейрофилы – это тип белых кровяных клеток, которые играют важную роль в иммунной системе, защищая организм от инфекций и участвуя в воспалительных реакциях. При хроническом воспалении их количество может увеличиваться как ответ на постоянное воздействие патогенных агентов или повреждающих факторов.
Среди наиболее распространенных причин хронического воспаления, приводящих к повышению нейтрофилов, можно выделить:
- Инфекционные заболевания: Хронические инфекции, такие как туберкулез, хронический бронхит или инфекции мочевыводящих путей, могут вызывать постоянное воспаление, что приводит к увеличению числа нейтрофилов.
- Аутоиммунные заболевания: Заболевания, при которых иммунная система ошибочно атакует собственные ткани организма, такие как ревматоидный артрит или системная красная волчанка, также могут быть причиной хронического воспалительного процесса.
- Токсические воздействия: Длительное воздействие химических веществ, токсинов или аллергенов может вызвать хроническое воспаление. Например, курение и загрязнение окружающей среды могут приводить к хроническим заболеваниям легких, сопровождающимся повышением нейтрофилов.
- Метаболические расстройства: Ожирение и связанные с ним метаболические нарушения могут способствовать хроническому воспалению, что также отражается на уровне нейтрофилов в крови.
Важно отметить, что повышение нейтрофилов в крови при хронических воспалительных процессах может быть не единственным показателем. В анализах крови также могут наблюдаться изменения в других показателях, таких как уровень С-реактивного белка (СРБ) и скорость оседания эритроцитов (СОЭ), которые также указывают на наличие воспалительного процесса в организме.
Для диагностики и определения причины хронического воспаления необходимо комплексное обследование, включающее не только анализы крови, но и дополнительные исследования, такие как рентгенография, УЗИ или МРТ, в зависимости от предполагаемого заболевания. Лечение хронического воспаления направлено на устранение его причины и может включать как медикаментозную терапию, так и изменения в образе жизни.
Эндокринные нарушения и их влияние на уровень нейтрофилов
Эндокринные нарушения могут значительно влиять на уровень нейтрофилов в крови, что является важным аспектом диагностики и мониторинга различных заболеваний. Нейтрофилы — это тип белых кровяных клеток, которые играют ключевую роль в иммунной системе, защищая организм от инфекций и воспалений. Изменения в их количестве могут указывать на наличие эндокринных расстройств.
Одним из наиболее распространенных эндокринных нарушений, влияющих на уровень нейтрофилов, является диабет. При диабете, особенно в случае недостаточной компенсации заболевания, может наблюдаться повышение уровня нейтрофилов. Это связано с тем, что высокий уровень глюкозы в крови способствует воспалительным процессам, что, в свою очередь, приводит к активации нейтрофилов. Кроме того, у пациентов с диабетом часто развиваются инфекции, что также может способствовать увеличению количества этих клеток.
Другим важным фактором является гипертиреоз — состояние, при котором щитовидная железа вырабатывает избыточное количество гормонов. Это может привести к повышению метаболической активности и, как следствие, к увеличению уровня нейтрофилов. Гипертиреоз может вызывать воспалительные процессы в организме, что также способствует активации нейтрофилов и их увеличению в крови.
Кроме того, заболевания надпочечников, такие как синдром Кушинга, могут приводить к повышению уровня нейтрофилов. Синдром Кушинга характеризуется избытком кортикостероидов, что может вызывать подавление других типов белых кровяных клеток, таких как лимфоциты, и одновременно увеличивать количество нейтрофилов. Это явление связано с тем, что кортикостероиды способствуют высвобождению нейтрофилов из костного мозга и их миграции в кровь.
Также стоит отметить, что гормональные изменения, происходящие в организме женщины во время менструального цикла или беременности, могут влиять на уровень нейтрофилов. Например, в период овуляции и беременности наблюдается физиологическое увеличение уровня нейтрофилов, что является нормальной реакцией организма на изменения гормонального фона.
Таким образом, эндокринные нарушения могут оказывать значительное влияние на уровень нейтрофилов в крови. Важно учитывать эти факторы при интерпретации результатов анализов и диагностике заболеваний, так как повышение уровня нейтрофилов может быть как следствием воспалительных процессов, так и проявлением эндокринных расстройств. Для точной диагностики необходимо проводить комплексное обследование, включая анализы на уровень гормонов и оценку состояния эндокринной системы.






