Гранулематоз Вегенера, или гранулематоз с полиангиитом, — редкое и серьезное заболевание из группы васкулитов, характеризующееся воспалением кровеносных сосудов и образованием гранулем в органах. Понимание симптомов, диагностики и методов лечения этого заболевания критично для своевременного выявления и управления состоянием пациентов. В статье рассмотрим причины поражения сосудов при гранулематозе Вегенера, его клинические проявления, а также современные подходы к диагностике и лечению, что поможет читателям осознать важность раннего обращения за медицинской помощью и выбора адекватной терапии.
Общие сведения
Заболевание получило свое название в честь немецкого врача Фридриха Вегенера, который в 1936 году выделил его как отдельную категорию. В настоящее время болезнь Вегенера известна под более точным названием — гранулематоз с полиангиитом. Этот редкий и серьезный аутоиммунный недуг относится к группе васкулитов, которые представляют собой иммунопатологические воспаления сосудов в организме. Его отличительной чертой является системный некротический характер поражения сосудов, проявляющийся в виде гигантоклеточного гранулематозного воспаления.
Патология затрагивает стенки следующих кровеносных сосудов:
- капилляры;
- венулы;
- артериолы;
- мелкие артерии.
Патология возникает внезапно и быстро поражает сосуды, стремительно распространяясь на мягкие ткани.
https://youtube.com/watch?v=2nZS_WsM-ho
Врачи отмечают, что гранулематоз Вегенера, или гранулематоз с полиангиитом, представляет собой редкое, но серьезное заболевание, которое требует внимательного подхода к диагностике и лечению. Симптомы могут варьироваться от респираторных проблем, таких как хронический кашель и носовые кровотечения, до системных проявлений, включая усталость и потерю веса. Для диагностики врачи используют комбинацию клинических данных, лабораторных тестов и визуализирующих методов, таких как КТ. Лечение обычно включает иммуносупрессоры, такие как кортикостероиды и цитостатики, что позволяет контролировать воспалительный процесс и предотвращать осложнения. Важно, чтобы пациенты находились под наблюдением специалистов, так как своевременное вмешательство может значительно улучшить прогноз.
Развитие патологического процесса
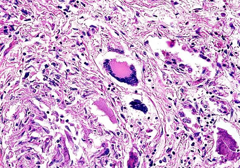
Заболевание начинается с образования аутоиммунных антител, которые атакуют здоровые клетки, приводя к их разрушению и воспалению тканей. Васкулиты чаще всего затрагивают эпителиоидные и гигантские клетки. Основным морфологическим признаком этого заболевания является гранулема — область некроза, окруженная инфильтратом, состоящим из нейтрофилов, плазмоцитов, лимфоцитов и эозинофилов.
При болезни Вегенера воспалительный процесс в стенках сосудов проходит три последовательные стадии: альтерацию, экссудацию и пролиферацию. Измененные участки поражения представляют собой скопления мелких гранул — гранулемы.
В какой-то момент каждая гранулема начинает распадаться, образуя кровоточащие полости на стенках сосудов — каверны. Этот процесс сопровождается образованием аневризм, которые могут разрываться, вызывая кровоизлияния. В подкожно-жировой клетчатке и внутренних органах развивается продуктивное воспаление микроциркуляторного русла, а на коже формируются язвы, вызванные некротическими гранулемами. У здоровых тканей отсутствует механизм защиты от агрессивных антител, что приводит к стремительному прогрессированию заболевания.
Узелковый периартериит: симптомы, диагностика и лечение. Причины, симптомы и терапия узелкового периартериита уже давно и тщательно исследуются традиционной медициной. Это…
| Категория | Описание | Варианты/Примеры |
|---|---|---|
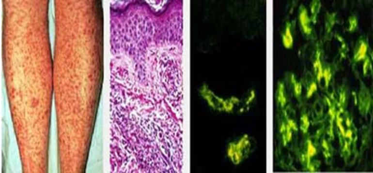
| Симптомы | Проявления заболевания, затрагивающие различные органы и системы. | Общие: Лихорадка, слабость, потеря веса, ночная потливость. Верхние дыхательные пути: Хронический ринит, синусит, носовые кровотечения, деформация носа («седловидный нос»), язвы слизистой. Легкие: Кашель, одышка, кровохарканье, боли в груди. Почки: Гематурия (кровь в моче), протеинурия (белок в моче), почечная недостаточность. Глаза: Конъюнктивит, эписклерит, увеит, проптоз. Кожа: Пальпируемая пурпура, язвы, узелки. Суставы: Артралгии, артриты. Нервная система: Периферическая нейропатия, мононеврит. |
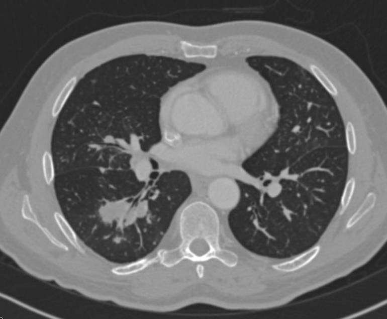
| Диагностика | Методы, используемые для подтверждения диагноза и оценки степени поражения. | Лабораторные исследования: * Общий анализ крови: Анемия, лейкоцитоз, повышение СОЭ. * Биохимический анализ крови: Повышение уровня креатинина и мочевины (при поражении почек). * Иммунологические исследования: Обнаружение антител к цитоплазме нейтрофилов (АНЦА), особенно c-АНЦА (антитела к протеиназе-3). Инструментальные исследования: * Рентгенография органов грудной клетки: Инфильтраты, узлы, полости. * Компьютерная томография (КТ) легких и придаточных пазух носа: Более детальная визуализация поражений. * Биопсия: Пораженных тканей (легких, почек, слизистой носа) с гистологическим исследованием (выявление гранулематозного воспаления, некротизирующего васкулита). * Бронхоскопия с биопсией: При поражении дыхательных путей. * Биопсия почки: При подозрении на гломерулонефрит. |
| Лечение | Терапевтические подходы, направленные на подавление воспаления и предотвращение повреждения органов. | Индукционная терапия (для достижения ремиссии): * Глюкокортикостероиды: Высокие дозы (например, преднизолон) для быстрого подавления воспаления. * Циклофосфамид: Мощный иммуносупрессант, часто используется в комбинации с глюкокортикостероидами. * Ритуксимаб: Моноклональное антитело, направленное против В-лимфоцитов, альтернатива циклофосфамиду или в комбинации. Поддерживающая терапия (для поддержания ремиссии): * Азатиоприн, метотрексат, микофенолата мофетил: Менее токсичные иммуносупрессанты, используемые после достижения ремиссии. * Низкие дозы глюкокортикостероидов. * Ритуксимаб: Может использоваться для поддерживающей терапии. Дополнительная терапия: * Антибиотики: При вторичных инфекциях. * Плазмаферез: При тяжелом поражении почек или легких с кровотечением. * Поддерживающая терапия почечной недостаточности: Диализ, трансплантация почки. |
Формы и стадии заболевания
Исследователи выделяют две формы данной патологии, которые некоторые специалисты рассматривают как стадии заболевания — локальную и генерализованную. На локальной стадии болезнь затрагивает верхние дыхательные пути, включая носоглотку, гортань, трахею и бронхи. Постепенно патологический процесс может распространиться на области глаз и ушей, при этом могут возникать следующие сопутствующие заболевания:
- гнойно-некротический риносинусит;
- ларингит;
- язвенно-некротический риносинусит;
- назофарингит;
- эписклерит.
Многие исследователи считают локальную форму отдельным заболеванием, которое проявляется патологическими изменениями в органах дыхания и на коже.
Согласно международной классификации, развитие гранулематоза Вегенера делится на четыре прогрессирующие стадии:
- Гранулематозно-некротический васкулит, который сопровождается нарушениями в верхних дыхательных путях, а также деформацией глазниц и носовой перегородки.
- Легочный васкулит — поражения охватывают всю дыхательную систему.
- Генерализация — гранулематоз затрагивает крупные сосуды, почки и желудочно-кишечный тракт.
- Терминальная стадия — развивается сердечная и почечная недостаточность, что приводит к крайне неблагоприятному прогнозу для пациента.
Если гломерулонефрит еще не проявился, но уже наблюдаются легочный и внелегочный васкулит, такая ситуация считается пограничной между двумя формами заболевания. На генерализованной стадии к прогрессирующим заболеваниям добавляются серьезные патологии нижних дыхательных путей, почек, сердечно-сосудистой системы и желудочно-кишечного тракта. Легочный и почечный васкулит часто сопровождается поражениями кожи и нервной системы.
Без адекватного лечения такие состояния могут привести к терминальному состоянию пациента из-за развития легочно-сердечной и почечной недостаточности.
https://youtube.com/watch?v=BQ86QZmW3Ko
Факторы риска и этиология
Считается, что гранулематоз чаще всего затрагивает людей с генетической предрасположенностью к этому заболеванию. В группу риска также входят те, кто злоупотребляет алкоголем и курением, а также те, кто постоянно испытывает стресс. К факторам, способствующим развитию болезни, можно отнести ослабленный иммунитет и онкологические заболевания. Этиология синдрома Вегенера до сих пор не установлена, поскольку не были выявлены ни инфекционные, ни неинфекционные агенты. Существует несколько гипотез, которые пытаются объяснить возможные причины этой болезни.
Одна из гипотез предполагает существование еще не открытого вируса или бактерии. Известно, что перенесенные ранее инфекционные заболевания могут быть факторами риска, особенно опасным является носительство золотистого стафилококка в носоглотке и наличие антигенов к вирусам гепатита В или С. Также установлено, что длительный прием гормональных, цитотоксических или антибактериальных препаратов может играть значительную роль в развитии болезни.
Существуют и предположения о аллергической природе данного недуга, которые основаны на возможности возникновения воспалительных процессов в конъюнктиве и верхних дыхательных путях под воздействием как эндогенных, так и экзогенных аллергенов. У пациентов с патологией Вегенера в крови обнаруживаются иммунные комплексы — антитела к нейрофилам и некоторые виды антигенов.
Их накопление может приводить к повреждению сосудистого эпителия и синтезу аутоантител, что позволяет предполагать аутоиммунное происхождение гранулематоза.
Симптоматика гранулематоза
На начальных стадиях болезнь может протекать без явных признаков или проявляться такими симптомами, как общая слабость, снижение аппетита и резкая потеря веса. Позже начинают проявляться признаки гранулематоза Вегенера:
- повышение температуры тела;
- состояние лихорадки;
- повышенная потливость и жажда;
- быстрая утомляемость;
- болевые ощущения в мышцах и суставах.
Эти симптомы являются неспецифическими, их выраженность может варьироваться — от едва заметных до довольно сильных, а продолжительность может составлять около трех недель.

Поражения дыхательных путей
Специфические проявления заболевания начинаются с различных поражений верхних дыхательных путей. Чаще всего это ринит, который проявляется односторонней заложенностью и сухостью в носу. Со временем слизистая носоглотки покрывается корочками, под которыми можно обнаружить участки некроза и мелкие кровоизлияния. У пациентов периодически возникает кашель, который может сопровождаться кровохарканьем и носовыми кровотечениями.
Дыхание становится затрудненным из-за образовавшихся в носу корочек. Возможны изменения в голосе: он может стать осиплым или хриплым. Далее патологический процесс затрагивает хрящевую и костную ткань носа, что приводит к разрушению и деформациям на лице пациента. Также наблюдаются поражения слизистой оболочки рта, проявляющиеся в виде язвенного стоматита.
Если не предпринять адекватные меры, некротическое воспаление и язвы могут распространиться на носовые синусы, гортань, трахею и бронхи. У больного могут возникнуть ощущения инородного тела в горле, сопровождающиеся болевыми ощущениями, обильным слюноотделением и хрипотой.
Существует риск развития серьезного осложнения, такого как стеноз гортани, который может вызвать проблемы с дыханием. При этом все указанные патологии плохо поддаются традиционному лечению и хирургическим методам.
Патологии других органов
У некоторых пациентов может развиться мастоидит — воспалительный процесс в области височной кости, находящейся за ухом, который приводит к нарушениям слуха и восприятия звуков, связанным с васкулитом. В области глаз данная патология проявляется язвами на роговице, которые могут перейти в кератит и увеит. У таких пациентов возникают светобоязнь, отечность век, ухудшение остроты зрения и слезотечение. Хронический кератит может привести к перфорации роговицы, что, в свою очередь, может вызвать слепоту. Также нарушение кровоснабжения зрительного нерва может иметь серьезные последствия.
Кожные высыпания при язвенно-геморрагическом васкулите обычно локализуются на нижних конечностях или в центральной части лица, распространяясь из области носа. Эти высыпания представляют собой уплотненные образования темно-фиолетового оттенка и могут проявляться в виде папул, эритем и экхимозов, которые со временем сливаются в язвенно-некротические участки. При отсутствии адекватного лечения может развиться гангрена.
Процессы, затрагивающие нижние отделы дыхательной системы, в начале могут не проявляться специфическими симптомами и выявляются только с помощью рентгенографии. Позже в легких наблюдаются прогрессирующие деструктивные изменения паренхимы (ткани альвеол) в виде множества очагов, пораженных гранулематозом. Эти поражения сопровождаются болями в груди и выраженной одышкой и могут привести к выпотному плевриту и респираторной недостаточности.
Зафиксированы редкие случаи поражения сердца и коронарных сосудов, которые могут проявляться безболевым инфарктом миокарда и другими заболеваниями. Иногда васкулит затрагивает органы пищеварительной системы, что вызывает боли в области пупка и появление слизи и крови в кале.
Васкулит, поражающий почки, приводит к их быстрому ухудшению функции. Развивается мочевой синдром, связанный с очаговым гломерулонефритом, который можно диагностировать по наличию белка и крови в моче. При этом наблюдаются полулуний в почках, тромбоз и некроз крупных сегментов клубочков и их отдельных петель. Если пациент страдает от сердечной и/или почечной недостаточности, даже интенсивное лечение может не предотвратить летальный исход.

Диагностика и лечение
Раннее выявление гранулематоза представляет собой сложную задачу, поскольку на начальных этапах пациенты часто принимают симптомы заболевания за обычную простуду или грипп и редко обращаются за медицинской помощью. Первым шагом в диагностике является тщательный опрос и осмотр пациента для выявления симптомов. При наличии подозрений на болезнь Вегенера рекомендуется консультация у ревматолога, а также проведение лабораторных и инструментальных исследований, таких как рентгенография, ультразвуковое обследование и томография.
В некоторых случаях может быть оправдано выполнение диагностической операции. Подтверждение гранулематоза возможно, если анализ крови показывает нормохромную анемию и тромбоцитоз, а в моче обнаруживаются следы белка и эритроцитов. Также могут быть назначены дополнительные биохимические и иммунологические анализы крови.
При локальной форме заболевания применяется иммуносупрессивная комбинированная терапия с использованием Циклофосфамида и Преднизолона. Если диагностированы альвеолит или гломерулонефрит, это служит основанием для назначения высоких доз Метилпреднизолона и Циклофосфамида по специальной схеме. В период ремиссии дозы этих препаратов снижаются, и назначается метотрексат на срок до двух лет.
При генерализации патологического процесса требуется более радикальное лечение, включая экстракорпоральную гемокоррекцию и фармакотерапию. Для борьбы с рецидивами может быть проведена внутривенная терапия иммуноглобулином или назначен Ритуксимаб. В случае стеноза гортани может потребоваться установка трахеостомы.
Правильная и своевременная диагностика такой серьезной болезни, как гранулематоз Вегенера, может спасти жизнь пациента.


Прогноз и осложнения
Гранулематоз Вегенера, также известный как гранулематоз с полиангиитом, является системным заболеванием, которое может приводить к серьезным осложнениям и снижению качества жизни пациентов. Прогноз заболевания зависит от ряда факторов, включая своевременность диагностики, эффективность лечения и индивидуальные особенности организма пациента.
При отсутствии адекватного лечения гранулематоз Вегенера может привести к тяжелым осложнениям, таким как почечная недостаточность, легочные проблемы, а также поражение других органов, включая сердце и нервную систему. Одним из наиболее серьезных осложнений является развитие нефритов, которые могут привести к хронической почечной недостаточности и необходимости в диализе или трансплантации почки.
Легочные осложнения могут проявляться в виде интерстициальной болезни легких, легочных инфильтратов и даже легочного кровотечения. Эти состояния могут требовать интенсивной терапии и госпитализации. Кроме того, у пациентов с гранулематозом Вегенера может развиваться синусит, который в свою очередь может привести к инфекциям и другим осложнениям.
Прогноз для пациентов с гранулематозом Вегенера значительно улучшился благодаря современным методам лечения, включая использование иммуносупрессивных препаратов, таких как кортикостероиды и цитостатики. Однако, несмотря на это, у некоторых пациентов могут возникать рецидивы заболевания, что требует постоянного мониторинга и корректировки лечения.
Важно отметить, что ранняя диагностика и начало лечения играют ключевую роль в улучшении прогноза. Пациенты, у которых заболевание было выявлено на ранних стадиях и которые получили адекватное лечение, имеют более благоприятный исход и могут вести активный образ жизни.
Таким образом, прогноз при гранулематозе Вегенера зависит от множества факторов, включая индивидуальные особенности пациента, степень тяжести заболевания и эффективность проводимого лечения. Регулярное наблюдение у специалистов и соблюдение рекомендаций врача могут значительно снизить риск осложнений и улучшить качество жизни пациентов.
Профилактика заболевания
Профилактика гранулематоза Вегенера, как и многих других аутоиммунных заболеваний, представляет собой сложный и многогранный процесс, который включает в себя как медицинские, так и немедицинские аспекты. Хотя точные причины развития этого заболевания до конца не изучены, существуют некоторые рекомендации, которые могут помочь снизить риск его возникновения или обострения.
Во-первых, важно поддерживать общее здоровье организма. Это включает в себя регулярные физические нагрузки, сбалансированное питание, богатое витаминами и минералами, а также достаточное количество сна. Здоровый образ жизни способствует укреплению иммунной системы, что может снизить риск развития аутоиммунных заболеваний.
Во-вторых, необходимо избегать факторов, способствующих развитию воспалительных процессов в организме. Это может включать в себя отказ от курения, ограничение потребления алкоголя и избегание контакта с токсичными веществами. Исследования показывают, что курение может быть связано с повышенным риском развития гранулематоза Вегенера, поэтому отказ от этой привычки может сыграть важную роль в профилактике.
Также стоит обратить внимание на регулярные медицинские осмотры и мониторинг состояния здоровья, особенно если у вас есть предрасположенность к аутоиммунным заболеваниям. Раннее выявление симптомов и своевременное обращение к врачу могут значительно улучшить прогноз и качество жизни.
Кроме того, важно следить за состоянием дыхательных путей и избегать инфекций, которые могут спровоцировать обострение заболевания. Это включает в себя вакцинацию против гриппа и пневмококковой инфекции, а также соблюдение правил личной гигиены, особенно в период эпидемий.
Наконец, психоэмоциональное состояние также играет важную роль в профилактике гранулематоза Вегенера. Стресс и эмоциональные нагрузки могут негативно сказаться на иммунной системе, поэтому важно находить время для отдыха, заниматься любимыми хобби и при необходимости обращаться за психологической поддержкой.
Таким образом, профилактика гранулематоза Вегенера требует комплексного подхода, включающего в себя как физические, так и психологические аспекты. Забота о своем здоровье, регулярные медицинские осмотры и избегание вредных привычек могут помочь снизить риск развития этого серьезного заболевания.
Современные исследования и перспективы лечения
Гранулематоз Вегенера, также известный как гранулематоз с полиангиитом, представляет собой системное заболевание, характеризующееся воспалением кровеносных сосудов (васкулитом) и образованием гранулем в различных органах, включая легкие, почки и верхние дыхательные пути. В последние годы исследования в области диагностики и лечения этого заболевания значительно продвинулись, что открывает новые горизонты для пациентов.
Современные исследования сосредоточены на понимании патогенеза гранулематоза Вегенера, что позволяет выявить молекулярные механизмы, лежащие в основе заболевания. Одним из ключевых направлений является изучение роли аутоиммунных процессов и генетической предрасположенности. В частности, было установлено, что определенные генетические маркеры могут повышать риск развития заболевания, что открывает возможности для ранней диагностики и профилактики.
В области диагностики гранулематоза Вегенера также произошли значительные изменения. Современные методы визуализации, такие как магнитно-резонансная томография (МРТ) и компьютерная томография (КТ), позволяют более точно оценить состояние органов и выявить изменения, характерные для заболевания. Кроме того, использование серологических тестов на наличие антинейтрофильных цитоплазматических антител (ANCA) стало стандартом в диагностике, что позволяет быстро и эффективно подтверждать диагноз.
Что касается лечения, то традиционно для терапии гранулематоза Вегенера использовались глюкокортикостероиды и иммуносупрессивные препараты, такие как циклофосфамид. Однако последние исследования показывают, что более современные подходы, включая использование биологических препаратов, таких как ритуксимаб и тоцилизумаб, могут быть более эффективными и менее токсичными. Эти препараты направлены на специфические молекулы, участвующие в воспалительном процессе, что позволяет минимизировать побочные эффекты и улучшить качество жизни пациентов.
Перспективы лечения гранулематоза Вегенера также включают разработку новых терапевтических стратегий, направленных на индивидуализацию лечения. Исследования показывают, что подходы, основанные на генетическом профилировании пациентов, могут помочь в выборе наиболее эффективной терапии. Это позволит не только улучшить результаты лечения, но и снизить риск рецидивов заболевания.
Таким образом, современные исследования в области гранулематоза Вегенера открывают новые возможности для диагностики и лечения, что, безусловно, является обнадеживающим для пациентов и медицинского сообщества. Важно продолжать научные изыскания, чтобы улучшить понимание этого сложного заболевания и разработать более эффективные методы его лечения.







