Миксома сердца — редкая, но опасная опухоль, способная негативно влиять на сердечно-сосудистую систему. Своевременная диагностика и лечение могут предотвратить серьезные осложнения и улучшить качество жизни пациента. В статье рассмотрим причины возникновения миксомы, ее симптомы, методы диагностики и современные подходы к лечению, что поможет читателям осознать важность раннего выявления и адекватного реагирования на заболевание.
Миксома сердца: что это такое
Миксома сердца представляет собой опухоль, формирующуюся на сердечной мышце. Она отличается высокой скоростью роста. Это новообразование имеет гладкую структуру и состоит из ножки и тела. В медицинской практике выделяют два типа данной аномалии:
- миксома левого предсердия;
- миксома правого предсердия.
Это указывает на то, что опухоль затрагивает лишь одну из частей предсердия. В редких случаях она может возникать в области желудочков. Чаще всего диагностируется доброкачественная форма опухоли, однако это не исключает возможность развития злокачественного процесса. Основной задачей пациента является поиск квалифицированного кардиолога для определения причин возникновения данной патологии.
Важно!
В группу риска по развитию миксомы входят взрослые люди. При этом у женщин данное заболевание встречается в 3-4 раза чаще, чем у мужчин.
Миксома сердца представляет собой доброкачественную опухоль, чаще всего локализующуюся в левом предсердии. Врачи отмечают, что основными причинами ее возникновения могут быть генетические предрасположенности, а также травмы или воспалительные процессы в сердечно-сосудистой системе. Симптоматика миксомы может варьироваться: от бессимптомного течения до проявлений, таких как одышка, боли в груди и аритмии. Важно отметить, что опухоль может вызывать серьезные осложнения, включая тромбообразование и инсульт. Лечение миксомы, как правило, хирургическое, и врачи подчеркивают, что ранняя диагностика и своевременное вмешательство значительно повышают шансы на успешное выздоровление. Регулярные обследования и внимание к своему здоровью играют ключевую роль в профилактике данной патологии.
https://youtube.com/watch?v=ENW0C0T4ntI
Причины появления
На протяжении многих лет ведущие мировые эксперты изучают особенности возникновения и прогрессирования новообразований в области предсердия. В ходе исследований было установлено, что такие опухоли формируются из пристеночного тромба, который со временем трансформируется в опухолевую массу. Миксома возникает случайно, и на сегодняшний день не выявлено факторов, способствующих ее образованию. Тем не менее, существует определенная статистика, позволяющая выделить несколько возможных причин данной патологии:
- Синдром Карни, который передается по наследству и встречается у 10% пациентов с предсердной миксомой. Этот синдром также известен как синдром множественных доброкачественных образований.
- Травмы, полученные в результате хирургических вмешательств на сердечной мышце. Хотя научные объяснения этой связи отсутствуют, зафиксированы случаи, когда опухоль развивалась после повреждений.
- Аномалии в строении перегородки, которые способствуют размножению и росту клеток.
- Наличие множества сосудистых структур, где могут происходить распады и кровоизлияния.
Миксома характеризуется быстрым ростом, что может приводить к отделению мелких фрагментов, которые перемещаются по кровеносным сосудам. Эти частицы могут прикрепляться к другим органам, формируя новые дочерние образования. Размер опухоли может достигать нескольких сантиметров. Даже если она является доброкачественной, существует риск возникновения серьезных осложнений и угрозы для жизни пациента.
| Аспект | Описание | Варианты/Примеры |
|---|---|---|
| Суть патологии | Доброкачественная опухоль сердца, чаще всего возникающая в левом предсердии. | Может быть на ножке (педикулярная) или широком основании (сидячая). |
| Причины | Точная причина неизвестна. Считается, что развивается из примитивных мезенхимальных клеток. | В 10% случаев имеет наследственный характер (синдром Карни). |
| Симптомы | Зависят от размера, расположения и подвижности опухоли. Могут быть неспецифическими. | Общие: слабость, утомляемость, лихорадка, потеря веса. Сердечные: одышка, сердцебиение, боли в груди, обмороки, отеки. Эмболические: инсульты, тромбоэмболии легочной артерии, ишемия конечностей. |
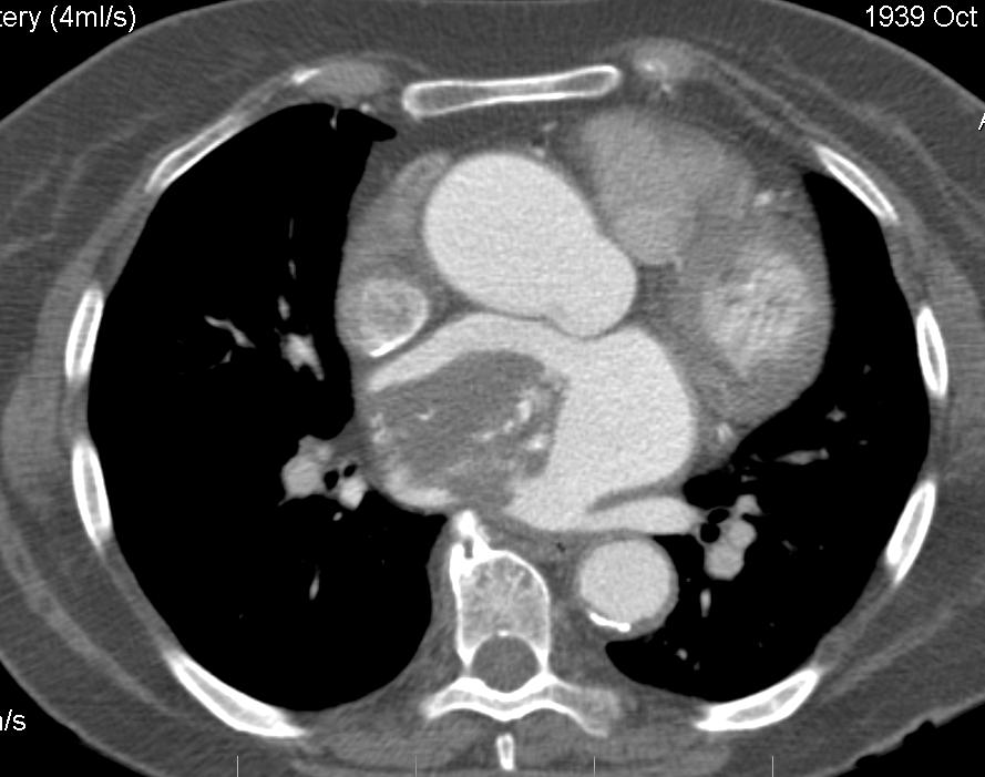
| Диагностика | Основана на инструментальных методах исследования. | Эхокардиография (ЭхоКГ) – основной метод, КТ, МРТ сердца, ЭКГ, рентген грудной клетки. |
| Лечение | Хирургическое удаление опухоли. | Операция на открытом сердце с использованием аппарата искусственного кровообращения. |
| Прогноз | При своевременном удалении – благоприятный. | Возможны рецидивы (особенно при наследственных формах), поэтому требуется регулярное наблюдение. |
Симптомы
Чем быстрее будет обнаружена патология и начнется терапия, тем выше вероятность положительного результата. Определить заболевание можно по нескольким характерным признакам:
- одышка, которая может возникать даже в состоянии покоя или во время сна;
- обмороки;
- учащенное сердцебиение;
- повышение температуры тела до 37-37,5 градусов;
- увеличение артериального давления;
- дискомфорт или боль в грудной клетке;
- затрудненное дыхание;
- анемия конечностей.
Эти симптомы могут также указывать на проблемы с другими органами. Более детальную клиническую картину помогут установить признаки, выявленные в ходе диагностического обследования. К ним относятся: снижение уровня тромбоцитов в крови, наличие сердечных шумов, анемия и синдром Рейно.

Места локализации
Миксома в области желудочков встречается крайне редко. У 75% пациентов опухоль локализуется в левом предсердии. Такая локализация представляет собой серьезную угрозу, так как может привести к ухудшению венозного оттока и сужению митрального отверстия. В условиях обострения осложнений возрастает вероятность повышения артериального давления и развития сердечной недостаточности. Если опухоль расположена рядом с овальной ямкой предсердия, она может значительно увеличиться, опуститься в желудочек и перекрыть клапанное отверстие.
Согласно статистике, миксома в правом предсердии наблюдается лишь у 20% пациентов. Ее развитие приводит к сужению правого атриовентрикулярного отверстия, что нарушает венозный отток. Одним из опасных осложнений является риск гипертонического криза, возникающего на фоне резкого повышения давления.
https://youtube.com/watch?v=iD3WXfITu3E
Диагностика
Появление таких симптомов, как одышка, дискомфорт в грудной клетке, общая слабость или учащенное сердцебиение, является серьезным поводом для обращения к кардиологу. Специалист выслушает жалобы пациента и проведет ряд инструментальных исследований, направленных на оценку состояния сердечно-сосудистой системы. К ним относятся:
- Измерение артериального давления с помощью тонометра. Пациенту рекомендуется выполнять эту процедуру несколько раз в день, что позволяет составить детальный анамнез.
- Эхокардиография – метод, позволяющий исследовать ткани сердца. Он помогает выявить сердечные шумы, обнаружить наличие опухолей и оценить их характеристики.
- МРТ – метод, который позволяет изучить особенности кровотока и пролиферативную активность. Исследование проводится с использованием специального контрастного вещества – гадолиния.
- Рентгенография – метод, который помогает определить увеличение сердца и его отдельных камер, а также выявить неровности контуров сердечной мышцы.
- Общий и биохимический анализ крови, необходимый для определения уровня различных веществ в организме.
Наиболее информативными методами являются эхокардиография и МРТ, которые позволяют установить наличие опухоли, ее характеристики, размеры и степень подвижности. Остальные методы диагностики могут быть менее надежными, но их применение важно для общей оценки состояния здоровья пациента.
Важно!
Если у человека, которому больше 40 лет, диагностирована миксома, то ему потребуется дополнительное инструментальное исследование – контрастное исследование сердечных сосудов, необходимое для оценки возможности хирургического вмешательства.
Лечение
Миксома является доброкачественной опухолью, однако ее значительные размеры могут препятствовать нормальному функционированию сердечно-сосудистой системы. Это создает риск для здоровья и жизни пациента. Чтобы избежать негативных последствий, необходимо лечение. К сожалению, медикаментозные средства не способны устранить новообразование в предсердии. Они могут быть назначены лишь для улучшения общего состояния и снятия некоторых сопутствующих симптомов. Наиболее эффективным методом борьбы с этой опухолью остается хирургическое удаление.
Как проводится операция по удалению
Операцию выполняет кардиохирург. Процесс удаления миксомы состоит из нескольких ключевых этапов:
- Выполнение разреза на поверхности грудной клетки.
- Подключение пациента к аппарату искусственного кровообращения.
- Открытие пораженной области.
- Создание отверстия в сердечной мышце.
- Удаление ножек опухоли.
- Зашивание образовавшихся дефектов и наложение швов.
- Отсоединение пациента от аппарата, который обеспечивал искусственное кровообращение во время операции.
Следующий этап лечения заключается в восстановлении организма пациента. В течение 10 дней он должен находиться в стационаре под наблюдением кардиолога. Обычно самочувствие улучшается сразу после операции. Полный процесс восстановления занимает около 30 дней. В этот период важно соблюдать режим покоя, обеспечивать организм кислородом, избегать стрессовых ситуаций, правильно питаться и отказаться от вредных привычек.
Важно!
С возрастом пациента время, необходимое для полного восстановления, увеличивается. Вернуться к привычной жизни можно через 3-6 месяцев, но только после проведения диагностики и подтверждения положительной динамики в ходе обследования.
Прогноз жизни
Негативный исход может произойти лишь в том случае, если человек пренебрегает своим здоровьем и не обращается к врачу для диагностики и лечения. Наиболее серьезным последствием может стать внезапная смерть, вызванная отрывом тромба и его попаданием в кровоток. Еще одно возможное осложнение – инфаркт миокарда, который возникает в результате прекращения кровоснабжения и гибели тканей.
Если лечение начато своевременно, прогноз обычно благоприятный. Кардиохирурги успешно удаляют миксому с помощью хирургического вмешательства, и пациент быстро восстанавливается, забывая о том, что в его предсердии когда-то находилась доброкачественная опухоль. Риск рецидива существует только в том случае, если во время операции не были полностью удалены все места крепления множественных миксом.
В заключение
Исследования показали, что миксома может увеличиваться в размерах в течение 1-2 лет. К 3-4 годам она достигает таких габаритов, что способна нарушать нормальное функционирование сердечно-сосудистой системы и даже привести к смерти. Для защиты своего здоровья и жизни важно регулярно проводить профилактику сердечно-сосудистой системы и обращаться к кардиологу при возникновении тревожных симптомов.
Типы миксом сердца
Первичные миксомы
Первичные миксомы сердца представляют собой опухоли, которые развиваются из соединительной ткани сердца. Они чаще всего встречаются в левом предсердии и могут достигать значительных размеров. Эти опухоли обычно имеют мягкую консистенцию и могут быть как одиночными, так и множественными. Первичные миксомы чаще наблюдаются у женщин, особенно в возрасте от 30 до 60 лет. Основной причиной их возникновения считается генетическая предрасположенность, однако точные механизмы формирования остаются неясными.
Вторичные миксомы
Вторичные миксомы сердца возникают в результате метастазирования опухолей из других органов. Они могут быть связаны с различными типами рака, такими как рак легких, молочной железы или почек. Вторичные миксомы чаще всего имеют более агрессивное течение и могут вызывать серьезные осложнения, так как они могут нарушать нормальное функционирование сердца и приводить к сердечной недостаточности.
Миксома с различной локализацией
Миксомы могут локализоваться в различных частях сердца, включая предсердия и желудочки. Наиболее распространены миксомы, расположенные в левом предсердии, что связано с их анатомической особенностью и кровотоком. Миксомы, находящиеся в правом предсердии, встречаются реже, но могут также вызывать серьезные клинические проявления. Локализация опухоли играет важную роль в определении симптомов и подходов к лечению.
Клинические проявления миксом
Симптоматика миксом сердца может варьироваться в зависимости от их размера, локализации и наличия сопутствующих заболеваний. На ранних стадиях миксома может быть бессимптомной, однако по мере роста опухоли могут возникать такие симптомы, как одышка, боли в груди, учащенное сердцебиение и даже обмороки. В некоторых случаях миксома может вызывать тромбообразование, что приводит к эмболии и серьезным осложнениям, таким как инсульт.
Диагностика миксом
Диагностика миксом сердца включает в себя использование различных методов визуализации, таких как эхокардиография, магнитно-резонансная томография (МРТ) и компьютерная томография (КТ). Эхокардиография является основным методом, позволяющим визуализировать опухоль и оценить ее размеры и локализацию. В некоторых случаях может потребоваться биопсия для подтверждения диагноза.
Лечение миксом
Лечение миксом сердца в первую очередь хирургическое. Операция по удалению миксом является стандартным методом лечения и позволяет устранить опухоль и предотвратить развитие осложнений. Важно отметить, что после удаления миксом необходимо проводить регулярное наблюдение за пациентом, так как существует риск рецидива. В некоторых случаях, особенно при наличии сопутствующих заболеваний, может быть рекомендовано консервативное лечение, направленное на управление симптомами и улучшение качества жизни пациента.
Осложнения миксома
Миксома сердца, будучи доброкачественной опухолью, может вызывать ряд серьезных осложнений, которые требуют внимательного наблюдения и своевременного лечения. Одним из наиболее распространенных осложнений является тромбообразование. Миксома может способствовать образованию тромбов на своем поверхности, что увеличивает риск эмболии. Если тромб отрывается и попадает в системный кровоток, он может вызвать окклюзию сосудов, что приводит к инсультам или инфарктам.
Другим важным осложнением является обструкция кровотока. В зависимости от расположения миксомы, она может перекрывать выходные пути из сердца, что приводит к затруднению кровообращения. Это может проявляться симптомами сердечной недостаточности, такими как одышка, усталость и отеки.
Кроме того, миксома может вызывать аритмии. Опухоль может раздражать сердечную мышцу и проводить электрические импульсы неправильно, что приводит к различным нарушениям ритма. Это может быть как временное явление, так и постоянное, требующее медикаментозного лечения или установки кардиостимулятора.
Инфекция также представляет собой потенциальное осложнение. Хотя это происходит редко, миксома может инфицироваться, что приводит к развитию эндокардита — воспаления внутренней оболочки сердца. Это состояние требует немедленного медицинского вмешательства и может потребовать хирургического удаления опухоли.
Наконец, важно отметить, что миксома может рецидивировать после удаления. Хотя это происходит нечасто, пациенты должны находиться под наблюдением кардиолога для своевременного выявления возможных рецидивов и осложнений.
Таким образом, несмотря на то что миксома сердца является доброкачественной опухолью, она может вызывать серьезные осложнения, которые требуют комплексного подхода к диагностике и лечению. Регулярные обследования и внимательное отношение к симптомам могут существенно снизить риск развития осложнений и улучшить качество жизни пациентов.
Профилактика заболевания
Профилактика миксомы сердца включает в себя несколько ключевых аспектов, направленных на снижение риска развития этого заболевания и его осложнений. Хотя точные причины возникновения миксомы до конца не изучены, существуют факторы, которые могут способствовать ее образованию. Понимание этих факторов и применение профилактических мер может помочь в предотвращении заболевания.
Во-первых, важно следить за общим состоянием сердечно-сосудистой системы. Регулярные медицинские осмотры, включая ультразвуковое исследование сердца, могут помочь в раннем выявлении аномалий, таких как опухоли. Людям с предрасположенностью к сердечно-сосудистым заболеваниям, а также тем, у кого в семье были случаи миксомы, рекомендуется проходить обследования чаще.
Во-вторых, следует обратить внимание на образ жизни. Здоровое питание, богатое витаминами и минералами, может способствовать укреплению сердечно-сосудистой системы. Употребление достаточного количества фруктов, овощей, цельнозерновых продуктов и нежирного белка поможет поддерживать нормальный уровень холестерина и артериального давления.
Физическая активность также играет важную роль в профилактике сердечно-сосудистых заболеваний. Регулярные физические нагрузки, такие как ходьба, плавание или занятия спортом, помогают поддерживать здоровье сердца и сосудов, улучшая кровообращение и снижая риск образования тромбов.
Кроме того, важно избегать вредных привычек, таких как курение и чрезмерное употребление алкоголя. Эти факторы могут негативно сказываться на состоянии сердечно-сосудистой системы и увеличивать риск развития различных заболеваний, включая миксому.
Управление стрессом также является важным аспектом профилактики. Хронический стресс может негативно влиять на здоровье сердца, поэтому методы релаксации, такие как медитация, йога или занятия хобби, могут помочь снизить уровень стресса и улучшить общее самочувствие.
Наконец, важно помнить о своевременном лечении хронических заболеваний, таких как диабет и гипертония. Контроль этих состояний может значительно снизить риск развития осложнений, связанных с сердечно-сосудистой системой, включая миксому.


