Тромбоэмболия легочной артерии (ТЭЛА) — серьезное состояние, возникающее из-за закупорки легочной артерии тромбом, образовавшимся в венах других частей тела. Это заболевание требует немедленного внимания, так как симптомы могут проявляться внезапно и быстро прогрессировать, что делает диагностику и лечение критически важными. В статье рассмотрим причины ТЭЛА, основные симптомы, методы лечения и прогноз, чтобы помочь читателям лучше понять это опасное заболевание и принять меры для его предотвращения.
Что такое тромбоэмболия легочной артерии
Остановка движения тромба может происходить в крупных сосудах, которые переносят жидкую соединительную ткань от легких к сердцу, а также в их ответвлениях. Последствия зависят от числа «плавающих» частиц и их размеров. Чем больше тромбы, тем выше вероятность полного перекрытия жизненно важных артерий.
Заболевание чаще всего выявляется у пациентов с уже существующими проблемами сердечно-сосудистой системы, включая аномалии в работе клапанов.
Тромбоэмболия часто возникает как осложнение после операций на органах брюшной полости и таза, включая репродуктивные органы. Диагноз может быть связан с образованием тромбов, которые могут долгое время оставаться незаметными. Эта патология считается характерной для пожилых людей, так как с возрастом сосуды изнашиваются, а заболевания крови становятся более распространенными.
Внимание!
Люди, страдающие от онкологических заболеваний, ожирения или ведущие малоподвижный образ жизни, находятся в группе повышенного риска тромбоэмболии легочной артерии.
В медицинской практике тромбоэмболия не является редким диагнозом. По статистике, около 500-600 тысяч человек ежегодно обращаются в медицинские учреждения с этой проблемой. К сожалению, половину из них спасти не удается. Это связано с образованием тромбов, их неожиданным отрывом и высокой скоростью перемещения. Частицы крови могут оставаться «тихими» на протяжении всей жизни, а могут оторваться в самый неожиданный момент.
Тромбы могут образовываться не только в нижних конечностях и области таза, но и в правом предсердии, а также в верхних конечностях, хотя такие случаи встречаются реже. Механизм прост: при повреждении верхнего слоя сосудов открывается следующий, что способствует более быстрому свертыванию крови, и к этому участку присоединяются другие частицы.
Типы патологии:
- массивная – затрагивает две трети легочных ветвей (вызывает болевые ощущения в крупных артериях и стволе), приводит к снижению артериального давления и может вызвать шоковое состояние;
- субмассивная – поражает одну треть сосудистой сети (затрагивает отдельные сегменты органов дыхания), может повлиять на правый желудочек сердца и вызвать нарушения в работе миокарда;
- немассивная – проявляется поражением менее одной трети всей дыхательной структуры (речь идет о более мелких артериях), сопровождается минимальными симптомами или их полным отсутствием, может привести к инфаркту одного из органов дыхания.
Тромбоэмболия легочной артерии (ТЭЛА) представляет собой серьезное состояние, возникающее в результате блокировки легочной артерии тромбом, который может образоваться в венах ног или других частях тела. Врачи подчеркивают, что это заболевание требует немедленного медицинского вмешательства, так как оно может привести к серьезным осложнениям и даже смерти. Однако, при своевременной диагностике и лечении, пациенты могут вести полноценную жизнь. Врачи отмечают, что важным аспектом является профилактика, включая регулярную физическую активность, контроль веса и отказ от курения. Также рекомендуется следить за состоянием сердечно-сосудистой системы, особенно у людей с предрасположенностью к тромбообразованию. С правильным подходом и соблюдением рекомендаций специалистов, многие пациенты успешно справляются с этой болезнью и продолжают жить активной жизнью.

Причины
Тромбоэмболия может возникнуть под воздействием различных факторов. Врачи выделяют три ключевых причины:
- изменения в сосудистой системе;
- повышенная свертываемость крови;
- нарушения в кровообращении.
Часто этот процесс активизируется в моменты гормональных изменений, таких как беременность или менопауза.
Существует множество сопутствующих факторов, которые могут увеличить риск развития данного состояния, и все они связаны с состоянием крови.
Застой:
- длительная катетеризация (может повредить клетки сосудов, что приводит к образованию сгустков в местах повреждения);
- курение и употребление алкоголя (вызывают спазмы сосудов, делают их менее эластичными, что ухудшает кровоток);
- неправильное питание, избыточный вес, диабет обоих типов (нагружают сердечно-сосудистую систему, способствуют атеросклерозу, повышают артериальное давление и уровень холестерина, приводят к образованию холестериновых бляшек);
- сердечные заболевания (нарушают основные функции сердца);
- вирусные инфекции, влияющие на состояние крови;
- недостаток физической активности и длительное пребывание в неподвижном состоянии.
Свертываемость:
- повышение уровня фиброгена (белка, отвечающего за свертываемость крови);
- наследственные и генетические заболевания, вызывающие нарушения в системе кроветворения.
Вязкость:
- обезвоживание, вызванное различными заболеваниями;
- увеличение количества эритроцитов в крови.
Деформация сосудистых стенок:
- генетические и аутоиммунные заболевания;
- хирургические операции;
- травмы и микротравмы;
- инфекции;
- холестериновые бляшки;
- варикозное расширение вен;
- тромбоз и тромбофлебит.
Любые проблемы с сосудами могут привести к серьезным последствиям и хроническим заболеваниям.
| Аспект | Описание | Возможности жизни |
|---|---|---|
| Что такое ТЭЛА? | Тромбоэмболия легочной артерии (ТЭЛА) – это острое состояние, при котором тромб (сгусток крови) отрывается от места своего образования (чаще всего в венах ног или таза) и с током крови попадает в легочные артерии, блокируя кровоток в легких. | Жизнь возможна, но зависит от тяжести состояния, своевременности диагностики и лечения. |
| Причины и факторы риска | Основные причины: тромбоз глубоких вен (ТГВ). Факторы риска: длительная иммобилизация (постельный режим, длительные перелеты), хирургические операции, онкологические заболевания, беременность, прием гормональных контрацептивов, наследственная предрасположенность к тромбозам, ожирение, курение, сердечная недостаточность. | Устранение или контроль факторов риска значительно улучшает прогноз и качество жизни. |
| Симптомы | Могут быть неспецифичными и варьироваться от легких до жизнеугрожающих: внезапная одышка, боль в груди (усиливающаяся при вдохе), кашель (иногда с кровью), учащенное сердцебиение, головокружение, обморок, цианоз (синюшность кожи). | При своевременном обращении за медицинской помощью и адекватном лечении симптомы могут быть купированы, и человек может вернуться к нормальной жизни. |
| Диагностика | Включает сбор анамнеза, физикальный осмотр, лабораторные анализы (D-димер), электрокардиограмму (ЭКГ), рентгенографию грудной клетки, компьютерную томографию (КТ) легких с контрастированием (КТ-ангиография), вентиляционно-перфузионное сканирование легких, ультразвуковое исследование вен нижних конечностей. | Точная диагностика критически важна для выбора правильной тактики лечения и сохранения жизни. |
| Лечение | Основные методы: антикоагулянтная терапия (препараты, разжижающие кровь), тромболитическая терапия (препараты, растворяющие тромб), хирургическое удаление тромба (тромбэктомия), установка кава-фильтра (для предотвращения повторного попадания тромбов в легкие). | При адекватном лечении большинство пациентов могут полностью восстановиться и вести полноценную жизнь. |
| Прогноз и осложнения | Прогноз зависит от размера тромба, степени поражения легких, наличия сопутствующих заболеваний и своевременности лечения. Осложнения: хроническая тромбоэмболическая легочная гипертензия (ХТЭЛГ), инфаркт легкого, рецидивы ТЭЛА. | Своевременное лечение и пожизненная профилактика рецидивов значительно улучшают прогноз и предотвращают серьезные осложнения. |
| Жизнь после ТЭЛА | Большинство людей после перенесенной ТЭЛА могут вернуться к нормальной жизни. Важно строго соблюдать рекомендации врача, принимать назначенные препараты (антикоагулянты), регулярно проходить обследования, вести здоровый образ жизни, избегать факторов риска. | Да, с ТЭЛА можно жить, но это требует постоянного медицинского наблюдения, соблюдения рекомендаций и изменения образа жизни. |
| Профилактика | Активный образ жизни, отказ от курения, контроль веса, адекватное лечение хронических заболеваний, использование компрессионного трикотажа при необходимости, профилактическая антикоагулянтная терапия в группах риска. | Профилактика является ключевым фактором для предотвращения первого эпизода ТЭЛА и ее рецидивов, что позволяет сохранить качество и продолжительность жизни. |
Симптомы
Врачи пришли к выводу, что данная патология обладает способностью эффективно маскироваться. Трудно выделить симптомы, которые однозначно указывали бы на тромбоэмболию легочной артерии (ТЭЛА). Все проявления могут пересекаться с признаками других заболеваний. При тяжелых формах заболевания специалисты не всегда ищут ярко выраженные симптомы, так как могут быть замечены лишь более легкие признаки.
Иногда организм реагирует лишь легкой одышкой, даже если серьезно пострадала крупная артерия. В то же время, резкая боль в груди может указывать на тромб в мелком сосуде.
К основным симптомам относятся:
- пониженное артериальное давление, но возможное учащение пульса, удары которого становятся менее ощутимыми;
- холодный, липкий пот;
- обморочные состояния;
- болевые ощущения в области легких, особенно при глубоком вдохе;
- прерывистое дыхание, одышка;
- сероватый или синюшный оттенок кожи;
- тяжелый, приступообразный кашель, который в случаях кровоизлияния может сопровождаться кровянистыми выделениями;
Заболевание может также сопровождаться воспалительными процессами и повышением температуры.
https://youtube.com/watch?v=nv8d8s9RTxU
Диагностика
Заболевание, известное врачам как «маскировщик», на начальных этапах трудно распознать. Симптомы могут проявляться лишь на более поздних стадиях. Регулярное наблюдение, наличие медицинской документации и, соответственно, прохождение обследований помогут не упустить даже незначительные проявления болезни.
ЭКГ
Первое, что может назначить врач при подозрении на тромбоэмболию легочной артерии, — это электрокардиография. Этот метод позволяет фиксировать даже самые слабые электрические импульсы, возникающие в процессе работы сердечной мышцы.
Во время обследования с помощью ЭКГ могут быть выявлены следующие признаки:
- аритмия (в редких случаях — мерцательная аритмия);
- работа правого предсердия, его перегрузка;
- гипоксия правого желудочка, нарушения в передаче электрических импульсов в этой области.
Как уже упоминалось, симптомы могут указывать на другие заболевания органов дыхания, такие как:
- астма;
- бронхит;
- воспаление легких;
- пневмония.
Важно!
Во время обследования специалисты могут не обнаружить никаких явных признаков, связанных с диагнозом. Врачи могут не обращать внимания на небольшие отклонения в области бронхо-легочной и сердечной систем. Однако, если человек ощущает себя плохо, стоит продолжить диагностику.
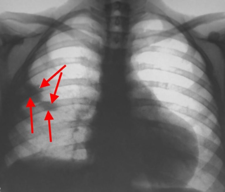
Рентген легких
Не реже одного раза в год необходимо проходить рентгенографию легких. Это современное медицинское исследование позволяет выявить начальные признаки заболеваний бронхо-легочной системы на ранних стадиях.
С помощью рентгеновского аппарата можно обнаружить:
- отклонение одного из куполов легких при поражении одной из сторон;
- деформацию правого предсердия и желудочка;
- увеличение сосудистой системы в области корней легких;
- расширение ветви легочного ствола (нисходящей артерии);
- сужение сосудистой сети на клеточном уровне;
- спадение доли легкого;
- тень, напоминающую треугольник с вершиной, направленной внутрь легочной системы;
- наличие жидкости в легочных тканях.
МРТ
Исследования, направленные на визуализацию сердечно-сосудистой системы, помогают выявить наличие тромбов.
КТ
Это достаточно неприятная процедура, при которой пациенту вводят контрастное вещество через венозную систему, после чего выполняется сканирование. Благодаря цветному контрасту специалисты могут выявить тромбы, их местоположение и изменения в артериях.
Ультразвуковое исследование
Ультразвуковое исследование (УЗИ) позволяет выявить ряд признаков, свидетельствующих о патологиях в системе кровообращения. Этот метод подходит как для диагностики заболеваний сердца, так и для анализа состояния сосудов всего организма.
При обследовании сердечной мышцы можно обнаружить:
- увеличение правого желудочка и снижение его сократительной способности;
- изменения в перегородке между желудочками, особенно в области левого желудочка;
- наличие тромбообразований в различных участках, включая саму сердечную мышцу;
- недостаточность клапанов, что приводит к обратному току крови.
Исследование сосудов проводится с целью своевременного выявления тромбов. Наиболее распространенным методом является доплерография, которая позволяет мониторить кровоток и служит индикатором наличия или отсутствия тромбообразований.
Вентиляционно-перфузионная сцинтиграфия
Данный метод отличается высокой информативностью. Результаты исследования позволяют выявить нарушения в кровообращении.
В предыдущем разделе основное внимание уделялось исследованиям на более поздних стадиях заболевания. Степень мобильности действий (обращение к врачу, диагностика) напрямую влияет на сохранение жизни. К сожалению, никто не может гарантировать ни точность, ни скорость выявления проблемы. Летальный исход в таких ситуациях не является редкостью. Чтобы избежать этого, рекомендуется начинать следить за состоянием сосудов с 35 лет. А тем, кто имеет генетическую предрасположенность к подобным заболеваниям, стоит делать это с раннего возраста.
Лечение
Воздействие на заболевание должно, прежде всего, быть медикаментозным. При диагностике тромбоэмболии легочной артерии (ТЭЛА) пациенту необходимо срочно предоставить место в отделении интенсивной терапии.
Существуют препараты, которые способны уменьшить свертываемость крови.
| Название препарата | Механизм действия |
| Натриевый гепарин (внутривенно) | Гепарин — это органическое соединение, присутствующее в крови, которое препятствует быстрому свертыванию. |
| «Варфарин» (в таблетках) | Уменьшает взаимодействие белков в печени, отвечающих за свертываемость. |
| «Фондапаринукс» (синтетический препарат) | Оказывает аналогичное действие, подавляя различные компоненты в крови. |
Тромболитики (внутривенные препараты)
| Название препарата | Механизм действия |
| Стрептокиназа | Способствует разрушению тромба, проникая внутрь него. Эффективен для новых сгустков. |
| Альтеплаза | Препараты на основе клеток человека, активирующие фермент плазмин, который разрушает тромбы как изнутри, так и снаружи. |
| Урокиназа | Препарат, получаемый из почечной ткани, активирует фермент, разрушающий структуру сгустков. |
Также может потребоваться хирургическое вмешательство для удаления тромба.
Показания для операций включают:
- массивная тромбоэмболия;
- отсутствие эффекта от консервативного лечения;
- рецидив заболевания;
- нарушение кровотока, повышенная вязкость крови, наличие тромбов;
- ограничение кровоснабжения легких;
- низкое артериальное давление;
- тромбоэмболия главной легочной артерии и ее ветвей.
Существуют различные виды операций:
- эмболэктомия — удаление фрагментов ткани, которые могут представлять опасность для организма. Это наиболее распространенная операция при данном диагнозе;
- тромбэндартерэктомия — удаление внутренней стенки сосуда, на которой удерживается сгусток, угрожающий отрывом.
Операции на грудной клетке относятся к сложным манипуляциям. Для этого тело охлаждают до 8,8 градусов, открывают грудину для доступа к пораженным участкам. При обнаружении сгустков сосуд вскрывают и удаляют их. Чтобы не остановить кровообращение, подключают искусственную систему. Также может быть выполнена операция на сердечной мышце.
Еще один метод хирургического вмешательства, который в основном служит профилактической мерой, — установка «кава-фильтра». Это специальная сетка, помещаемая в нижнюю полую вену, чтобы предотвратить попадание оторвавшихся тромбообразований в жизненно важные артерии.
Важно!
Лечение ТЭЛА с использованием народной медицины крайне опасно для жизни. При любых подозрениях необходимо незамедлительно обратиться в медицинское учреждение, иначе риск летального исхода значительно возрастает.
Народная медицина
Народные методы лечения не следует применять при серьезных заболеваниях сердечно-сосудистой системы. Их можно рассматривать лишь как вспомогательные средства для профилактики.
Если у вас есть генетическая предрасположенность к сердечно-сосудистым заболеваниям, на протяжении всей жизни можно использовать компрессы из трав, приготовленных на водной или спиртовой основе.
Для этой цели подойдут следующие растения:
- полынь;
- конский каштан;
- алоэ;
- коланхоэ;
- бодяга;
- хмель;
- кора кедра;
- золотой ус;
- цикорий;
- чеснок;
- клевер;
- донник.
Сырье можно запаривать на водяной бане или готовить спиртовые настойки в пропорции 100 граммов на литр. Компрессы следует прикладывать на 15-20 минут. Также можно протирать ноги слегка разбавленным яблочным уксусом.
Неотложная помощь
Терапия, назначаемая при диагностировании тромбоэмболии легочной артерии, должна быть весьма интенсивной. Однако в первую очередь необходимо знать, как правильно оказать первую медицинскую помощь.
Симптомы этого состояния могут быть нечеткими, что иногда приводит к ошибочному диагнозу. Тем не менее, первая помощь должна быть оказана быстро и профессионально.
Порядок действий:
- вызвать скорую помощь;
- помочь пострадавшему занять горизонтальное положение;
- расстегнуть воротник, открыть окна для улучшения вентиляции.
К сожалению, это все, что могут сделать окружающие. Никакие другие меры предпринимать не следует! Единственным исключением является проведение непрямого массажа сердца в случае его остановки.
Прогноз для жизни
Тромбоэмболия легочной артерии – это крайне опасное заболевание, которое может привести к летальному исходу в считанные мгновения. Если удается избежать такого трагического исхода, важно заботиться о своем здоровье и защищать организм от негативных факторов как внешнего, так и внутреннего характера.
Факторы, способствующие благоприятному прогнозу после ТЭЛА:
- строгое соблюдение всех рекомендаций врача;
- прием медикаментов, способствующих растворению тромбов и предотвращающих быструю свертываемость крови;
- использование нестероидных противовоспалительных средств для предотвращения повторного воспалительного процесса;
- ношение компрессионного белья;
- избегание высоких температур на улице, прямых солнечных лучей и посещения бань.
Следуя всем профилактическим мерам, можно значительно увеличить продолжительность жизни.
Важно!
Ранее для лечения варикозного расширения вен, вызванного образованием тромбов, использовались пиявки. Чтобы минимизировать риск сильного кровотечения, их накладывали на область, находящуюся немного выше самой вены.
Профилактика
Профилактические меры следует осуществлять на протяжении всей жизни, так как именно они играют ключевую роль в поддержании здоровья человека.
Важно внимательно следить за состоянием сосудов. Для этого необходимо придерживаться правильного питания:
- исключить жареные, жирные, соленые и копченые блюда;
- увеличить потребление клетчатки, свежих овощей, ягод и фруктов;
- пить достаточное количество чистой воды.
Также стоит уделить внимание своей нервной системе. Для ее укрепления рекомендуется принимать витамины и седативные средства растительного происхождения:
- ромашка;
- валериана;
- элеутерококк;
- пустырник.
Следует заменить возбуждающие напитки, такие как чай и кофе, на травяные чаи. Полезно чаще пить морсы или компоты из ягод. Не стоит переживать по мелочам и важно обеспечивать себе полноценный сон.
Активный образ жизни является отличным методом профилактики. Занятия легкими видами спорта и регулярные прогулки перед сном способствуют укреплению сосудов и улучшению циркуляции крови.
Не менее важным аспектом здоровья сосудов является работа в сидячем или стоячем положении. Такие позы создают значительную нагрузку на всю систему.
Категорически противопоказаны алкоголь и курение, так как они являются одними из основных факторов, негативно влияющих на сердечно-сосудистую систему. Исключение может составлять красное вино в умеренных количествах, не чаще 1-2 раз в месяц. В последнее время врачи отмечают, что коньяк может действовать как сосудорасширяющее средство, способствующее улучшению кровотока. Рекомендуется употреблять его не более 25-30 граммов два-три раза в неделю, строго перед сном.
Отзывы
Ужасное заболевание, с которым столкнулся наш свекор. Здесь не поможет никакая народная медицина. Эффективны только препараты, разжижающие кровь, но лишь на ранних стадиях.
Тамара, 35 лет
Обычно проблемы с сосудами передаются по наследству. Они также могут возникать у людей из группы риска: тех, кто страдает от хронических заболеваний, ведет малоподвижный образ жизни и так далее. Я отношусь к этой категории. Поэтому с юных лет стараюсь как можно чаще гулять, принимаю успокоительные средства, чтобы избежать стресса. Особое внимание уделяю венам на ногах: протираю их яблочным уксусом и делаю компрессы с полынью. Это действительно помогает. У меня не обнаружено тромбов, в отличие от женщин в моей семье.
Фаина, 49 лет
Тромбоэмболия легочной артерии (ТЭЛА) не возникает на пустом месте – это результат запущенности сосудов. Правильное питание, травяные настойки и использование народной медицины в виде компрессов и примочек помогут сохранить здоровье сосудов.
Лариса, 45 лет
Чтобы предотвратить появление тромбов, необходимо укреплять сосудистую систему. Важнейшими факторами являются отказ от вредных привычек и активный образ жизни. Также полезны витамины, которые укрепляют стенки артерий. К этому выводу я пришла, работая медсестрой в реанимации.

Заключение
Здоровье человека тесно связано с образом жизни, который он ведет. Следование рекомендациям по профилактическим мерам помогает поддерживать сердечно-сосудистую систему в хорошем состоянии. Это является эффективным способом предотвращения деформации стенок артерий и образования тромбов.
Факторы риска
Тромбоэмболия легочной артерии (ТЭЛА) является серьезным состоянием, которое возникает, когда тромбы, образовавшиеся в венах, попадают в легкие и блокируют легочную артерию или её ветви. Это может привести к серьезным последствиям, включая смерть. Понимание факторов риска, способствующих развитию ТЭЛА, имеет важное значение для профилактики и своевременной диагностики данного заболевания.
Существует несколько ключевых факторов риска, которые могут увеличить вероятность развития тромбоэмболии легочной артерии:
- Долгое пребывание в неподвижном состоянии: Длительная неподвижность, например, во время длительных поездок на самолете или автомобиле, может способствовать образованию тромбов в глубоких венах ног.
- Хирургические вмешательства: Операции, особенно на нижних конечностях, тазу или брюшной полости, увеличивают риск тромбообразования, особенно если они сопровождаются длительным постельным режимом.
- Травмы: Травмы, особенно переломы костей, могут привести к образованию тромбов из-за повреждения сосудов и увеличенной свертываемости крови.
- Онкологические заболевания: Некоторые виды рака и их лечение могут повышать риск тромбообразования. Опухоли могут выделять вещества, способствующие свертыванию крови.
- Возраст: С возрастом риск тромбообразования увеличивается, особенно у людей старше 60 лет.
- Избыточный вес и ожирение: Лишний вес создает дополнительную нагрузку на сосуды и может способствовать образованию тромбов.
- Гормональные препараты: Использование оральных контрацептивов или гормональной терапии может увеличить риск тромбообразования, особенно у женщин с другими факторами риска.
- Наследственные факторы: Некоторые генетические нарушения, такие как антифосфолипидный синдром или дефицит антитромбина III, могут предрасполагать к тромбообразованию.
- Курение: Курение табака связано с повышенной свертываемостью крови и повреждением сосудов, что увеличивает риск тромбообразования.
Понимание этих факторов риска позволяет людям принимать меры для снижения вероятности развития тромбоэмболии легочной артерии. Это может включать в себя активный образ жизни, контроль веса, отказ от курения и регулярные медицинские осмотры, особенно для людей с повышенным риском. Важно помнить, что профилактика и ранняя диагностика играют ключевую роль в снижении смертности и заболеваемости от ТЭЛА.
Жизнь с тромбоэмболией: советы и рекомендации
Тромбоэмболия легочной артерии (ТЭЛА) – это серьезное состояние, которое возникает, когда тромбы (сгустки крови) перемещаются из других частей тела, чаще всего из глубоких вен ног, и блокируют легочную артерию. Это может привести к серьезным осложнениям и даже к летальному исходу. Однако, несмотря на серьезность заболевания, многие пациенты могут вести полноценную жизнь, если следуют определенным рекомендациям и принимают необходимые меры предосторожности.
Первое, что необходимо сделать после диагноза – это обратиться к врачу для разработки индивидуального плана лечения. В большинстве случаев лечение включает антикоагулянтную терапию, которая помогает предотвратить образование новых тромбов и уменьшить риск повторной тромбоэмболии. Важно строго следовать предписаниям врача и регулярно проходить контрольные обследования для мониторинга состояния.
Физическая активность играет ключевую роль в жизни с ТЭЛА. Регулярные умеренные физические нагрузки, такие как прогулки, плавание или занятия йогой, могут помочь улучшить кровообращение и снизить риск образования тромбов. Однако перед началом любой физической активности необходимо проконсультироваться с врачом, чтобы избежать перегрузок и травм.
Кроме того, важно следить за своим образом жизни. Отказ от курения, поддержание здорового веса и сбалансированное питание могут значительно снизить риск тромбообразования. Употребление продуктов, богатых омега-3 жирными кислотами, витаминами и минералами, способствует улучшению состояния сосудов и общего здоровья.
Пациентам с ТЭЛА также следует избегать длительного пребывания в одном положении, особенно во время длительных поездок. Рекомендуется делать перерывы для разминки и растяжки, а также носить компрессионные чулки, которые помогают улучшить венозный отток и предотвращают образование тромбов.
Психологический аспект также не следует игнорировать. Жизнь с хроническим заболеванием может вызывать стресс и тревогу. Поддержка со стороны близких, участие в группах поддержки и консультации с психологом могут помочь справиться с эмоциональными трудностями и адаптироваться к новым условиям жизни.
Наконец, важно быть внимательным к своему организму и своевременно обращаться за медицинской помощью при появлении симптомов, таких как одышка, боль в груди или отеки ног. Раннее выявление и лечение могут значительно повысить шансы на успешное восстановление и улучшение качества жизни.
Исследования и новые методы лечения
В последние годы исследование тромбоэмболии легочной артерии (ТЭЛА) стало предметом активного интереса как среди ученых, так и среди медицинских работников. Это связано с высокой смертностью и значительным бременем, которое эта патология накладывает на систему здравоохранения. Современные исследования направлены на улучшение диагностики, профилактики и лечения данного заболевания.
Одним из ключевых направлений в исследовании ТЭЛА является разработка новых методов диагностики. Традиционные методы, такие как компьютерная томография (КТ) и легочная ангиография, остаются основными, однако новые технологии, такие как магнитно-резонансная томография (МРТ) и ультразвуковая диагностика, начинают занимать важное место в диагностическом процессе. Исследования показывают, что МРТ может быть особенно полезной для пациентов с противопоказаниями к КТ, например, при наличии аллергии на контрастные вещества.
В области лечения ТЭЛА также наблюдаются значительные достижения. Традиционные антикоагулянты, такие как варфарин, постепенно уступают место более современным препаратам, таким как прямые оральные антикоагулянты (ДОАК). Эти препараты обладают рядом преимуществ, включая более предсказуемый эффект, меньшую необходимость в мониторинге и меньшее количество взаимодействий с другими лекарственными средствами. Исследования показывают, что ДОАК могут быть столь же эффективными, как и традиционные антикоагулянты, но с меньшим риском тромбообразования.
Кроме того, активно исследуются новые подходы к лечению острых случаев ТЭЛА. Например, тромболитическая терапия, которая направлена на быстрое растворение тромба, становится все более распространенной. Новые тромболитики, такие как тенектеплаза, показывают многообещающие результаты в клинических испытаниях, демонстрируя более высокую эффективность и меньший риск осложнений.
Также стоит отметить, что в последние годы уделяется внимание профилактике ТЭЛА. Исследования показывают, что использование компрессионных чулок и профилактических антикоагулянтов у пациентов с высоким риском может значительно снизить вероятность развития тромбоэмболии. Важно, чтобы врачи учитывали индивидуальные риски и проводили соответствующую профилактику у пациентов, находящихся в группе риска.
Таким образом, исследования и новые методы лечения тромбоэмболии легочной артерии продолжают развиваться, открывая новые горизонты для улучшения качества жизни пациентов и снижения смертности от этого опасного заболевания. Важно, чтобы пациенты были информированы о современных подходах к диагностике и лечению, а также о возможностях профилактики, что позволит им принимать активное участие в своем здоровье.









