Легочное кровотечение — серьезное состояние, угрожающее жизни, требующее немедленного вмешательства. Оно редко возникает как самостоятельное заболевание и чаще всего является следствием патологий дыхательной или сердечно-сосудистой систем. В статье рассмотрим основные причины легочного кровотечения, его симптомы, методы диагностики и подходы к лечению. Знание этих аспектов поможет читателям распознать опасные признаки и обратиться за медицинской помощью, что повысит шансы на успешное восстановление.
Легочное кровотечение — что это
Легочное кровотечение не является отдельным заболеванием, а представляет собой осложнение, возникающее на фоне других недугов. Обычно его причиной становятся нарушения в функционировании сердца, легких или системы кроветворения.
Тем не менее, в некоторых ситуациях легочное кровотечение может выступать как самостоятельное заболевание. Это происходит, если пациент получил травму грудной клетки или подвергся воздействию токсичных химических веществ.
Наиболее часто с данной проблемой сталкиваются курильщики в возрасте около 50 лет, которые находятся в группе повышенного риска.
Врачи подчеркивают, что легочное кровотечение является серьезным состоянием, требующим немедленного медицинского вмешательства. Основные симптомы включают кашель с кровью, одышку и боль в груди. Причинами могут быть различные заболевания, такие как пневмония, туберкулез, рак легких или травмы. Важно отметить, что даже небольшое количество крови в мокроте может свидетельствовать о серьезной патологии. Лечение зависит от причины кровотечения и может включать медикаментозную терапию, хирургическое вмешательство или эндоскопические процедуры. Врачи настоятельно рекомендуют не игнорировать симптомы и обращаться за помощью при первых признаках проблемы, чтобы избежать осложнений и улучшить прогноз.
Классификация
Прежде всего, легочные кровотечения (ЛК) классифицируются по объему выделяемой крови на следующие категории:
- Легочное кровотечение.
- Кровохарканье. Этот тип ЛК может служить предвестником более серьезных заболеваний, поэтому требует тщательного обследования. На последней стадии кровохарканья наблюдается выделение мокроты с кровянистыми прожилками при кашле.
Кроме того, ЛК делится на три группы в зависимости от степени тяжести состояния:
- Небольшое. Характеризуется незначительным количеством мокроты (до 100 миллилитров) с кровянистыми вкраплениями при кашле.
- Умеренное. Объем выделяемой жидкости достигает 500 миллилитров в сутки.
- Тяжелое. В этом случае в день выделяется более 500 миллилитров мокроты.
Также легочные кровотечения можно разделить на три группы в зависимости от их формы:
- Внутреннее ЛК — характеризуется накоплением крови в плевральной полости.
- Наружное ЛК — проявляется выделением крови с внешней стороны органа.
- Смешанное ЛК — кровь выделяется как внутри, так и снаружи органа.

| Категория | Описание | Действия |
|---|---|---|
| Симптомы | Кровь в мокроте (от прожилок до обильного кровотечения), кашель, одышка, слабость, головокружение, бледность кожи, тахикардия, снижение артериального давления. | Немедленно вызвать скорую помощь. Уложить пациента в полусидячее положение. |
| Причины | Туберкулез, бронхоэктатическая болезнь, рак легкого, пневмония, абсцесс легкого, тромбоэмболия легочной артерии, травмы грудной клетки, коагулопатии, инородное тело в дыхательных путях. | Диагностика: рентген грудной клетки, КТ, бронхоскопия, анализ крови. |
| Лечение | Неотложная помощь: остановка кровотечения (медикаментозная, эндоскопическая, хирургическая). Дальнейшее лечение: устранение основной причины (антибиотики, противотуберкулезные препараты, химиотерапия, хирургическое удаление опухоли). | Госпитализация в стационар, интенсивная терапия, наблюдение за состоянием пациента. |
Причины легочного кровотечения
Причины легочного кровотечения (ЛК) могут быть разнообразными, включая травмы грудной клетки, повреждения внутренних органов и химическое воздействие на организм. Рассмотрим каждую из этих причин подробнее.
Важно знать!
В большинстве случаев, перед появлением симптомов наблюдаются повреждения бронхиальных сосудов и легких.
К инфекционным заболеваниям, способным вызвать выделение крови, относятся:
- Стафилококковая инфекция.
- Туберкулез.
- Менингококковая инфекция.
- Пневмококковая инфекция.
- Паразитарные инфекции.
Паренхиматозное кровотечение: симптомы и первая помощь. Органы брюшной и грудной полости наиболее подвержены ударам, ранениям и травмам. Внутреннее паренхиматозное…
К факторам, способствующим развитию ЛК как самостоятельного заболевания, можно отнести:
- Длительное использование антикоагулянтов.
- Аллергические реакции на медикаменты.
- Ионизирующее облучение.
- Травмы грудной клетки.
- Неполная остановка кровотечения из легкого после хирургического вмешательства.
- Застой крови в сосудах.
- Пересадка органов.
Кроме того, нарушения в работе внутренних органов также могут стать причиной ЛК. К факторам, способствующим развитию данной патологии, относятся:
- Повышенное артериальное давление.
- Тромб в легочной артерии.
- Пороки сердца.
- Образование рубцов в сердечной мышце.
- Ишемическая болезнь сердца.
Также к ЛК могут привести:
- Воспалительные заболевания легких.
- Доброкачественные опухоли в области бронхов.
- Злокачественные опухоли легких.
- Ревматизм.
- Васкулит.
- Диатез.
- Некроз легочной ткани.
- Гемосидероз.
- Синдром Гудпасчера.
https://youtube.com/watch?v=MKXPMk0ZPsk
Группы риска
Существуют определенные категории людей, которые имеют повышенный риск развития легочного кровоизлияния. Эти группы нуждаются в особом внимании к профилактике заболеваний и медицинской помощи при появлении первых признаков.
Наибольшему риску подвержены:
- Пациенты с пневмонией.
- Люди, страдающие от диабета.
- Беременные женщины.
- Лица, больные туберкулезом.
- Люди с низким уровнем жизни.
- Мигранты.
- Заключенные.
- Пожилые граждане.
- Пациенты, принимающие глюкокортикоиды.
Признаки легочного кровотечения
Симптомы легочного кровотечения проявляются внезапно. Главный признак данной патологии — это приступы кашля с выделением крови из мокроты.
Важно!
Часто симптомы развиваются очень быстро, что представляет серьезную угрозу для жизни пациента. Необходима срочная медицинская помощь.
Крайне важно уметь различать легочное кровотечение от носового или желудочного. Легочное кровотечение имеет свои характерные признаки:
- Из-за постоянного сглатывания кровянистых выделений происходит их накопление, что может привести к рвоте с кровью и изменению цвета кала на темный.
- Мокрота имеет слегка пенистую консистенцию, а кровь при легочном кровотечении темно-красного оттенка.
- Дыхание становится частым и затрудненным.
- Кожа пациента бледнеет.
- Наблюдается общая слабость.
- Учащается сердечный ритм.
- Голос больного становится хриплым.
- Возможна потеря сознания.
- Пациент ощущает боль в грудной клетке.
- У больного может наблюдаться лихорадка.
- Артериальное давление снижается.
Диагностика легочного кровотечения
В первую очередь, врачу следует провести осмотр пациента: выслушать его жалобы и выполнить аускультацию бронхов. На основании истории болезни, которая должна быть у пациента, специалист определяет степень тяжести и стадию заболевания, а также оценивает факторы, способствовавшие развитию патологии.
Процесс диагностики легочной эмболии включает в себя следующие этапы:
- Как уже упоминалось, вначале врач осуществляет первичный осмотр пациента.
- Далее назначаются клинические и биохимические анализы крови. Последний из них помогает выявить пораженный орган и степень распространенности заболевания.
- Ультразвуковое исследование сердечной мышцы.
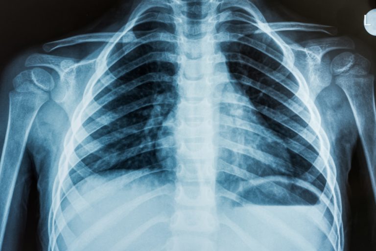
- Рентгенография легких.
- Магнитно-резонансная томография.
- Микробиологическое исследование мокроты.
- Серологические тесты.
- Бронхоскопия.
Легочная эмболия: причины, симптомы и методы лечения. Легочная эмболия возникает из-за образования механического препятствия для кровотока в виде тромба внутри…
Первая помощь больному
При появлении легочного кровотечения, которое является серьезным симптомом, первым шагом должно стать вызов скорой помощи. После этого необходимо оказать первую помощь пострадавшему, хотя возможности для остановки легочного кровотечения весьма ограничены.
Порядок оказания первой помощи будет следующим:
- Сначала уложите пациента в полусидячее положение, при этом его голени и стопы должны находиться ниже уровня сердца. Это поможет снизить венозное давление и улучшить отток крови.
- Далее предложите больному лед или холодную воду для питья, а также приложите холодный компресс к области груди.
- Не забудьте попытаться успокоить пациента.

Лечение легочного кровотечения
В условиях стационарного лечения пациенту будет предоставлена следующая помощь:
- Будет выполнен рентген, который поможет установить, какой орган стал причиной легочного кровотечения.
- Проведут бронхоскопию для определения источника кровотечения и его ликвидации.
- Будет назначена медикаментозная терапия.
- При необходимости будет проведена хирургическая операция.
Важно!
Основная цель терапии заключается в устранении первопричины легочного кровотечения.
В медицинском учреждении применяются следующие препараты для лечения:
- Гемостатики для остановки легочного кровотечения.
- Гипотензивные средства для снижения артериального давления.
- Обезболивающие препараты.
- Средства от кашля.
- Иммунодепрессанты.
- Десенсибилизирующие препараты для уменьшения аллергических реакций.
- Кардиотоники.
Тяжелые формы заболевания требуют хирургического вмешательства. Для устранения легочного кровотечения в хирургии применяются следующие методы:
- Рентген-эндоваскулярная окклюзия, направленная на сосудистую хирургию через кожу.
- Резекция части органа или его полного удаления.
- Коллапсотерапия.
- Торакопластика.
- Перевязка артерии.
- Пневмотомия.
Профилактика
Полностью исключить риск легочного кровотечения невозможно, однако можно предотвратить развитие заболеваний, способствующих этой патологии. Для этого следует придерживаться ряда профилактических рекомендаций.
Профилактика легочного кровотечения:
- Сбалансированное питание.
- Регулярная физическая активность.
- Частая уборка помещений от пыли.
- Минимизация эмоциональных стрессов.
- Соблюдение рекомендаций лечащего врача.
- Поддержание водного баланса.
- Отказ от курения и употребления алкоголя.
- Ежегодные медицинские обследования.
Легочное кровотечение — это серьезное состояние, угрожающее жизни. Без надлежащего лечения в стационаре оно может привести к летальному исходу. Даже при медицинском вмешательстве шансы на выживание могут значительно варьироваться. В зависимости от различных факторов, процент выживаемости может колебаться от 5 до 80. Если вы заметили у себя симптомы легочного кровотечения, незамедлительно обратитесь к врачу. Помните, что самолечение может не только усугубить ситуацию, но и стать причиной смерти.
Осложнения легочного кровотечения
Легочное кровотечение может привести к ряду серьезных осложнений, которые могут значительно ухудшить состояние пациента и потребовать неотложной медицинской помощи. Одним из наиболее распространенных осложнений является асфиксия, вызванная накоплением крови в дыхательных путях. Это состояние может привести к недостатку кислорода в организме и, в тяжелых случаях, к летальному исходу.
Еще одним важным осложнением является пневмония, которая может развиться в результате аспирации крови. Когда кровь попадает в легкие, она создает благоприятные условия для размножения бактерий, что может привести к воспалению легочной ткани. Пневмония может проявляться повышением температуры, кашлем с гнойной мокротой и затруднением дыхания.
Также стоит отметить риск геморрагического шока, который может возникнуть при массивном легочном кровотечении. В этом случае происходит значительная потеря крови, что приводит к снижению артериального давления и нарушению кровоснабжения органов. Симптомы геморрагического шока включают бледность, холодный пот, учащенное сердцебиение и спутанность сознания.
Кроме того, легочное кровотечение может привести к развитию хронических заболеваний легких, таких как хроническая обструктивная болезнь легких (ХОБЛ) или бронхиальная астма. Повторяющиеся эпизоды кровотечения могут способствовать образованию рубцовой ткани в легких, что в свою очередь ухудшает функцию дыхательной системы.
Не менее важным осложнением является психологический стресс, который может возникнуть у пациентов, переживших легочное кровотечение. Страх перед повторением эпизодов может привести к развитию тревожных расстройств и депрессии, что требует комплексного подхода к лечению и реабилитации.
В связи с вышеописанными осложнениями, легочное кровотечение требует внимательного наблюдения и своевременного вмешательства со стороны медицинских специалистов. Ранняя диагностика и адекватное лечение могут значительно снизить риск развития осложнений и улучшить прогноз для пациента.
Роль врачебной команды в лечении
Лечение легочного кровотечения требует слаженной работы многопрофильной врачебной команды, состоящей из различных специалистов, таких как пульмонологи, терапевты, хирурги, анестезиологи и радиологи. Каждый из этих специалистов вносит свой вклад в диагностику, лечение и реабилитацию пациента.
Первоначально, при поступлении пациента с легочным кровотечением, пульмонолог проводит оценку состояния пациента, включая сбор анамнеза и физикальное обследование. Важно определить объем и характер кровотечения, а также наличие сопутствующих заболеваний, таких как хроническая обструктивная болезнь легких (ХОБЛ), бронхиальная астма или онкологические заболевания.
После первичной оценки, может потребоваться проведение дополнительных исследований, таких как рентгенография грудной клетки или компьютерная томография (КТ), для выявления источника кровотечения. В этом процессе активно участвуют радиологи, которые помогают интерпретировать результаты изображений и могут предложить минимально инвазивные процедуры, такие как бронхоскопия, для визуализации дыхательных путей и остановки кровотечения.
В случае, если кровотечение обширное или не поддается консервативному лечению, может потребоваться вмешательство хирурга. Хирургическая команда оценивает необходимость операции, которая может включать резекцию легкого или другие процедуры, направленные на устранение источника кровотечения. Анестезиологи играют ключевую роль в обеспечении безопасного наркоза и мониторинга состояния пациента во время операции.
После завершения лечения, реабилитация пациента также требует участия различных специалистов. Физиотерапевты могут помочь в восстановлении дыхательной функции и общей физической активности, в то время как психотерапевты могут оказать поддержку в эмоциональной реабилитации, особенно если легочное кровотечение стало следствием серьезного заболевания.
Таким образом, эффективное лечение легочного кровотечения возможно только при условии слаженной работы врачебной команды, где каждый специалист выполняет свою уникальную роль, обеспечивая комплексный подход к диагностике и лечению пациента.
Психологические аспекты и поддержка пациентов
Легочное кровотечение, как серьезное медицинское состояние, может оказывать значительное влияние не только на физическое здоровье пациента, но и на его психологическое состояние. Столкновение с такой угрозой, как кровотечение из легких, может вызвать у человека широкий спектр эмоций, включая страх, тревогу, депрессию и даже чувство безнадежности. Понимание этих психологических аспектов является важной частью комплексного подхода к лечению и реабилитации пациентов.
Первоначально, когда пациент сталкивается с симптомами легочного кровотечения, такими как кашель с кровью, одышка или боль в груди, он может испытывать сильный стресс и панику. Эти эмоции могут усугубляться неопределенностью относительно диагноза и прогноза заболевания. Важно, чтобы медицинские работники предоставляли пациентам четкую и доступную информацию о состоянии их здоровья, что может помочь снизить уровень тревожности и повысить чувство контроля над ситуацией.
После установления диагноза и начала лечения пациенты могут столкнуться с длительными периодами восстановления, которые могут включать в себя физические ограничения и необходимость изменения образа жизни. Это может привести к чувству изоляции и потере привычных социальных взаимодействий. В таких случаях поддержка со стороны семьи и друзей, а также участие в группах поддержки могут сыграть ключевую роль в эмоциональном восстановлении пациента.
Психологическая поддержка может включать в себя различные методы, такие как психотерапия, когнитивно-поведенческая терапия и техники релаксации. Эти подходы помогают пациентам справляться с негативными эмоциями, развивать навыки управления стрессом и восстанавливать уверенность в себе. Важно, чтобы медицинские работники обращали внимание на психологическое состояние пациентов и при необходимости направляли их к специалистам в области психического здоровья.
Кроме того, важно учитывать, что легочное кровотечение может быть связано с хроническими заболеваниями, такими как хроническая обструктивная болезнь легких (ХОБЛ) или рак легких, которые сами по себе могут вызывать значительные психологические нагрузки. В таких случаях комплексный подход к лечению, включающий как физическую, так и психологическую реабилитацию, становится особенно актуальным.
В заключение, психологические аспекты легочного кровотечения не следует недооценивать. Эффективная поддержка пациентов, включая информирование, эмоциональную поддержку и доступ к психотерапевтическим услугам, может значительно улучшить качество жизни и способствовать успешному восстановлению. Забота о психическом здоровье должна стать неотъемлемой частью лечения легочного кровотечения, что позволит пациентам не только справиться с физическими симптомами, но и восстановить эмоциональное благополучие.






