Коронарные артерии обеспечивают сердце кислородом и питательными веществами, что критично для работы сердечно-сосудистой системы. В статье рассмотрим анатомию коронарных артерий, их строение и функционирование, а также распространенные заболевания, связанные с этими сосудами. Понимание этих аспектов поможет читателям осознать важность коронарных артерий для здоровья сердца и выявить риски, требующие своевременной диагностики, что может повлиять на качество жизни.
Что такое коронарная сердечная болезнь
Заболевание коронарных артерий сердца и их ответвлений возникает из-за снижения кровоснабжения, что часто связано с образованием атером. Клинические проявления могут включать бессимптомную ишемию, стенокардию, острый коронарный синдром (включая нестабильную стенокардию и инфаркт миокарда), а также внезапную сердечную смерть. Для постановки диагноза учитываются симптомы, результаты электрокардиограммы, данные нагрузочного теста и, в некоторых случаях, коронарная ангиография. Профилактические меры направлены на управление факторами риска, такими как:
- повышенный уровень холестерина;
- недостаток физической активности;
- курение.
Лечение включает в себя медикаментозную терапию и различные вмешательства, которые помогают снизить ишемию и улучшить кровоток в коронарных артериях.
Врачи подчеркивают важность понимания анатомии коронарных артерий для диагностики и лечения сердечно-сосудистых заболеваний. Эти артерии, расположенные на поверхности сердца, обеспечивают его кровоснабжение, что критически важно для нормальной работы миокарда. Заболевания коронарных артерий, такие как атеросклероз, могут привести к серьезным последствиям, включая инфаркт миокарда. Специалисты отмечают, что ранняя диагностика и профилактика, включая контроль факторов риска, таких как высокое давление и уровень холестерина, играют ключевую роль в предотвращении сердечно-сосудистых заболеваний. Современные методы визуализации, такие как коронарная ангиография, позволяют врачам более точно оценить состояние сосудов и выбрать оптимальную стратегию лечения. Важно, чтобы пациенты были осведомлены о симптомах и обращались за медицинской помощью при первых признаках проблем с сердцем.
Анатомия коронарных артерий и разновидности кровообращения
Коронарные артерии представлены в количестве двух, их начало расположено чуть выше устья в начале аорты — главного артериального сосуда человеческого организма, который выходит из левого желудочка сердца. Существуют правая и левая венечные артерии, которые функционируют по определенной схеме. Они отходят от синуса аорты. Правая венечная артерия начинается в правом синусе и отвечает за кровоснабжение правого желудочка, а также нижней задней стенки левого желудочка. Левая венечная артерия, в свою очередь, начинается в левом синусе и делится на несколько более мелких артерий (от двух до четырех).
Среди них наиболее значимыми являются огибающая и передняя нисходящая артерия, обладающие особым строением. Огибающая артерия располагается на задней поверхности сердца. В ее проксимальной части отходит ветвь тупого края (ВТК), также известная как артерия тупого края, и множество мелких сосудов.
Обратите внимание!
Коронарные артерии делятся на крупные и средние, которые располагаются вдоль поверхности сердца (эпикардиальные) и отправляют меньшие артериолы в миокард.
Левая коронарная артерия начинается как ствол и вскоре делится на:
- левую переднюю нисходящую артерию (LAD);
- окружную артерию (ACx).
LAD обычно следует за передней межжелудочковой артерией и у некоторых людей продолжается до верхушки сердца. Эта артерия обеспечивает кровоснабжение передней перегородки (включая проксимальную часть проводящей системы) и свободной передней стенки левого желудочка. Окружная артерия, как правило, меньше LAD, и снабжает свободную боковую стенку левого желудочка. У большинства людей наблюдается «правый тип» кровообращения, при котором правая коронарная артерия (ПКА) пересекает атриовентрикулярную борозду и правую сторону сердца, обеспечивая кровоснабжение синусового узла (у 55% людей), правого желудочка, а также обычно АВ-узла и нижней стенки миокарда.
Примерно у 10-15% людей наблюдается «левый вариант»: окружная артерия более развита и продолжается вдоль задней AV борозды, обеспечивая кровоснабжение задней стенки и АВ узла. Также существует сбалансированный тип кровоснабжения, который характеризуется равномерным распределением крови по сердцу.
![Умный Медик [УМ] - Артерии сердца | Строение сердца](https://i.ytimg.com/vi/CD5an2e2eYc/maxresdefault.jpg)
| Аспект | Описание | Заболевания/Состояния |
|---|---|---|
| Анатомия коронарных артерий | Сосуды, кровоснабжающие сердечную мышцу (миокард). Делятся на левую и правую коронарные артерии, которые отходят от аорты. | Атеросклероз, стеноз, окклюзия |
| Основные ветви левой коронарной артерии | Левая главная коронарная артерия (ЛГКА): короткий ствол, который делится на: — Передняя нисходящая артерия (ПНА): кровоснабжает переднюю стенку левого желудочка, межжелудочковую перегородку. — Огибающая артерия (ОА): кровоснабжает боковую и заднюю стенки левого желудочка, левое предсердие. |
Ишемическая болезнь сердца (ИБС), инфаркт миокарда (передний, боковой), стенокардия |
| Основные ветви правой коронарной артерии | Правая коронарная артерия (ПКА): кровоснабжает правый желудочек, нижнюю стенку левого желудочка, правое предсердие, синусовый и атриовентрикулярный узлы (в большинстве случаев). | ИБС, инфаркт миокарда (нижний, правого желудочка), аритмии (брадикардия, блокады) |
| Функция коронарных артерий | Доставка кислорода и питательных веществ к миокарду, удаление продуктов обмена. | Нарушение функции приводит к ишемии миокарда |
| Заболевания коронарных артерий | Атеросклероз: образование бляшек в стенках артерий, сужающих их просвет. Стеноз: сужение просвета артерии. Окклюзия: полная закупорка артерии. Спазм коронарных артерий: временное сужение артерий. |
Ишемическая болезнь сердца (ИБС), стенокардия, инфаркт миокарда, внезапная сердечная смерть |
| Диагностика заболеваний | ЭКГ, эхокардиография, коронарография, КТ-ангиография, стресс-тесты. | Выявление степени стеноза, локализации поражения, оценка функции сердца |
| Лечение заболеваний | Медикаментозная терапия (антиагреганты, статины, нитраты), ангиопластика со стентированием, аортокоронарное шунтирование (АКШ). | Восстановление кровотока, предотвращение осложнений, улучшение качества жизни |
Причины нарушения коронарного кровообращения
Атеросклероз представляет собой хроническое заболевание сосудов сердца, которое может начинаться уже в детском возрасте. Хотя точные причины его возникновения до конца не выяснены, процесс часто начинается с повреждения внутренней оболочки артерии. Это наиболее распространенная форма нарушений коронарного кровообращения.
На развитие атеросклероза влияют следующие факторы:
- повышенное артериальное давление;
- высокий уровень холестерина, связанный с избыточным потреблением насыщенных жиров;
- повышенные триглицериды;
- курение (употребление одной или более пачек сигарет в день на протяжении нескольких лет увеличивает риск смертности от ишемической болезни сердца на 200%);
- сахарный диабет;
- воспалительные заболевания, такие как артрит или волчанка;
- генетическая предрасположенность.
После повреждения внутренней стенки артерии накапливаются жировые отложения, состоящие из холестерина и других клеточных компонентов, что приводит к затвердению и сужению сосуда.
Важно!
Органы и ткани, которые зависят от заблокированной артерии, не получают достаточного количества кислорода из крови, что нарушает их нормальное функционирование.
В результате образуется тромб (бляшка), который может частично или полностью перекрыть кровоток в артериях, что приводит к недостаточному кровоснабжению определенных участков тела. Это может вызвать сердечный приступ, если кровоток к сердцу полностью блокируется. Тромб также может перемещаться в другие части организма, нарушая кровоснабжение таких органов, как мозг, почки или кишечник.
Диагностика сосудов сердца
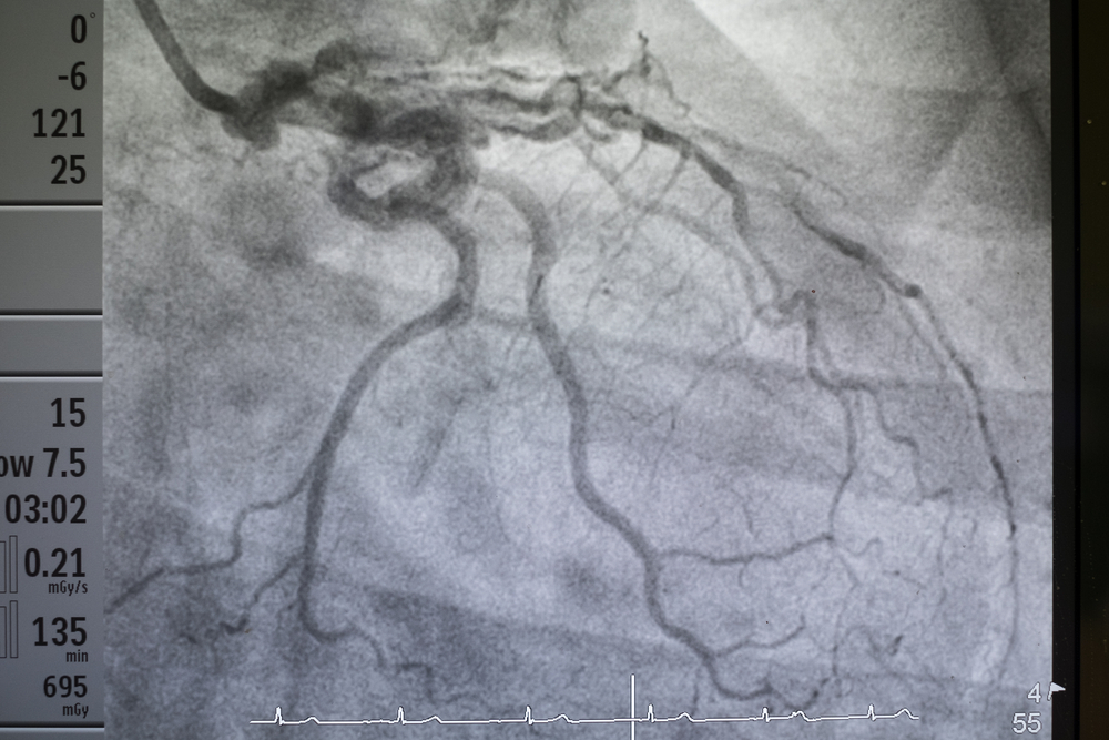
Коронарная ангиография является наиболее распространенным инвазивным методом диагностики в области кардиологии, позволяющим получить детальную информацию о состоянии коронарных сосудов, а также выявить и оценить степень стеноза (сужения) этих сосудов. Процедура осуществляется путем введения катетера в артериальную систему пациента, который аккуратно направляется к сердцу.
Существует два основных способа проведения коронарной ангиографии:
- через руку (через лучевую артерию в области запястья);
- через ногу (через бедренную артерию в области паха).
Для обеспечения комфортности процедуры вначале применяется местный анестетик в области введения катетера. Используются специальные техники для установки катетера, который медленно продвигается к сердцу.
Процедура проводится при нормальной работе сердца, когда пациент находится в сознании и лежит на столе. Как только кардиолог достигает коронарных артерий, он вводит контрастное вещество в сосуды, а рентгеновский детектор отображает изображение коронарных артерий на экране в реальном времени. Дозы облучения во время коронарной ангиографии сопоставимы с излучением, получаемым при компьютерной томографии грудной клетки, что эквивалентно примерно 150 стандартным рентгеновским снимкам легких.
Время проведения процедуры составляет около 20 минут, если не возникают осложнения. Одной из ключевых особенностей этого метода является возможность проведения лечебных вмешательств во время коронарной ангиографии, что позволяет не только установить диагноз ишемической болезни сердца, но и сразу же приступить к лечению.
Процедура может быть:
- плановой коронарной ангиографией – для пациентов, страдающих стенокардией, которые хотят уточнить состояние коронарных сосудов и разработать план лечения;
- экстренной коронарной ангиографией – для пациентов с сердечным приступом, когда требуется срочная доставка в медицинский центр для проведения вмешательства, например, установка стента.
После процедуры необходимо сохранять компрессионную повязку в течение 24 часов.

Стенокардия
Стенокардия – это заболевание, которое проявляется болями в области груди, возникающими из-за временного дефицита кислорода в сердечной мышце. При этом состоянии происходит сужение коронарных артерий, что приводит к недостаточному снабжению сердца кислородом во время физической активности или эмоционального стресса. Симптомы обычно исчезают в состоянии покоя или после приема лекарств, таких как нитроглицерин, который способствует расширению сосудов.
При стабильной стенокардии не происходит некроза миокарда (гибели сердечной ткани), так как ишемия (уменьшение поступления кислорода) носит кратковременный характер.
Пациенты могут испытывать боль, которую они описывают следующим образом:
- дискомфорт в груди;
- ощущение жжения в области сердца;
- давление в грудной клетке;
Боль может иррадиировать в левую руку, реже – в правую, а также в шею, нижнюю челюсть или живот. У пациентов наблюдается бледность, потливость, а также может возникать одышка.
Первый эпизод боли может вызвать страх у любого человека, однако после консультации с врачом и установления диагноза пациенты становятся более спокойными и принимают нитроглицерин. В результате боль проходит, и они могут вернуться к привычной жизни.
Инфаркт миокарда
Инфаркт миокарда, или сердечный приступ, происходит, когда тромб блокирует коронарную артерию, что приводит к полной остановке кровоснабжения сердечной мышцы. В результате этого, клетки миокарда не получают необходимый кислород и начинают погибать, что приводит к некрозу.
Важно знать!
Инфаркт миокарда чаще всего встречается у пожилых людей, и более половины всех случаев наблюдается у пациентов старше 65 лет. Мужчины заболевают в 4-5 раз чаще женщин до 60 лет, однако с возрастом эта разница уменьшается.
Сердечный приступ чаще всего затрагивает людей с определенными факторами риска:
- наследственная предрасположенность к сердечно-сосудистым заболеваниям и атеросклерозу;
- диабет;
- избыточный вес;
- курение;
- недостаток физической активности и малоподвижный образ жизни;
- сильный стресс;
- гипертония, повышенное артериальное давление.
В более чем 95% случаев причиной инфаркта миокарда является атеросклероз коронарных артерий.
Основным признаком сердечного приступа у большинства людей является боль в центральной части груди. Ее часто описывают как ощущение сжатия или жжения. Боль может иррадиировать в руку, шею, нижнюю челюсть, спину или живот.
Кроме болей в груди могут наблюдаться и другие симптомы:
- тошнота;
- рвота;
- общая слабость;
- чувство тревоги;
- холодный пот;
- учащенное сердцебиение (тахикардия);
- перебои в сердцебиении;
- одышка, нехватка воздуха;
- головокружение.
В отличие от стенокардии, боль при инфаркте не уменьшается в состоянии покоя и не проходит после приема нитроглицерина.
Нарушение сердечного ритма
Коронарные заболевания часто сопровождаются развитием мерцательной аритмии сердца. У пациентов с острым коронарным синдромом (ОКС) появление мерцательной аритмии связывают с рядом факторов, таких как ишемия или инфаркт предсердий, а также растяжение предсердия, вызванное объемной перегрузкой:
- атеросклероз;
- увеличение уровня катехоламинов;
- нарушения метаболизма;
- деградация сердечных клапанов.
Сердечная недостаточность
Застойная сердечная недостаточность представляет собой нарушение работы сердца, при котором орган теряет способность эффективно перекачивать кровь, что приводит к недостаточному обеспечению организма кислородом.
Сердечная недостаточность не является отдельным заболеванием, а представляет собой клинический синдром. Важно отметить, что любое заболевание сердечно-сосудистой системы может в конечном итоге привести к сердечной недостаточности как к проявлению.
Наиболее частые причины сердечной недостаточности:
- хроническая артериальная гипертензия (высокое кровяное давление);
- ишемическая болезнь сердца, включая инфаркт;
- заболевания сердечных клапанов;
- врожденные аномалии сердца;
- кардиомиопатия;
- токсическое воздействие на сердце алкоголя и некоторых наркотиков.
У человека, который долгое время страдает от одного из этих заболеваний, в конечном итоге может развиться сердечная недостаточность.
Симптомы сердечной недостаточности:
- Одышка. Она возникает из-за повышения давления в малом круге кровообращения, вызванного застойными явлениями. Сначала одышка проявляется при физической нагрузке, но со временем может возникать даже в состоянии покоя.
- Ортопноэ. Это одышка, возникающая в положении лежа. Она усугубляется из-за накопления крови в грудной клетке, что усиливает застой. Люди с сердечной недостаточностью часто вынуждены спать в приподнятом положении, чтобы облегчить дыхание.
- Пароксизмальная ночная одышка (сердечная астма). Это проявляется в виде сильных приступов одышки во время сна, что приводит к пробуждению. Пациенты могут просыпаться от удушья, кашля и хрипов, часто испытывая чувство страха. Принять удобное положение во время сна, как при ортопноэ, не всегда помогает.
- Ощущение сердцебиения, особенно когда человек лежит на спине.
- Аритмия и ощущение перебоев в работе сердца.
- Усталость и слабость, возникающие из-за нехватки кислорода и питательных веществ в организме.
- Никтурия – учащенное мочеиспускание в ночное время.
- Олигурия – уменьшение объема мочи, наблюдаемое на поздних стадиях сердечной декомпенсации из-за снижения минутного объема.
- Церебральные симптомы: раздражительность, забывчивость, бессонница, головные боли и нарушение ориентации, возникающие из-за недостаточной перфузии головного мозга.
- Сердечная кахексия – при хронической сердечной недостаточности наблюдается потеря аппетита.
- Бледность кожи и ощущение холода в конечностях.
- Цианоз конечностей (акроцианоз) – синеватый оттенок кожи и слизистых оболочек, вызванный избытком дезоксигенированного гемоглобина в крови.
- Повышенное потоотделение и варикозное расширение вен на ногах.
- Варикозное расширение вен, возникающее из-за застоя венозной крови.
- Увеличение печени, или гепатомегалия.
- Отечность ног и опухшие лодыжки.

Коронарная недостаточность
Ишемическая болезнь сердца может проявляться в различных клинических формах. Наиболее очевидным симптомом является боль в области груди. Эти кратковременные болевые ощущения в сердце обычно исчезают после устранения провоцирующих факторов, таких как:
- физическая активность;
- эмоциональное возбуждение;
- воздействие низких температур;
- прием определенных медикаментов.
Эти симптомы указывают на временное снижение кровоснабжения или ишемию определенной области сердечной мышцы. Если боль в груди становится сильной и постоянной, это всегда вызывает подозрение на возможный сердечный приступ. Однако стоит отметить, что боль в груди не всегда является обязательным признаком ишемической болезни сердца. Ишемия может протекать безболезненно, и ее наличие может быть выявлено только во время эпизода или в виде постоянных изменений, таких как рубцы (последствия сердечного приступа), которые фиксируются на ЭКГ.
Важно!
Коронарная болезнь в развитых странах является одной из главных причин смертности, и ее можно значительно уменьшить благодаря своевременной диагностике и лечению.
Поэтому крайне важно уметь распознавать признаки, которые могут указывать на наличие этого заболевания.
Снижение риска развития осложнений
Некоторые факторы, способствующие развитию сердечно-сосудистых заболеваний, находятся вне нашего контроля, например, наследственность. Тем не менее, важно минимизировать вероятность возникновения этих заболеваний, устраняя те риски, которые можно изменить. Для этого рекомендуется:
- Поддерживать оптимальные показатели артериального давления и уровня холестерина.
- Находить эффективные методы для управления стрессом.
- Сохранять здоровый вес.
- Вести активный образ жизни, включая сбалансированное питание и регулярные физические нагрузки.
- Ограничивать потребление продуктов, содержащих много насыщенных жиров и соли. Специалисты советуют заниматься физической активностью не менее 2,5 часов в неделю.
Также следует отказаться от курения. Никотин, содержащийся в сигаретах, приводит к сужению кровеносных сосудов, что ухудшает доставку кислорода к органам и тканям. Это может способствовать развитию атеросклероза.
Методы лечения и профилактики заболевания
Помимо коронарографии, ключевым аспектом лечения является контроль уровня холестерина в крови, что требует изменения в рационе: следует сократить потребление животных жиров, отдавая предпочтение птице и рыбе вместо красного мяса. Рекомендуется ограничить количество яиц до трех в неделю, увеличить потребление фруктов и овощей, а также отказаться от курения. Не менее 30 минут физической активности в день – это залог здорового образа жизни.
Реваскуляризация, позволяющая восстановить кровоснабжение через забитые сосуды, может быть выполнена следующими способами:
- Баллонная ангиопластика.
- Установка стента – металлических конструкций, которые размещаются в суженных участках сосудов, предотвращая их дальнейшее сужение.
Иногда возникает проблема образования тромбов на стенте, однако в настоящее время это успешно предотвращается с помощью антитромботической терапии (например, клопидогрелом и аспирином).
Если во время коронарной ангиографии устанавливается несколько стентов, процедура может занять более двух часов, и в этом случае уровень облучения будет значительно выше. Коронарография является одним из наиболее значимых методов лечения сердечного приступа, и благодаря прогрессу в этой области количество летальных исходов от сердечных заболеваний значительно снизилось. Коронарные вмешательства уменьшили смертность от инсульта с 30% до 4%.
Своевременное обращение к этой процедуре после сердечного приступа помогает предотвратить необратимые повреждения сердечной мышцы. Важно подчеркнуть, что это минимально инвазивная процедура, не требующая хирургических разрезов и общей анестезии.
Коронарные артерии играют критическую роль в сердечно-сосудистой системе. Их заболевания могут привести к серьезным последствиям. Поэтому при ухудшении самочувствия важно обратиться к врачу и пройти необходимую диагностику.

Роль коронарных артерий в общем кровообращении
Коронарные артерии играют ключевую роль в обеспечении сердца кислородом и питательными веществами, что является необходимым условием для его нормального функционирования. Эти артерии, расположенные на поверхности сердца, образуют сложную сеть, которая обеспечивает кровоснабжение всех его участков. Основные коронарные артерии — правая и левая коронарные артерии — отходят от аорты и делятся на более мелкие ветви, которые проникают в миокард.
Правая коронарная артерия (ПК) отвечает за кровоснабжение правого предсердия, правого желудочка, а также части межжелудочковой перегородки и задней стенки левого желудочка. Левая коронарная артерия (ЛК) делится на две основные ветви: переднюю межжелудочковую артерию (ПМЖА) и ободочную артерию (ОА). ПМЖА снабжает кровью переднюю стенку левого желудочка и часть межжелудочковой перегородки, в то время как ОА обеспечивает кровоснабжение боковой и задней стенок левого желудочка.
Эффективное функционирование коронарных артерий критически важно для поддержания нормального сердечного ритма и сокращений. При недостаточном кровоснабжении миокарда, что может происходить из-за сужения или блокировки коронарных артерий, возникает ишемия — состояние, при котором ткани сердца не получают достаточного количества кислорода. Это может привести к различным заболеваниям, таким как стенокардия, инфаркт миокарда и другие сердечно-сосудистые заболевания.
Коронарные артерии также играют важную роль в регуляции сердечного выброса и артериального давления. Они способны адаптироваться к изменяющимся потребностям сердца в кислороде, расширяясь или сужаясь в ответ на физическую нагрузку, стресс или другие факторы. Этот механизм называется коронарной вазодилатацией и является важным аспектом общего кровообращения.
Заболевания коронарных артерий, такие как атеросклероз, могут значительно ухудшить их функцию, что приводит к снижению кровоснабжения сердца и увеличивает риск сердечно-сосудистых заболеваний. Профилактика и лечение заболеваний коронарных артерий включают в себя изменение образа жизни, медикаментозную терапию и, в некоторых случаях, хирургические вмешательства, такие как коронарное шунтирование или ангиопластика.
Современные методы визуализации коронарных артерий
Одним из наиболее распространенных методов является коронарная ангиография. Этот инвазивный метод включает введение контрастного вещества в коронарные артерии через катетер, что позволяет визуализировать сосуды на рентгеновских снимках. Коронарная ангиография считается «золотым стандартом» для диагностики коронарной болезни сердца, так как она предоставляет точные данные о состоянии коронарного русла и позволяет одновременно выполнять лечебные процедуры, такие как стентирование.
Неинвазивные методы визуализации также играют важную роль в диагностике заболеваний коронарных артерий. Одним из таких методов является компьютерная томография (КТ) коронарных артерий. Этот метод позволяет получить трехмерные изображения коронарных сосудов с использованием рентгеновских лучей и контрастного вещества. КТ-ангиография обладает высокой чувствительностью и специфичностью для выявления коронарных стенозов и может быть использована для скрининга пациентов с низким и средним риском сердечно-сосудистых заболеваний.
Еще одним неинвазивным методом является магнитно-резонансная томография (МРТ) сердца. МРТ позволяет получить детальные изображения сердца и коронарных артерий без использования ионизирующего излучения. Этот метод особенно полезен для оценки функционального состояния миокарда и выявления ишемии, а также для исследования анатомии сердца и сосудов.
Ультразвуковая диагностика, в частности, стресс-эхокардиография, также используется для оценки состояния коронарных артерий. Этот метод позволяет визуализировать сердце в режиме реального времени и оценить его функцию под нагрузкой. Стресс-эхокардиография может помочь выявить ишемию миокарда, которая может быть связана с заболеваниями коронарных артерий.
Современные технологии, такие как оптическая когерентная томография (ОКТ) и интраваскулярное ультразвуковое исследование (IVUS), предоставляют дополнительные возможности для детального изучения коронарных артерий. ОКТ позволяет получать высокоразрешающие изображения стенок сосудов, что помогает в оценке атеросклеротических изменений, а IVUS предоставляет информацию о внутренней структуре коронарных артерий и может использоваться для оценки степени стеноза.
Таким образом, современные методы визуализации коронарных артерий обеспечивают широкий спектр возможностей для диагностики и лечения сердечно-сосудистых заболеваний. Выбор метода зависит от клинической ситуации, состояния пациента и доступных ресурсов, однако каждый из них вносит свой вклад в улучшение диагностики и повышения качества лечения пациентов с заболеваниями коронарных артерий.
Перспективы исследований и новые подходы в лечении коронарных заболеваний
Коронарные заболевания остаются одной из ведущих причин смертности и заболеваемости во всем мире. В последние годы наблюдается значительный прогресс в понимании патофизиологии этих заболеваний, что открывает новые горизонты для разработки эффективных методов диагностики и лечения.
Одним из наиболее перспективных направлений в исследованиях является генетика коронарных заболеваний. Ученые активно изучают генетические маркеры, которые могут предрасполагать к развитию атеросклероза и других сердечно-сосудистых заболеваний. Это может привести к созданию персонализированных подходов к лечению, основанных на индивидуальных генетических профилях пациентов.
Кроме того, в последние годы наблюдается рост интереса к использованию стволовых клеток для восстановления поврежденной сердечной ткани. Исследования показывают, что стволовые клетки могут способствовать регенерации миокарда и улучшению функции сердца у пациентов с ишемической болезнью. Однако, несмотря на многообещающие результаты, необходимо провести дополнительные клинические испытания для оценки безопасности и эффективности таких методов.
Также стоит отметить развитие технологий, связанных с минимально инвазивными процедурами. Например, такие методы, как ангиопластика и установка стентов, становятся все более распространенными благодаря своей эффективности и меньшему риску осложнений по сравнению с традиционными хирургическими вмешательствами. Исследования в этой области продолжаются, и новые устройства и технологии постоянно разрабатываются для улучшения результатов лечения.
Важным аспектом является также профилактика коронарных заболеваний. В последние годы акцент смещается на изменение образа жизни, включая диету, физическую активность и отказ от курения. Исследования показывают, что комплексный подход к профилактике может значительно снизить риск развития коронарных заболеваний и улучшить качество жизни пациентов.
Наконец, использование новых фармакологических препаратов, таких как ингибиторы PCSK9 и новые антикоагулянты, открывает новые возможности для лечения коронарных заболеваний. Эти препараты могут значительно снизить уровень холестерина и предотвратить тромбообразование, что в свою очередь снижает риск сердечно-сосудистых событий.
Таким образом, перспективы исследований и новые подходы в лечении коронарных заболеваний обещают значительные улучшения в области кардиологии. Однако для достижения максимальной эффективности необходимо продолжать исследования, направленные на понимание механизмов заболеваний и разработку инновационных методов лечения.







