Кровь человека — уникальная жидкость, играющая ключевую роль в жизнедеятельности организма. Под микроскопом она раскрывает свои тайны, позволяя увидеть эритроциты, лейкоциты и тромбоциты, которые выполняют важные функции в обмене веществ, иммунной защите и свертывании. В статье мы рассмотрим, как выглядит кровь под микроскопом, предоставим фотографии и подписи к ним, а также обсудим, что невозможно увидеть в крови с помощью этого инструмента. Эта информация будет полезна студентам и специалистам в области медицины, а также всем интересующимся биологией человека.
Что такое микроскоп
Это оптический инструмент, который позволяет получать увеличенные изображения объектов в несколько раз. С его помощью можно исследовать как видимые, так и невидимые объекты. Наиболее часто это микроорганизмы, клетки живых тканей, структурные элементы веществ и многое другое. Микроскопы делятся на простые и сложные. Простое устройство состоит из одной плосковыпуклой линзы (например, обычная лупа), в то время как сложное включает комбинацию двух простых линз.
Интересный факт!
Современные микроскопы способны обеспечивать увеличение до 2000 раз, при этом качество изображения остается на высоком уровне.
Для анализа крови применяют сложные микроскопы, так как они обеспечивают значительное увеличение и обладают высокой разрешающей способностью. Принцип их работы основан на двухступенчатой схеме:
- Первый объектив (линза) размещается близко к исследуемому объекту, увеличивая изображение с необходимым разрешением.
- Второй объектив (окуляр) располагается рядом с глазом наблюдателя.
Обе системы линз находятся на противоположных концах тубуса прибора. Штатив является основной частью тубуса.
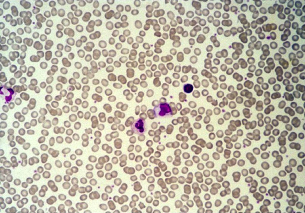
Врачи отмечают, что под микроскопом кровь человека представляет собой сложную и удивительную структуру. Основными компонентами являются эритроциты, лейкоциты и тромбоциты. Эритроциты, имеющие характерную двояковогнутую форму, отвечают за транспортировку кислорода, а их количество и состояние могут многое рассказать о здоровье пациента. Лейкоциты, в свою очередь, играют ключевую роль в иммунной системе, и их разнообразие позволяет выявлять различные заболевания. Тромбоциты, мелкие клеточные элементы, участвуют в процессе свертывания крови. Врачи подчеркивают, что анализ крови под микроскопом не только помогает диагностировать болезни, но и дает возможность оценить общее состояние организма, выявляя скрытые патологии и отклонения.
Как выглядит кровь под микроскопом
Существует несколько типов клеток крови, каждая из которых выполняет свои уникальные функции. Некоторые из них действуют исключительно в пределах кровеносной системы, в то время как другие способны выходить за ее границы. Объединяет их то, что все они формируются в костном мозге из стволовых клеток. Процесс их образования является непрерывным, а продолжительность жизни клеток ограничена. Лейкоциты, тромбоциты и эритроциты – это три основных элемента, присутствующих в крови. Их количество варьируется в зависимости от возраста человека и текущего состояния его здоровья.

| Компонент крови | Описание под микроскопом | Функция |
|---|---|---|
| Эритроциты (красные кровяные тельца) | Двояковогнутые диски без ядра, бледно-желтого цвета в тонком слое, красные в толстом. | Транспорт кислорода от легких к тканям и углекислого газа от тканей к легким. |
| Лейкоциты (белые кровяные тельца) | Разнообразные по форме и размеру клетки с ядром, окрашиваются в фиолетовый или синий цвет. | Защита организма от инфекций и чужеродных веществ. |
| Тромбоциты (кровяные пластинки) | Мелкие, неправильной формы безъядерные фрагменты клеток. | Участие в свертывании крови, предотвращение кровопотери. |
| Плазма крови | Прозрачная, желтоватая жидкость, в которой плавают клеточные элементы. | Транспорт питательных веществ, гормонов, продуктов обмена, поддержание объема крови и температуры тела. |
| Нейтрофилы (тип лейкоцитов) | Ядро сегментировано (2-5 долей), цитоплазма содержит мелкие гранулы. | Фагоцитоз бактерий и грибков. |
| Лимфоциты (тип лейкоцитов) | Крупное круглое ядро, занимающее почти всю клетку, мало цитоплазмы. | Участие в иммунном ответе, выработка антител. |
| Моноциты (тип лейкоцитов) | Крупные клетки с почковидным или подковообразным ядром. | Фагоцитоз крупных частиц, превращение в макрофаги. |
| Эозинофилы (тип лейкоцитов) | Ядро обычно двухлопастное, цитоплазма содержит крупные ярко-красные гранулы. | Участие в аллергических реакциях и борьбе с паразитами. |
| Базофилы (тип лейкоцитов) | Ядро неправильной формы, часто скрыто крупными темно-синими гранулами. | Высвобождение гистамина и гепарина, участие в воспалительных и аллергических реакциях. |
Эритроциты
Красные кровяные клетки выполняют важную функцию, забирая кислород из легких и распределяя его по всем органам и тканям. На обратном пути они уносят углекислый газ к органам дыхания. Эти клетки содержат уникальный белок – гемоглобин, который включает двухвалентный атом железа, придающий эритроцитам их характерный красный цвет.
Каждую секунду в организме погибает около 2-3 миллионов красных кровяных клеток, однако такое же количество образуется вновь. Средняя продолжительность жизни эритроцитов составляет примерно 4 месяца. В одном кубическом миллиметре крови содержится около 25 миллионов этих клеток, а общее их количество достигает 25 миллиардов. В одной капле крови можно обнаружить около 250 миллионов эритроцитов.
Под микроскопом эритроциты имеют дисковидно-вогнутую форму, их диаметр составляет примерно 7-7,5 мкм, а толщина по краям – 2,5 мкм. Такая форма позволяет красным кровяным клеткам легко проходить через мелкие сосуды. Со временем эритроциты теряют эту способность и могут задерживаться в мелких сосудах селезенки и печени, где они подлежат разрушению.
До 80% эритроцитов имеют двояковогнутую сферическую форму, в то время как оставшиеся 20% могут принимать различные формы, такие как овальная, серповидная, простая сферическая и чашеобразная. Изменения в форме клеток чаще всего связаны с патологическими состояниями, такими как авитаминоз или анемия.

Лейкоциты
Это белые кровяные клетки, которые выполняют защитные функции в организме. Их принято делить на гранулоциты и агранулоциты. В первую категорию входят зернистые клетки:
- Нейтрофилы. Это самая многочисленная группа лейкоцитов, составляющая до 70% от общего количества белых клеток. Их основная задача – борьба с патогенными микроорганизмами. Ядро нейтрофила имеет округлую форму и может достигать 10 мкм в диаметре. Оно может быть в виде палочки или состоять из нескольких сегментов, соединенных между собой. Если количество сегментов превышает 8, это может свидетельствовать о наличии заболевания.
- Базофилы. Эта группа лейкоцитов представлена в небольшом количестве, не превышающем 1% от общего числа. Их основная функция – поддержка иммунной системы. Базофилы имеют округлую форму и сегментированное или палочковидное ядро, а их диаметр составляет 7-11 мкм.
- Эозинофилы. Эозинофилы составляют 2-5% от общего числа белых клеток. Их гранулы окрашиваются кислым красителем – эозином. Эти клетки имеют округлую форму и слабо окрашенное ядро, состоящее из 2-3 сегментов одинакового размера. В диаметре эозинофилы достигают 10-11 мкм, а их цитоплазма имеет бледно-голубой оттенок.
В одном кубическом миллиметре крови содержится от 5 до 10 тысяч лейкоцитов. Средний размер белых кровяных клеток составляет 15 мкм, а общее их количество в организме человека достигает 35 миллиардов.
Вторая группа включает клетки без гранул в цитоплазме:
- Лимфоциты. Это ключевой элемент иммунной системы. Зная, что такое лимфоциты в анализе крови, врачи могут оценить иммунный статус пациента и выявить наличие инфекций и других заболеваний. Лимфоциты имеют круглую форму с большим ядром, занимающим значительную часть цитоплазмы. Их диаметр варьируется от 7 до 10 мкм. Ядро может быть круглым, овальным или бобовидным и имеет грубую структуру, состоящую из комков оксихроматина и базироматина, напоминающих глыбы.
- Моноциты. Это самые крупные лейкоциты, отвечающие за неспецифическую защиту организма. Их количество составляет от 2 до 9% от всех белых кровяных клеток. Диаметр моноцитов может достигать 20 мкм. Ядро этих клеток крупное, занимает почти всю цитоплазму и может иметь круглую, бобовидную, грибовидную или бабочковидную форму.
Интересный факт!
Если выстроить лейкоциты в один ряд, получится расстояние в 525 км.
Лейкограмма, или лейкоцитарная формула, представляет собой процентное соотношение различных видов лейкоцитов, определяемое при подсчете их в окрашенном мазке крови под микроскопом. Расшифровка лейкоцитарной формулы может быть полезной в диагностике, однако не всегда позволяет врачу получить полное представление о скрытых заболеваниях. Например, чем более выражен воспалительный процесс бактериальной природы, тем больше нейтрофилов будет в лейкоцитарной формуле. Наличие нейтрофилов разной степени зрелости указывает на тяжесть бактериальной инфекции: чем острее процесс, тем больше в крови палочкоядерных нейтрофилов.

Тромбоциты
Тромбоциты представляют собой кровяные пластинки, играющие ключевую роль в процессе свертывания крови. Они выделяют фермент, известный как тромбопластин. Когда происходит порез или укол, оболочка тромбоцитов разрушается, и тромбопластин высвобождается в плазму, что приводит к свертыванию крови. В результате образуется тромб, который защищает организм от потери крови.
В одном кубическом миллилитре крови должно содержаться примерно 200-300 тысяч тромбоцитов. Размер каждого из них составляет около 3 микрометров, что делает возможным их детальное изучение только с помощью профессионального микроскопа. В итоге общее количество этих красных пластинок в организме человека достигает примерно 1250 миллиардов.
Что нельзя увидеть в микроскоп
В капле биологической жидкости, рассматриваемой под микроскопом, невозможно увидеть:
-
Гельминты (яйца и личинки). Теоретически некоторые виды глистов могут попасть в кровоток и перемещаться по организму. Однако стоит учитывать размеры клеток и яиц. Диаметр эритроцита составляет не более 10 мкм, тогда как яйцо достигает 50-85 мкм в ширину и 140-240 мкм в высоту. Личинки имеют еще больший диаметр. Иногда эритроциты располагаются так, что их плоская сторона оказывается обращенной к наблюдателю, и эти необычные формы могут быть ошибочно приняты за гельминты.
-
Кристаллы. Существует мнение, что при обострении подагры в крови можно обнаружить соли мочевой кислоты. Однако даже при увеличении в 2000 раз увидеть такие кристаллы под микроскопом невозможно. Их можно ошибочно принять за другие компоненты биологической жидкости.
-
Бактерии и простейшие. Чаще всего под микроскопом исследуются именно эритроциты благодаря их дискообразной форме с выраженным утончением в центре. При определенном угле освещения они могут выглядеть как яркий диск с светлым пятном в центре. Неопытный исследователь может ошибочно принять это за патогенный микроорганизм.
Иммунные клетки, свободные радикалы, токсины и грибки также не могут быть распознаны в крови под микроскопом.
Изучение биологической жидкости под микроскопом является одним из самых увлекательных направлений в микробиологии. Клетки крови имеют разнообразную структуру и выполняют различные функции. Для нормального функционирования организма важны как количественный, так и качественный состав этих клеток. Любые отклонения могут свидетельствовать о развитии патологии. Поэтому первым шагом врача будет направление пациента на анализ крови.
Типы микроскопов для изучения крови
Для изучения крови человека под микроскопом используются различные типы микроскопов, каждый из которых имеет свои особенности и преимущества. Основные типы микроскопов, применяемых в гематологии, включают световые, флуоресцентные и электронные микроскопы.
Световые микроскопы являются наиболее распространенными инструментами для изучения крови. Они работают на основе света, который проходит через образец и увеличивается с помощью системы линз. Световые микроскопы позволяют визуализировать основные компоненты крови, такие как эритроциты, лейкоциты и тромбоциты. Они могут быть использованы для проведения общего анализа крови, а также для выявления различных заболеваний, таких как анемия или инфекционные процессы. Для улучшения контраста и детализации изображения часто применяются специальные красители, которые окрашивают клетки крови, позволяя лучше различать их морфологические особенности.
Флуоресцентные микроскопы используют ультрафиолетовое или видимое световое излучение для возбуждения флуоресцентных красителей, которые могут быть добавлены к образцу. Этот тип микроскопа позволяет исследовать специфические молекулы и клеточные структуры, такие как белки или ДНК, что особенно полезно для диагностики различных заболеваний, включая рак. Флуоресцентные микроскопы обеспечивают высокую чувствительность и позволяют визуализировать клетки на молекулярном уровне, что делает их незаменимыми в научных исследованиях и клинической практике.
Электронные микроскопы представляют собой более сложные и дорогие устройства, которые используют электронные лучи вместо света для получения изображения. Они обеспечивают значительно более высокое разрешение, чем световые и флуоресцентные микроскопы, что позволяет рассматривать клетки и их органеллы на наноуровне. Электронные микроскопы делятся на два основных типа: просвечивающие (ТЕМ) и сканирующие (СЕМ). Просвечивающие электронные микроскопы позволяют получить детализированные изображения внутренних структур клеток, тогда как сканирующие электронные микроскопы обеспечивают трехмерные изображения поверхности клеток. Эти микроскопы используются в основном в научных исследованиях и специализированных лабораториях для глубокого анализа клеточной структуры и функций.
Каждый из этих типов микроскопов имеет свои уникальные возможности и ограничения, и выбор конкретного инструмента зависит от целей исследования и необходимых характеристик изображения. Важно отметить, что для получения качественных результатов необходимо правильно подготовить образцы крови и использовать соответствующие методы окрашивания и обработки.
Процесс подготовки образца крови
Подготовка образца крови для микроскопического исследования является важным этапом, который влияет на качество и точность получаемых результатов. Этот процесс включает несколько ключевых шагов, каждый из которых требует внимательности и соблюдения определённых протоколов.
Первым шагом является сбор крови. Обычно для этого используется венепункция, при которой кровь берется из вены, чаще всего на внутренней стороне локтя. Для этого медицинский работник использует стерильную иглу и вакуумную пробирку, что позволяет избежать загрязнения образца. Важно, чтобы процедура была выполнена в стерильных условиях, чтобы предотвратить инфекцию и обеспечить чистоту образца.
После сбора кровь помещается в пробирку, содержащую антикоагулянт, который предотвращает свертывание крови. Наиболее распространённые антикоагулянты включают этилендиаминтетрауксусную кислоту (ЭДТА) и цитрат натрия. Выбор антикоагулянта зависит от целей исследования, так как разные тесты могут требовать различных условий.
Следующим этапом является центрифугирование образца. Этот процесс позволяет разделить компоненты крови на основе их плотности. При центрифугировании кровь разделяется на три основных слоя: плазму, лейкоциты и эритроциты. Плазма, которая находится сверху, представляет собой жидкую часть крови и содержит воду, электролиты, белки и другие растворённые вещества. Лейкоциты, или белые кровяные клетки, образуют тонкий слой между плазмой и эритроцитами, которые занимают нижнюю часть пробирки.
После центрифугирования исследователь может взять необходимый слой для дальнейшего анализа. Например, для изучения морфологии клеток крови обычно используют осадок, содержащий эритроциты и лейкоциты. Для этого образец может быть перенесён на предметное стекло, где его распределяют равномерно, чтобы получить тонкий слой клеток.
Затем образец фиксируется, чтобы сохранить структуру клеток. Фиксация может быть выполнена с помощью различных растворов, таких как метанол или формальдегид. Этот шаг необходим для предотвращения разрушения клеток при последующем окрашивании.
После фиксации образец окрашивается специальными красителями, которые позволяют визуализировать различные компоненты клеток. Наиболее распространённые красители включают Романовского, Гимза и другие, которые помогают различать эритроциты, лейкоциты и тромбоциты, а также выявлять аномалии в их структуре.
Наконец, после окрашивания образец готов к микроскопическому исследованию. Исследователь помещает подготовленный слайд под микроскоп и начинает анализировать клетки, обращая внимание на их форму, размер, количество и другие характеристики. Этот процесс требует высокой квалификации и опыта, так как правильная интерпретация результатов может иметь важное значение для диагностики различных заболеваний.
Значение анализа крови в медицине
Анализ крови является одним из самых распространенных и информативных методов диагностики в медицине. Он позволяет получить ценную информацию о состоянии здоровья пациента, выявить различные заболевания и оценить эффективность лечения. Кровь состоит из жидкой части — плазмы, и форменных элементов, включая эритроциты, лейкоциты и тромбоциты. Каждый из этих компонентов выполняет свои уникальные функции, и их анализ может дать представление о различных аспектах здоровья.
Эритроциты, или красные кровяные клетки, отвечают за транспортировку кислорода от легких к тканям и углекислого газа от тканей обратно в легкие. Под микроскопом они выглядят как двояковогнутые диски, что увеличивает их поверхность и облегчает газообмен. Нормальное количество эритроцитов в крови варьируется в зависимости от возраста и пола, и его отклонение может указывать на анемию или другие заболевания.
Лейкоциты, или белые кровяные клетки, играют ключевую роль в иммунной системе. Они защищают организм от инфекций и чуждых веществ. Под микроскопом лейкоциты выглядят разнообразно: они могут быть гранулоцитами, лимфоцитами или моноцитами, и каждый тип выполняет свои функции. Например, гранулоциты борются с бактериальными инфекциями, тогда как лимфоциты отвечают за вирусные инфекции и выработку антител. Изменения в количестве и соотношении различных типов лейкоцитов могут указывать на наличие воспалительных процессов, аллергий или даже рака.
Тромбоциты, или кровяные пластинки, играют важную роль в процессе свертывания крови. Они помогают остановить кровотечение, образуя пробку в месте повреждения сосуда. Под микроскопом тромбоциты выглядят как мелкие, бесцветные диски. Нормальное количество тромбоцитов в крови также имеет значение, так как их недостаток может привести к повышенному риску кровотечений, а избыток — к образованию тромбов.
Плазма, жидкая часть крови, содержит воду, электролиты, белки, гормоны и питательные вещества. Она составляет около 55% объема крови и играет важную роль в транспортировке веществ по организму. Анализ плазмы может помочь выявить нарушения в обмене веществ, функции печени и почек, а также наличие воспалительных процессов.
Таким образом, анализ крови под микроскопом предоставляет ценную информацию о состоянии здоровья пациента. Он позволяет врачам не только диагностировать заболевания, но и отслеживать динамику лечения и профилактики. Регулярные анализы крови могут помочь в раннем выявлении заболеваний, что значительно увеличивает шансы на успешное лечение и восстановление.




