Виллизиев круг — анатомическая структура, обеспечивающая кровоснабжение головного мозга и поддерживающая его функциональность. Понимание его строения и функций, а также отклонений, таких как гипоплазия, трифуркация и аневризма, важно для диагностики и лечения заболеваний, связанных с нарушением мозгового кровообращения. Эта статья поможет читателям разобраться в анатомии Виллизиева круга, его роли в организме, методах выявления патологии и современных подходах к профилактике и лечению.
Особенности строения и функции
Прежде всего, необходимо разобраться, что собой представляет Виллизиев круг (ВК). Это, по сути, сеть мозговых артерий, имеющая овальную форму.
Открытие этого анатомического образования принадлежит британскому ученому Томасу Уиллису. Виллизиев круг формируется из нескольких артерий, среди которых:
- внутренние сонные артерии;
- соединительная артерия;
- задние и передние мозговые артерии.
Уникальная структура Виллизиева круга обеспечивает соединение сонной и позвоночной артериальных систем. Обычно его развитие происходит по классической схеме, в результате чего формируется симметричный овал. Однако часто встречаются и различные анатомические аномалии.
Главная задача этой системы заключается в обеспечении адекватного кровоснабжения различных участков мозга. Это особенно важно при наличии проблем с кровотоком в шейных артериях.
Замедление кровотока в артериях шеи может привести к недостатку кислорода в головном мозге, что, в свою очередь, может вызвать различные патологии. Именно для снижения риска их возникновения и необходим Виллизиев круг.
Эффективная работа этого круга достигается благодаря тому, что сонные артерии соединяются не только между собой, но и с позвоночной системой. Такая структура позволяет постоянно обеспечивать поступление необходимых веществ в головной мозг.
Согласно статистике, стандартный вариант развития Виллизиева круга наблюдается лишь у 50% людей. У остальных фиксируются различные нарушения симметрии.

Врачи отмечают, что Виллизиев круг играет ключевую роль в обеспечении кровоснабжения головного мозга. Этот анатомический комплекс, состоящий из соединительных артерий, обеспечивает коллатеральное кровообращение, что особенно важно при наличии стенозов или окклюзий в основных артериях. Специалисты подчеркивают, что его особенности строения могут варьироваться у разных людей, что влияет на эффективность компенсации нарушений кровотока. Например, у некоторых пациентов может наблюдаться недостаточное развитие определенных артерий, что увеличивает риск ишемических инсультов. Врачи рекомендуют проводить регулярные обследования для оценки состояния Виллизиева круга, особенно у людей с предрасположенностью к сосудистым заболеваниям. Это позволяет своевременно выявлять проблемы и принимать меры для их коррекции.
Возможные отклонения
Анатомия человека представляет собой сложную структуру органов и систем, что необходимо для полноценного функционирования организма. К сожалению, по различным причинам могут возникать различные аномалии. Виллизиев круг не является исключением.
Отклонения от нормального развития часто проявляются в асимметрии ветвей или полном отсутствии некоторых участков. Также наблюдается различие в диаметре позвоночных артерий, как спереди, так и сзади. Исследования показывают, что нарушения симметрии круга могут быть связаны с частыми мигренями. Основные патологии включают:
-
Аневризма. Это состояние характеризуется выпячиванием стенки артерии. Аневризма может не проявлять себя до тех пор, пока не произойдет разрыв, что приводит к мозговому кровоизлиянию. В этом случае человек испытывает сильную головную боль, становится чувствительным к яркому свету, у него появляются тошнота и рвота. Без своевременной медицинской помощи это может привести к летальному исходу.
-
Трифуркация артерии, при которой сонная артерия делится на три ветви. По статистике, такое отклонение встречается в 30% случаев. Оно не представляет опасности, пока не начнутся окклюзионные изменения. Эти нарушения могут быть как передними, так и задними, и возникают из-за задержки и редукции в эмбриональной стадии.
-
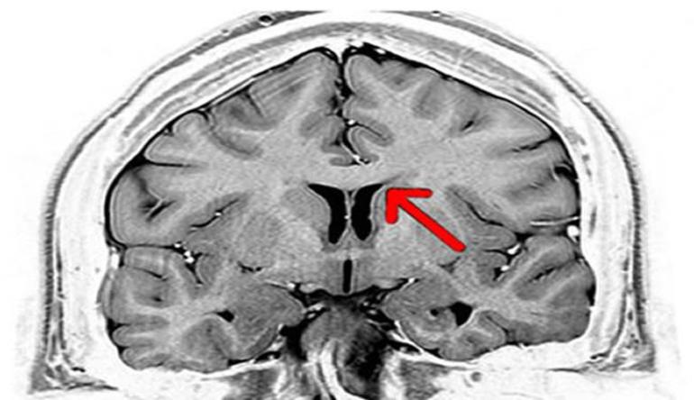
Гипоплазия — это специфический порок развития, при котором артерии имеют слишком маленькие размеры. Если кровообращение в других отделах мозга нормальное, патология может развиваться бессимптомно. Гипоплазию можно выявить только при комплексной диагностике работы головного мозга, и она хорошо видна на МРТ.
-
Аплазия — это состояние, при котором Виллизиев круг не замкнут из-за отсутствия соединяющей артерии. Это отклонение может развиваться как в передней, так и в задней части, однако последний вариант встречается гораздо чаще. Если артерия присутствует, но развита слабо, диагностируется частичная разомкнутость круга. Обследование разомкнутого круга проводится с помощью магнитно-резонансной томографии. Причиной данной патологии является остановка развития на этапе формирования плода.
https://youtube.com/watch?v=BMUnP2oUsG4
| Элемент Виллизиева круга | Особенности строения | Основные функции |
|---|---|---|
| Передняя мозговая артерия (ПМА) | Парная, отходит от внутренней сонной артерии, соединяется с противоположной ПМА передней соединительной артерией. | Кровоснабжение медиальных отделов лобных и теменных долей, мозолистого тела. |
| Средняя мозговая артерия (СМА) | Парная, является прямым продолжением внутренней сонной артерии, проходит в латеральной борозде. | Кровоснабжение большей части латеральной поверхности полушарий головного мозга (лобная, теменная, височная доли), базальных ганглиев. |
| Задняя мозговая артерия (ЗМА) | Парная, отходит от базилярной артерии, соединяется с внутренней сонной артерией задней соединительной артерией. | Кровоснабжение затылочных долей, нижней части височных долей, таламуса, среднего мозга. |
| Внутренняя сонная артерия (ВСА) | Парная, входит в череп через сонный канал, делится на ПМА и СМА. | Основной источник кровоснабжения передних отделов головного мозга. |
| Позвоночная артерия | Парная, отходит от подключичной артерии, проходит через поперечные отростки шейных позвонков, сливается в базилярную артерию. | Кровоснабжение задних отделов головного мозга, мозжечка, ствола мозга. |
| Базилярная артерия | Образуется слиянием двух позвоночных артерий, располагается на вентральной поверхности моста, делится на ЗМА. | Кровоснабжение ствола мозга, мозжечка, задних отделов головного мозга. |
| Передняя соединительная артерия | Непарная, соединяет две передние мозговые артерии. | Обеспечивает коллатеральный кровоток между бассейнами передних мозговых артерий. |
| Задняя соединительная артерия | Парная, соединяет внутреннюю сонную артерию с задней мозговой артерией. | Обеспечивает коллатеральный кровоток между бассейнами внутренней сонной и вертебробазилярной систем. |
| Коллатеральный кровоток | Возможность перераспределения крови между различными артериальными бассейнами при окклюзии одного из сосудов. | Предотвращение ишемического повреждения головного мозга при частичной или полной закупорке одной из питающих артерий. |
Последствия аномального развития
В нормальном состоянии Виллизиев круг находится в состоянии покоя и выполняет роль своеобразного резервуара. Он не активируется, если артерии шеи функционируют без отклонений. Поэтому, когда в этом круге развиваются патологии, они зачастую остаются незамеченными.
При возникновении проблем с доставкой питательных веществ в головной мозг активируется Виллизиев круг, который обеспечивает перекачивание крови из соседних участков мозга. В таких случаях нарушения в его работе могут оказать негативное влияние на здоровье человека.
Врожденные аномалии могут в определенных ситуациях привести к затруднениям в кровоснабжении мозга. Это состояние может проявляться в детстве и со временем усугубляться. В отличие от других мозговых артерий, в области Виллизиева круга давление остается стабильным. Из-за этого могут возникать различные негативные последствия:
- дискомфорт при резких изменениях положения головы;
- мигрени, сопровождающиеся тошнотой и светобоязнью;
- частые головокружения;
- головные боли, которые не всегда удается облегчить даже сильными обезболивающими средствами.
Наиболее серьезным отклонением является аневризма, возникающая из-за истончения стенок артерий. Проблема заключается в том, что этот процесс протекает без явных симптомов. Интересно, что даже незначительные травмы головы могут привести к разрыву аневризмы. В таких случаях без своевременной медицинской помощи человек может столкнуться с серьезными последствиями.

Методы диагностики
Часто патологии развития сосудистой системы выявляются во время комплексного обследования, когда пациент обращается к врачу с жалобами на постоянные головные боли. В первую очередь специалист проверяет, есть ли нарушения в кровоснабжении головного мозга. Существует несколько методов диагностики:
-
Магнитно-резонансная томография (МРТ) на сегодняшний день считается самым точным методом обследования. Процедура проводится на магнитно-резонансном томографе, который воздействует магнитным полем на клетки организма и фиксирует их реакцию. Этот метод позволяет получить детальную информацию о состоянии различных органов, включая сосудистую систему. Поскольку обследование неинвазивное, оно считается безопасным и не предполагает использование радиоактивного облучения.
-
Компьютерная томография (КТ) применяется для определения точного расположения и состояния артерий. В процессе исследования используется рентгеновское облучение. Несмотря на то, что доза облучения невелика, этот метод нельзя считать полностью безопасным для здоровья пациента.
-
Ангиография — один из самых популярных методов диагностики сосудистой системы на сегодняшний день. Сначала в организм пациента вводится контрастное вещество, которое равномерно распределяется по артериям. Затем выполняется рентгенографическое исследование, в результате которого на снимках четко видны все отклонения. Контрастное вещество безопасно для человека и выводится из организма естественным образом в течение некоторого времени.
Лечение и профилактика
Пациенты часто узнают о проблемах с сосудистой системой только после прохождения комплексной диагностики, на которую их направляет врач из-за различных недомоганий. Неудивительно, что многие начинают искать способы лечения сосудистых заболеваний.
В первую очередь, важно предотвратить декомпенсацию в кровеносной системе, избегать перегрузки сосудов и поддерживать нормальный кровоток. Для этого следует выполнять несколько ключевых мероприятий:
- регулярно контролировать уровень холестерина;
- своевременно лечить сердечно-сосудистые заболевания и вегетососудистую дистонию;
- следить за показателями свертываемости крови;
- поддерживать нормальное артериальное давление.
Если у человека часто возникают приступы мигрени, особенно в сочетании с нарушениями зрения, необходимо обязательно обратиться к специалисту для уточнения диагноза. Наиболее информативными методами диагностики являются транскраниальная допплерография и магнитно-резонансная томография.
При обнаружении аномалий в строении артерий важно регулярно проходить диспансеризацию, посещая кардиолога, терапевта и других специалистов. Рекомендуется принимать курсы сосудистых препаратов, таких как Кавинтон и Пентоксифиллин. Для улучшения кровоснабжения тканей и ускорения обмена веществ часто назначают ноотропные средства, среди которых:
- Винпотропил.
- Ноотропил.
- Фезам.
Также необходимо ежегодно проходить курс лечения антиоксидантами и метаболическими препаратами. Для поддержки работы нейронов мозга рекомендуется принимать витамин В.
Людям с аномалиями в строении коллатералей следует поддерживать положительный тонус, избегать стрессов и правильно питаться.
Оперативное вмешательство
Если у пациента обнаружена аневризма, требуется немедленное хирургическое вмешательство. Другие методы не смогут решить эту проблему. Операция проводится под общим наркозом.
Хирург создает трепанационное отверстие в черепной коробке пациента. Затем, чтобы получить доступ к пораженной артерии, врач аккуратно раздвигает окружающие ткани. На следующем этапе с помощью специального инструмента удаляется аневризма, после чего сосуд перевязывается.
По завершении всех процедур восстанавливается оболочка мозга, и накладываются швы. В большинстве случаев после таких операций пациенту назначают медикаментозное лечение для предотвращения возможных осложнений.
Существует и альтернативный метод, при котором аневризма не удаляется, что исключает риск разрыва сосудов. Процедура выполняется под местной анестезией. Врач прокалывает сосуд и вводит специальный инструмент, который заполняет полость аневризмы микроспиралями. В результате образуется плотный тромб, который полностью исключает патологию из кровообращения.
Хирург должен действовать предельно осторожно во время операции, так как любая ошибка может привести к разрыву аневризмы и последующему кровоизлиянию. Через три месяца после вмешательства обязательно проводится контрольное обследование.
Виллизиев круг представляет собой резервную систему кровоснабжения мозга. При обнаружении каких-либо отклонений важно регулярно проходить обследования, чтобы избежать развития аневризмы. При недостаточном кровоснабжении, вызванном анатомическими аномалиями или тромбозом, именно Виллизиев круг может предотвратить гибель нейронов, перенаправляя кровоток. Следует помнить, что регулярная диагностика и курсовая терапия значительно повышают шансы пациента на полноценную и активную жизнь.

Исторический аспект изучения Виллизиева круга
Виллизиев круг, или артериальный круг мозга, был впервые описан в 1735 году анатомом Томасом Виллизем, в честь которого и получил свое название. Это анатомическое образование представляет собой сеть артерий, расположенную на основании мозга, и играет ключевую роль в обеспечении его кровоснабжения. Изучение Виллизиева круга имеет долгую историю, начиная с ранних анатомических исследований и заканчивая современными методами визуализации.
С момента своего открытия Виллизиев круг стал объектом интенсивного изучения, поскольку его анатомические особенности и функциональные аспекты имеют важное значение для понимания патофизиологии различных заболеваний. В XVIII-XIX веках анатомы и хирурги начали более детально исследовать его строение, что способствовало развитию нейрохирургии и сосудистой хирургии. В это время также были описаны основные артерии, входящие в состав круга, такие как передняя мозговая артерия, задняя мозговая артерия и соединительные артерии.
С развитием медицинских технологий в XX веке, особенно с появлением ангиографии и магнитно-резонансной томографии, стало возможным более детальное изучение анатомии Виллизиева круга. Эти методы позволили не только визуализировать его структуру, но и выявить различные аномалии, такие как недоразвитие или аневризмы, которые могут привести к серьезным неврологическим последствиям.
Современные исследования также акцентируют внимание на функциональных аспектах Виллизиева круга. Установлено, что он играет важную роль в обеспечении коллатерального кровообращения, что особенно актуально при окклюзии одной из артерий. Это свойство Виллизиева круга позволяет сохранить нормальное кровоснабжение мозга, что может предотвратить развитие инсульта или других серьезных заболеваний.
Таким образом, исторический аспект изучения Виллизиева круга демонстрирует эволюцию знаний о его анатомии и функции, а также подчеркивает его значимость в клинической практике. Исследования продолжаются, и новые открытия в области нейроанатомии и нейровизуализации продолжают расширять наше понимание этого важного анатомического образования.
Связь с другими системами кровообращения
Виллизиев круг, представляющий собой анатомическую структуру, играет ключевую роль в обеспечении нормального кровообращения в головном мозге. Однако его функции не ограничиваются только локальным кровоснабжением. Важным аспектом является его связь с другими системами кровообращения, что обеспечивает надежность и устойчивость кровоснабжения мозга.
Виллизиев круг формируется за счет соединения основных артерий, которые поставляют кровь в мозг: передней мозговой артерии, задней мозговой артерии и средней мозговой артерии. Эти артерии соединяются между собой через переднюю и заднюю соединительные артерии, образуя замкнутую структуру, которая обеспечивает возможность перераспределения крови в случае нарушения кровотока в одной из артерий. Это особенно важно, так как головной мозг крайне чувствителен к недостатку кислорода и питательных веществ.
Связь Виллизиева круга с другими системами кровообращения осуществляется через несколько механизмов. Во-первых, он получает кровь из общих сонных артерий и позвоночных артерий, что позволяет ему быть частью более широкой системы, обеспечивающей кровоснабжение всего организма. Во-вторых, наличие анастомозов между артериями позволяет компенсировать возможные нарушения в кровотоке, что особенно актуально при наличии атеросклеротических изменений или тромбообразования.
Кроме того, Виллизиев круг взаимодействует с венозной системой, что также важно для поддержания нормального давления и циркуляции крови в мозге. Венозные синусы, такие как верхний сагиттальный синус, собирают кровь из мозга и направляют ее в яремные вены, что способствует эффективному удалению продуктов обмена и поддержанию гомеостаза.
Таким образом, Виллизиев круг не только обеспечивает локальное кровоснабжение головного мозга, но и является важным элементом в системе, отвечающей за общую циркуляцию крови в организме. Его анатомические и функциональные связи с другими артериями и венами делают его незаменимым для поддержания здоровья и нормального функционирования мозга.
Роль в патофизиологии заболеваний мозга
Виллизиев круг, представляющий собой анатомическую структуру, играющую ключевую роль в кровоснабжении головного мозга, имеет значительное значение в патофизиологии различных заболеваний. Он образован соединением основных артерий, таких как передняя мозговая, задняя мозговая и соединительная артерии, что обеспечивает коллатеральное кровообращение. Это особенно важно в условиях, когда одна из артерий может быть сужена или заблокирована, что может произойти при атеросклерозе, тромбообразовании или других сосудистых патологиях.
При недостаточном кровоснабжении одной из артерий, Виллизиев круг может компенсировать этот дефицит, обеспечивая приток крови из других источников. Однако, если степень ишемии становится критической, это может привести к нейрональной гибели и развитию инсульта. В таких случаях, понимание анатомии и функции Виллизиева круга становится важным для диагностики и выбора методов лечения.
Кроме того, нарушения в работе Виллизиева круга могут быть связаны с различными неврологическими заболеваниями, такими как мигрень, сосудистые деменции и другие расстройства. Например, у пациентов с мигренью часто наблюдаются изменения в церебральной гемодинамике, которые могут быть связаны с дисфункцией коллатерального кровообращения. Исследования показывают, что у таких пациентов может быть нарушена функция Виллизиева круга, что приводит к недостаточному кровоснабжению определенных участков мозга.
Также стоит отметить, что аномалии в строении Виллизиева круга, такие как его неполное развитие или наличие аневризм, могут предрасполагать к развитию различных заболеваний. Например, аневризмы, расположенные в области Виллизиева круга, могут привести к субарахноидальному кровоизлиянию, что является серьезным состоянием, требующим неотложной медицинской помощи.
Таким образом, Виллизиев круг не только обеспечивает нормальное кровоснабжение мозга, но и играет важную роль в патофизиологии различных заболеваний. Понимание его анатомии и функций позволяет лучше осознать механизмы, лежащие в основе неврологических расстройств, и может способствовать разработке более эффективных методов их диагностики и лечения.





