Повышение уровня эозинофилов у ребенка может сигнализировать о заболеваниях или аллергических реакциях. В статье рассмотрим основные причины увеличения этих клеток в крови, представим таблицу с нормами и отклонениями, а также симптомы, методы диагностики и лечения. Понимание причин повышения эозинофилов поможет родителям вовремя обратиться за медицинской помощью и обеспечить ребенку необходимое лечение.
Функции клеток
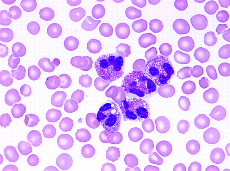
Интерлейкины — это молекулы, способствующие образованию эозинофилов, что происходит в костном мозге. Продолжительность жизни этих клеток с двумя ядрами составляет от 2 до 5 дней, что зависит от состояния организма ребенка.
Лейкоциты выполняют важную функцию по очищению организма от паразитов и токсинов. Они активно борются с опухолевыми клетками, обеспечивая гуморальный иммунитет. Эозинофилия не является отдельным заболеванием, а служит индикатором различных патологий. Устойчивое повышение уровня эозинофилов наблюдается при аллергических реакциях.
Для диагностики заболеваний назначается анализ крови на содержание базофилов. Их повышенное количество может свидетельствовать о таких состояниях, как анафилактический шок или отек Квинке. Для уточнения диагноза могут потребоваться дополнительные методы обследования и анализ анамнеза. Если у ребенка наблюдается повышенное количество эозинофилов в крови, это может быть связано с инвазиями или острым лейкозом.

Повышенные эозинофилы у ребенка могут свидетельствовать о различных состояниях, и врачи подчеркивают важность комплексного подхода к диагностике. Одной из основных причин является аллергическая реакция, которая может возникать на пищевые продукты, пыльцу растений или бытовую химию. Врачи также отмечают, что инфекционные заболевания, особенно паразитарные, могут приводить к увеличению уровня этих клеток, так как организм активно борется с инфекцией. Кроме того, некоторые хронические заболевания, такие как астма или экзема, также могут быть связаны с повышением эозинофилов. Важно, чтобы родители не игнорировали этот симптом и обращались к специалистам для выявления причины и назначения соответствующего лечения.
Значения показателя
Для оценки уровня эозинофилии педиатры используют таблицу, в которой указаны нормы эозинофилов для детей. Этот показатель варьируется в зависимости от возраста малыша. У новорожденных в первые 14 дней жизни уровень не должен превышать 6%. То же значение считается нормальным для детей до года. У малышей старше одного года, но младше двух лет, этот показатель не должен превышать 7%.
До достижения пяти лет содержание лейкоцитов в крови не превышает 6%, а после пяти лет — 5%. В зависимости от степени превышения нормы врачи выделяют следующие типы патологии:
- Реактивная. Уровень клеток превышает норму на 15%.
- Умеренная. Наблюдается увеличение количества лейкоцитов на 20% выше нормы.
- Высокая. Концентрация превышает 20%.
Если результаты лабораторных исследований показывают превышение нормы на 50%, это может свидетельствовать о наличии серьезной патологии в организме ребенка. В некоторых случаях для более точного определения клеток может потребоваться повторный анализ крови, так как краситель может также окрашивать нейтрофилы.

| Категория причин | Возможные заболевания/состояния | Дополнительные комментарии |
|---|---|---|
| Аллергические реакции | Бронхиальная астма | Часто сопровождается кашлем, одышкой, свистящим дыханием. |
| Аллергический ринит (поллиноз) | Насморк, чихание, зуд в носу и глазах, сезонность. | |
| Атопический дерматит (экзема) | Сухость кожи, зуд, высыпания, особенно на сгибательных поверхностях. | |
| Пищевая аллергия | Высыпания, расстройства пищеварения (рвота, диарея), отек Квинке. | |
| Лекарственная аллергия | Кожные высыпания, лихорадка, отек, анафилаксия. | |
| Паразитарные инвазии | Гельминтозы (аскаридоз, энтеробиоз, токсокароз и др.) | Могут проявляться болями в животе, нарушениями стула, зудом в области ануса, кашлем. |
| Лямблиоз | Боли в животе, неустойчивый стул, снижение аппетита. | |
| Токсоплазмоз | Часто протекает бессимптомно, но может вызывать лимфаденопатию, лихорадку. | |
| Иммунные нарушения | Первичные иммунодефициты | Рецидивирующие инфекции, задержка развития. |
| Аутоиммунные заболевания | Симптомы зависят от пораженного органа (например, боли в суставах, кожные высыпания). | |
| Онкологические заболевания | Лимфогранулематоз (болезнь Ходжкина) | Увеличение лимфатических узлов, лихорадка, ночная потливость, потеря веса. |
| Некоторые виды лейкозов | Бледность, слабость, кровоточивость, увеличение лимфоузлов, печени, селезенки. | |
| Другие причины | Некоторые кожные заболевания (например, пемфигус) | Образование пузырей на коже и слизистых оболочках. |
| Эозинофильный эзофагит/гастроэнтерит | Затруднение глотания, боли в животе, рвота, диарея. | |
| Реакция на некоторые лекарства (например, антибиотики) | Может быть частью лекарственной аллергии или идиосинкратической реакцией. | |
| Недоношенность (у новорожденных) | Физиологическое повышение эозинофилов в первые недели жизни. |
Этиология процесса
После рождения у новорождённого наблюдается повышенное количество двуядерных клеток. Со временем формируется иммунная система, и уровень этих клеток приходит в норму. На изменения показателей могут влиять различные факторы:
- Инфекционные процессы паразитарного характера. Это состояние часто сопровождается зудом в области промежности, который особенно беспокоит ночью. В результате может нарушаться сон, увеличивается раздражительность и наблюдается нервозность. При осмотре можно заметить красные царапины в области промежности.
- Токсокароз. Это паразитарное заболевание возникает в результате заражения аскаридами. Обострения происходят в периоды роста и миграции личинок. Заболевание может привести к увеличению селезёнки и печени, а также к анемии и нарушению уровня белка в крови.
- Анкилостомоз является одной из основных причин повышения количества эозинофилов в крови. Эта патология также имеет паразитарное происхождение. У больных может появляться сыпь, сопровождающаяся зудом, а личинки мигрируют под кожей.
Эозинофилия может развиваться на фоне аллергических реакций различного происхождения, таких как бронхиальная астма и атопический дерматит. При атопическом дерматите возникает сыпь, которая может быть спровоцирована определёнными продуктами питания. У младенцев это явление часто наблюдается после введения первого прикорма.
Бронхиальная астма проявляется сухим кашлем, который не поддаётся стандартному лечению. Ночью могут возникать приступы удушья. Существуют и другие патологические состояния, способные увеличить количество эозинофилов в крови:
- семейный гистиоцитоз;
- сывороточная болезнь;
- энтероколит;
- стафилококковый сепсис;
- гемолитические заболевания.
Дети старше трёх лет чаще сталкиваются с кожной аллергией, глистными инвазиями, скарлатиной и ветряной оспой. В зависимости от установленной причины ребёнку может потребоваться дополнительная консультация инфекциониста, пульмонолога, аллерголога или иммунолога.
https://youtube.com/watch?v=ptfTeWE5NoU
Клиническая картина и диагностика
Эозинофилия проявляется в зависимости от основного заболевания. При наличии глистной инвазии наблюдается увеличение лимфатических узлов, печени и селезёнки. Также могут развиваться симптомы общей интоксикации, такие как тошнота, слабость, снижение аппетита, головные боли, высокая температура и головокружение. Ребёнок может жаловаться на отёки рук и лица, а также на появление сыпи на коже.
В случае аллергических реакций возникает зуд, могут образовываться мокнущие участки. В тяжелых случаях возможно отслоение эпидермиса, что приводит к образованию язвочек. Аутоиммунные заболевания могут проявляться изменениями веса, болями в суставах и анемией.
Если у ребенка наблюдается повышение уровня эозинофилов, причины можно выяснить с помощью комплексной диагностики:
- Общий и биохимический анализ крови.
- Анализ мочи.
- Мазок из носовой слизистой.
К дополнительным методам диагностики относятся рентгенография легких, пункция суставов и бронхоскопия. Поскольку повышенное количество эозинофилов чаще всего связано с глистной инвазией, первичными методами диагностики являются анализ кала и трёхкратный соскоб.
При подозрении на редкие гельминтозы может быть проведена ПЦР-диагностика, которая позволяет выявить определённые последовательности нуклеиновых кислот паразитов. Для этого осуществляется забор крови, а в случае поражения мочевой системы достаточно анализа мочи. Если результаты окажутся отрицательными, потребуется консультация аллерголога.
Аналогичные меры принимаются, если уровень эозинофилов превышает 15%. Аллерголог проведёт кожные тесты и спирометрию (оценка функции дыхательных органов) при подозрении на бронхиальную астму. При наличии кожной сыпи, особенно сопровождающейся зудом, рекомендуется осмотр дерматолога. Также может потребоваться консультация ревматолога.
Если в ходе диагностики не обнаружены патологии, назначается гормональное обследование. При эндокринных заболеваниях уровень эозинофилов может быть умеренно повышен (до 14%). Ребёнку назначается анализ крови на гормоны щитовидной железы и гипофиза.
Если в крови обнаруживаются бласты или морфологически аномальные клетки, выполняется пункция костного мозга для исключения онкогематологических заболеваний. При подозрении на лимфогранулёматоз производится пункция увеличенного лимфоузла.

Терапия и профилактика
Эозинофилия не подлежит самостоятельному лечению. Важно выявить и устранить первопричину, вызывающую данное состояние. При аллергических реакциях необходимо исключить аллерген и назначить антигистаминные препараты, такие как Супрастин или Диазолин.
Если причиной эозинофилии является глистная инвазия, следует применять противоглистные средства. Некоторые из них принимаются однократно, в то время как другие требуют курса с перерывами в две недели, что связано с инкубационным периодом паразитов. Выбор конкретного препарата зависит от типа возбудителя.
В случае, если эозинофилия вызвана приемом лекарств, необходимо заменить их на аналогичные, либо продолжить терапию, если ее польза превышает возможный риск для здоровья ребенка. После успешного лечения важно регулярно контролировать состояние малыша. Для этого рекомендуется соблюдать профилактические меры: организовать режим дня и питания, вести здоровый образ жизни и проходить регулярные медицинские обследования.
Чтобы предотвратить глистные инвазии, следует строго соблюдать правила гигиены. Дети дошкольного возраста находятся в группе повышенного риска.

Влияние аллергий на уровень эозинофилов
Аллергические реакции являются одной из наиболее распространенных причин повышения уровня эозинофилов у детей. Эозинофилы — это тип белых кровяных клеток, которые играют ключевую роль в иммунной системе, особенно в ответ на аллергены и паразитарные инфекции. Когда организм ребенка сталкивается с аллергеном, таким как пыльца, шерсть животных, пищевые продукты или химические вещества, иммунная система активируется, что приводит к увеличению производства эозинофилов.
При аллергии эозинофилы мигрируют в ткани, где происходит воспалительная реакция. Это может проявляться в различных формах, таких как аллергический ринит, астма, экзема или крапивница. В этих случаях уровень эозинофилов в крови может значительно возрастать, что является признаком того, что организм борется с аллергической реакцией.
Одним из наиболее распространенных аллергенов у детей является пищевая аллергия. Продукты, такие как молоко, яйца, орехи, соя и пшеница, могут вызывать аллергические реакции, которые приводят к повышению уровня эозинофилов. Важно отметить, что даже небольшое количество аллергена может спровоцировать реакцию у чувствительного ребенка, что делает диагностику и управление аллергиями особенно важными.
Кроме того, аллергены из окружающей среды, такие как пыльца растений, плесень и пылевые клещи, также могут способствовать повышению уровня эозинофилов. Сезонные аллергии, например, аллергический ринит, часто приводят к увеличению эозинофилов в крови, особенно в периоды цветения растений.
Важно отметить, что не всегда повышение уровня эозинофилов связано с аллергией. Однако в случаях, когда аллергические реакции являются основной причиной, лечение может включать избегание контакта с аллергенами, применение антигистаминов и кортикостероидов для снижения воспаления и контроля симптомов.
Таким образом, понимание влияния аллергий на уровень эозинофилов у ребенка является важным шагом в диагностике и лечении различных аллергических заболеваний. Регулярные медицинские осмотры и тесты на аллергены могут помочь выявить причины повышения эозинофилов и разработать эффективный план лечения.
Связь с инфекционными заболеваниями
Эозинофилы – это тип белых кровяных клеток, которые играют важную роль в иммунной системе, особенно в борьбе с паразитарными инфекциями и аллергическими реакциями. Повышение уровня эозинофилов, известное как эозинофилия, может быть связано с различными инфекционными заболеваниями, которые чаще всего встречаются у детей.
Одной из основных причин повышения эозинофилов у ребенка являются паразитарные инфекции. Паразиты, такие как аскариды, острицы и лямблии, могут вызывать значительное увеличение числа эозинофилов. Эти клетки активируются в ответ на присутствие паразитов в организме, что приводит к их размножению. Например, при аскаридозе, который часто встречается у детей, эозинофилия может быть выраженной, так как организм пытается бороться с инвазией.
Кроме того, некоторые вирусные и бактериальные инфекции также могут приводить к повышению уровня эозинофилов. Например, инфекции, вызванные вирусами, такими как вирус Эпштейна-Барра или цитомегаловирус, могут вызывать эозинофилию как часть общего воспалительного ответа организма. В таких случаях эозинофилы могут участвовать в регуляции иммунного ответа и устранении поврежденных клеток.
Важно отметить, что эозинофилия может быть также связана с аллергическими реакциями, которые могут возникать на фоне инфекционных заболеваний. Например, если у ребенка есть аллергия на определенные продукты питания или лекарства, это может усугубить состояние и привести к повышению уровня эозинофилов. В таких случаях эозинофилы будут активироваться в ответ на аллергены, что может затруднить диагностику основного заболевания.
В заключение, повышение уровня эозинофилов у ребенка может быть связано с различными инфекционными заболеваниями, включая паразитарные, вирусные и бактериальные инфекции. Важно проводить тщательное обследование и диагностику, чтобы определить точную причину эозинофилии и назначить соответствующее лечение. Родителям следует обращать внимание на симптомы, такие как зуд, высыпания, боли в животе или другие проявления, которые могут указывать на наличие инфекции или аллергической реакции.
Роль генетических факторов
Генетические факторы играют значительную роль в формировании иммунного ответа организма, включая уровень эозинофилов. Эозинофилы — это тип белых кровяных клеток, которые отвечают за защиту организма от паразитарных инфекций и участвуют в аллергических реакциях. Уровень этих клеток может варьироваться в зависимости от наследственных предрасположенностей, что может объяснять, почему у некоторых детей наблюдается повышенное количество эозинофилов.
Исследования показывают, что определенные генетические маркеры могут влиять на функцию и количество эозинофилов в крови. Например, мутации в генах, отвечающих за регуляцию иммунного ответа, могут приводить к гиперреактивности иммунной системы, что, в свою очередь, вызывает увеличение продукции эозинофилов. Это может быть особенно заметно у детей с наследственными заболеваниями, такими как аллергический ринит, астма или экзема, где наблюдается повышенная чувствительность к аллергенам.
Кроме того, семейная предрасположенность к аллергическим заболеваниям также может быть связана с повышением уровня эозинофилов. Если у одного из родителей есть аллергия или астма, вероятность того, что у ребенка также будут повышенные эозинофилы, значительно возрастает. Это связано с тем, что генетические факторы могут влиять на развитие и функционирование иммунной системы, делая ее более восприимчивой к аллергенам и инфекциям.
Важно отметить, что генетические факторы не действуют в изоляции. Они взаимодействуют с окружающей средой, включая факторы, такие как питание, уровень стресса и воздействие аллергенов. Например, даже если у ребенка есть генетическая предрасположенность к повышению уровня эозинофилов, наличие или отсутствие определенных триггеров в окружающей среде может существенно повлиять на проявление этого состояния.
Таким образом, понимание роли генетических факторов в повышении уровня эозинофилов у детей может помочь врачам и родителям более эффективно управлять состоянием ребенка. Это может включать в себя как профилактические меры, так и более целенаправленное лечение, направленное на снижение уровня эозинофилов и улучшение качества жизни ребенка.




