Отек легких — серьезное состояние, требующее немедленного внимания. Понимание симптомов, причин и алгоритма первой помощи повышает шансы на выживание и предотвращает тяжелые последствия. В статье рассмотрим проявления отека легких, его причины и действия для оказания своевременной помощи пострадавшему. Эти знания могут спасти жизнь и улучшить качество медицинской помощи в критической ситуации.
Отек легких: что это
Данная патология представляет собой серьезное состояние пациента, при котором наблюдается накопление отечной жидкости сначала в интерстициальной ткани органа, а затем и в альвеолах. Это приводит к нарушению функционирования альвеол и ухудшению газообмена, что, в свою очередь, вызывает гипоксию. В результате в крови изменяется газовый состав, и уровень углекислого газа начинает преобладать. Еще одним негативным эффектом накопления транссудата (отечной жидкости) является подавление центральной нервной системы.
Выделяют два типа легочных патологий, возникающих из-за оттока межклеточной жидкости:
- Гидростатическая. Увеличение объема транссудата связано с повышением гидростатического давления в кровеносных сосудах.
- Мембранная. В этом случае отток обусловлен избыточной фильтрацией плазмы.
Отек легких является серьезным состоянием, требующим немедленного вмешательства. Врачи отмечают, что основные симптомы включают одышку, кашель с пенистой мокротой, хрипоту и чувство нехватки воздуха. Причинами отека могут быть сердечные заболевания, травмы, инфекции или высокое давление в легочных сосудах. Важно быстро распознать состояние, так как оно может привести к летальному исходу. Неотложная помощь заключается в обеспечении доступа кислорода, применении диуретиков для уменьшения отека и, в некоторых случаях, интубации. Лечение зависит от причины отека и может включать медикаментозную терапию и реабилитацию. Врачи подчеркивают важность профилактики, особенно у пациентов с сердечно-сосудистыми заболеваниями.
Классификация патологии
Приступы классифицируются в зависимости от причин, вызвавших данное состояние. Существует два основных типа патологии: кардиогенный и некардиогенный. Однако специалисты также выделяют третий тип — токсический. Давайте рассмотрим, какие симптомы присущи каждому из этих видов отека и какие факторы могут привести к осложнениям.
| Категория | Описание | Действия/Меры |
|---|---|---|
| Симптомы | Ранние: Одышка (особенно в положении лежа), кашель (сухой или с розовой пенистой мокротой), учащенное сердцебиение, беспокойство, бледность кожи. | Немедленно обратиться за медицинской помощью. |
| Поздние/Тяжелые: Выраженная одышка в покое, удушье, хрипы в легких (слышны на расстоянии), синюшность губ и ногтей (цианоз), холодный пот, спутанность сознания, потеря сознания. | Вызвать скорую помощь (103/112), обеспечить доступ свежего воздуха, придать полусидячее положение. | |
| Причины | Кардиогенные (связанные с сердцем): Острая сердечная недостаточность (инфаркт миокарда, аритмии), хроническая сердечная недостаточность, гипертонический криз, пороки сердца, кардиомиопатии. | Контроль артериального давления, лечение основного заболевания сердца, соблюдение рекомендаций врача. |
| Некардиогенные (не связанные с сердцем): Острый респираторный дистресс-синдром (ОРДС), тяжелые инфекции (сепсис, пневмония), травмы грудной клетки, утопление, вдыхание токсичных газов, передозировка наркотиков, почечная недостаточность, аллергические реакции. | Лечение основного заболевания, поддерживающая терапия, устранение воздействия токсических веществ. | |
| Неотложная помощь | До приезда скорой: Вызвать скорую помощь, придать больному полусидячее положение (с опущенными ногами), расстегнуть стесняющую одежду, обеспечить приток свежего воздуха, успокоить больного. | Не давать пищу и питье. При наличии нитроглицерина (если нет противопоказаний и назначено врачом) можно дать под язык. |
| Медицинская помощь: Кислородотерапия, диуретики (для выведения лишней жидкости), вазодилататоры (для расширения сосудов), морфин (для уменьшения одышки и тревоги), инотропные препараты (для улучшения работы сердца), при необходимости – искусственная вентиляция легких. | Все действия выполняются медицинским персоналом. | |
| Лечение | Основное: Устранение причины отека легких (лечение сердечной недостаточности, инфекций, почечной недостаточности и т.д.). | Длительное лечение основного заболевания, регулярное наблюдение у врача. |
| Поддерживающее: Диета с ограничением соли и жидкости, прием назначенных препаратов (диуретики, ингибиторы АПФ, бета-блокаторы и др.), реабилитация. | Строгое соблюдение рекомендаций врача, изменение образа жизни. |
Кардиогенный отек легких
Кардиогенный отек, также известный как сердечный отек, возникает в результате застоя крови в легких. Чаще всего его провоцируют такие заболевания, как инфаркт миокарда, врожденные или приобретенные пороки сердца, стенокардия, артериальная гипертензия и левожелудочковая недостаточность.
Для данного состояния характерны следующие симптомы:
- одышка, которая усиливается в положении лежа (поэтому пациенты предпочитают сидеть);
- удушье;
- усиливающийся кашель;
- хрипы, которые могут изменяться от свистящих до влажных, булькающих;
- выделение мокроты, напоминающей розовую пену;
- выраженная отечность;
- цианоз кожи;
- резкая боль в области груди или за грудной клеткой;
- тахикардия;
- повышенное артериальное давление, которое трудно нормализовать (если давление снизить слишком сильно, может развиться брадикардия, что приведет к летальному исходу);
- значительное повышение кровяного давления (при кардиогенном приступе оно может превышать 30 мм рт. ст.);
- на электрокардиограмме можно наблюдать гипертрофию левого предсердия и желудочка.
Главной причиной кардиогенного приступа является нарушение функции левого желудочка: это может быть связано с проблемами систолы, а также диастолической или систолической дисфункцией. Данная патология развивается очень быстро, и времени на оказание помощи зачастую не хватает, что может привести к летальному исходу.
Некардиогенный отек легких
Орган увеличивается в размерах из-за повышенной проницаемости сосудистых стенок и интенсивной фильтрации жидкости через легочные капилляры. Когда объем жидкости становится слишком большим, сосуды не могут справиться с нагрузкой, что приводит к заполнению альвеол и нарушению процесса газообмена.
Кардиогенный приступ может быть вызван рядом факторов, среди которых:
- стеноз почечной артерии;
- феохромоцитома;
- почечная недостаточность;
- гиперальбуминемия;
- экссудативная энтеропатия;
- пневмоторакс;
- тяжелая форма бронхиальной астмы;
- воспаление легких;
- пневмосклероз;
- сепсис;
- аспирация желудочного содержимого;
- лимфангиит, связанный с опухолевыми процессами;
- шок, вызванный сепсисом, аспирацией или панкреонекрозом;
- цирроз печени;
- лучевая болезнь;
- попадание токсичных веществ в орган;
- рак легких;
- избыточное переливание растворов;
- длительное применение ацетилсалициловой кислоты;
- злоупотребление наркотическими средствами.
Важно знать!
Ключевым исследованием для диагностики кардиогенного отека является измерение давления заклинивания. Результаты этого анализа при отеке легких помогут точно определить данный тип патологии.
Токсический отек легких
Этот вид заболевания имеет свои уникальные проявления. В процессе развития патологии существует этап, когда отек еще не наблюдается, но организм уже реагирует на раздражитель. Например, ожоги легких и дыхательных путей могут вызвать спазмы. Часто токсический отек легких возникает из-за воздействия ядов, включая некоторые лекарственные средства. Приступ может произойти независимо от дозы и продолжительности применения медикаментов.
Среди препаратов, способствующих возникновению отека, можно выделить:
- анальгетики на основе наркотических веществ;
- цитостатики;
- диуретики;
- рентгеноконтрастные средства;
- нестероидные противовоспалительные препараты.
Реже к токсическому отеку могут привести токолитики, глюкокортикоиды, многоплодная беременность, анемия и нестабильная гемодинамика. К факторам риска относятся пожилой возраст и длительное курение.
Токсический отек легких может проявляться в двух формах: развитой и абортивной. Существует также так называемое «немое» течение болезни, когда патологию можно выявить только с помощью рентгенологического исследования, в то время как клинические проявления могут отсутствовать.
Для токсической формы характерна цикличность, и каждый этап имеет свои особенности:
- Рефлекторные расстройства. На этом этапе наблюдаются признаки раздражения слизистых оболочек — обильное слезотечение, кашель, одышка. Этот период опасен тем, что может произойти остановка дыхания и сердцебиения.
- Скрытый период. Он длится от четырех часов до суток. В это время пациент не ощущает ухудшения состояния, и только тщательное обследование может указать на развитие патологии.
- Отек легких. Симптомы обычно нарастают в течение нескольких часов, но иногда могут сохраняться и целый день. Приступ сопровождается повышением температуры, цианозом кожи, учащенным дыханием, кровяной мокротой и газовым ацидозом. В более тяжелых случаях могут возникать сосудистые осложнения, что приводит к серости кожи, холодным конечностям и критически низкому артериальному давлению. Обычно такое состояние связано с неправильной транспортировкой пациента.
- Осложнения. Даже после устранения отека существует риск его повторного появления, который может возникнуть примерно в конце третьей недели из-за острого сердечного недостатка. Частыми осложнениями после токсической формы являются пневмония, эмфизема или пневмосклероз. Иногда могут обостряться хронические заболевания или латентный туберкулез. Симптомы этого периода включают депрессию, апатию и сонливость.
При быстром и эффективном лечении возможно обратное развитие приступа: снижение кашля, одышки, уменьшение цианоза кожи и исчезновение хрипов при дыхании. Рентгеновское исследование покажет уменьшение очагов раздражения. В таком случае полное выздоровление пациента может занять несколько недель.

Оказание доврачебной помощи при отеке легких
При возникновении приступа пациенту необходима оперативная медицинская помощь. Поэтому в первую очередь следует вызвать скорую помощь, а затем оказать ему поддержку. Это можно сделать следующим образом:
- Помогите пациенту занять полусидячее положение, при этом его ноги должны находиться ниже уровня тела.
- Откройте окна или форточки для обеспечения притока свежего воздуха, а также снимите все, что может затруднять дыхание — ремни, цепочки, рубашки.
- Регулярно контролируйте пульс, дыхание и артериальное давление.
- Поместите ноги пациента в горячую воду.
- Наложите жгут на бедра поочередно на обе ноги на 40-50 минут.
- Проведите ингаляцию парами спирта.
- Если артериальное давление низкое, дайте под язык таблетку Нитроглицерина.
- Предложите таблетку Фуросемида.
После прибытия бригады скорой помощи пациенту будет оказана следующая помощь:
- анальгетики на основе наркотических веществ — Морфин или Промедол;
- оксигенотерапия;
- пеногасители в составе ингаляционной смеси;
- электроотсосы для предотвращения аспирации пеной;
- Дофамин или Добутамин для повышения артериального давления;
- коагулянты при тромбоэмболии легочной артерии;
- Эуфиллин или Атропин при нитевидном пульсе;
- сердечные гликозиды при мерцательной аритмии;
- Бензогексоний, Пентамин или Арфонада при повышенном артериальном давлении.
Однако может случиться так, что вмешательство медицинских работников не только не улучшит состояние пациента, но и приведет к осложнениям:
- развитие острого отека;
- синдром непроходимости дыхательных путей из-за обильного выделения пены;
- гиповентиляция;
- учащение сердечного ритма;
- ангинозная боль;
- невозможность стабилизировать артериальное давление — оно может быть как сильно повышенным, так и резко пониженным. В некоторых случаях давление может колебаться, что ухудшает состояние пациента;
- увеличение отека органа из-за повышенного артериального давления.

Диагностика
Для точной диагностики легочной недостаточности помимо внешних первичных признаков необходимо использовать лабораторные методы исследования. Подробный анализ поможет установить причину патологии и назначить более эффективное лечение.
Помимо визуального осмотра, врач-пульмонолог может назначить пациенту следующие исследования:
- Анализ крови. Лаборанты определяют уровень газов, повышение которого указывает на прогрессирование отека, а также уровень кислотно-основного состояния, что может свидетельствовать о развитии респираторного алкалоза.
- Биохимический анализ — в ходе которого измеряются уровни изоферментов креатинкиназы, кардиоспецифических тропонинов, мочевины, общего белка, альбуминов, креатинина и других важных показателей.
- Коагулограмму.
- Электрокардиограмму. Это исследование поможет выявить, если причиной приступа стали недостаточность левого желудочка, ишемическая болезнь или аритмия.
- Ультразвуковое исследование сердца, которое позволяет обнаружить зоны гипокинезии миокарда.
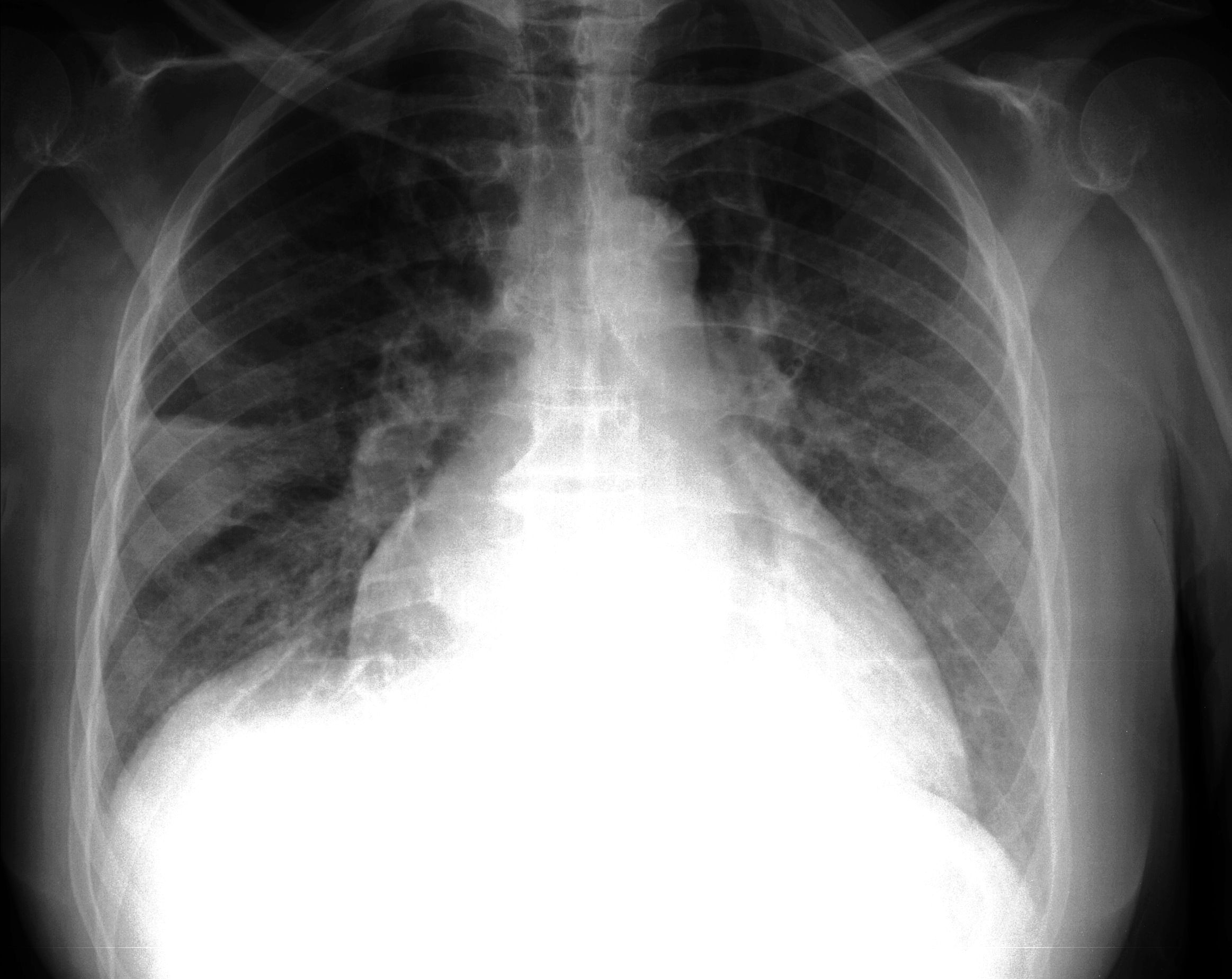
- Рентгенографию. На рентгеновских снимках можно увидеть увеличение границ сердца и корней легких. При альвеолярном отеке в центральных отделах легких наблюдается однородное симметричное затемнение в форме бабочки, а гораздо реже — отдельные очаги.
Лечение отека легких
Лечение заболеваний легких проходит через несколько ключевых этапов, каждый из которых нацелен на устранение острого состояния. Терапия включает в себя использование медикаментов для восстановления функций центральной нервной системы и успокоения пациента, а также применение пеногасителей, сосудорасширяющих средств, диуретиков и сердечных гликозидов. В некоторых случаях может быть использован метод эксфузии крови. Как только критическое состояние будет стабилизировано, пациент госпитализируется для дальнейшего лечения основного заболевания, вызвавшего приступ.
Процесс лечения основного заболевания может выглядеть следующим образом:
- Если причиной патологии является цирроз печени, пациенту назначаются гепатопротекторы. Наиболее эффективными из них считаются Гептрал, Тиоктацид и Берлитион.
- В случае панкреонекроза применяются препараты, подавляющие активность поджелудочной железы, такие как Сандостатин. Затем продолжается лечение с помощью стимуляторов заживления тканей — Тималина или Имунофана, а также ферментного препарата Креона.
- При инфаркте миокарда терапия включает B-адреноблокаторы, такие как Конкор или Метопролол, ферментные блокаторы — Эналаприл, и антиагреганты — Тромбо АСС.
- Лечение заболеваний бронхов предполагает курс антибиотиков. Наиболее эффективными являются макролиды и фторхинолоны, в то время как пенициллин в данном случае может оказаться неэффективным. Продолжается терапия препаратами с амброксолом, которые способствуют выведению мокроты и обладают выраженным противовоспалительным действием, такими как Лазолван или Амбробене. Также обязательно назначение иммуномодуляторов, так как повторные инфекции часто приводят к серьезным последствиям.
- Если заболевание имеет токсическую природу, для его лечения назначается дезинтоксикационная терапия. Для восстановления уровня жидкости, потерянной из-за диуретиков, используются солевые растворы. Для облегчения симптомов отравления пациенту могут быть прописаны Регидрон, Энтеросгель или Энтеродез. В случае выраженных симптомов могут быть добавлены противорвотные средства.
- При тяжелом приступе астмы пациенту назначаются глюкокортикостероиды, муколитики, бронхолитики и средства, способствующие выведению мокроты.
- В случае токсического шока назначаются антигистаминные препараты, такие как Цетрин и Кларитин, а также кортикостероиды.
Важно!
Применение любых из этих средств должно осуществляться только по назначению лечащего врача.
https://youtube.com/watch?v=it6zon2cEIE
Профилактика
Единственным способом предотвратить легочную недостаточность является своевременное лечение всех острых и хронических заболеваний, которые в запущенной форме могут вызвать приступ. Важную роль в этом процессе играет и образ жизни. Правильное питание, отказ от алкоголя и наркотиков, умеренные физические нагрузки, а также соблюдение мер безопасности при работе с токсичными и ядовитыми веществами значительно снижают риск развития легочной недостаточности.
Сердечная недостаточность: причины, симптомы и лечение. При сердечной недостаточности сердце теряет способность выполнять свою основную функцию — перекачивать кровь.
Хотя для этой патологии не существует специальной диеты, пациентам рекомендуется придерживаться рациона, в котором преобладают белковые продукты, свежие фрукты и овощи, натуральные соки и травяные настои. Эти продукты обладают мочегонным эффектом и могут помочь снизить вероятность повторного приступа.
Отек легких — это острое и критическое состояние, которое крайне редко заканчивается благоприятно. Чаще всего оно приводит к летальному исходу. Однако при своевременном устранении приступа и эффективном лечении основного заболевания, вызвавшего эту патологию, возможно улучшение состояния пациента и продление его жизни.
Последствия отека легких
Отек легких — это серьезное состояние, которое может привести к множеству осложнений и негативных последствий для здоровья. Важно понимать, что отек легких может возникнуть как остро, так и хронически, и в зависимости от этого последствия могут варьироваться.
Одним из наиболее опасных последствий отека легких является дыхательная недостаточность. При накоплении жидкости в легких нарушается газообмен, что приводит к недостатку кислорода в организме. Это может вызвать гипоксию — состояние, при котором ткани и органы не получают достаточного количества кислорода, что может привести к их повреждению и даже смерти.
Кроме того, отек легких может вызвать сердечно-сосудистые осложнения. Поскольку легкие и сердце тесно связаны, увеличение давления в легочных сосудах может привести к сердечной недостаточности. Это состояние требует немедленного медицинского вмешательства, так как может привести к шоку и другим серьезным последствиям.
Еще одним важным аспектом является риск развития инфекций. Накопление жидкости в легких создает благоприятные условия для размножения бактерий, что может привести к пневмонии. Инфекционные осложнения могут значительно ухудшить состояние пациента и усложнить лечение.
Также стоит отметить, что отек легких может иметь долгосрочные последствия для здоровья. Даже после успешного лечения у пациента могут остаться остаточные явления, такие как снижение функции легких, хроническая усталость и одышка при физической нагрузке. Эти симптомы могут существенно снизить качество жизни и потребовать длительной реабилитации.
В заключение, отек легких — это не только острое, но и потенциально опасное состояние, которое может привести к множеству серьезных последствий. Поэтому важно своевременно распознавать симптомы и обращаться за медицинской помощью, чтобы минимизировать риски и предотвратить осложнения.
Роль реабилитации после отека легких
Реабилитация после отека легких является важным этапом в восстановлении здоровья пациента и предотвращении рецидивов. Отек легких может быть вызван различными причинами, включая сердечную недостаточность, пневмонию, травмы грудной клетки и другие состояния, которые приводят к накоплению жидкости в легких. После успешного лечения острого состояния, пациентам необходимо пройти курс реабилитации, который включает в себя несколько ключевых аспектов.
1. Оценка состояния пациента
Первым шагом в реабилитации является комплексная оценка состояния пациента. Это включает в себя клиническое обследование, анализы крови, рентгенографию грудной клетки и другие диагностические процедуры. Важно определить степень повреждения легких, наличие сопутствующих заболеваний и общее состояние здоровья пациента.
2. Физическая реабилитация
Физическая активность играет ключевую роль в восстановлении функции легких. Программы физической реабилитации могут включать дыхательную гимнастику, упражнения для укрепления дыхательных мышц и общую физическую активность. Эти мероприятия помогают улучшить вентиляцию легких, увеличить объем легких и способствуют более эффективному выведению жидкости из организма.
3. Психологическая поддержка
Отек легких и его последствия могут оказывать значительное влияние на психоэмоциональное состояние пациента. Страх, тревога и депрессия могут затруднить процесс восстановления. Психологическая поддержка, включая консультации с психотерапевтом и группы поддержки, может помочь пациентам справиться с эмоциональными трудностями и повысить их мотивацию к восстановлению.
4. Обучение и информирование
Обучение пациентов о причинах отека легких, методах его профилактики и признаках рецидива является важной частью реабилитации. Пациенты должны быть осведомлены о том, как правильно контролировать свое состояние, принимать назначенные препараты и вести здоровый образ жизни. Это включает в себя отказ от курения, соблюдение диеты и регулярные физические нагрузки.
5. Мониторинг и последующее наблюдение
После выписки из стационара пациентам необходимо продолжать наблюдение у врача. Регулярные контрольные обследования помогут выявить возможные осложнения на ранних стадиях и скорректировать лечение при необходимости. Важно, чтобы пациенты не прерывали лечение и следовали рекомендациям врачей.
Таким образом, реабилитация после отека легких является многоступенчатым процессом, который требует комплексного подхода и участия различных специалистов. Эффективная реабилитация способствует не только восстановлению функции легких, но и улучшению качества жизни пациента в целом.
Советы по образу жизни для предотвращения отека легких
Отек легких — это серьезное состояние, которое требует немедленного медицинского вмешательства. Однако, существуют меры, которые можно предпринять для снижения риска его возникновения. Важным аспектом является изменение образа жизни и соблюдение определенных рекомендаций.
Контроль за хроническими заболеваниями
Люди с хроническими заболеваниями, такими как сердечно-сосудистые болезни, диабет или хроническая обструктивная болезнь легких (ХОБЛ), должны внимательно следить за своим состоянием. Регулярные визиты к врачу, соблюдение назначенного лечения и контроль за уровнем артериального давления и сахара в крови могут существенно снизить риск отека легких.
Здоровое питание
Сбалансированное питание играет ключевую роль в поддержании здоровья сердечно-сосудистой системы. Употребление продуктов, богатых омега-3 жирными кислотами (рыба, орехи), антиоксидантами (фрукты и овощи) и клетчаткой может помочь улучшить общее состояние организма. Ограничение потребления соли также важно, так как избыток натрия может привести к задержке жидкости в организме.
Физическая активность
Регулярные физические нагрузки способствуют улучшению работы сердца и легких. Умеренные аэробные упражнения, такие как ходьба, плавание или велоспорт, могут укрепить сердечно-сосудистую систему и повысить выносливость. Важно выбирать физическую активность, соответствующую вашему уровню подготовки и состоянию здоровья.
Отказ от вредных привычек
Курение и злоупотребление алкоголем негативно сказываются на здоровье легких и сердца. Отказ от этих привычек может значительно снизить риск развития заболеваний, приводящих к отеку легких. Если у вас есть трудности с отказом от курения, обратитесь за помощью к специалистам или используйте специальные программы и средства.
Управление стрессом
Хронический стресс может негативно влиять на здоровье, в том числе на сердечно-сосудистую систему. Практики релаксации, такие как медитация, йога или дыхательные упражнения, могут помочь снизить уровень стресса и улучшить общее самочувствие. Также важно находить время для отдыха и хобби, которые приносят удовольствие.
Избегание аллергенов и загрязнителей
Людям с предрасположенностью к заболеваниям легких следует избегать контакта с аллергенами и загрязняющими веществами. Это может включать в себя использование очистителей воздуха в помещениях, ношение масок в условиях повышенной загрязненности и избегание курящих компаний.
Регулярные медицинские осмотры
Профилактические осмотры у врача помогут выявить потенциальные проблемы на ранних стадиях. Это особенно важно для людей с повышенным риском заболеваний легких и сердца. Не забывайте сообщать врачу о любых изменениях в состоянии здоровья, таких как одышка, кашель или отеки.
Следуя этим рекомендациям, можно значительно снизить риск развития отека легких и других серьезных заболеваний. Забота о своем здоровье — это важный шаг к долгой и активной жизни.







