Декстрокардия — редкая аномалия, при которой сердце расположено справа, а не слева в грудной клетке. Это состояние может быть бессимптомным и часто обнаруживается случайно при ЭКГ, но может представлять серьезную угрозу для здоровья, особенно при осложнениях. В статье рассмотрим причины декстрокардии у плода, ее последствия, а также методы диагностики и лечения. Понимание этой патологии важно для своевременного выявления и предотвращения рисков, что может существенно повлиять на качество жизни пациентов.
Патогенез
В первом триместре беременности в организме эмбриона формируются органы и системы. Развитие аномалий может происходить в двух формах: истинной и ложной. Истинная аномалия возникает из-за случайных генетических ошибок, при которых сердечная трубка отклоняется вправо. В этом случае может развиться один из нескольких типов декстрокардии:
- Изолированная – сердце находится в неправильном положении, но остальные органы расположены нормально.
- Частичная – сердце и легкие располагаются в зеркальном отражении.
- Полная – сердце и другие внутренние органы находятся в зеркальном расположении.
Среди заболеваний сердца, как врожденных, так и приобретенных, можно выделить десять самых редких и необычных патологий. Эти состояния достаточно распространены по всему миру.
Ложная форма аномалии возникает из-за серьезных нарушений, которые негативно влияют на плод во втором и третьем триместрах. В более старшем возрасте возможно смещение сердца, вызванное опухолью легких, которая приводит к длительному сжатию мышечной ткани. Крупные неоплазии могут вызвать значительное смещение сердца, что при прослушивании может быть обнаружено с противоположной стороны. Такое состояние может быть вызвано перенесенными воспалительными заболеваниями, легочными патологиями или асцитом.
Декстрокардия у плода представляет собой редкое аномальное состояние, при котором сердце расположено не с левой, а с правой стороны грудной клетки. Врачи отмечают, что это может быть связано с генетическими факторами или нарушениями в процессе эмбрионального развития. Хотя в некоторых случаях декстрокардия может не вызывать серьезных проблем, она часто ассоциируется с другими аномалиями, такими как синдромы, затрагивающие сердечно-сосудистую систему.
Медицинские специалисты подчеркивают важность ранней диагностики данного состояния с помощью ультразвукового исследования. Это позволяет оценить функциональность сердца и выявить возможные сопутствующие патологии. Лечение декстрокардии зависит от наличия других аномалий и может варьироваться от наблюдения до хирургического вмешательства. Врачи рекомендуют регулярные консультации с кардиологом и генетиком для обеспечения оптимального ведения беременности и здоровья ребенка.
Симптомы и возможные осложнения
Многие люди с врожденными аномалиями могут даже не подозревать о своем состоянии. Это связано с тем, что у них отсутствуют ярко выраженные симптомы. Основным признаком дестрокардии является сердечный ритм, который можно услышать в правой части грудной клетки при аускультации. В тяжелых случаях у новорожденных могут наблюдаться следующие симптомы:
- затрудненное дыхание;
- бледность кожи или появление синеватого/желтоватого оттенка;
- потеря веса;
- трудности с набором массы тела;
- отставание в физическом развитии;
- хронические инфекционные заболевания;
- капризность и беспокойство;
- отсутствие аппетита.
У детей старшего возраста и взрослых пациентов могут возникать такие жалобы:
- жгучие боли в грудной клетке, которые могут появляться периодически;
- желтушность кожи;
- одышка даже при незначительной физической нагрузке;
- болевые ощущения в правом подреберье;
- асцит;
- мышечная слабость;
- головные боли;
- обмороки;
- повышенная утомляемость.
Если происходит поражение клеток головного мозга, симптомы становятся более выраженными, и могут возникнуть осложнения, угрожающие жизни. Тем не менее, при отсутствии серьезных нарушений в работе сердечно-сосудистой или дыхательной систем вероятность летального исхода остается низкой. Основные причины смерти связаны с удушьем и острой дисфункцией жизненно важных органов.
Важно!
Дети с осложненной формой декстрокардии часто доживают до 13-18 лет. Даже при правильно подобранной терапии нельзя гарантировать увеличение средней продолжительности жизни.
https://youtube.com/watch?v=Qp6PM566MwI
| Аспект | Описание | Варианты |
|---|---|---|
| Что такое декстрокардия? | Редкое врожденное состояние, при котором сердце расположено в правой половине грудной клетки вместо левой. | Изолированная декстрокардия (сердце справа, остальные органы в норме); Декстрокардия с situs inversus (зеркальное расположение всех внутренних органов); Декстрокардия с гетеротаксией (неправильное расположение органов, часто с серьезными пороками). |
| Причины возникновения | Генетические мутации, хромосомные аномалии, тератогенные факторы. | Мутации в генах, отвечающих за формирование лево-правой асимметрии; Синдром Картагенера (первичная цилиарная дискинезия); Воздействие некоторых лекарств или токсинов во время беременности. |
| Опасность для плода | Зависит от сопутствующих аномалий. | Изолированная декстрокардия: часто не опасна, если нет других пороков сердца. Декстрокардия с situs inversus: обычно не опасна, если нет других пороков. Декстрокардия с гетеротаксией: высокая вероятность серьезных пороков сердца (единственный желудочек, транспозиция магистральных артерий), аномалий других органов (селезенка, кишечник), что может привести к сердечной недостаточности, дыхательной недостаточности, инфекциям. |
| Диагностика у плода | Пренатальное УЗИ, эхокардиография плода. | Обнаружение сердца справа на рутинном УЗИ; Детальное исследование структуры сердца и крупных сосудов; Оценка расположения других органов брюшной полости. |
| Методы лечения | Зависят от сопутствующих пороков. | Изолированная декстрокардия/situs inversus без пороков: не требует лечения, только наблюдение. Декстрокардия с пороками сердца: хирургическая коррекция пороков после рождения; Медикаментозная терапия для поддержания функции сердца; В некоторых случаях может потребоваться трансплантация сердца. |
| Прогноз | Зависит от наличия и тяжести сопутствующих аномалий. | Изолированная декстрокардия/situs inversus без пороков: благоприятный, нормальная продолжительность жизни. Декстрокардия с гетеротаксией и серьезными пороками: прогноз осторожный, высокая смертность в младенчестве, требуется пожизненное наблюдение и лечение. |
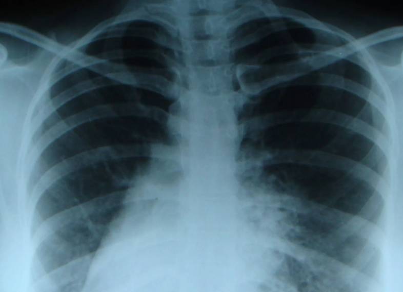
Пневмония и септический шок
Среди детей нередко диагностируется синдром Картагенера. Это заболевание связано с нарушением работы мерцательного эпителия, который находится в дыхательных путях. Когда инородные частицы попадают в организм, возникает раздражение, и ткани начинают активно избавляться от них, что приводит к кашлю. Наличие дестрокардии в сочетании с синдромом Картагенера значительно снижает защитные рефлексы. В результате патогенные микроорганизмы, вместе со слюной и частицами пыли, оседают в легких, что может вызвать серьезные воспалительные процессы в дыхательных путях.
Септический шок развивается на фоне сложного воспалительного процесса. Он часто является следствием пневмонии или других длительных инфекционных заболеваний. В этом случае происходит значительное ослабление иммунной системы организма.
Все риски хронического перикардита. Перикардит – это патологические изменения, которые происходят во внешней оболочке сердца, известной как перикард. Эти изменения связаны с накоплением жидкости и…
Нарушение репродуктивной системы
Недостаточная сократительная функция миокарда при дестрокардии сердца приводит к нарушению кровообращения в половых органах. Это может стать причиной эректильной дисфункции и бесплодия. Для улучшения состояния требуется корректировка работы сердца, однако в случаях тяжелого течения заболевания полное восстановление, как правило, оказывается недостижимым.
Заболевания кишечника
Нарушения в функционировании кишечника могут быть связаны с недостаточным кровоснабжением этого органа. В результате страдает пищеварительная система. У пациента могут возникать болезненные ощущения в животе, которые трудно локализовать и определить их причину, а также наблюдаются такие симптомы, как диарея или запоры и метеоризм.
Отставание в умственном и физическом развитии
Дестрокардия сердца может оказывать влияние на нормальное умственное развитие ребенка. При этом серьезных нарушений в функционировании головного мозга, как правило, не наблюдается. Чаще всего с возрастом происходит полная компенсация данного состояния.
В 35% случаев из-за недостаточного кровоснабжения тканей может возникать кислородное голодание (гипоксия). Это может привести к замедлению роста костей и увеличению мышечной массы, что, в свою очередь, может задерживать половое созревание. Тем не менее, чаще всего зеркальное расположение сердца не оказывает значительного влияния на физическое развитие человека.
Что касается разрыва сердца, то это термин обозначает патологическое состояние, при котором нарушается целостность определенного участка…
Этиология
Во время беременности, особенно в первые недели, женщинам следует особенно внимательно следить за своим здоровьем. Рекомендуется избегать следующих факторов:
- курения;
- употребления алкогольных напитков;
- неблагоприятной экологии;
- воздействия радиации;
- заражения вирусом герпеса;
- воздействия пиогенной флоры;
- неправильного питания;
- бесконтрольного приема лекарств.
Основной причиной возникновения аномалий считаются мутации рецессивных генов, таких как АСVR2, ZIС3Shh, Рitxz и НАND. Эти мутации могут привести к тому, что сердечная трубка плода будет развиваться в обратном направлении. В результате этого другие внутренние органы также могут формироваться в зеркальном положении.
Важно!
Декстрокардия у плода может развиться только в том случае, если аномальные гены были унаследованы от обоих родителей.
Методы диагностики и лечение
Подозрение на декстрокардию может возникнуть во время аускультации или пальпации при медицинском обследовании. Для более точной диагностики этого состояния могут быть использованы следующие методы:
- ЭКГ;
- МРТ;
- УЗИ и рентгенография сердца и сосудов;
- эхокардиография (ЭХОКГ);
- КТ.
Выбор метода обследования зависит от тяжести состояния и наличия сопутствующих заболеваний. Врач также проводит осмотр пациента, собирает анамнез, измеряет артериальное давление и обращает внимание на цвет кожи. Кроме того, педиатр оценивает уровень умственного и физического развития ребенка.
Если декстропозиция сердца не сопровождается другими заболеваниями и не влияет на общее состояние пациента, лечение может не потребоваться. Однако в случае наличия патологических процессов в организме врач должен назначить терапию, направленную на их устранение, принимая во внимание степень тяжести заболевания. В некоторых ситуациях единственным способом улучшения состояния и спасения жизни пациента может стать хирургическое вмешательство.
Пациентам с синдромом Картагенера часто назначают лечение, которое включает:
- диуретики;
- препараты для улучшения отхождения слизи;
- антибиотики (особенно при наличии бактериальных инфекций);
- гипотензивные средства для снижения артериального давления.
Также могут быть рекомендованы пробиотики для восстановления кишечной микрофлоры, так как антибиотики могут негативно сказываться на работе желудочно-кишечного тракта.

Прогноз и профилактика
В большинстве случаев прогноз при данной патологии оказывается положительным. Многие пациенты достигают преклонного возраста, не испытывая значительных ограничений. Их состояние можно охарактеризовать как несущественное анатомическое отклонение. Тем не менее, существует небольшой риск летального исхода. Симптомы со стороны мозга, групповая экстрасистолия и аритмия в виде фибрилляции могут негативно сказаться на прогнозе.
Важно!
Наличие серьезных осложнений значительно увеличивает вероятность неблагоприятного прогноза. Возможны такие осложнения, как сердечная недостаточность, репродуктивные проблемы у мужчин и острые инфекционные заболевания.
Чаще всего аномалия возникает из-за неблагоприятных генетических факторов. Поэтому родителям следует вести здоровый образ жизни и избегать вредных привычек, которые могут негативно сказаться на здоровье. Беременным женщинам в первом триместре рекомендуется заботиться о своем состоянии и избегать контактов с инфекционными больными.
В большинстве случаев декстрокардия сердца обусловлена генетическими факторами. При этом аномалия обычно не вызывает болезненных симптомов, и врачи могут дать благоприятный прогноз. Однако при появлении клинических признаков важно обратиться к специалисту для назначения лечения, так как могут возникнуть серьезные последствия, вплоть до летального исхода.

Роль генетических факторов
Генетические факторы играют ключевую роль в развитии декстрокардии у плода. Декстрокардия, или зеркальное расположение сердца, может быть как изолированным состоянием, так и частью более сложных синдромов, связанных с аномалиями развития. Исследования показывают, что в некоторых случаях это состояние может быть связано с наследственными факторами, которые передаются от родителей к детям.
Одним из основных генетических механизмов, способствующих развитию декстрокардии, является нарушение в процессе эмбрионального развития. На ранних стадиях формирования плода, когда закладываются основные органы, в том числе сердце, могут произойти сбои в миграции клеток или в их дифференцировке. Эти сбои могут быть вызваны мутациями в определенных генах, отвечающих за правильное расположение органов. Например, мутации в генах, связанных с регуляцией хромосомной асимметрии, могут привести к неправильному формированию сердечно-сосудистой системы.
Кроме того, декстрокардия может быть связана с синдромами, такими как синдром Картагенера, который включает в себя не только аномалии расположения сердца, но и другие патологии, такие как хронические заболевания легких и бесплодие. В таких случаях генетическая предрасположенность может быть более выраженной, и риск передачи заболевания от родителей к детям возрастает.
Важно отметить, что не все случаи декстрокардии имеют четкую генетическую основу. В некоторых случаях это состояние может возникать спонтанно, без явных наследственных факторов. Однако, если в семье уже были случаи декстрокардии или других аномалий развития, это может служить основанием для более тщательного генетического консультирования и обследования будущих родителей.
Современные методы молекулярно-генетического анализа позволяют выявлять мутации и аномалии на ранних стадиях беременности, что может помочь в диагностике декстрокардии и других связанных заболеваний. Это, в свою очередь, дает возможность родителям получить информацию о возможных рисках и вариантах лечения, а также подготовиться к рождению ребенка с особыми потребностями.
Таким образом, генетические факторы играют важную роль в развитии декстрокардии у плода, и понимание этих факторов может помочь в ранней диагностике и управлении состоянием, что в конечном итоге улучшает прогноз для ребенка и его семьи.
Влияние окружающей среды на развитие декстрокардии
Декстрокардия — это редкое состояние, при котором сердце расположено не в обычном для человека месте, а с правой стороны грудной клетки. Это аномалия может возникать как в изолированном виде, так и в сочетании с другими пороками развития.
Исследования показывают, что факторы окружающей среды могут играть значительную роль в возникновении различных аномалий развития, включая декстрокардию. К таким факторам относятся:
- Экологические факторы: Загрязнение воздуха, воды и почвы может оказывать негативное влияние на развитие плода. Например, высокие уровни тяжелых металлов и токсичных химических веществ могут нарушать нормальные процессы клеточного деления и дифференцировки, что может привести к аномалиям в формировании сердца.
- Инфекционные заболевания: Некоторые вирусные инфекции, такие как краснуха или цитомегаловирус, могут вызывать пороки развития у плода, включая декстрокардию. Инфекция матери во время беременности может привести к нарушению нормального развития сердечно-сосудистой системы плода.
- Факторы образа жизни: Употребление алкоголя, курение и наркотики во время беременности могут значительно увеличить риск развития различных аномалий, включая декстрокардию. Эти вещества могут оказывать тератогенное действие, нарушая нормальное развитие органов и систем плода.
- Генетические факторы: Хотя декстрокардия может быть вызвана внешними факторами, генетическая предрасположенность также играет важную роль. Некоторые исследования показывают, что наличие определенных генетических мутаций может увеличить риск развития аномалий сердца, включая декстрокардию.
Важно отметить, что влияние окружающей среды на развитие декстрокардии может быть многогранным и сложным. В большинстве случаев это состояние возникает в результате сочетания генетических и экологических факторов. Поэтому для предотвращения декстрокардии и других пороков развития необходимо проводить профилактические мероприятия, такие как улучшение экологической ситуации, вакцинация беременных женщин против инфекционных заболеваний и информирование о вреде вредных привычек.
Таким образом, понимание влияния окружающей среды на развитие декстрокардии у плода может помочь в разработке эффективных стратегий для снижения риска возникновения этого заболевания и улучшения здоровья будущих поколений.
Психологические аспекты и поддержка семьи
Декстрокардия, как редкое аномальное состояние, может оказывать значительное влияние не только на физическое здоровье плода, но и на психологическое состояние его родителей. Узнав о диагнозе, многие семьи испытывают широкий спектр эмоций, включая страх, тревогу и неопределенность. Важно понимать, что поддержка семьи и правильное психологическое сопровождение могут сыграть ключевую роль в адаптации к этой ситуации.
Первоначально, когда будущие родители получают информацию о декстрокардии, они могут столкнуться с множеством вопросов и сомнений. Как это повлияет на здоровье ребенка? Какие будут последствия? Сможет ли ребенок вести нормальную жизнь? Эти вопросы могут вызывать стресс и беспокойство, что в свою очередь может негативно сказаться на эмоциональном состоянии матери и, как следствие, на развитии плода.
Психологическая поддержка в таких случаях становится необходимостью. Консультации с психологом или психотерапевтом могут помочь родителям справиться с их страхами и научиться принимать ситуацию. Группы поддержки, где родители могут обмениваться опытом и получать советы от тех, кто уже прошел через подобные испытания, также могут оказаться полезными. Общение с другими семьями, столкнувшимися с аналогичными проблемами, может снизить чувство изоляции и дать надежду.
Кроме того, важно, чтобы семья оставалась вовлеченной в процесс лечения и наблюдения за состоянием плода. Это может включать регулярные визиты к врачу, ультразвуковые исследования и другие диагностические процедуры. Участие в этих процессах помогает родителям чувствовать себя более контролирующими ситуацию и уменьшает уровень тревожности.
Не менее важным аспектом является создание позитивной атмосферы в семье. Поддержка друг друга, обсуждение своих чувств и переживаний, а также совместное планирование будущего могут укрепить семейные узы и помочь всем членам семьи справиться с эмоциональными трудностями. Важно помнить, что декстрокардия — это не приговор, и многие дети с этим состоянием могут расти и развиваться нормально при условии своевременного медицинского вмешательства и поддержки со стороны семьи.
В заключение, психологические аспекты декстрокардии у плода требуют внимательного подхода. Поддержка семьи, участие в группах и консультации с профессионалами могут значительно улучшить эмоциональное состояние родителей и создать более благоприятные условия для развития ребенка. Понимание и принятие ситуации, а также активное участие в процессе лечения помогут родителям справиться с вызовами, которые могут возникнуть на этом пути.




